Positive control: H9C2(2% Paraformaldehyde-fixed )
Isotype Control Antibody: Rabbit IgG;
Dilution: 1μg in 100 μl 1 X PBS containing 0.5% BSA
Secondary Antibody: Goat anti-rabbit IgG-FITC;
Dilution: 1:200 in 1 X PBS containing 0.5% BSA
Primary Antibody: rabbit Anti-Calponin 1 + 2 + 3 (bs-4902R);
Dilution: 1μg in 100 μl 1X PBS containing 0.5% BSA
相关产品推荐更多 >

CCDC61 Rabbit pAb(bs-8136R)-50ul/100ul/200ul
¥1180
HSPB6 Recombinant Mouse mAb(bsm-60365M)-50ul/100ul/25ul
¥800
Cytokeratin 19 Mouse mAb, PE conjugated(bsm-33057M-PE)-100ul
¥2980
LDB2 Rabbit pAb, Biotin conjugated(bs-18203R-Bio)-100ul
¥2980
Anti-human TPBG (PF-06263507 Biosimilar)(BIO0354SM)-1mg/5mg/20mg
¥3200
万千商家帮你免费找货
0 人在求购买到急需产品
- 详细信息
- 文献和实验
- 技术资料
- 应用范围:
产品信息以Bioss网站为准
- 规格:
50ul/100ul/200ul
| 规格: | 50ul | 产品价格: | ¥1180.0 |
|---|---|---|---|
| 规格: | 100ul | 产品价格: | ¥1980.0 |
| 规格: | 200ul | 产品价格: | ¥2800.0 |
| 产品编号 | bs-4902R |
| 英文名称 | Calponin 1 + 2 + 3 Rabbit pAb |
| 中文名称 | 钙结合蛋白Calponin抗体 |
| 英文别名 | smooth muscle; Basic calponin; Calponin 1; Calponin 2; Calponin 3; Calponin1; Calponin2; Calponin3; Calponin-1; Calponin-2; Calponin-3; Calponin 1 basic smooth muscle; Calponin H1; Calponin H1 smooth muscle; Calponins basic; CNN 1; Cnn1; CNN2_HUMAN; Sm Calp; SMCC. |
| 产品应用 | IHC-P=1:100-500, IHC-F=1:100-500, IF=1:100-500, Flow-Cyt=1μg/Test Not yet tested in other applications. |
| 交叉反应 | Rat (Human, Mouse, Dog, Pig, Cow, Horse) |
| 抗体来源 | Rabbit |
| 免疫原 | KLH conjugated synthetic peptide derived from human Calponin 1/2/3 |
| 亚型 | IgG |
| 性状 | Liquid |
| 纯化方法 | affinity purified by Protein A |
| 克隆类型 | Polyclonal |
| 理论分子量 | 34 kDa |
| 浓度 | 1mg/ml |
| 储存液 | 0.01M TBS (pH7.4) with 1% BSA, 0.02% Proclin300 and 50% Glycerol. |
| 研究领域 | Cardiovascular > Heart > Contractility > Contractile Proteins > Actins Signal Transduction > Cytoskeleton / ECM > Cytoskeleton > Microfilaments > Actin etc > Actin Binding Proteins |
| 组织特异性 | Heart and smooth muscle. |
| 相似性 | Belongs to the calponin family.
Contains 3 calponin-like repeats. Contains 1 CH (calponin-homology) domain. |
| 功能 | Thin filament-associated protein that is implicated in the regulation and modulation of smooth muscle contraction. It is capable of binding to actin, calmodulin, troponin C and tropomyosin. The interaction of calponin with actin inhibits the actomyosin Mg-ATPase activity. |
| 保存条件 | Shipped at 4℃. Store at -20℃ for one year. Avoid repeated freeze/thaw cycles. |
| 注意事项 | This product as supplied is intended for research use only, not for use in human, therapeutic or diagnostic applications. |
| 背景资料 | Calponin regulates smooth muscle cell contraction and is a marker of smooth muscle cell differentiation. Calponin, an Actin- and Tropomyosin-binding protein, is characterized as an inhibitory factor of smooth-muscle actomyosin activity. Calponin is implicated in the regulation of smooth muscle contraction through its interaction with F-Actin and inhibition of the Actin-activated MgATPase activity of phosphorylated myosin. Both properties are lost following phosphorylation (primarily at Serine 175) by protein kinase C or calmodulin-dependent protein kinase II. The three forms of Calponin, Calponin 1 (basic Calponin), Calponin 2 (neutral Calponin) and Calponin 3 (acidic Calponin) are found in smooth muscle tissue. Additionally, Calponin 2 is found in heart muscle tissue and Calponin 3 is found in the brain. |
| 应用 | 推荐稀释比例 |
| {IHC-P} | {1:100-500} |
| {IHC-F} | {1:100-500} |
| {IF} | {1:100-500} |
| {Flow-Cyt} | {1μg/Test} |


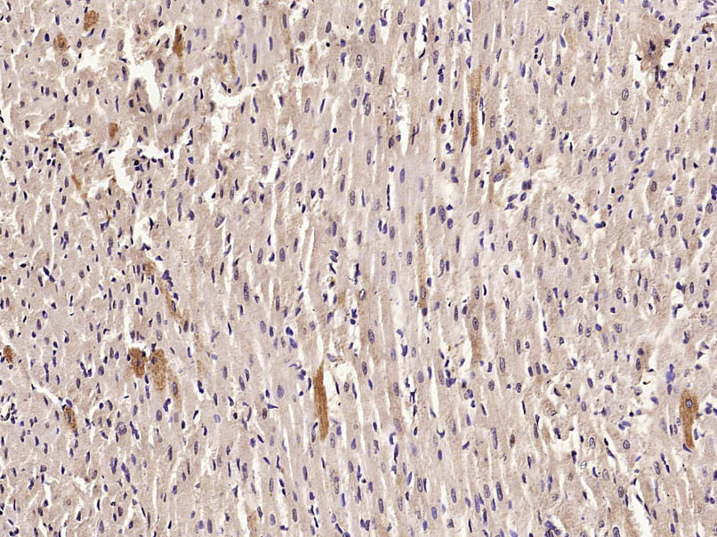
Paraformaldehyde-fixed, paraffin embedded (Rat heart); Antigen retrieval by microwave in sodium citrate buffer (pH6.0) ; Block endogenous peroxidase by 3% hydrogen peroxide for 30 minutes; Blocking buffer (3% BSA) at RT for 30min; Antibody incubation with (Calponin 1 + 2 + 3) Polyclonal Antibody, Unconjugated (bs-4902R) at 1:400 overnight at 4℃, followed by conjugation to the secondary antibody (labeled with HRP)and DAB staining.
风险提示:丁香通仅作为第三方平台,为商家信息发布提供平台空间。用户咨询产品时请注意保护个人信息及财产安全,合理判断,谨慎选购商品,商家和用户对交易行为负责。对于医疗器械类产品,请先查证核实企业经营资质和医疗器械产品注册证情况。
文献和实验该产品被引用文献
[IF={{ 10.6 }}] {Wang Weitie. et al. 3D-printing hydrogel programmed released exosomes to restore aortic medial degeneration through inhibiting VSMC ferroptosis in aortic dissection. J NANOBIOTECHNOL. 2024 Dec;22(1):1-16} {WB} {Mouse}
技术资料暂无技术资料 索取技术资料
文献支持
Calponin 1 + 2 + 3 Rabbit pAb(bs-4902R)-50ul/100ul/200ul
¥1180 - 2800






