相关产品推荐更多 >

phospho-CDKN1B (Ser10) Rabbit pAb, Biotin conjugated(bs-20074R-Bio)-100ul
¥2980
PDCD4 Rabbit pAb, Biotin conjugated(bs-1608R-Bio)-100ul
¥2980
ITGB4/CD104 Rabbit pAb, HRP conjugated(bs-10028R-HRP)-100ul
¥2980
TOMM20 Rabbit pAb(bs-22121R)-50ul/100ul/200ul
¥1180
Anti-human RHD / CD240d (LFB Anti-RhD Biosimilar)(BIO0758SM)-1mg/5mg/20mg
¥3200
万千商家帮你免费找货
0 人在求购买到急需产品
- 详细信息
- 文献和实验
- 技术资料
- 应用范围:
产品信息以Bioss网站为准
- 规格:
50ul/100ul/200ul
| 规格: | 50ul | 产品价格: | ¥1180.0 |
|---|---|---|---|
| 规格: | 100ul | 产品价格: | ¥1980.0 |
| 规格: | 200ul | 产品价格: | ¥2800.0 |
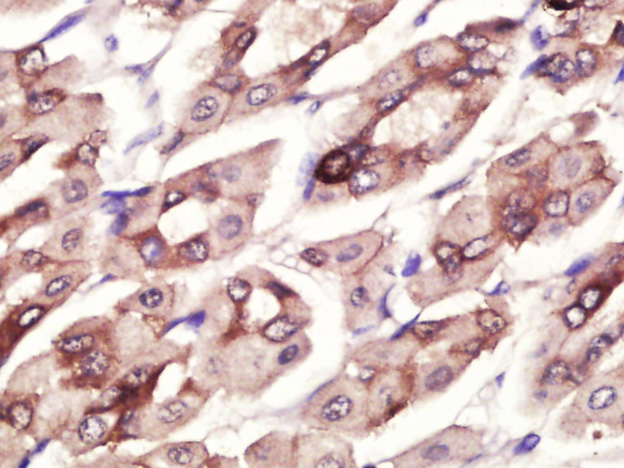
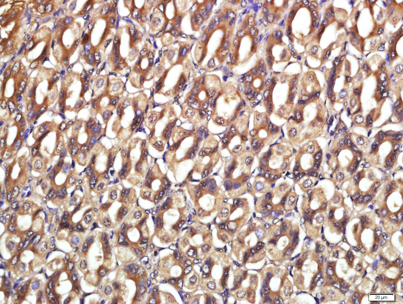
| 产品编号 | bs-5880R |
| 英文名称 | CDCP1 Rabbit pAb |
| 中文名称 | CD318抗体 |
| 英文别名 | CD 318; CD318; CD318 antigen; CDCP 1; Cdcp1; CDCP1_HUMAN; CUB domain containing protein 1; CUB domain-containing protein 1; Membrane glycoprotein gp140; SIMA 135; SIMA135; Subtractive immunization M plus HEp3 associated 135 kDa protein; Subtractive immunization M plus HEp3-associated 135 kDa protein; Transmembrane and associated with src kinases; TRASK. |
| 产品应用 | IHC-P=1:100-500, IHC-F=1:100-500, IF=1:100-500 Not yet tested in other applications. |
| 交叉反应 | Mouse (Human, Rat, Chicken) |
| 抗体来源 | Rabbit |
| 免疫原 | KLH conjugated synthetic peptide derived from human CDCP1/CD318 |
| 亚型 | IgG |
| 性状 | Liquid |
| 纯化方法 | affinity purified by Protein A |
| 克隆类型 | Polyclonal |
| 理论分子量 | 90 kDa |
| 浓度 | 1mg/ml |
| 储存液 | 0.01M TBS (pH7.4) with 1% BSA, 0.02% Proclin300 and 50% Glycerol. |
| 研究领域 | Cancer > Invasion/microenvironment > ECM > Extracellular matrix Cancer > Tumor biomarkers Stem Cells > Hematopoietic Progenitors > Surface Molecules Tags & Cell Markers > Cell Type Markers > Tumor Associated |
| 亚基 | Interacts with CDH2/N-cadherin, CDH3/P-cadherin, SDC1/syndecan-1, SDC4/syndecan-4 and the serine protease ST14/MT-SP1. Also interacts with SRC and PRKCG/protein kinase C gamma. |
| 亚细胞定位 | Secreted and Cell membrane. Shedding may also lead to a soluble peptide. |
| 组织特异性 | Highly expressed in mitotic cells with low expression during interphase. Detected at highest levels in skeletal muscle and colon with lower levels in kidney, small intestine, placenta and lung. Up-regulated in a number of human tumor cell lines, as well as in colorectal cancer, breast carcinoma and lung cancer. Also expressed in cells with phenotypes reminiscent of mesenchymal stem cells and neural stem cells. |
| 翻译后修饰 | Phosphorylated on tyrosine by kinases of the SRC family such as SRC and YES as well as by the protein kinase C gamma/PRKCG. Dephosphorylated by phosphotyrosine phosphatases. Also phosphorylated by suramin, a heparin analog. Tyrosine phosphorylated in response to dissociation of integrin alpha-6 beta-4 from laminin-5. N-glycosylated. A soluble form may also be produced by proteolytic cleavage at the cell surface (shedding). Another peptide of 80 kDa (p80) is present in cultured keratinocytes probably due to tryptic cleavage at an unidentified site on its N-terminal side. Converted to p80 by plasmin, a trypsin-like protease. |
| 相似性 | Contains 1 CUB domain. |
| 功能 | May be involved in cell adhesion and cell matrix association. May play a role in the regulation of anchorage versus migration or proliferation versus differentiation via its phosphorylation. May be a novel marker for leukemia diagnosis and for immature hematopoietic stem cell subsets. Belongs to the tetraspanin web involved in tumor progression and metastasis. |
| 保存条件 | Shipped at 4℃. Store at -20℃ for one year. Avoid repeated freeze/thaw cycles. |
| 注意事项 | This product as supplied is intended for research use only, not for use in human, therapeutic or diagnostic applications. |
| 背景资料 | May be involved in cell adhesion and cell matrix association. May play a role in the regulation of anchorage versus migration or proliferation versus differentiation via its phosphorylation. May be a novel marker for leukemia diagnosis and for immature hematopoietic stem cell subsets. Belongs to the tetraspanin web involved in tumor progression and metastasis. |
| 应用 | 推荐稀释比例 |
| {IHC-P} | {1:100-500} |
| {IHC-F} | {1:100-500} |
| {IF} | {1:100-500} |


风险提示:丁香通仅作为第三方平台,为商家信息发布提供平台空间。用户咨询产品时请注意保护个人信息及财产安全,合理判断,谨慎选购商品,商家和用户对交易行为负责。对于医疗器械类产品,请先查证核实企业经营资质和医疗器械产品注册证情况。
文献和实验= NAL), appears to form upon oxidative cyclization of the nonfluorescent 2:1 lysine-HNE Michael adduct-Schiff base cross-link (Scheme 1). Polyclonal antibody (PAb) to the NAL-HNE fluorophore was raised in rabbit and found to be highly specific
GE Healthcare Benzamidine Sepharose™ 6B is p-aminobenzamidine covalently attached to Sepharose 6B by the epoxy coupling method. p-Aminobenzamidine (PAB), is a synthetic inhibitor of trypsin-like serine protease. Trypsin and trypsin
Nucleic Acid Programmable Protein Arrays: Versatile Tools for Array‐Based Functional Protein Studies
.g., Sigma) 50 mg/ml bis‐sulfosuccinimdylsuberate (BS3 ;Pierce, cat. no. PI 21580) in dimethylsulfoxide (DMSO) 5 mg/ml
技术资料暂无技术资料 索取技术资料






