相关产品推荐更多 >
万千商家帮你免费找货
0 人在求购买到急需产品
- 详细信息
- 文献和实验
- 技术资料
- 应用范围:
产品信息以Bioss网站为准
- 规格:
50ul/100ul/200ul
| 规格: | 50ul | 产品价格: | ¥1180.0 |
|---|---|---|---|
| 规格: | 100ul | 产品价格: | ¥1980.0 |
| 规格: | 200ul | 产品价格: | ¥2800.0 |
| 产品编号 | bs-11643R |
| 英文名称 | CLACP Rabbit pAb |
| 中文名称 | 阿尔茨海默病淀粉样蛋白相关胶原蛋白抗体 |
| 英文别名 | Alzheimer disease amyloid associated protein; AMY; CLAC; CLAC P; CLAC precursor; COL25A1; COL25A1 protein; Collagen alpha 1 XXV chain; Collagen alpha 1(XXV) chain; Collagen like Alzheimer amyloid plaque component; Collagen like Alzheimer amyloid plaque component precursor; Collagen type XXV alpha 1; Collagenous Alzheimer amyloid plaque component. |
| 产品应用 | WB=1:500-2000, IHC-P=1:100-500, IHC-F=1:100-500, IF=1:100-500 Not yet tested in other applications. |
| 交叉反应 | Mouse, Rat (Human, Chicken, Dog, Cow, Horse, Sheep) |
| 抗体来源 | Rabbit |
| 免疫原 | KLH conjugated synthetic peptide derived from human CLACP |
| 亚型 | IgG |
| 性状 | Liquid |
| 纯化方法 | affinity purified by Protein A |
| 克隆类型 | Polyclonal |
| 理论分子量 | 65 kDa |
| 浓度 | 1mg/ml |
| 储存液 | 0.01M TBS (pH7.4) with 1% BSA, 0.02% Proclin300 and 50% Glycerol. |
| 亚基 | o assemble amyloid fibrils into protease-resistant aggregates. Binds heparin. [SUBUNIT] Forms homodimers and homotrimers. Binds to the fibrillized forms of beta amyloid peptide 40 (beta-APP40) and beta amyloid peptide 42 (beta-APP42). Found associated with beta-APP42 more frequently than with beta-APP40. |
| 亚细胞定位 | Membrane; Single-pass type II membrane protein (Potential). Note=After proteolytic cleavage, CLAC is secreted. |
| 组织特异性 | Expressed predominantly in brain. Deposited preferentially in primitive or neuritic amyloid plaques which are typical of Alzheimer disease. |
| 翻译后修饰 | Undergoes proteolytic cleavage by furin protease to yield the soluble collagen-like Alzheimer amyloid plaque component. Glycosylated. Hydroxylated on 11% of proline residues and 49% of lysine residues. |
| 相似性 | Contains 7 collagen-like domains. |
| 功能 | Antibodies against senile plaque (SP) amyloid obtained a clone 9D2, which labeled amyloid fibrils in SPs and reacted with approximately 50/100 kDa polypeptides in Alzheimer's diseased (AD) brains. The 9D2 antigen was identified as CLAC (collagen like Alzheimer amyloid plaque component), and its precursor as CLACP/collagen type XXV. Both secreted and membrane tethered forms of CLACP/collagen type XXV specifically bound to fibrillized Abeta, implicating these proteins in beta amyloidogenesis and neuronal degeneration in AD. |
| 保存条件 | Shipped at 4℃. Store at -20℃ for one year. Avoid repeated freeze/thaw cycles. |
| 注意事项 | This product as supplied is intended for research use only, not for use in human, therapeutic or diagnostic applications. |
| 背景资料 | Collagen proteins (products of the COL gene family) are fibrous, extracellular matrix proteins with high tensile strength and are the major components of connective tissue such as tendons and cartilage. All collagens contain a triple helix domain and frequently show lateral self-association in order to form complex connective tissues. The Collagen Type XXV precursor produces the proteolytic fragment CLAC (collagenous Alzheimer amyloid plaque component), which deposits in senile plaques associated with amyloid beta peptides (Abeta) in the brains of patients with Alzheimer's disease. CLAC binds to the fibrillized form of Abeta, which disturbs the structure and function of plasma membranes. |
| 应用 | 推荐稀释比例 |
| {WB} | {1:500-2000} |
| {IHC-P} | {1:100-500} |
| {IHC-F} | {1:100-500} |
| {IF} | {1:100-500} |


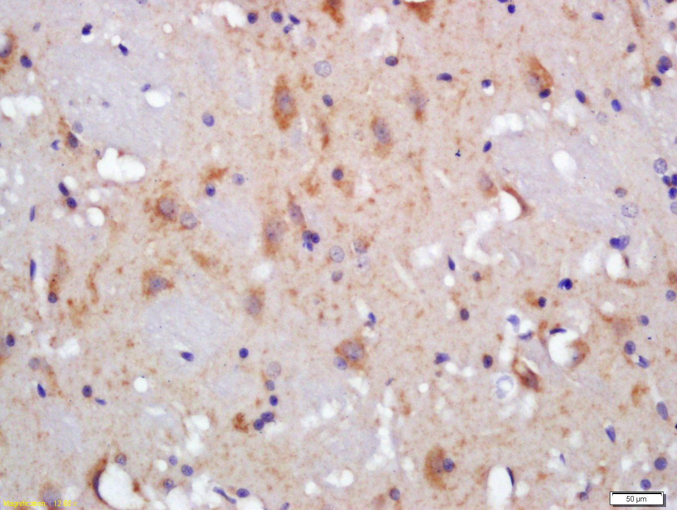
Antigen retrieval: citrate buffer ( 0.01M, pH 6.0 ), Boiling bathing for 15min; Block endogenous peroxidase by 3% Hydrogen peroxide for 30min; Blocking buffer (normal goat serum,C-0005) at 37℃ for 20 min;
Incubation: Anti-CLACP Polyclonal Antibody, Unconjugated(bs-11643R) 1:200, overnight at 4°C, followed by conjugation to the secondary antibody(SP-0023) and DAB(C-0010) staining

Heart (Mouse) Lysate at 40 ug
Cerebrum (Mouse) Lysate at 40 ug
Primary: Anti- CLACP (bs-11643R) at 1/1000 dilution
Secondary: IRDye800CW Goat Anti-Rabbit IgG at 1/20000 dilution
Predicted band size: 65 kD
Observed band size: 57 kD
风险提示:丁香通仅作为第三方平台,为商家信息发布提供平台空间。用户咨询产品时请注意保护个人信息及财产安全,合理判断,谨慎选购商品,商家和用户对交易行为负责。对于医疗器械类产品,请先查证核实企业经营资质和医疗器械产品注册证情况。
文献和实验= NAL), appears to form upon oxidative cyclization of the nonfluorescent 2:1 lysine-HNE Michael adduct-Schiff base cross-link (Scheme 1). Polyclonal antibody (PAb) to the NAL-HNE fluorophore was raised in rabbit and found to be highly specific
GE Healthcare Benzamidine Sepharose™ 6B is p-aminobenzamidine covalently attached to Sepharose 6B by the epoxy coupling method. p-Aminobenzamidine (PAB), is a synthetic inhibitor of trypsin-like serine protease. Trypsin and trypsin
Nucleic Acid Programmable Protein Arrays: Versatile Tools for Array‐Based Functional Protein Studies
.g., Sigma) 50 mg/ml bis‐sulfosuccinimdylsuberate (BS3 ;Pierce, cat. no. PI 21580) in dimethylsulfoxide (DMSO) 5 mg/ml
技术资料暂无技术资料 索取技术资料







