相关产品推荐更多 >

PKN Rabbit pAb(bs-4320R)-50ul/100ul/200ul
¥1180
DICER1 Rabbit pAb, APC-Cy5.5 conjugated(bs-6697R-APC-Cy5.5)-100ul
¥2980
Netrin 5 Rabbit pAb(bs-13710R)-50ul/100ul/200ul
¥1180
mouse CD8a Rat mAb, PE-Cy5 conjugated(bsm-30396A-PE-Cy5)-50T/25T/100T
¥1080
NDUFB8 Rabbit pAb, AP conjugated(bs-19087R-AP)-100ul
¥2980
万千商家帮你免费找货
0 人在求购买到急需产品
- 详细信息
- 文献和实验
- 技术资料
- 应用范围:
产品信息以Bioss网站为准
- 规格:
50ul/100ul/200ul
| 规格: | 50ul | 产品价格: | ¥1180.0 |
|---|---|---|---|
| 规格: | 100ul | 产品价格: | ¥1980.0 |
| 规格: | 200ul | 产品价格: | ¥2800.0 |
| 产品编号 | bs-1636R |
| 英文名称 | SERPINC1 Rabbit pAb |
| 中文名称 | 抗凝血酶3抗体 |
| 英文别名 | AntithrombinIII; Antithrombin III; Antithrombin-III; AT 3; AT III; AT3; ATIII; MGC22579; Serine(or cysteine) proteinase inhibitor clade C(antithrombin) member 1; Serine Proteinase Inhibitor Clade C Member 1; SERPIN C1; Serpin peptidase inhibitor clade C(antithrombin) member 1; ATH III; Antithrombin 3; ANT3_HUMAN. |
| 产品应用 | IHC-P=1:100-500, IHC-F=1:100-500, IF=1:100-500 Not yet tested in other applications. |
| 交叉反应 | Human, Mouse (Rat, Pig, Cow, Sheep) |
| 抗体来源 | Rabbit |
| 免疫原 | KLH conjugated synthetic peptide derived from human Antithrombin III |
| 亚型 | IgG |
| 性状 | Liquid |
| 纯化方法 | affinity purified by Protein A |
| 克隆类型 | Polyclonal |
| 理论分子量 | 51 kDa |
| 浓度 | 1mg/ml |
| 储存液 | 0.01M TBS (pH7.4) with 1% BSA, 0.02% Proclin300 and 50% Glycerol. |
| 研究领域 | Cardiovascular > Blood > Coagulation > Regulatory Cardiovascular > Blood > Serum Proteins |
| 亚基 | Forms protease inhibiting heterodimer with TMPRSS7. |
| 亚细胞定位 | Secreted, extracellular space. |
| 组织特异性 | Plasma. |
| 翻译后修饰 | Phosphorylation sites are present in the extracellular medium. |
| 相似性 | Belongs to the serpin family. |
| 功能 | Most important serine protease inhibitor in plasma that regulates the blood coagulation cascade. AT-III inhibits thrombin, matriptase-3/TMPRSS7, as well as factors IXa, Xa and XIa. Its inhibitory activity is greatly enhanced in the presence of heparin. |
| 保存条件 | Shipped at 4℃. Store at -20℃ for one year. Avoid repeated freeze/thaw cycles. |
| 注意事项 | This product as supplied is intended for research use only, not for use in human, therapeutic or diagnostic applications. |
| 背景资料 | The protein encoded by this gene is a plasma protease inhibitor and a member of the serpin superfamily. This protein inhibits thrombin as well as other activated serine proteases of the coagulation system, and it regulates the blood coagulation cascade. The protein includes two functional domains: the heparin binding-domain at the N-terminus of the mature protein, and the reactive site domain at the C-terminus. The inhibitory activity is enhanced by the presence of heparin. More than 120 mutations have been identified for this gene, many of which are known to cause antithrombin-III deficiency. [provided by RefSeq, Jul 2009]. |
| 应用 | 推荐稀释比例 |
| {IHC-P} | {1:100-500} |
| {IHC-F} | {1:100-500} |
| {IF} | {1:100-500} |

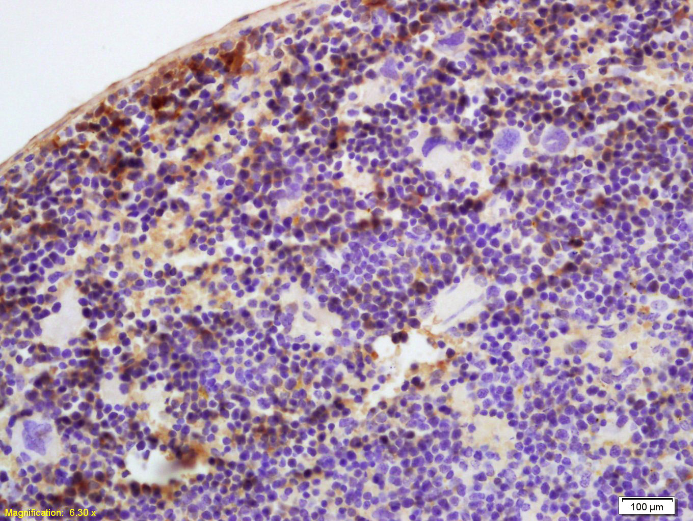
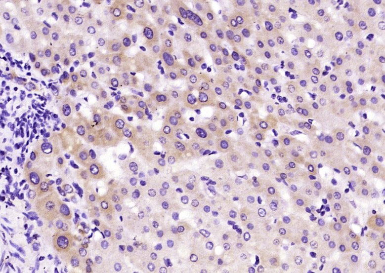
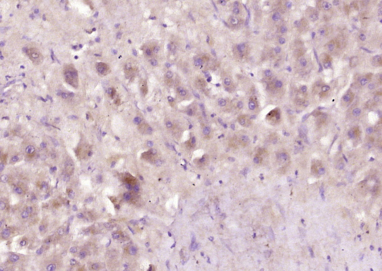
Antigen retrieval: citrate buffer ( 0.01M, pH 6.0 ), Boiling bathing for 15min; Block endogenous peroxidase by 3% Hydrogen peroxide for 30min; Blocking buffer (normal goat serum,C-0005) at 37℃ for 20 min;
Incubation: Anti-Antithrombin III Polyclonal Antibody, Unconjugated(bs-1636R) 1:200, overnight at 4°C, followed by conjugation to the secondary antibody(SP-0023) and DAB(C-0010) staining


风险提示:丁香通仅作为第三方平台,为商家信息发布提供平台空间。用户咨询产品时请注意保护个人信息及财产安全,合理判断,谨慎选购商品,商家和用户对交易行为负责。对于医疗器械类产品,请先查证核实企业经营资质和医疗器械产品注册证情况。
文献和实验[IF={{ 1.747 }}] {Zhang X et al. Extraction, purification, characterization, anticoagulant activity, and anticoagulant mechanism of polysaccharides from the heads of Hypomesus olidus. Food Science & Nutrition. 2019.} {Other} {Human}
= NAL), appears to form upon oxidative cyclization of the nonfluorescent 2:1 lysine-HNE Michael adduct-Schiff base cross-link (Scheme 1). Polyclonal antibody (PAb) to the NAL-HNE fluorophore was raised in rabbit and found to be highly specific
/96T 2000/3000 进口分装 F0021 骨成型蛋白-9(BMP-9) ELISA 48T/96T 2000/3000 进口分装 F0022 BMP-R1A ELISA 48T/96T 2000/3000 进口分装 F0023 BMP-R2 ELISA 48T/96T 2000/3000 进口分装 F0024 BTC ELISA 48T/96T 2000/3100 进口分装 F0030 CAE-Ab ELISA 96
/96T 2000/3000 进口分装 F0021 骨成型蛋白-9(BMP-9) ELISA 48T/96T 2000/3000 进口分装 F0022 BMP-R1A ELISA 48T/96T 2000/3000 进口分装 F0023 BMP-R2 ELISA 48T/96T 2000/3000 进口分装 F0024 BTC ELISA 48T/96T 2000/3100 进口分装 F0030 CAE-Ab ELISA 96
技术资料暂无技术资料 索取技术资料





