相关产品推荐更多 >
万千商家帮你免费找货
0 人在求购买到急需产品
- 详细信息
- 技术资料
- 应用范围:
产品信息以Bioss网站为准
- 规格:
50ul/100ul/200ul
| 规格: | 50ul | 产品价格: | ¥1180.0 |
|---|---|---|---|
| 规格: | 100ul | 产品价格: | ¥1980.0 |
| 规格: | 200ul | 产品价格: | ¥2800.0 |
| 产品编号 | bs-18804R |
| 英文名称 | Methionine Aminopeptidase 2 Rabbit pAb |
| 中文名称 | 蛋氨酸氨肽酶2抗体 |
| 英文别名 | A930035J23Rik; AI047573; AL024412; Amp2; AMPM2_HUMAN; AU014659, ; EIF 2 associated p67 homolog; EIF-2-associated p67; Initiation factor 2 associated 67 kDa glycoprotein; Initiation factor 2-associated 67 kDa glycoprotein; MAP 2; MAP2; MetAP 2; Metap2; Methionine aminopeptidase 2; Methionyl aminopeptidase 2; MGC102452; MGC127390; MGC53792; MNPEP; p67; p67eIF2; Peptidase M 2; Peptidase M2. |
| 产品应用 | IHC-P=1:100-500, IHC-F=1:100-500, IF=1:100-500 Not yet tested in other applications. |
| 交叉反应 | Mouse (Human, Rat, Dog, Pig, Cow, Horse, Sheep) |
| 抗体来源 | Rabbit |
| 免疫原 | KLH conjugated synthetic peptide derived from human Methionine Aminopeptidase 2 |
| 亚型 | IgG |
| 性状 | Liquid |
| 纯化方法 | affinity purified by Protein A |
| 克隆类型 | Polyclonal |
| 理论分子量 | 53 kDa |
| 浓度 | 1mg/ml |
| 储存液 | 0.01M TBS (pH7.4) with 1% BSA, 0.02% Proclin300 and 50% Glycerol. |
| 亚基 | Interacts strongly with the eIF-2 gamma-subunit EIF2S3 By similarity. Binds EIF2S1 at low magnesium concentrations. |
| 翻译后修饰 | Contains approximately 12 O-linked N-acetylglucosamine (GlcNAc) residues. O-glycosylation is required for EIF2S1 binding. |
| 相似性 | Belongs to the peptidase M24A family. |
| 功能 | Removes the amino-terminal methionine from nascent proteins. The catalytic activity of human METAP2 toward Met-Val peptides is consistently two orders of magnitude higher than that of METAP1, suggesting that it is responsible for processing proteins containing N-terminal Met-Val and Met-Thr sequences in vivo. |
| 保存条件 | Shipped at 4℃. Store at -20℃ for one year. Avoid repeated freeze/thaw cycles. |
| 注意事项 | This product as supplied is intended for research use only, not for use in human, therapeutic or diagnostic applications. |
| 背景资料 | This gene is a member of the methionyl aminopeptidase family and encodes a protein that binds 2 cobalt or manganese ions. This protein functions both by protecting the alpha subunit of eukaryotic initiation factor 2 from inhibitory phosphorylation and by removing the amino-terminal methionine residue from nascent protein. Increased expression of this gene is associated with various forms of cancer and the anti-cancer drugs fumagillin and ovalicin inhibit the protein by irreversibly binding to its active site. A pseudogene of this gene is located on chromosome 2. [provided by RefSeq, Jul 2008] |
| 应用 | 推荐稀释比例 |
| {IHC-P} | {1:100-500} |
| {IHC-F} | {1:100-500} |
| {IF} | {1:100-500} |

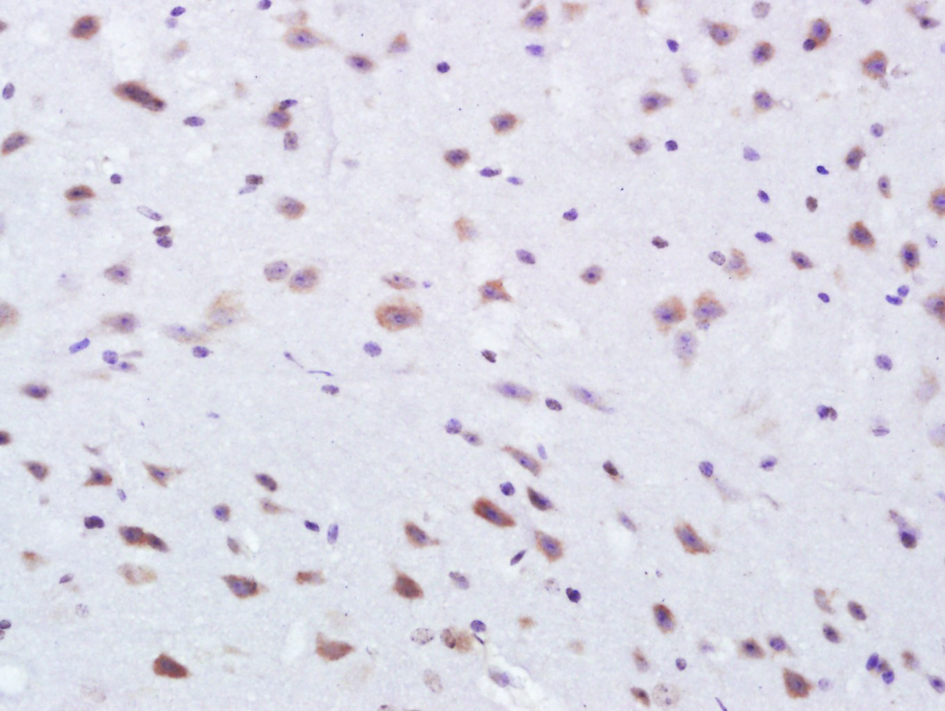
Paraformaldehyde-fixed, paraffin embedded (mouse brain); Antigen retrieval by boiling in sodium citrate buffer (pH6.0) for 15min; Block endogenous peroxidase by 3% hydrogen peroxide for 20 minutes; Blocking buffer (normal goat serum) at 37°C for 30min; Antibody incubation with (Amp2) Polyclonal Antibody, Unconjugated (bs-18804R) at 1:400 overnight at 4°C, followed by a conjugated secondary (sp-0023) for 20 minutes and DAB staining.
风险提示:丁香通仅作为第三方平台,为商家信息发布提供平台空间。用户咨询产品时请注意保护个人信息及财产安全,合理判断,谨慎选购商品,商家和用户对交易行为负责。对于医疗器械类产品,请先查证核实企业经营资质和医疗器械产品注册证情况。
技术资料暂无技术资料 索取技术资料
Methionine Aminopeptidase 2 Rabbit pAb(bs-18804R)-50ul/100ul/200ul
¥1180 - 2800










