相关产品推荐更多 >

Ly6a Rabbit pAb, Biotin conjugated(bs-3752R-Bio)-100ul
¥2980
Anti-PD-1 & PD-L1 Reference Antibody (Reozalimab Biosimilar)(BIO1018SM)-100ug/1mg/5mg
¥5080
Integrin Alpha 3 + Beta 1 Rabbit pAb, PerCP-Cy7 conjugated(bs-1057R-PerCP-Cy7)-100ul
¥2980
Histone H3(di methyl K36) Mouse mAb, HRP conjugated(bsm-33124M-HRP)-100ul
¥2980
phospho-AANAT (Thr29) Rabbit pAb(bs-11448R)-50ul/100ul/200ul
¥1180
万千商家帮你免费找货
0 人在求购买到急需产品
- 详细信息
- 文献和实验
- 技术资料
- 应用范围:
产品信息以Bioss网站为准
- 规格:
50ul/100ul/200ul
| 规格: | 50ul | 产品价格: | ¥1180.0 |
|---|---|---|---|
| 规格: | 100ul | 产品价格: | ¥1980.0 |
| 规格: | 200ul | 产品价格: | ¥2800.0 |
| 产品编号 | bs-9330R |
| 英文名称 | LRCH4/LRRN1 Rabbit pAb |
| 中文名称 | 富含亮氨酸重复家庭蛋白4抗体 |
| 英文别名 | Leucine rich repeat neuronal protein 4; Leucine rich repeats and calponin homology(CH) domain containing 4; Leucine-rich neuronal protein; LRN; LRRN1; LRRN4; PP14183; SAP25; Sin3 associated polypeptide, 25kDa; LRCH4_HUMAN. |
| 产品应用 | IHC-P=1:100-500, IHC-F=1:100-500, IF=1:100-500 Not yet tested in other applications. |
| 交叉反应 | Rat (Human, Mouse, Pig, Cow, Rabbit) |
| 抗体来源 | Rabbit |
| 免疫原 | KLH conjugated synthetic peptide derived from human LRCH4 |
| 亚型 | IgG |
| 性状 | Liquid |
| 纯化方法 | affinity purified by Protein A |
| 克隆类型 | Polyclonal |
| 理论分子量 | 73 kDa |
| 浓度 | 1mg/ml |
| 储存液 | 0.01M TBS (pH7.4) with 1% BSA, 0.02% Proclin300 and 50% Glycerol. |
| 研究领域 | Cell Biology > Other Antibodies > Other Antibodies |
| 亚细胞定位 | Cytoplasm. |
| 相似性 | Contains 1 CH (calponin-homology) domain. Contains 9 LRR (leucine-rich) repeats. |
| 保存条件 | Shipped at 4℃. Store at -20℃ for one year. Avoid repeated freeze/thaw cycles. |
| 注意事项 | This product as supplied is intended for research use only, not for use in human, therapeutic or diagnostic applications. |
| 背景资料 | Members of the leucine-rich repeat family include LRCH1, LRCH2, LRCH3 and LRCH4. All family members contain one calponin-homology domain and nine leucine-rich repeats. LRCH4 (leucine-rich repeats and calponin homology (CH) domain containing 4), also known as LRN, LRRN1, LRRN4 or SAP25, is a 683 amino acid protein that belongs to the leucine-rich repeat family. The carboxy-terminus of LRCH4 may act as a membrane anchor between cells, while the amino-terminus contains the leucine-rich domains, which is thought to be involved in ligand binding. The calponin homology (CH) domain is suggested to confer Actin binding to a variety of cytoskeletal and signaling molecules. The gene encoding LRCH4 maps to human chromosome 7, which houses over 1,000 genes and comprises nearly 5% of the human genome. |
| 应用 | 推荐稀释比例 |
| {IHC-P} | {1:100-500} |
| {IHC-F} | {1:100-500} |
| {IF} | {1:100-500} |

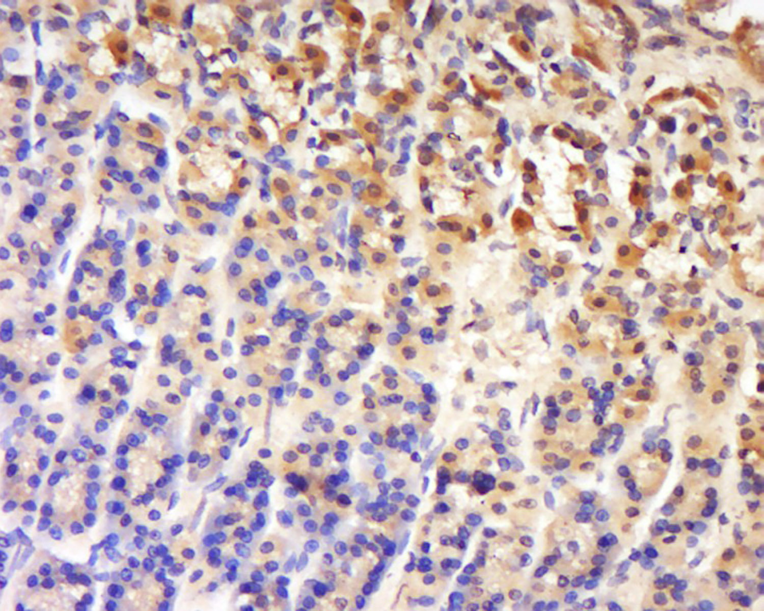
Antigen retrieval: citrate buffer ( 0.01M, pH 6.0 ), Boiling bathing for 15min; Block endogenous peroxidase by 3% Hydrogen peroxide for 30min; Blocking buffer (normal goat serum,C-0005) at 37℃ for 20 min;
Incubation: Anti-LRCH4 Polyclonal Antibody, Unconjugated(bs-9330R) 1:200, overnight at 4°C, followed by conjugation to the secondary antibody(SP-0023) and DAB(C-0010) staining
风险提示:丁香通仅作为第三方平台,为商家信息发布提供平台空间。用户咨询产品时请注意保护个人信息及财产安全,合理判断,谨慎选购商品,商家和用户对交易行为负责。对于医疗器械类产品,请先查证核实企业经营资质和医疗器械产品注册证情况。
文献和实验= NAL), appears to form upon oxidative cyclization of the nonfluorescent 2:1 lysine-HNE Michael adduct-Schiff base cross-link (Scheme 1). Polyclonal antibody (PAb) to the NAL-HNE fluorophore was raised in rabbit and found to be highly specific
. Retrieved 2010-11-29. ^ Nielsen BS, Jørgensen S, Fog JU, Søkilde R, Christensen IJ, Hansen U, Brünner N, Baker A, Møller S, Nielsen HJ (October 2010). "High levels of microRNA-21 in the stroma of colorectal cancers predict short disease-free survival
+oieSKeKcgxGinlRPl7uja5iYeDdc+K3eZhXhIOHOy+p9cxrGU9WCTkVcT5iRR/BsR+N0IDPSu3x0pXo0IRAQiAhGBiEBE4ABCwPnwbu0wGmW8ULj7NRb20DLRYqFW1Up6ODBube+wknwaZ5w/y92bXLbV5K3CJ+hhzKwdSHCmVrada2Qy0eyxvi0r7Lkl99ukcaOkRe60Sj82E8qgnmxNtzHGRRyZQtf1g41GIMau5W7ITlqbiDRR0CA3tPhIsEdmP5hZ
技术资料暂无技术资料 索取技术资料






