相关产品推荐更多 >

Anti-human NKG2D / CD314 (Tesnatilimab Biosimilar)(BIO0054SM)-1mg/5mg/20mg
¥1550
IASPP Rabbit pAb, PE-Cy5.5 conjugated(bs-0284R-PE-Cy5.5)-100ul
¥2980
FAN1 Rabbit pAb, HRP conjugated(bs-13137R-HRP)-100ul
¥2980
MBD2 Rabbit pAb(bs-18698R)-50ul/100ul/200ul
¥1180
MAP3K14/NFkB Inducing Kinase Rabbit pAb, APC-Cy5.5 conjugated(bs-0074R-APC-Cy5.5)-100ul
¥2980
万千商家帮你免费找货
0 人在求购买到急需产品
- 详细信息
- 文献和实验
- 技术资料
- 应用范围:
产品信息以Bioss网站为准
- 规格:
50ul/100ul/200ul
| 规格: | 50ul | 产品价格: | ¥1180.0 |
|---|---|---|---|
| 规格: | 100ul | 产品价格: | ¥1980.0 |
| 规格: | 200ul | 产品价格: | ¥2800.0 |
| 产品编号 | bs-4114R |
| 英文名称 | IKBKE/IKKi/IKKe Rabbit pAb |
| 中文名称 | 核因子κB抑制蛋白E抗体 |
| 英文别名 | IKKi/IKKe; I kappa B kinase epsilon; IkBKE; IKBKE protein; IKK E; IKK i; IKK-i; IKK related kinase epsilon; IKKE; IKK-E; IKKepsilon; IKKI; Inducible I kappa B kinase; inducible IkappaB kinase; Inhibitor of kappa light polypeptide gene enhancer in B cells kinase epsilon; Inhibitor of nuclear factor kappa B kinase subunit epsilon; KIAA0151; MGC125294; MGC125295; MGC125297; IKKE_HUMAN; I-kappa-B kinase epsilon; IKK-epsilon; Inducible I kappa-B kinase. |
| 产品应用 | IHC-P=1:100-500, IHC-F=1:100-500, IF=1:100-500 Not yet tested in other applications. |
| 交叉反应 | Human (Mouse, Rat, Cow) |
| 抗体来源 | Rabbit |
| 免疫原 | KLH conjugated synthetic peptide derived from human IKBKE |
| 亚型 | IgG |
| 性状 | Liquid |
| 纯化方法 | affinity purified by Protein A |
| 克隆类型 | Polyclonal |
| 理论分子量 | 79 kDa |
| 浓度 | 1mg/ml |
| 储存液 | 0.01M TBS (pH7.4) with 1% BSA, 0.02% Proclin300 and 50% Glycerol. |
| 研究领域 | Cancer > Oncoproteins/suppressors > Oncoproteins > Signal transducers Cancer > Signal transduction > Protein phosphorylation > Serine/threonine kinases Epigenetics and Nuclear Signaling > Cell cycle > Kinases/Phosphatases Immunology > Innate Immunity > TLR Signaling Signal Transduction > Protein Phosphorylation > Ser / Thr Kinases > Other Kinases |
| 亚基 | May interact with MAVS/IPS1. Interacts with AZI2. Interacts with SIKE1. Interacts with TICAM1/TRIF, IRF3 and DDX58/RIG-I, interactions are disrupted by the interaction between IKBKE and SIKE1. Interacts with TOPORS; induced by DNA damage. Interacts with CYLD. |
| 亚细胞定位 | Cytoplasm. Nucleus. Nucleus, PML body. |
| 组织特异性 | Highly expressed in spleen followed by thymus, peripheral blood leukocytes, pancreas, placenta. Weakly expressed in lung, kidney, prostate, ovary and colon. |
| 翻译后修饰 | Autophosphorylated and phosphorylated by IKBKB/IKKB.
Sumoylation by TOPORS upon DNA damage is required for protection of cells against DNA damage-induced cell death. Desumoylated by SENP1. |
| 相似性 | Belongs to the protein kinase superfamily. Ser/Thr protein kinase family. I-kappa-B kinase subfamily.
Contains 1 protein kinase domain. |
| 功能 | Phosphorylates inhibitors of NF-kappa-B thus leading to the dissociation of the inhibitor/NF-kappa-B complex and ultimately the degradation of the inhibitor. May play a special role in the immune response. Protects cells against DNA damage-induced cell death. |
| 保存条件 | Shipped at 4℃. Store at -20℃ for one year. Avoid repeated freeze/thaw cycles. |
| 注意事项 | This product as supplied is intended for research use only, not for use in human, therapeutic or diagnostic applications. |
| 背景资料 | This member of the Ser/Thr protein kinase family (IkappaB kinase subfamily) phosphorylates inhibitors of NF-kappa-B thus leading to the dissociation of the inhibitor/NF-kappa-B complex and ultimately the degradation of the inhibitor. It is highly expressed in spleen followed by thymus, peripheral blood leukocytes, pancreas, placenta, and may play a special role in the immune response; it is weakly expressed in lung, kidney, prostate, ovary and colon. IKKi/IKKe is also overexpressed in breast cancers. |
| 应用 | 推荐稀释比例 |
| {IHC-P} | {1:100-500} |
| {IHC-F} | {1:100-500} |
| {IF} | {1:100-500} |

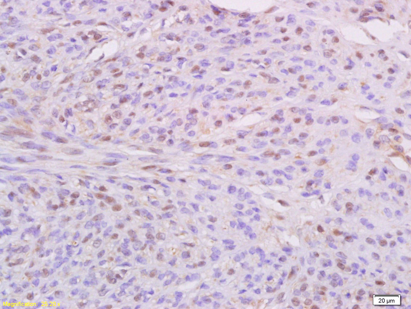
Antigen retrieval: citrate buffer ( 0.01M, pH 6.0 ), Boiling bathing for 15min; Block endogenous peroxidase by 3% Hydrogen peroxide for 30min; Blocking buffer (normal goat serum,C-0005) at 37℃ for 20 min;
Incubation: Anti-IKBKE/IKKi Polyclonal Antibody, Unconjugated(bs-4114R) 1:200, overnight at 4°C, followed by conjugation to the secondary antibody(SP-0023) and DAB(C-0010) staining
风险提示:丁香通仅作为第三方平台,为商家信息发布提供平台空间。用户咨询产品时请注意保护个人信息及财产安全,合理判断,谨慎选购商品,商家和用户对交易行为负责。对于医疗器械类产品,请先查证核实企业经营资质和医疗器械产品注册证情况。
文献和实验[IF={{ 6.1 }}] {Dongxue Song. et al. Purple Sweet Potato Polysaccharide Exerting an Anti-inflammatory Effect via a TLR-Mediated Pathway by Regulating Polarization and Inhibiting the Inflammasome Activation. J AGR FOOD CHEM. 2024;XXXX(XXX):XXX-XXX} {WB} {Mouse}
= NAL), appears to form upon oxidative cyclization of the nonfluorescent 2:1 lysine-HNE Michael adduct-Schiff base cross-link (Scheme 1). Polyclonal antibody (PAb) to the NAL-HNE fluorophore was raised in rabbit and found to be highly specific
+oieSKeKcgxGinlRPl7uja5iYeDdc+K3eZhXhIOHOy+p9cxrGU9WCTkVcT5iRR/BsR+N0IDPSu3x0pXo0IRAQiAhGBiEBE4ABCwPnwbu0wGmW8ULj7NRb20DLRYqFW1Up6ODBube+wknwaZ5w/y92bXLbV5K3CJ+hhzKwdSHCmVrada2Qy0eyxvi0r7Lkl99ukcaOkRe60Sj82E8qgnmxNtzHGRRyZQtf1g41GIMau5W7ITlqbiDRR0CA3tPhIsEdmP5hZ
. Retrieved 2010-11-29. ^ Nielsen BS, Jørgensen S, Fog JU, Søkilde R, Christensen IJ, Hansen U, Brünner N, Baker A, Møller S, Nielsen HJ (October 2010). "High levels of microRNA-21 in the stroma of colorectal cancers predict short disease-free survival
技术资料暂无技术资料 索取技术资料






