相关产品推荐更多 >

RGC32/C13orf15 Rabbit pAb, PerCP conjugated(bs-9079R-PerCP)-100ul
¥2980
VEGFR2 Rabbit pAb, APC-Cy7 conjugated(bs-0565R-APC-Cy7)-100ul
¥2980
Estrogen receptor alpha Rabbit pAb, BF555 conjugated(bs-0254R-BF555)-100ul
¥2980
ALPK3 Rabbit pAb(bs-20040R)-50ul/100ul/200ul
¥1180
SNAIL + SLUG Rabbit pAb, APC-Cy5.5 conjugated(bs-11961R-APC-Cy5.5)-100ul
¥2980
万千商家帮你免费找货
0 人在求购买到急需产品
- 详细信息
- 询价记录
- 文献和实验
- 技术资料
- 应用范围:
产品信息以Bioss网站为准
- 规格:
50ul/100ul/200ul
| 规格: | 50ul | 产品价格: | ¥1180.0 |
|---|---|---|---|
| 规格: | 100ul | 产品价格: | ¥1980.0 |
| 规格: | 200ul | 产品价格: | ¥2800.0 |
| 产品编号 | bs-1718R |
| 英文名称 | ATP7B Rabbit pAb |
| 中文名称 | 铜转运蛋白质β链抗体 |
| 英文别名 | ATPase Cu++transporting beta polypeptide; Copper pump 2; Copper transporting ATPase 2; PWD; Toxic milk; tx; WC1; Wilson disease associated protein; WND. |
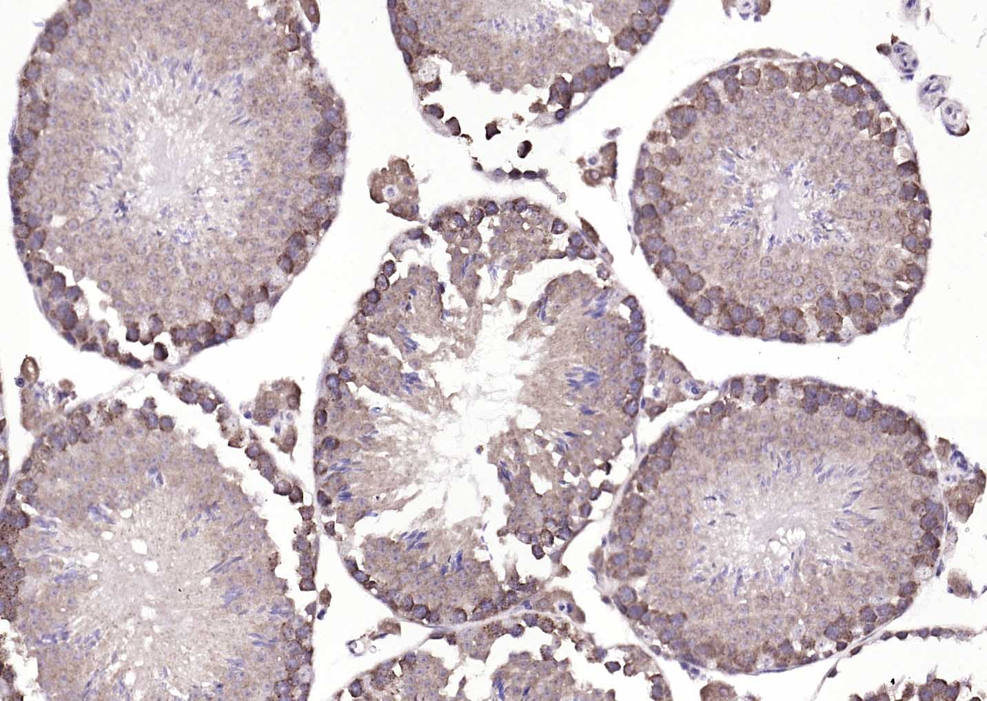
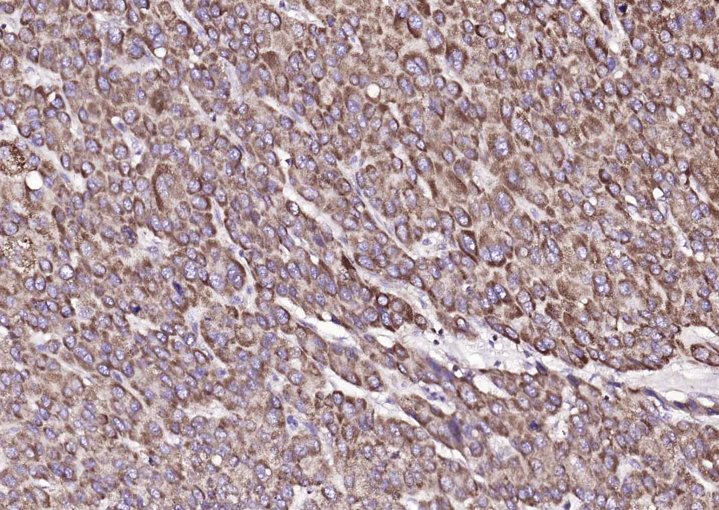
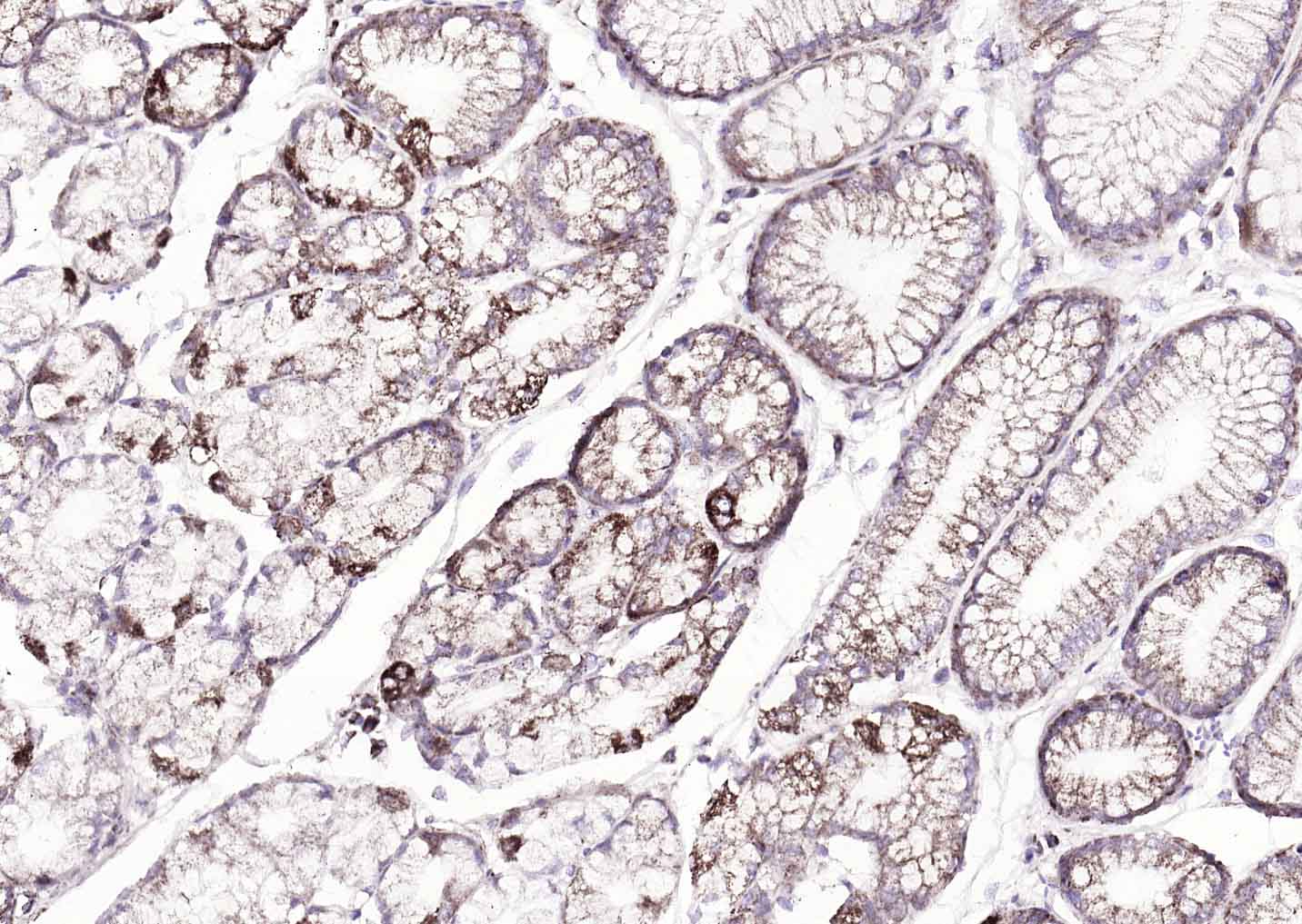
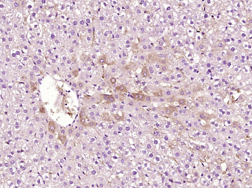
| 产品应用 | IHC-P=1:100-500, IHC-F=1:100-500, IF=1:100-500 Not yet tested in other applications. |
| 交叉反应 | Human, Mouse, Rat (Chicken, Pig, Rabbit) |
| 抗体来源 | Rabbit |
| 免疫原 | KLH conjugated synthetic peptide derived from human ATP7B |
| 亚型 | IgG |
| 性状 | Liquid |
| 纯化方法 | affinity purified by Protein A |
| 克隆类型 | Polyclonal |
| 理论分子量 | 161 kDa |
| 浓度 | 1mg/ml |
| 储存液 | 0.01M TBS (pH7.4) with 1% BSA, 0.02% Proclin300 and 50% Glycerol. |
| 研究领域 | Metabolism > Pathways and Processes > Cofactors, Vitamins / minerals > Vitamins / minerals Metabolism > Types of disease > Cancer Signal Transduction > Metabolism > Vitamins / Minerals |
| 亚基 | Monomer. Interacts with COMMD1/MURR1. |
| 亚细胞定位 | Golgi apparatus, trans-Golgi network membrane; Multi-pass membrane protein. Isoform 2: Cytoplasm. WND/140 kDa: Mitochondrion. |
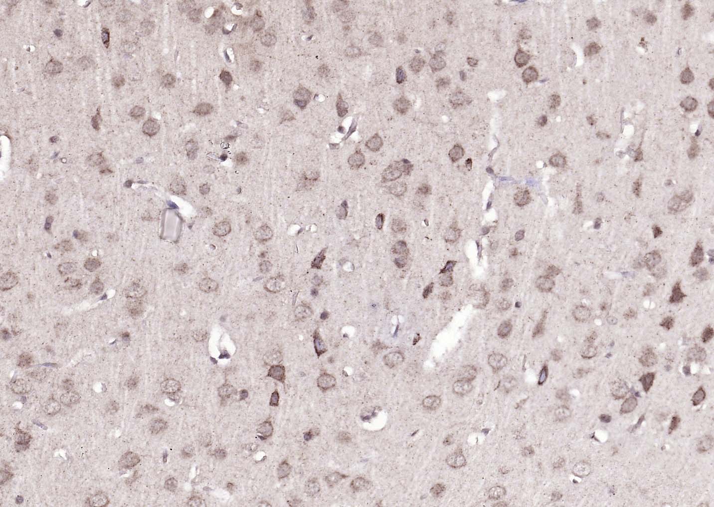
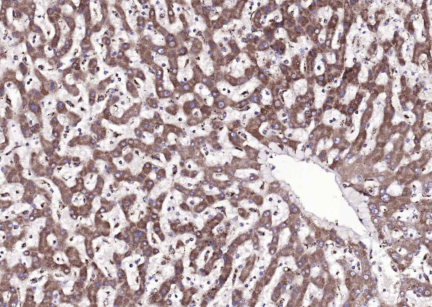
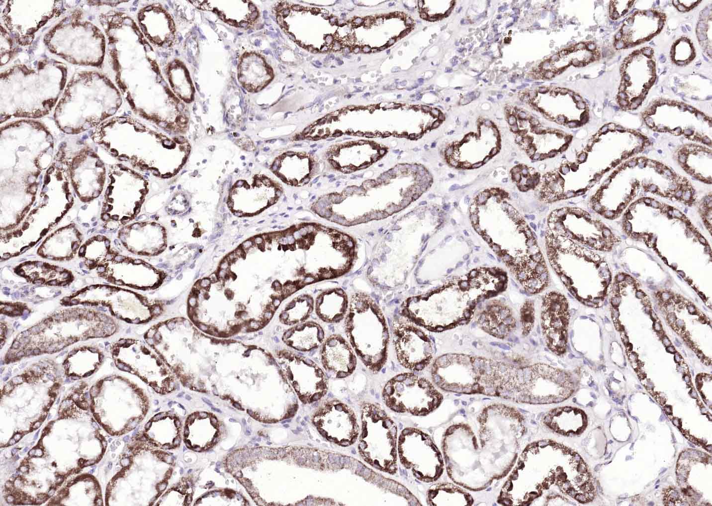
| 组织特异性 | Most abundant in liver and kidney and also found in brain. Isoform 2 is expressed in brain but not in liver. The cleaved form WND/140 kDa is found in liver cell lines and other tissues. |
| 翻译后修饰 | Isoform 1 may be proteolytically cleaved at the N-terminus to produce the WND/140 kDa form. |
| 相似性 | Belongs to the cation transport ATPase (P-type) (TC 3.A.3) family. Type IB subfamily.
Contains 6 HMA domains. |
| 功能 | Involved in the export of copper out of the cells, such as the efflux of hepatic copper into the bile. |
| 保存条件 | Shipped at 4℃. Store at -20℃ for one year. Avoid repeated freeze/thaw cycles. |
| 注意事项 | This product as supplied is intended for research use only, not for use in human, therapeutic or diagnostic applications. |
| 背景资料 | ATP7b is an important protein for copper transport and elimination of excess copper from the body. ATP7b transports metals in and out of cells using ATP. There are 3 known isoforms of the ATP7b gene; A is found in the liver, kidney, and brain, the shorter form B is found in brain tissue, and the third isoform, known as WND/140 KDA is found in mitochondria. Mutations in the ATP7b gene can cause Wilson's disease, an inherited disorder causing copper poisoning in the brain and liver. |
| 应用 | 推荐稀释比例 |
| {IHC-P} | {1:100-500} |
| {IHC-F} | {1:100-500} |
| {IF} | {1:100-500} |









风险提示:丁香通仅作为第三方平台,为商家信息发布提供平台空间。用户咨询产品时请注意保护个人信息及财产安全,合理判断,谨慎选购商品,商家和用户对交易行为负责。对于医疗器械类产品,请先查证核实企业经营资质和医疗器械产品注册证情况。
- 作者
- 内容
- 询问日期
文献和实验[IF={{ 4.527 }}] {Carotenuto R et al. Impact of copper in Xenopus laevis liver: Histological damages and atp7b downregulation. Ecotoxicol Environ Saf. 2020 Jan 30;188:109940.} {WB,IHC} {Xenopus laevis}
[IF={{ 2.09 }}] {Wang, Xurui, et al. "miR-133a enhances the sensitivity of Hep-2 cells and vincristine-resistant Hep-2v cells to cisplatin by downregulating ATP7B expression." International Journal of Molecular Medicine. 37(6):1636-42.} {Other} {=""}
技术资料暂无技术资料 索取技术资料





