相关产品推荐更多 >

CD62p Rabbit pAb, AP conjugated(bs-10770R-AP)-100ul
¥2980
FGF18 Rabbit pAb(bs-9762R)-50ul/100ul/200ul
¥1180
phospho-AKT1 (Tyr474) Rabbit pAb, PE conjugated(bs-10133R-PE)-100ul
¥2980
phospho-Jak1 (Tyr1034 + Tyr1035) Rabbit pAb, FITC conjugated(bs-3238R-FITC)-100ul
¥2980
LPCAT1 Recombinant Rabbit mAb(bsm-60510R)-50ul/100ul/25ul
¥800
万千商家帮你免费找货
0 人在求购买到急需产品
- 详细信息
- 文献和实验
- 技术资料
- 应用范围:
产品信息以Bioss网站为准
- 规格:
50ul/100ul/200ul
| 规格: | 50ul | 产品价格: | ¥1180.0 |
|---|---|---|---|
| 规格: | 100ul | 产品价格: | ¥1980.0 |
| 规格: | 200ul | 产品价格: | ¥2800.0 |
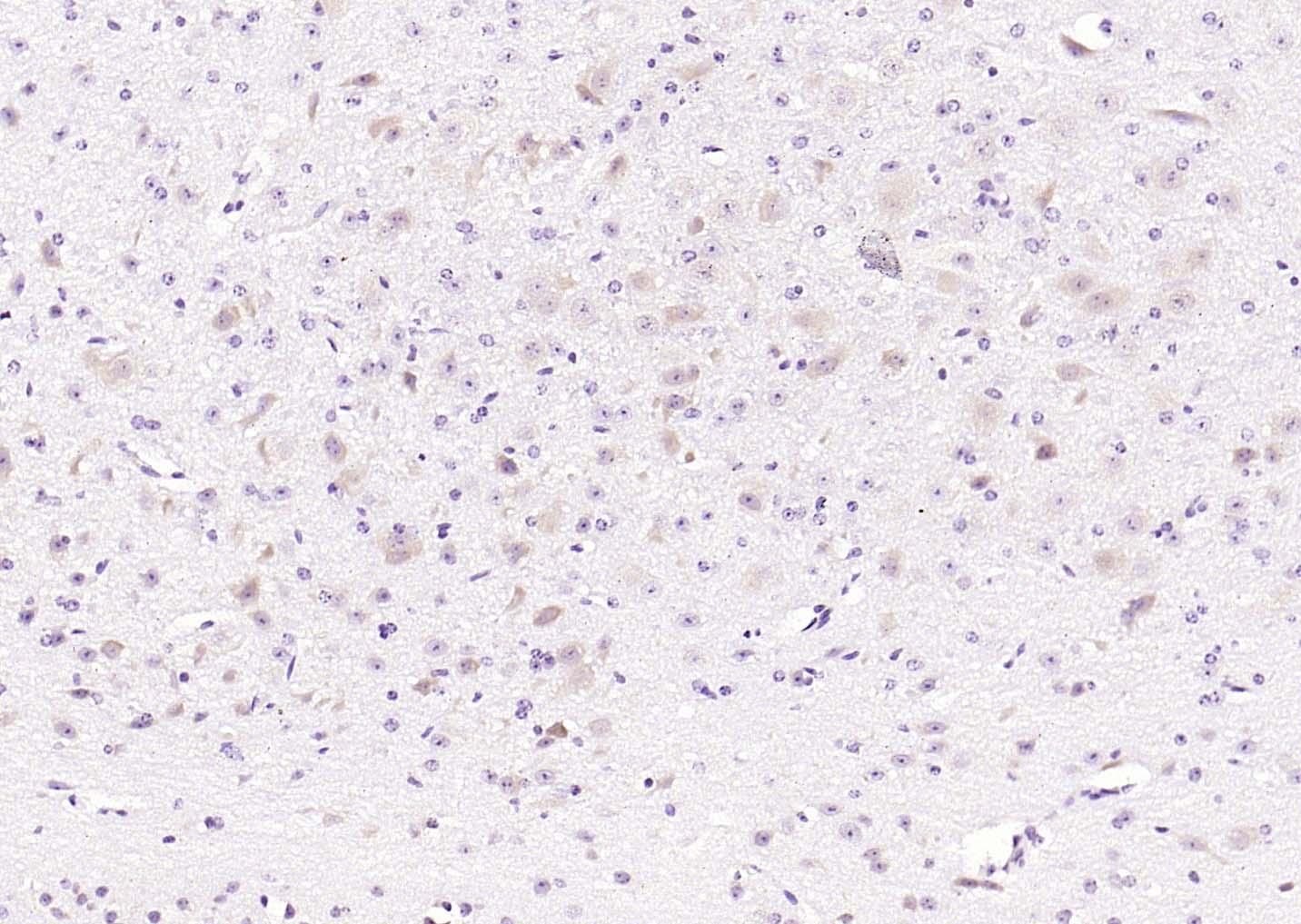
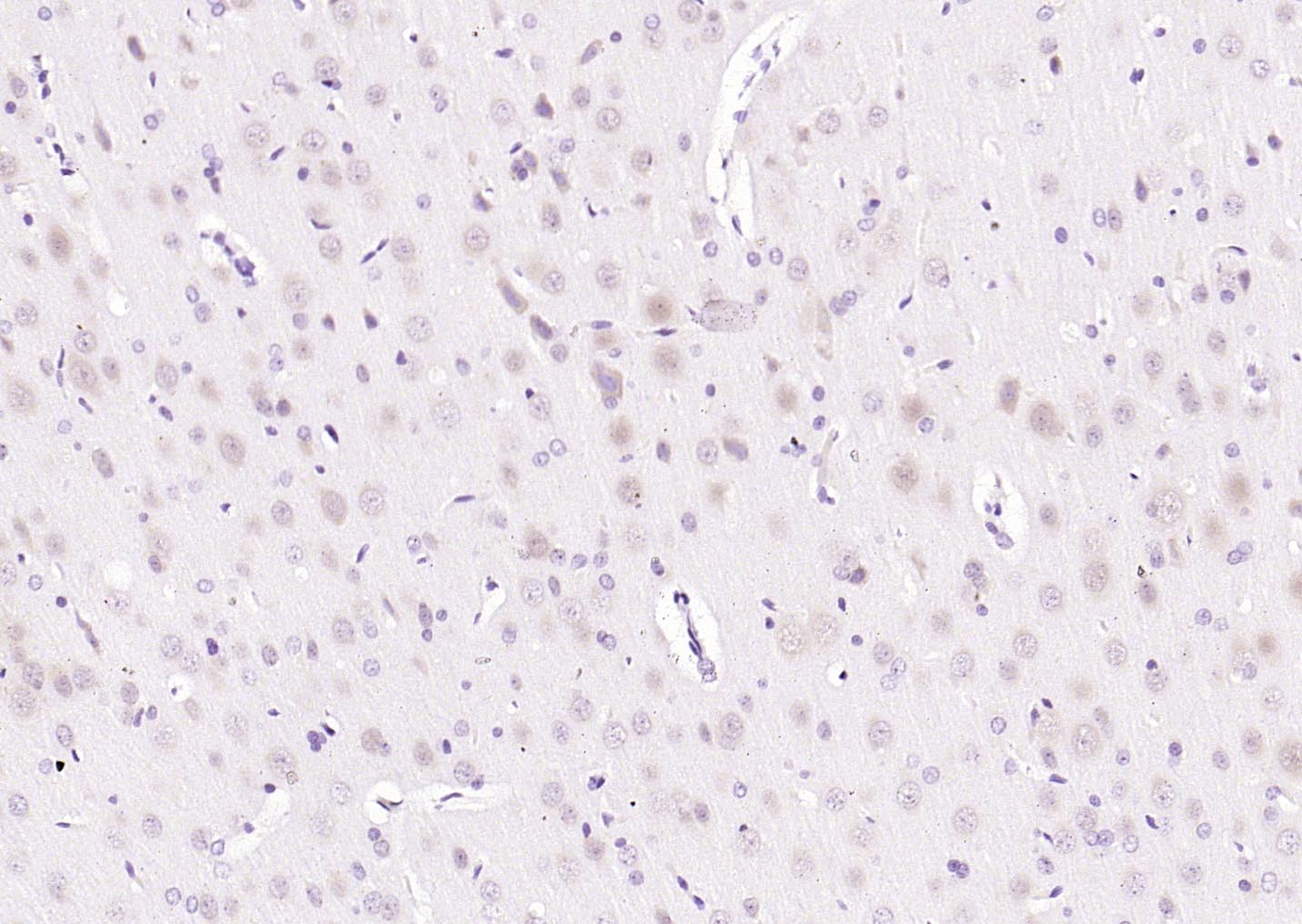
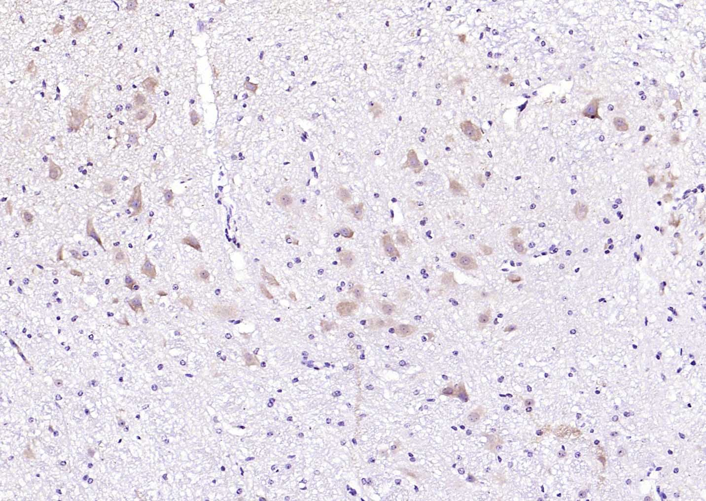
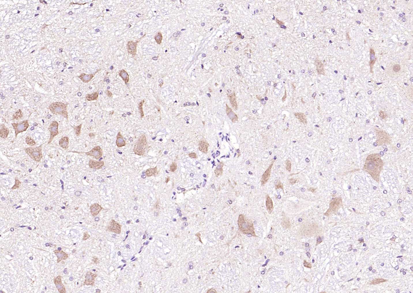
| 产品编号 | bs-4131R |
| 英文名称 | MAPK4 Rabbit pAb |
| 中文名称 | 细胞外信号调节激酶4抗体 |
| 英文别名 | ERK-4; ERK3; Erk3 related; ERK4; Extracellular signal regulated kinase 4; Extracellular signal-regulated kinase 4; MAP kinase 4; MAP kinase isoform p63; MAPK 4; MAPK-4; Mitogen activated protein kinase 4; Mitogen-activated protein kinase 4; MK04_HUMAN; p63 MAPK; p63-MAPK; p63MAPK; PRKM4. |
| 产品应用 | WB=1:500-2000, IHC-P=1:100-500, IHC-F=1:100-500, IF=1:100-500, Flow-Cyt=1ug/Test Not yet tested in other applications. |
| 交叉反应 | Human, Mouse, Rat (Dog, Pig, Cow, Horse, Rabbit) |
| 抗体来源 | Rabbit |
| 免疫原 | KLH conjugated synthetic peptide derived from human ERK5 |
| 亚型 | IgG |
| 性状 | Liquid |
| 纯化方法 | affinity purified by Protein A |
| 克隆类型 | Polyclonal |
| 理论分子量 | 66 kDa |
| 浓度 | 1mg/ml |
| 储存液 | 0.01M TBS (pH7.4) with 1% BSA, 0.02% Proclin300 and 50% Glycerol. |
| 亚基 | Homodimer. Heterodimer with ERK3/MAPK6. Interacts with (via FRIEDE motif) MAPKAPK5. |
| 亚细胞定位 | Cytoplasm. Nucleus. Note=Translocates to the cytoplasm following interaction with MAPKAPK5. |
| 组织特异性 | High expression in heart and brain. |
| 翻译后修饰 | Phosphorylated at Ser-186 by PAK1, PAK2 and PAK3 resulting in catalytic activation. Phosphorylated by MAPKAPK5 at other sites. |
| 相似性 | Belongs to the protein kinase superfamily. CMGC Ser/Thr protein kinase family. MAP kinase subfamily. Contains 1 protein kinase domain. |
| 功能 | Atypical MAPK protein. Phosphorylates microtubule-associated protein 2 (MAP2) and MAPKAPK5. The precise role of the complex formed with MAPKAPK5 is still unclear, but the complex follows a complex set of phosphorylation events: upon interaction with atypical MAPKAPK5, ERK4/MAPK4 is phosphorylated at Ser-186 and then mediates phosphorylation and activation of MAPKAPK5, which in turn phosphorylates ERK4/MAPK4. May promote entry in the cell cycle (By similarity). |
| 保存条件 | Shipped at 4℃. Store at -20℃ for one year. Avoid repeated freeze/thaw cycles. |
| 注意事项 | This product as supplied is intended for research use only, not for use in human, therapeutic or diagnostic applications. |
| 背景资料 | Mitogen-activated protein kinase 4 is a member of the mitogen-activated protein kinase family. Tyrosine kinase growth factor receptors activate mitogen-activated protein kinases which then translocate into the nucleus where it phosphorylates nuclear targets. [provided by RefSeq, Jul 2008] |
| 应用 | 推荐稀释比例 |
| {WB} | {1:500-2000} |
| {IHC-P} | {1:100-500} |
| {IHC-F} | {1:100-500} |
| {IF} | {1:100-500} |
| {Flow-Cyt} | {1ug/Test} |




Lane 1: Mouse Cerebellum tissue lysates
Lane 2: Rat Cerebellum tissue lysates
Lane 3: Human Raji cell lysates
Lane 4: Human HeLa cell lysates
Lane 5: Human SH-SY5Y cell lysates
Lane 6: Human U251 cell lysates
Lane 7: Human 293T cell lysates
Primary: Anti- MAPK4 (bs-4131R) at 1/1000 dilution
Secondary: IRDye800CW Goat Anti-Rabbit IgG at 1/20000 dilution
Predicted band size: 66 kDa
Observed band size: 60 kDa

Primary Antibody (green line): Rabbit Anti-MAPK4 antibody (bs-4131R)
Dilution:1ug/Test;
Secondary Antibody(white blue line): Goat anti-rabbit IgG-AF488
Dilution: 0.5ug/Test.
Isotype control(orange line): Normal Rabbit IgG
Protocol
The cells were fixed with 4% PFA (10min at room temperature)and then permeabilized with 90% ice-cold methanol for 20 min at -20℃, The cells were then incubated in 5%BSA to block non-specific protein-protein interactions for 30 min at room temperature .Cells stained with Primary Antibody for 30 min at room temperature. The secondary antibody used for 40 min at room temperature. Acquisition of 20,000 events was performed.


风险提示:丁香通仅作为第三方平台,为商家信息发布提供平台空间。用户咨询产品时请注意保护个人信息及财产安全,合理判断,谨慎选购商品,商家和用户对交易行为负责。对于医疗器械类产品,请先查证核实企业经营资质和医疗器械产品注册证情况。
文献和实验= NAL), appears to form upon oxidative cyclization of the nonfluorescent 2:1 lysine-HNE Michael adduct-Schiff base cross-link (Scheme 1). Polyclonal antibody (PAb) to the NAL-HNE fluorophore was raised in rabbit and found to be highly specific
GE Healthcare Benzamidine Sepharose™ 6B is p-aminobenzamidine covalently attached to Sepharose 6B by the epoxy coupling method. p-Aminobenzamidine (PAB), is a synthetic inhibitor of trypsin-like serine protease. Trypsin and trypsin
Nucleic Acid Programmable Protein Arrays: Versatile Tools for Array‐Based Functional Protein Studies
.g., Sigma) 50 mg/ml bis‐sulfosuccinimdylsuberate (BS3 ;Pierce, cat. no. PI 21580) in dimethylsulfoxide (DMSO) 5 mg/ml
技术资料暂无技术资料 索取技术资料





