相关产品推荐更多 >
万千商家帮你免费找货
0 人在求购买到急需产品
- 详细信息
- 文献和实验
- 技术资料
- 应用范围:
产品信息以Bioss网站为准
- 规格:
50ul/100ul/200ul
| 规格: | 50ul | 产品价格: | ¥1180.0 |
|---|---|---|---|
| 规格: | 100ul | 产品价格: | ¥1980.0 |
| 规格: | 200ul | 产品价格: | ¥2800.0 |
| 产品编号 | bs-12143R |
| 英文名称 | SHANK3 Rabbit pAb |
| 中文名称 | 富含脯氨酸突触相关蛋白SHANK3抗体 |
| 英文别名 | KIAA1650; Proline rich synapse associated protein 2; Proline-rich synapse-associated protein 2; ProSAP2; PSAP2; SH3 and multiple ankyrin repeat domains 3; SH3 and multiple ankyrin repeat domains protein 3; SH3/ankyrin domain gene 3; SHAN3_HUMAN; Shank postsynaptic density protein; Shank3; Shank3b; SPANK 2; SPANK2. |
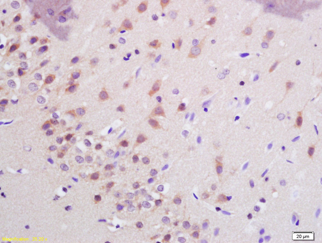
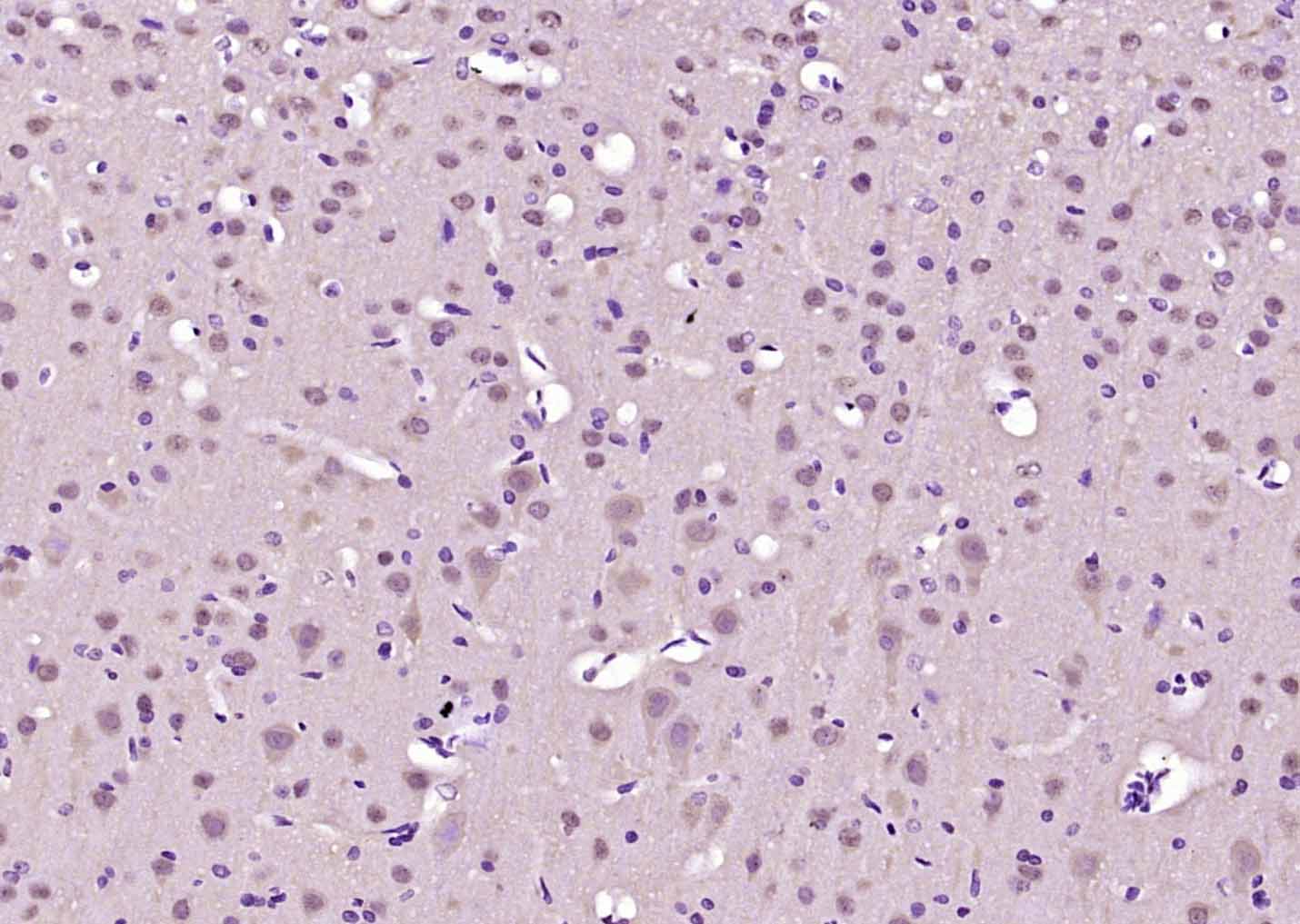
| 产品应用 | IHC-P=1:100-500, IHC-F=1:100-500, IF=1:100-500 Not yet tested in other applications. |
| 交叉反应 | Rat (Human, Mouse, Dog, Pig, Cow, Horse) |
| 抗体来源 | Rabbit |
| 免疫原 | KLH conjugated synthetic peptide derived from human SHANK3 |
| 亚型 | IgG |
| 性状 | Liquid |
| 纯化方法 | affinity purified by Protein A |
| 克隆类型 | Polyclonal |
| 理论分子量 | 186 kDa |
| 浓度 | 1mg/ml |
| 储存液 | 0.01M TBS (pH7.4) with 1% BSA, 0.02% Proclin300 and 50% Glycerol. |
| 研究领域 | Neuroscience > Cell Type Marker > Neuron marker > Synapse marker Neuroscience > Neurotransmission > Intracellular Signaling > Adapters |
| 亚基 | May homomultimerize via its SAM domain (By similarity). Interacts with DLGAP1/GKAP, MGLUR1A, MGLUR5 C-termini via its PDZ domain (By similarity). Interacts with HOMER1, HOMER2, HOMER3 and CTTN/cortactin SH3 domain (By similarity). Is part of a complex with DLG4/PSD-95 and DLGAP1/GKAP. Interacts with DBNL. Interacts (via PDZ domain) with PROSAPIP1 (via C-terminus) (By similarity). Interacts with BAIAP2. |
| 亚细胞定位 | Cytoplasm (By similarity). Cell junction, synapse (By similarity). Cell junction, synapse, postsynaptic cell membrane, postsynaptic density (By similarity). Note=Postsynaptic density of neuronal cells (By similarity). |
| 组织特异性 | Expressed in the cerebral cortex and the cerebellum. |
| 相似性 | Contains 6 ANK repeats.
Contains 1 PDZ (DHR) domain. Contains 1 SAM (sterile alpha motif) domain. Contains 1 SH3 domain. |
| 功能 | Seems to be an adapter protein in the postsynaptic density (PSD) of excitatory synapses that interconnects receptors of the postsynaptic membrane including NMDA-type and metabotropic glutamate receptors via complexes with GKAP/PSD-95 and Homer, respectively, and the actin-based cytoskeleton. May play a role in the structural and functional organization of the dendritic spine and synaptic junction. |
| 保存条件 | Shipped at 4℃. Store at -20℃ for one year. Avoid repeated freeze/thaw cycles. |
| 注意事项 | This product as supplied is intended for research use only, not for use in human, therapeutic or diagnostic applications. |
| 背景资料 | SH3 and multiple ankyrin repeat domains 1-3 (Shank1-3) of the Shank/ProSAP family are molecular scaffolds in the postsynaptic density (PSD). The PSD is an electron-dense structure underneath the postsynaptic plasma membrane of excitatory synapses that anchors and clusters glutamate receptors opposite to the presynaptic neurotransmitter release site. Shank proteins contain PDZ modular domains that coordinate the synaptic localization of ion channels, receptors, signaling enzymes, and cell adhesion molecules. The PDZ domain mediates protein-protein interactions via the recognition of a conserved sequence motif at the C-terminus of their target protein(s). Shank recruits betaPIX and PAK to spines to regulate postsynaptic structure and interacts with NMDA receptor and metabotropic glutamate receptor complexes. Transcript splice variation in the Shank family influences the spectrum of Shank-interacting proteins in the PSDs of adult and developing brain to ensure normal development. |
| 应用 | 推荐稀释比例 |
| {IHC-P} | {1:100-500} |
| {IHC-F} | {1:100-500} |
| {IF} | {1:100-500} |

Antigen retrieval: citrate buffer ( 0.01M, pH 6.0 ), Boiling bathing for 15min; Block endogenous peroxidase by 3% Hydrogen peroxide for 30min; Blocking buffer (normal goat serum,C-0005) at 37℃ for 20 min;
Incubation: Anti-SHANK3 Polyclonal Antibody, Unconjugated(bs-12143R) 1:200, overnight at 4°C, followed by conjugation to the secondary antibody(SP-0023) and DAB(C-0010) staining

风险提示:丁香通仅作为第三方平台,为商家信息发布提供平台空间。用户咨询产品时请注意保护个人信息及财产安全,合理判断,谨慎选购商品,商家和用户对交易行为负责。对于医疗器械类产品,请先查证核实企业经营资质和医疗器械产品注册证情况。
文献和实验[IF={{ 3.052 }}] {Burcu Acikgoz. et al. Gender differences in effects of prenatal and postnatal exposure to electromagnetic field and prenatal zinc on behaviour and synaptic proteins in rats. J Chem Neuroanat. 2022 Jul;122:102092} {IHC} {Rat}
[IF={{ 2.948 }}] {Nevin Ersoy. et al. The Effects of Prenatal and Postnatal Exposure to 50-Hz and 3 mT Electromagnetic Field on Rat Testicular Development. MED LITH. 2023 Jan;59(1):71} {IHC} {Rat}
[IF={{ 11.8 }}] {Mingdan You. et al. Exposure to Nonylphenol in Early Life Causes Behavioural Deficits Related with Autism Spectrum Disorders in Rats. ENVIRON INT. 2023 Sep;:108228} {IF} {Rat}
= NAL), appears to form upon oxidative cyclization of the nonfluorescent 2:1 lysine-HNE Michael adduct-Schiff base cross-link (Scheme 1). Polyclonal antibody (PAb) to the NAL-HNE fluorophore was raised in rabbit and found to be highly specific
GE Healthcare Benzamidine Sepharose™ 6B is p-aminobenzamidine covalently attached to Sepharose 6B by the epoxy coupling method. p-Aminobenzamidine (PAB), is a synthetic inhibitor of trypsin-like serine protease. Trypsin and trypsin
Nucleic Acid Programmable Protein Arrays: Versatile Tools for Array‐Based Functional Protein Studies
.g., Sigma) 50 mg/ml bis‐sulfosuccinimdylsuberate (BS3 ;Pierce, cat. no. PI 21580) in dimethylsulfoxide (DMSO) 5 mg/ml
技术资料暂无技术资料 索取技术资料











