相关产品推荐更多 >

Dopamine D3 receptor Rabbit pAb, RBITC conjugated(bs-1743R-RBITC)-100ul
¥2980
NUDT14 Rabbit pAb, HRP conjugated(bs-19511R-HRP)-100ul
¥2980
HMGB1 Rabbit pAb, Cy3 conjugated(bs-0664R-Cy3)-100ul
¥2980
HCAP G Rabbit pAb(bs-15422R)-50ul/100ul/200ul
¥1180
Bcl-2 Rabbit pAb, PE-Cy5.5 conjugated(bs-20352R-PE-Cy5.5)-100ul
¥2980
万千商家帮你免费找货
0 人在求购买到急需产品
- 详细信息
- 技术资料
- 应用范围:
产品信息以Bioss网站为准
- 规格:
50ul/100ul/200ul
| 规格: | 50ul | 产品价格: | ¥1180.0 |
|---|---|---|---|
| 规格: | 100ul | 产品价格: | ¥1980.0 |
| 规格: | 200ul | 产品价格: | ¥2800.0 |
| 产品编号 | bs-7755R |
| 英文名称 | MSF/Cell division control protein septin D1 Rabbit pAb |
| 中文名称 | 细胞周期调控蛋白D1抗体 |
| 英文别名 | Cell division control protein septin D1; KIAA0991; MLL septin like fusion protein; MLL septin-like fusion protein; MLL septin-like fusion protein MSF-A; MSF; MSF1; Ov/Br septin; Ovarian/breast septin alpha; Ovarian/Breast septin; PNUTL4; SEPT9; SEPT9_HUMAN; Septin 9; Septin D1; Septin-9; SINT1; AF17q25. |
| 产品应用 | IHC-P=1:100-500, IHC-F=1:100-500, IF=1:100-500 Not yet tested in other applications. |
| 交叉反应 | Human, Mouse (Rat, Pig, Cow, Horse, Rabbit) |
| 抗体来源 | Rabbit |
| 免疫原 | KLH conjugated synthetic peptide derived from human MSF |
| 亚型 | IgG |
| 性状 | Liquid |
| 纯化方法 | affinity purified by Protein A |
| 克隆类型 | Polyclonal |
| 理论分子量 | 65 kDa |
| 浓度 | 1mg/ml |
| 储存液 | 0.01M TBS (pH7.4) with 1% BSA, 0.02% Proclin300 and 50% Glycerol. |
| 亚基 | Septins polymerize into heterooligomeric protein complexes that form filaments, and associate with cellular membranes, actin filaments, and microtubules. GTPase activity is required for filament formation. Interacts with SEPT2, SEPT6, SEPT7, SEPT11 and SEPT14. Interacts with RTKN and ARHGEF18. In a mesenchymal cell line, Rho/RTKN signals cause disruption of wild-type septin filaments, but not of those containing isoform 2 variants HNA Trp-106 and Phe-111. In a mesenchymal cell line, isoform 2 variants HNA Trp-106 and Phe-111, but not wild type, form filaments with SEPT4. |
| 亚细胞定位 | Cytoplasm, cytoskeleton. Note=In an epithelial cell line, concentrates at cell-cell contact areas. After TGF-beta1 treatment and induction of epithelial to mesenchymal transition, colocalizes partly with actin stress fibers. During bacterial infection, displays a collar shape structure next to actin at the pole of invading bacteria. |
| 组织特异性 | Widely expressed. Isoforms are differentially expressed in testes, kidney, liver heart, spleen, brain, peripheral blood leukocytes, skeletal muscle and kidney. Specific isoforms appear to demonstrate tissue specificity. Isoform 5 is the most highly expressed in fetal tissue. Isoform 1 is detected in all tissues except the brain and thymus, while isoform 2, isoform 3, and isoform 4 are detected at low levels in approximately half of the fetal tissues. |
| 相似性 | Belongs to the septin family. |
| 功能 | Filament-forming cytoskeletal GTPase (By similarity). May play a role in cytokinesis (Potential). May play a role in the internalization of 2 intracellular microbial pathogens, Listeria monocytogenes and Shigella flexneri. |
| 保存条件 | Shipped at 4℃. Store at -20℃ for one year. Avoid repeated freeze/thaw cycles. |
| 注意事项 | This product as supplied is intended for research use only, not for use in human, therapeutic or diagnostic applications. |
| 背景资料 | Filament-forming cytoskeletal GTPase (By similarity). May play a role in cytokinesis (Potential). May play a role in the internalization of 2 intracellular microbial pathogens, Listeria monocytogenes and Shigella flexneri.Tissue specificity: Widely expressed. Isoforms are differentially expressed in testes, kidney, liver heart, spleen, brain, peripheral blood leukocytes, skeletal muscle and kidney. Specific isoforms appear to demonstrate tissue specificity. Isoform 5 is the most highly expressed in fetal tissue. Isoform 1 is detected in all tissues except the brain and thymus, while isoform 2, isoform 3, and isoform 4 are detected at low levels in approximately half of the fetal tissues. |
| 应用 | 推荐稀释比例 |
| {IHC-P} | {1:100-500} |
| {IHC-F} | {1:100-500} |
| {IF} | {1:100-500} |

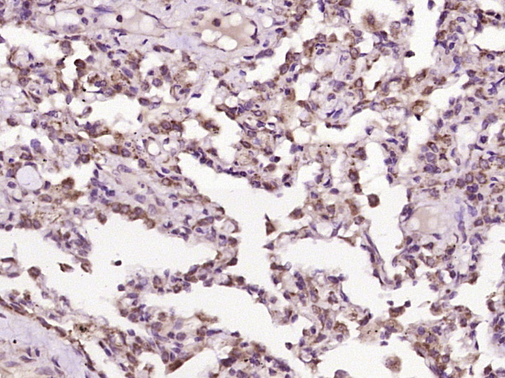
Paraformaldehyde-fixed, paraffin embedded (human lung carcinoma); Antigen retrieval by boiling in sodium citrate buffer (pH6.0) for 15min; Block endogenous peroxidase by 3% hydrogen peroxide for 20 minutes; Blocking buffer (normal goat serum) at 37°C for 30min; Antibody incubation with (SEPT9) Polyclonal Antibody, Unconjugated (bs-7755R) at 1:400 overnight at 4°C, followed by operating according to SP Kit(Rabbit) (sp-0023) instructionsand DAB staining.

Paraformaldehyde-fixed, paraffin embedded (mouse brain tissue); Antigen retrieval by boiling in sodium citrate buffer (pH6.0) for 15min; Block endogenous peroxidase by 3% hydrogen peroxide for 20 minutes; Blocking buffer (normal goat serum) at 37°C for 30min; Antibody incubation with (SEPT9) Polyclonal Antibody, Unconjugated (bs-7755R) at 1:400 overnight at 4°C, followed by operating according to SP Kit(Rabbit) (sp-0023) instructionsand DAB staining.
风险提示:丁香通仅作为第三方平台,为商家信息发布提供平台空间。用户咨询产品时请注意保护个人信息及财产安全,合理判断,谨慎选购商品,商家和用户对交易行为负责。对于医疗器械类产品,请先查证核实企业经营资质和医疗器械产品注册证情况。
技术资料暂无技术资料 索取技术资料
MSF/Cell division control protein septin D1 Rabbit pAb(bs-7755R)-50ul/100ul/200ul
¥1180 - 2800





