相关产品推荐更多 >

Vimentin Mouse mAb, APC-Cy5.5 conjugated(bsm-33170M-APC-Cy5.5)-100ul
¥2980
phospho-NFKB1 (Ser373) Rabbit pAb, Cy5.5 conjugated(bs-20075R-Cy5.5)-100ul
¥2980
Leishmania Major Surface Protease Rabbit pAb, APC conjugated(bs-18214R-APC)-100ul
¥2980
Placental alkaline phosphatase (PLAP) Rabbit pAb, APC conjugated(bs-20015R-APC)-100ul
¥2980
EDARADD Rabbit pAb, HRP conjugated(bs-14498R-HRP)-100ul
¥2980
万千商家帮你免费找货
0 人在求购买到急需产品
- 详细信息
- 文献和实验
- 技术资料
- 应用范围:
产品信息以Bioss网站为准
- 规格:
50ul/100ul
| 规格: | 50ul | 产品价格: | ¥1180.0 |
|---|---|---|---|
| 规格: | 100ul | 产品价格: | ¥1980.0 |
| 产品编号 | bs-14497R |
| 英文名称 | GPR183 Rabbit pAb |
| 中文名称 | G蛋白偶联受体183抗体 |
| 英文别名 | ebi 2; EBI2; EBV induced G protein coupled receptor 2; EBV-induced G-protein coupled receptor 2; ebv-induced gene 2; Epstein-Barr virus-induced gene 2; Epstein Barr virus induced gene 2; epstein-barr virus induced gene 2; Epstein-Barr virus-induced G-protein coupled receptor 2; G protein-coupled receptor 183; G-protein coupled receptor 183; GP183_HUMAN; gpr183; Lymphocyte specific G protein coupled receptor. |
| 产品应用 | WB=1:500-2000, ELISA=1:5000-10000 Not yet tested in other applications. |
| 交叉反应 | Human, Mouse, Rat |
| 抗体来源 | Rabbit |
| 免疫原 | KLH conjugated synthetic peptide derived from human EBV Induced Gene 2 |
| 亚型 | IgG |
| 性状 | Liquid |
| 纯化方法 | affinity purified by Protein A |
| 克隆类型 | Polyclonal |
| 理论分子量 | 41 kDa |
| 浓度 | 1mg/ml |
| 储存液 | 0.01M TBS (pH7.4) with 1% BSA, 0.02% Proclin300 and 50% Glycerol. |
| 亚细胞定位 | Cell membrane. |
| 组织特异性 | Expressed abundantly in lymphoid tissues such as spleen and lymph node, and in B- and T-lymphocytes. Also highly expressed in lung, heart and gastrointestinal tract, and weakly expressed in the urogenital system and brain. |
| 相似性 | Belongs to the G-protein coupled receptor 1 family. |
| 功能 | Orphan receptor that plays a central role during humoral immunity. Promotes activated B-cell localization in the outer follicle and interfollicular regions. Its specific expression during B-cell maturation helps position B-cells appropriately for mounting T-dependent antibody responses (By similarity). Signals constitutively through G(i)-alpha, but not G(s)-alpha or G(q)-alpha. |
| 保存条件 | Shipped at 4℃. Store at -20℃ for one year. Avoid repeated freeze/thaw cycles. |
| 注意事项 | This product as supplied is intended for research use only, not for use in human, therapeutic or diagnostic applications. |
| 背景资料 | Epstein-Barr virus-induced gene 2 is a 357 amino acid multi pass membrane protein. It is expressed in B-lymphocytes and lymphoid tissues and may function in the modulation of the immune system. Out of the nine genes that are induced by the Epstein-Barr virus, Ebi2 exhibits the highest levels of up-regulation. Ebi2 is a G-protein coupled receptor that signals through the G-protein G錳. Ebi2 contains seven hydrophobic transmembrane regions and a putative N-linked glycosylation site at its extracellular N-terminus. Ebi2 is believed to be involved in regulating the effects of the Epstein-Barr virus on B-lymphocytes. In addition, Ebi2 may play a role mediating normal lymphocyte functions. |
| 应用 | 推荐稀释比例 |
| {WB} | {1:500-2000} |
| {ELISA} | {1:5000-10000} |

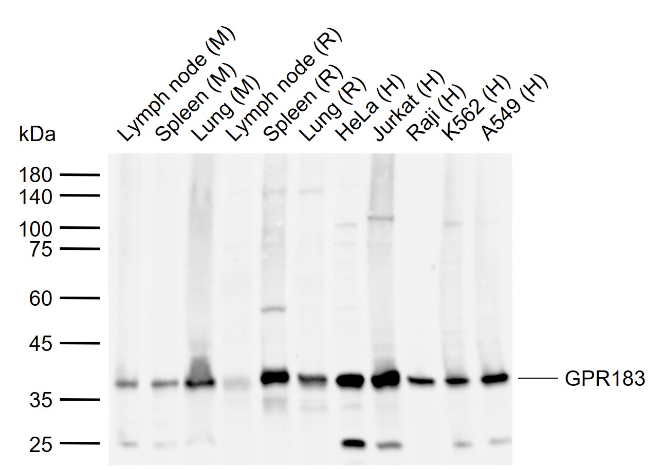
Lane 1: Mouse Lymph node tissue lysates
Lane 2: Mouse Spleen tissue lysates
Lane 3: Mouse Lung tissue lysates
Lane 4: Rat Lymph node tissue lysates
Lane 5: Rat Spleen tissue lysates
Lane 6: Rat Lung tissue lysates
Lane 7: Human HeLa cell lysates
Lane 8: Human Jurkat cell lysates
Lane 9: Human Raji cell lysates
Lane 10: Human K562 cell lysates
Lane 11: Human A549 cell lysates
Primary: Anti-GPR183 (bs-14497R) at 1/1000 dilution
Secondary: IRDye800CW Goat Anti-Rabbit IgG at 1/20000 dilution
Predicted band size: 41 kDa
Observed band size: 38 kDa
风险提示:丁香通仅作为第三方平台,为商家信息发布提供平台空间。用户咨询产品时请注意保护个人信息及财产安全,合理判断,谨慎选购商品,商家和用户对交易行为负责。对于医疗器械类产品,请先查证核实企业经营资质和医疗器械产品注册证情况。
文献和实验= NAL), appears to form upon oxidative cyclization of the nonfluorescent 2:1 lysine-HNE Michael adduct-Schiff base cross-link (Scheme 1). Polyclonal antibody (PAb) to the NAL-HNE fluorophore was raised in rabbit and found to be highly specific
GE Healthcare Benzamidine Sepharose™ 6B is p-aminobenzamidine covalently attached to Sepharose 6B by the epoxy coupling method. p-Aminobenzamidine (PAB), is a synthetic inhibitor of trypsin-like serine protease. Trypsin and trypsin
Measurement of NO and NO Synthase
(from rabbit muscle; Sigma, cat. no. L‐2500) 500 mM sodium pyruvate 96‐well microtiter plates (flat
技术资料暂无技术资料 索取技术资料






