相关产品推荐更多 >

SAMD11 Rabbit pAb, HRP conjugated(bs-19372R-HRP)-100ul
¥2980
phospho-IKB alpha (Ser32) Rabbit pAb, AP conjugated(bs-18128R-AP)-100ul
¥2980
Melanophilin Rabbit pAb(bs-18784R)-50ul/100ul/200ul
¥1180
Aurora B Rabbit pAb, HRP conjugated(bs-22286R-HRP)-100ul
¥2980
DYRK2 Rabbit pAb, AP conjugated(bs-12332R-AP)-100ul
¥2980
万千商家帮你免费找货
0 人在求购买到急需产品
- 详细信息
- 文献和实验
- 技术资料
- 应用范围:
产品信息以Bioss网站为准
- 规格:
50ul/100ul/200ul
| 规格: | 50ul | 产品价格: | ¥1180.0 |
|---|---|---|---|
| 规格: | 100ul | 产品价格: | ¥1980.0 |
| 规格: | 200ul | 产品价格: | ¥2800.0 |
| 产品编号 | bs-0595R |
| 英文名称 | DMBT1 Rabbit pAb |
| 中文名称 | 抑癌基因抗体 |
| 英文别名 | GP340; Apactin; CRP; CRP-[a]; CRP-[b]; CRP-ductin; Crpd; DBMT1; Deleted in malignant brain tumors 1; Deleted in malignant brain tumors 1 protein; DMBT 1; DMBT1; DMBT1 prototype precursor; DMBT1/6kb.1 protein precursor; DMBT1/8kb.1 protein; DMBT1/8kb.2 protein precursor; Ebnerin; Glycoprotein 300; Glycoprotein 340; Gp 340; gp300; Gp340 variant protein; Hensin; Mucin-like glycoprotein; Muclin; p80; Pancrin; Salivary agglutinin; Surfactant pulmonary associated D binding protein; Surfactant pulmonary associated protein D binding protein; Vomeroglandin. |
| 产品应用 | IHC-P=1:100-500, IHC-F=1:100-500, IF=1:100-500 Not yet tested in other applications. |
| 交叉反应 | Mouse (Human, Rat) |
| 抗体来源 | Rabbit |
| 免疫原 | KLH conjugated synthetic peptide derived from human DMBT1 |
| 亚型 | IgG |
| 性状 | Liquid |
| 纯化方法 | affinity purified by Protein A |
| 克隆类型 | Polyclonal |
| 理论分子量 | 156-265 kDa |
| 浓度 | 1mg/ml |
| 储存液 | 0.01M TBS (pH7.4) with 1% BSA, 0.02% Proclin300 and 50% Glycerol. |
| 亚基 | Binds SFTPD and SPAR in a calcium-dependent manner. Interacts with LGALS3. |
| 亚细胞定位 | Secreted. Some isoforms may be membrane-bound. Localized to the lumenal aspect of crypt cells in the small intestine. In the colon, seen in the lumenal aspect of surface epithelial cells. Formed in the ducts of von Ebner gland, and released into the fluid bathing the taste buds contained in the taste papillae. |
| 组织特异性 | Highly expressed in alveolar and macrophage tissues. In some macrophages, expression is seen on the membrane, and in other macrophages, strongly expressed in the phagosome/phagolysosome compartments. Expressed in lung, trachea, salivary gland, small intestine and stomach. In pancreas, expressed in certain cells of the islets of Langerhans. In digestive tract, confined to tissues with large epithelial surfaces. In intestinal tissue, moderately expressed in epithelial cells of the midcrypts and the crypt base. Expression is significantly elevated in intestinal tissue from patients with inflammatory bowel disease (IBD), particularly in surface epithelial and Paneth cells, but not in IBD patients with mutant NOD2. Present in crypt bases of the duodenum, in crypt tops of the colon, and in collecting ducts of the cortical kidney. Expressed in stratified squamous epithelium of vagina and in outer luminar surface and basilar region of columnar epithelial cells in cervix (at protein level). Isoform 1 is secreted to the lumen of the respiratory tract. |
| 翻译后修饰 | Highly N- and O-glycosylated. The O-glycans are heavily sulfated. |
| 相似性 | Belongs to the DMBT1 family. Contains 2 CUB domains. Contains 14 SRCR domains. Contains 1 ZP domain. |
| 功能 | May be considered as a candidate tumor suppressor gene for brain, lung, esophageal, gastric, and colorectal cancers. May play roles in mucosal defense system, cellular immune defense and epithelial differentiation. May play a role as an opsonin receptor for SFTPD and SPAR in macrophage tissues throughout the body, including epithelial cells lining the gastrointestinal tract. May play a role in liver regeneration. May be an important factor in fate decision and differentiation of transit-amplifying ductular (oval) cells within the hepatic lineage. Required for terminal differentiation of columnar epithelial cells during early embryogenesis. May function as a binding protein in saliva for the regulation of taste sensation. Binds to HIV-1 envelope protein and has been shown to both inhibit and facilitate viral transmission. Displays a broad calcium-dependent binding spectrum against both Gram-positive and Gram-negative bacteria, suggesting a role in defense against bacterial pathogens. Binds to a range of poly-sulfated and poly-phosphorylated ligands which may explain its broad bacterial-binding specificity. Inhibits cytoinvasion of S.enterica. Associates with the actin cytoskeleton and is involved in its remodeling during regulated exocytosis. Interacts with pancreatic zymogens in a pH-dependent manner and may act as a Golgi cargo receptor in the regulated secretory pathway of the pancreatic acinar cell. |
| 保存条件 | Shipped at 4℃. Store at -20℃ for one year. Avoid repeated freeze/thaw cycles. |
| 注意事项 | This product as supplied is intended for research use only, not for use in human, therapeutic or diagnostic applications. |
| 背景资料 | DMBT 1 may play roles in mucosal defense system, cellular immune defense and epithelial differentiation. May play a role in liver regeneration. May be an important factor in fate decision and differentiation of transit-amplifying ductular(oval) cells within the hepatic lineage. May function as a binding protein in saliva for the regulation of taste sensation. May play a role as an opsonin receptor for SFTPD and SPAR in macrophages tissues throughout the body, including epithelial cells lining the gastrointestinal tract. Required for terminal differentiation of columnar epithelial cells during early embryogenesis. [Subcellular Location] Secreted. Membrane. [Tissue Specificity] Expressed in von Ebner glands (VEG) (at protein level), olfactory epithelium and the lateral nasal gland. Expressed in transit-amplifying ductular (oval) cells. Up-regulated at day 3 after hepatectomy. Expressed in newly formed bile ducts and in structures resembling intestinal epithelium. Belongs to the DMBT1 family. |
| 应用 | 推荐稀释比例 |
| {IHC-P} | {1:100-500} |
| {IHC-F} | {1:100-500} |
| {IF} | {1:100-500} |

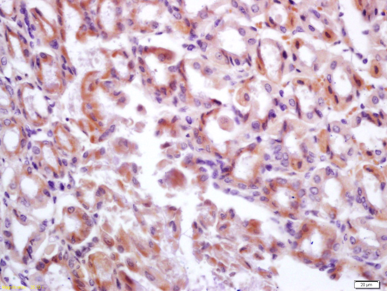
Antigen retrieval: citrate buffer ( 0.01M, pH 6.0 ), Boiling bathing for 15min; Block endogenous peroxidase by 3% Hydrogen peroxide for 30min; Blocking buffer (normal goat serum,C-0005) at 37℃ for 20 min;
Incubation: Anti-GP340/DMBT1 Polyclonal Antibody, Unconjugated(bs-0595R) 1:200, overnight at 4°C, followed by conjugation to the secondary antibody(SP-0023) and DAB(C-0010) staining
风险提示:丁香通仅作为第三方平台,为商家信息发布提供平台空间。用户咨询产品时请注意保护个人信息及财产安全,合理判断,谨慎选购商品,商家和用户对交易行为负责。对于医疗器械类产品,请先查证核实企业经营资质和医疗器械产品注册证情况。
文献和实验[IF={{ 3.743 }}] {Zhao Y et al. DMBT1 has a protective effect on allergic rhinitis. Biomed Pharmacother. 2020 Jan;121:109675.} {WB} {Mouse}
= NAL), appears to form upon oxidative cyclization of the nonfluorescent 2:1 lysine-HNE Michael adduct-Schiff base cross-link (Scheme 1). Polyclonal antibody (PAb) to the NAL-HNE fluorophore was raised in rabbit and found to be highly specific
GE Healthcare Benzamidine Sepharose™ 6B is p-aminobenzamidine covalently attached to Sepharose 6B by the epoxy coupling method. p-Aminobenzamidine (PAB), is a synthetic inhibitor of trypsin-like serine protease. Trypsin and trypsin
Nucleic Acid Programmable Protein Arrays: Versatile Tools for Array‐Based Functional Protein Studies
.g., Sigma) 50 mg/ml bis‐sulfosuccinimdylsuberate (BS3 ;Pierce, cat. no. PI 21580) in dimethylsulfoxide (DMSO) 5 mg/ml
技术资料暂无技术资料 索取技术资料





