相关产品推荐更多 >

HDGFL1 Rabbit pAb(bs-15432R)-50ul/100ul/200ul
¥1180
CCDC42 Rabbit pAb(bs-8131R)-50ul/100ul/200ul
¥1180
phospho-TFII I (Tyr248) Rabbit pAb, Biotin conjugated(bs-7139R-Bio)-100ul
¥2980
ADRA2C Rabbit pAb, BF647 conjugated(bs-12040R-BF647)-100ul
¥2980
NR3C2/Mineralocorticoid receptor Rabbit pAb(bs-1850R)-50ul/100ul/200ul
¥1180
万千商家帮你免费找货
0 人在求购买到急需产品
- 详细信息
- 文献和实验
- 技术资料
- 应用范围:
产品信息以Bioss网站为准
- 规格:
50ul/100ul/200ul
| 规格: | 50ul | 产品价格: | ¥1180.0 |
|---|---|---|---|
| 规格: | 100ul | 产品价格: | ¥1980.0 |
| 规格: | 200ul | 产品价格: | ¥2800.0 |
| 产品编号 | bs-6194R |
| 英文名称 | Sclerostin Rabbit pAb |
| 中文名称 | 骨形态发生抑制蛋白SOST抗体 |
| 英文别名 | SOST; BEER; VBCH; Cortical hyperostosis with syndactyly; Sclerosteosis; SOST_HUMAN. |
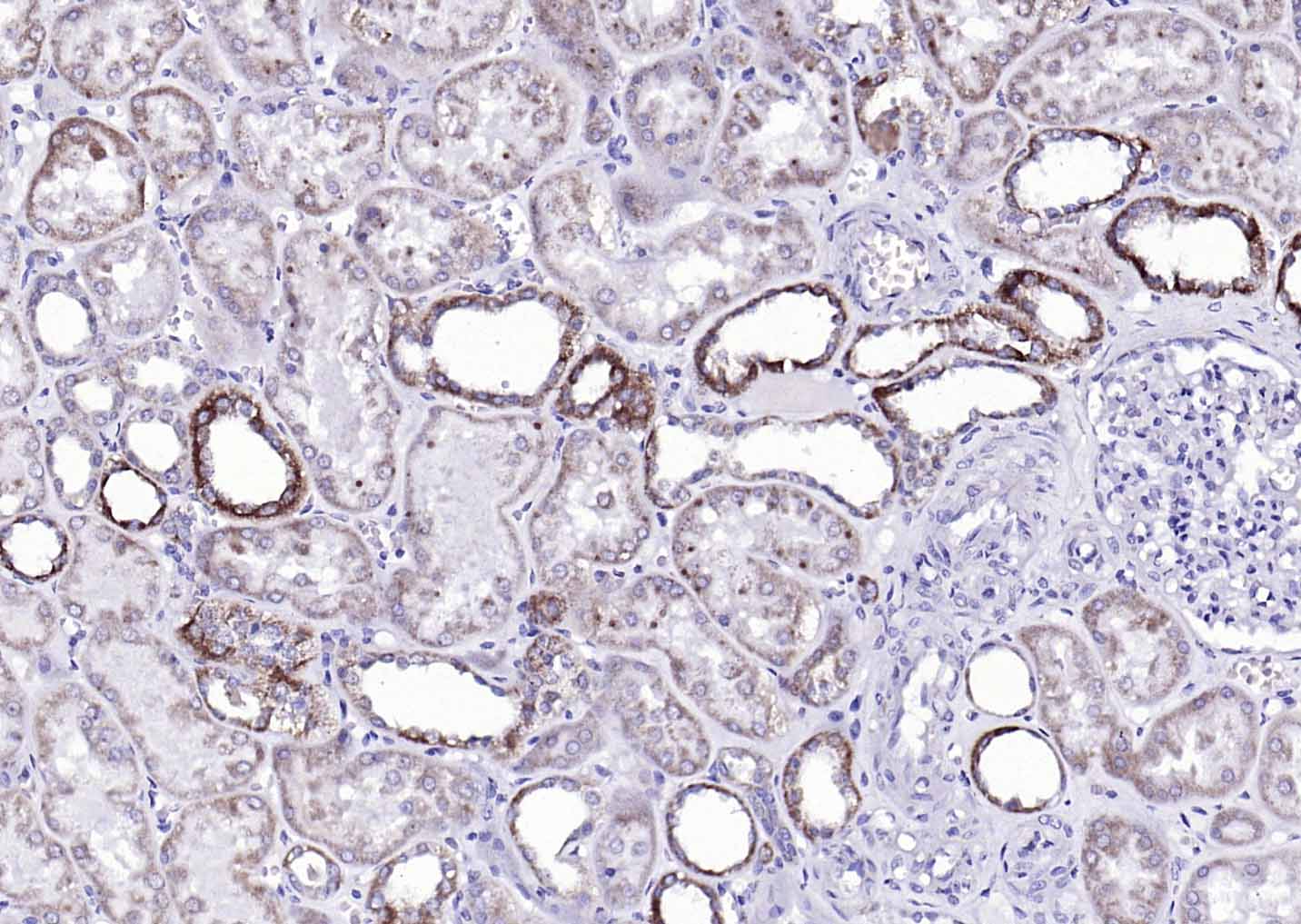
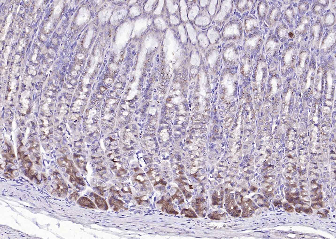
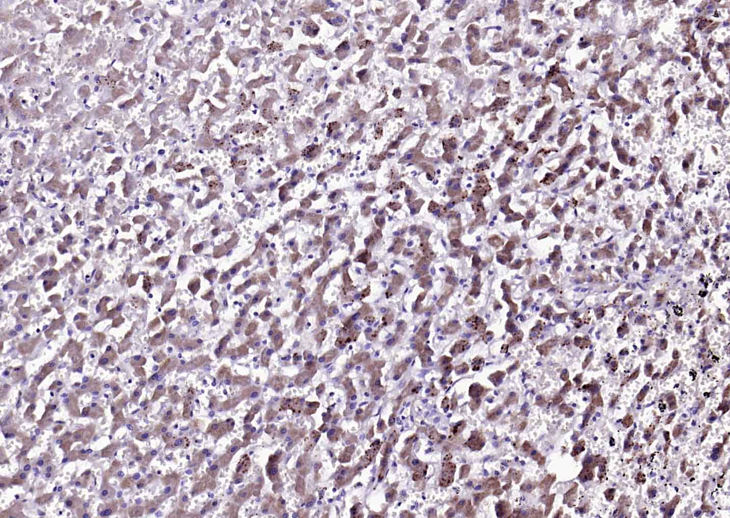
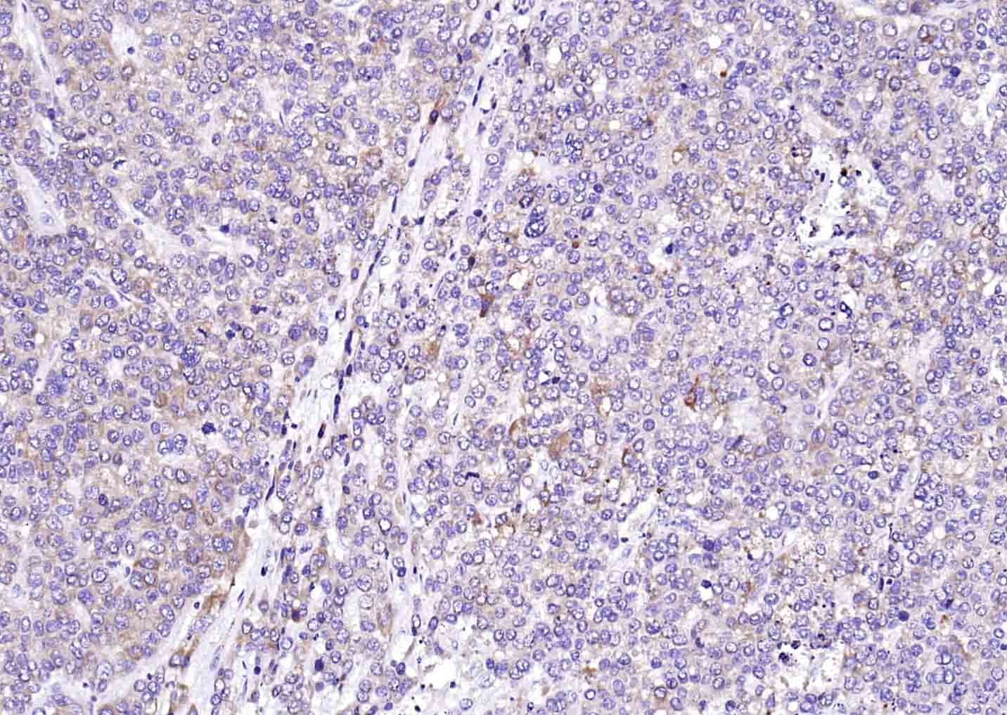
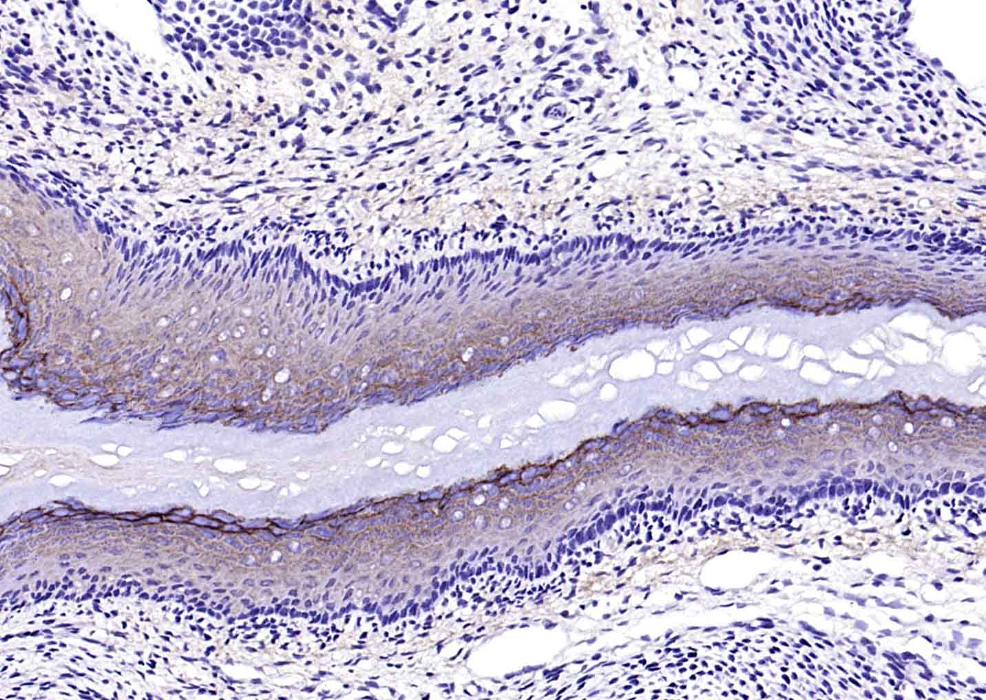
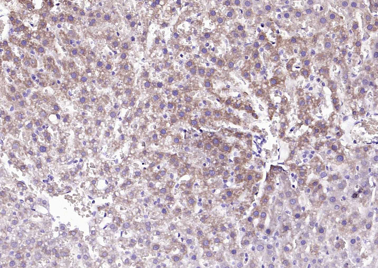
| 产品应用 | WB=1:500-2000, IHC-P=1:100-500, IHC-F=1:100-500, IF=1:100-500 Not yet tested in other applications. |
| 交叉反应 | Human, Mouse, Rat (Dog, Pig, Cow, Horse, Rabbit, Sheep) |
| 抗体来源 | Rabbit |
| 免疫原 | KLH conjugated synthetic peptide derived from human Sclerostin |
| 亚型 | IgG |
| 性状 | Liquid |
| 纯化方法 | affinity purified by Protein A |
| 克隆类型 | Polyclonal |
| 理论分子量 | 21 kDa |
| 浓度 | 1mg/ml |
| 储存液 | 0.01M TBS (pH7.4) with 1% BSA, 0.02% Proclin300 and 50% Glycerol. |
| 研究领域 | Developmental Biology > Organogenesis > Skeletal development > Bone Kits/ Lysates/ Other > Kits > ELISA Kits > ELISA Kits > Signal transduction proteins ELISA kits Metabolism > Types of disease > Metabolic disorders Signal Transduction > Cytoskeleton / ECM > Extracellular Matrix > Structures > Bone Signal Transduction > Growth Factors/Hormones > TGF Stem Cells > Signaling Pathways > Wnt > Secreted |
| 亚基 | Interacts with LRP4 (via the extracellular domain); the interaction facilitates the inhibition of Wnt signaling. Interacts with LRP5 (via the first two YWTD-EGF repeat domains); the interaction inhibits Wnt-mediated signaling. Interacts with LRP6. |
| 亚细胞定位 | Secreted. |
| 组织特异性 | Widely expressed at low levels with highest levels in bone, cartilage, kidney, liver, bone marrow and primary osteeoblasts differentiated for 21 days. |
| 相似性 | Belongs to the sclerostin family. Contains 1 CTCK (C-terminal cystine knot-like) domain. |
| 功能 | Negative regulator of bone growth that acts through inhibition of Wnt signaling and bone formation. |
| 保存条件 | Shipped at 4℃. Store at -20℃ for one year. Avoid repeated freeze/thaw cycles. |
| 注意事项 | This product as supplied is intended for research use only, not for use in human, therapeutic or diagnostic applications. |
| 背景资料 | Negative regulator of bone growth.Sclerostin (SOST) is a bone morphogenetic protein (BMP) antagonist, leading to the activation of BMP signaling. It negatively regulates the formation of bone by repressing the differentiation and/or function of osteoblasts induced by BMPs. It has been shown that Sclerostin binds BMP-5, -6, and -7 with high affinity and BMP-2 and -4 with low affinity. The noggin-sclerostin protein complex represents a novel mechanism for the fine-tuning of BMP activity in bone homeostasis. Evidence is accumulating that one of the important mechanisms of bone regulation by sclerostin is the modulation of Wnt/Beta-catenin signaling. Sclerostin also rapidly activated ERK-1/2 MAPK signaling, indicating the involvement of additional signaling pathways |
| 应用 | 推荐稀释比例 |
| {WB} | {1:500-2000} |
| {IHC-P} | {1:100-500} |
| {IHC-F} | {1:100-500} |
| {IF} | {1:100-500} |








风险提示:丁香通仅作为第三方平台,为商家信息发布提供平台空间。用户咨询产品时请注意保护个人信息及财产安全,合理判断,谨慎选购商品,商家和用户对交易行为负责。对于医疗器械类产品,请先查证核实企业经营资质和医疗器械产品注册证情况。
文献和实验[IF={{ 13.273 }}] {Zhi Peng. et al. Wnt3a loaded deformable hydrogel acts as a 3D culture platform for in situ recruitment of stem cells to efficiently repair bone defects via the asymmetric division. CHEM ENG J. Chem Eng J. 2022 Aug;442:136163} {IF} {Rat}
= NAL), appears to form upon oxidative cyclization of the nonfluorescent 2:1 lysine-HNE Michael adduct-Schiff base cross-link (Scheme 1). Polyclonal antibody (PAb) to the NAL-HNE fluorophore was raised in rabbit and found to be highly specific
GE Healthcare Benzamidine Sepharose™ 6B is p-aminobenzamidine covalently attached to Sepharose 6B by the epoxy coupling method. p-Aminobenzamidine (PAB), is a synthetic inhibitor of trypsin-like serine protease. Trypsin and trypsin
Nucleic Acid Programmable Protein Arrays: Versatile Tools for Array‐Based Functional Protein Studies
.g., Sigma) 50 mg/ml bis‐sulfosuccinimdylsuberate (BS3 ;Pierce, cat. no. PI 21580) in dimethylsulfoxide (DMSO) 5 mg/ml
技术资料暂无技术资料 索取技术资料






