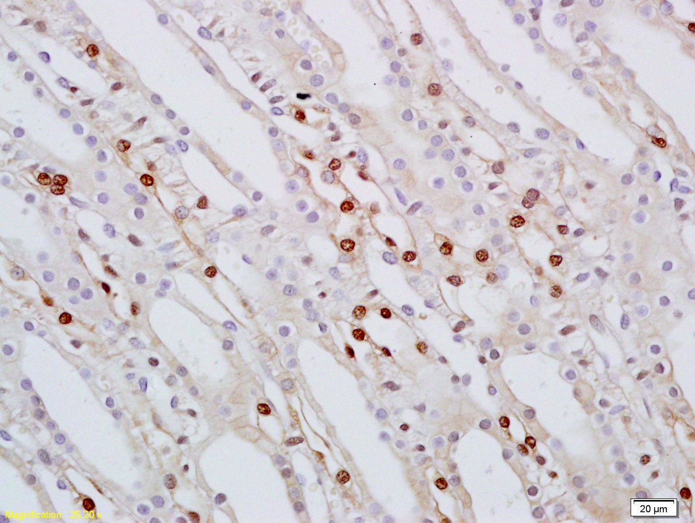
Tissue/cell: rat kidney tissue; 4% Paraformaldehyde-fixed and paraffin-embedded;
Antigen retrieval: citrate buffer ( 0.01M, pH 6.0 ), Boiling bathing for 15min; Block endogenous peroxidase by 3% Hydrogen peroxide for 30min; Blocking buffer (normal goat serum,C-0005) at 37℃ for 20 min;
Incubation: Anti-SMARCA2/BRM Polyclonal Antibody, Unconjugated(bs-6402R) 1:200, overnight at 4°C, followed by conjugation to the secondary antibody(SP-0023) and DAB(C-0010) staining
相关产品推荐更多 >

IRF1 Rabbit pAb, BF555 conjugated(bs-1404R-BF555)-100ul
¥2980
GnRHR Rabbit pAb, Biotin conjugated(bs-23168R-Bio)-100ul
¥2980
Corin Rabbit pAb, BF680 conjugated(bs-7685R-BF680)-100ul
¥2980
HIST1H2BJ/Histone H2B.1 Rabbit pAb(bs-17409R)-50ul/100ul/200ul
¥1180
SDPR Rabbit pAb, BF488 conjugated(bs-19605R-BF488)-100ul
¥2980
万千商家帮你免费找货
0 人在求购买到急需产品
- 详细信息
- 技术资料
- 应用范围:
产品信息以Bioss网站为准
- 规格:
50ul/100ul/200ul
| 规格: | 50ul | 产品价格: | ¥1180.0 |
|---|---|---|---|
| 规格: | 100ul | 产品价格: | ¥1980.0 |
| 规格: | 200ul | 产品价格: | ¥2800.0 |
| 产品编号 | bs-6402R |
| 英文名称 | SMARCA2 Rabbit pAb |
| 中文名称 | ATP依赖解旋酶SMARCA2抗体 |
| 英文别名 | BRM; ATP dependent helicase SMARCA2; Global transcription activator homologous sequence; BRG1-associated factor 190B; BAF190B; hBRM; hSNF2a; Possible global transcription activator SNF2L2(EC:3.6.4.-); SMARCA2; SMCA2_HUMAN; SNF2 alpha; SNF2 like 2; SNF2/SWI2 like protein 2; SNF2A; SNF2LA; SNF2L2; Sth1p; SWI/SNF related matrix associated actin dependent regulator of chromatin subfamily a member 2. |
| 产品应用 | IHC-P=1:100-500, IHC-F=1:100-500, IF=1:100-500 Not yet tested in other applications. |
| 交叉反应 | Rat (Human, Mouse, Dog, Pig, Cow, Horse, Rabbit) |
| 抗体来源 | Rabbit |
| 免疫原 | KLH conjugated synthetic peptide derived from human SMARCA2/BRM |
| 亚型 | IgG |
| 性状 | Liquid |
| 纯化方法 | affinity purified by Protein A |
| 克隆类型 | Polyclonal |
| 理论分子量 | 230 kDa |
| 浓度 | 1mg/ml |
| 储存液 | 0.01M TBS (pH7.4) with 1% BSA, 0.02% Proclin300 and 50% Glycerol. |
| 研究领域 | Epigenetics and Nuclear Signaling > Chromatin Remodeling > Swi / Snf Epigenetics and Nuclear Signaling > Nuclear Signaling Pathways > Nuclear Receptors > Co-activators/co-repressors |
| 亚基 | Component of the BAF complex. |
| 亚细胞定位 | Nucleus. |
| 翻译后修饰 | Phosphorylated upon DNA damage, probably by ATM or ATR. |
| 相似性 | Belongs to the SNF2/RAD54 helicase family.
Contains 1 bromo domain. Contains 1 helicase ATP-binding domain. Contains 1 helicase C-terminal domain. Contains 1 HSA domain. |
| 功能 | Transcriptional coactivator cooperating with nuclear hormone receptors to potentiate transcriptional activation. Also involved in vitamin D-coupled transcription regulation via its association with the WINAC complex, a chromatin-remodeling complex recruited by vitamin D receptor (VDR), which is required for the ligand-bound VDR-mediated transrepression of the CYP27B1 gene. Belongs to the neural progenitors-specific chromatin remodeling complex (npBAF complex) and the neuron-specific chromatin remodeling complex (nBAF complex). During neural development a switch from a stem/progenitor to a post-mitotic chromatin remodeling mechanism occurs as neurons exit the cell cycle and become committed to their adult state. The transition from proliferating neural stem/progenitor cells to post-mitotic neurons requires a switch in subunit composition of the npBAF and nBAF complexes. As neural progenitors exit mitosis and differentiate into neurons, npBAF complexes which contain ACTL6A/BAF53A and PHF10/BAF45A, are exchanged for homologous alternative ACTL6B/BAF53B and DPF1/BAF45B or DPF3/BAF45C subunits in neuron-specific complexes (nBAF). The npBAF complex is essential for the self-renewal/proliferative capacity of the multipotent neural stem cells. The nBAF complex along with CREST plays a role regulating the activity of genes essential for dendrite growth (By similarity). |
| 保存条件 | Shipped at 4℃. Store at -20℃ for one year. Avoid repeated freeze/thaw cycles. |
| 注意事项 | This product as supplied is intended for research use only, not for use in human, therapeutic or diagnostic applications. |
| 背景资料 | A transcriptional coactivator cooperating with nuclear hormone receptors to potentiate transcriptional activation. SMARCA2 / BRM belongs to the SNF2/RAD54 helicase family, is a homologue of the Saccharomyces cerevisiae SWI2/SNF2 and Drosophila brahma proteins. It contains a methyl lysine containing bromo domain and an HSA domain. The yeast protein SNF2, also known as SWI2, is involved in transcriptional activation of numerous genes. It contains a domain that is highly conserved among several known helicases and is required for transcriptional activity. SNF2/SWI2 is highly homologous to the Drosophila protein 'brahma' (brm). Although the 2 proteins show nuclear localization during interphase, they are excluded from the condensed chromosomes during mitosis. They found that the level of BRM, but not BRG1, was strongly reduced during mitosis. Phosphorylation of hbrm and BRG1 did not disrupt their association with SNF5 but correlated with a decreased affinity for the nuclear structure in early M phase. |
| 应用 | 推荐稀释比例 |
| {IHC-P} | {1:100-500} |
| {IHC-F} | {1:100-500} |
| {IF} | {1:100-500} |

风险提示:丁香通仅作为第三方平台,为商家信息发布提供平台空间。用户咨询产品时请注意保护个人信息及财产安全,合理判断,谨慎选购商品,商家和用户对交易行为负责。对于医疗器械类产品,请先查证核实企业经营资质和医疗器械产品注册证情况。
技术资料暂无技术资料 索取技术资料
SMARCA2 Rabbit pAb(bs-6402R)-50ul/100ul/200ul
¥1180 - 2800





