相关产品推荐更多 >

GPRC5D Rabbit pAb, PE conjugated(bs-12169R-PE)-100ul
¥2980
Anti-CD3e & Mesothelin & Serum Albumin Reference Antibody (Hpn536 Biosimilar)(BIO0984SM)-100ug/1mg/5mg
¥2160
Oxytocin R Rabbit pAb(bs-25327R)-50ul/100ul/200ul
¥1180
GLUT8 Rabbit pAb(bs-4241R)-50ul/100ul
¥1180
DR5 Rabbit pAb, Cy5 conjugated(bs-1696R-Cy5)-100ul
¥2980
万千商家帮你免费找货
0 人在求购买到急需产品
- 详细信息
- 文献和实验
- 技术资料
- 应用范围:
产品信息以Bioss网站为准
- 规格:
50ul/100ul/200ul
| 规格: | 50ul | 产品价格: | ¥1180.0 |
|---|---|---|---|
| 规格: | 100ul | 产品价格: | ¥1980.0 |
| 规格: | 200ul | 产品价格: | ¥2800.0 |
| 产品编号 | bs-6006R |
| 英文名称 | FBXO31 Rabbit pAb |
| 中文名称 | F-box蛋白家族FBXO31抗体 |
| 英文别名 | F box only protein 31; FBX14; FBX31; FBXO14; pp2386; Putative breast cancer tumor suppressor; SCF ubiquitin ligase specificity factor; FBX31_HUMAN. |
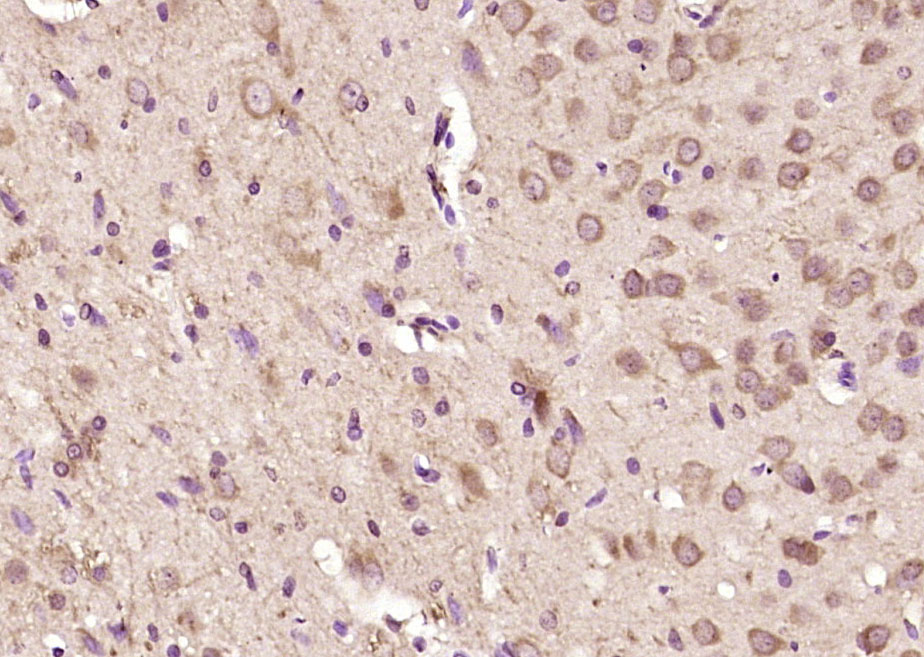
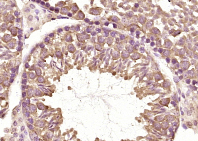
| 产品应用 | WB=1:500-2000, IHC-P=1:100-500, IHC-F=1:100-500, IF=1:100-500 Not yet tested in other applications. |
| 交叉反应 | Mouse, Rat (Human, Chicken, Pig, Cow, Horse, Rabbit, Sheep) |
| 抗体来源 | Rabbit |
| 免疫原 | KLH conjugated synthetic peptide derived from human FBXO31 |
| 亚型 | IgG |
| 性状 | Liquid |
| 纯化方法 | affinity purified by Protein A |
| 克隆类型 | Polyclonal |
| 理论分子量 | 61 kDa |
| 浓度 | 1mg/ml |
| 储存液 | 0.01M TBS (pH7.4) with 1% BSA, 0.02% Proclin300 and 50% Glycerol. |
| 研究领域 | Cancer > Oncoproteins/suppressors > Tumor suppressors Cell Biology > Proteolysis / Ubiquitin > Proteasome / Ubiquitin > Ubiquitin E3 Enzymes > SCF Complex E3 Ligase |
| 亚基 | Part of a SCF (SKP1-cullin-F-box) protein ligase complex. |
| 组织特异性 | Highly expressed in brain. Expressed at moderate levels in most tissues, except bone marrow. |
| 翻译后修饰 | Phosphorylation at Ser-278 by ATM following gamma-irradiation results in its stabilization. |
| 相似性 | Belongs to the FBXO31 family. Contains 1 F-box domain. |
| 功能 | Component of some SCF (SKP1-cullin-F-box) protein ligase complex that plays a central role in G1 arrest following DNA damage. Specifically recognizes phosphorylated cyclin-D1 (CCND1), promoting its ubiquitination and degradation by the proteasome, resulting in G1 arrest. May act as a tumor suppressor. |
| 保存条件 | Shipped at 4℃. Store at -20℃ for one year. Avoid repeated freeze/thaw cycles. |
| 注意事项 | This product as supplied is intended for research use only, not for use in human, therapeutic or diagnostic applications. |
| 背景资料 | FBXO31 belongs to the F-box protein family. Such proteins are characterized by an F-box motif of approximately 40 residues. F-box proteins interact with SKP1 through the F box and they interact with ubiquitination targets through other protein interaction domains. There are two different isoforms. |
| 应用 | 推荐稀释比例 |
| {WB} | {1:500-2000} |
| {IHC-P} | {1:100-500} |
| {IHC-F} | {1:100-500} |
| {IF} | {1:100-500} |

Primary: Anti-FBXO31 (bs-6006R)at 1/300 dilution
Secondary: IRDye800CW Goat Anti-Rabbit IgG at 1/20000 dilution
Predicted band size: 61kD
Observed band size: 63 kD


风险提示:丁香通仅作为第三方平台,为商家信息发布提供平台空间。用户咨询产品时请注意保护个人信息及财产安全,合理判断,谨慎选购商品,商家和用户对交易行为负责。对于医疗器械类产品,请先查证核实企业经营资质和医疗器械产品注册证情况。
文献和实验= NAL), appears to form upon oxidative cyclization of the nonfluorescent 2:1 lysine-HNE Michael adduct-Schiff base cross-link (Scheme 1). Polyclonal antibody (PAb) to the NAL-HNE fluorophore was raised in rabbit and found to be highly specific
GE Healthcare Benzamidine Sepharose™ 6B is p-aminobenzamidine covalently attached to Sepharose 6B by the epoxy coupling method. p-Aminobenzamidine (PAB), is a synthetic inhibitor of trypsin-like serine protease. Trypsin and trypsin
Nucleic Acid Programmable Protein Arrays: Versatile Tools for Array‐Based Functional Protein Studies
.g., Sigma) 50 mg/ml bis‐sulfosuccinimdylsuberate (BS3 ;Pierce, cat. no. PI 21580) in dimethylsulfoxide (DMSO) 5 mg/ml
技术资料暂无技术资料 索取技术资料






