相关产品推荐更多 >

CCL26 Rabbit pAb, BF488 conjugated(bs-15513R-BF488)-100ul
¥2980
HPV16 E6 Rabbit pAb, BF647 conjugated(bs-0990R-BF647)-100ul
¥2980
VLDL Receptor Rabbit pAb, Cy5 conjugated(bs-4228R-Cy5)-100ul
¥2980
ERK5 Recombinant Rabbit mAb(bsm-52069R)-50ul/100ul/25ul
¥800
CD45 Mouse mAb, PE-Cy5.5 conjugated(bsm-33052M-PE-Cy5.5)-100ul
¥2980
万千商家帮你免费找货
0 人在求购买到急需产品
- 详细信息
- 文献和实验
- 技术资料
- 应用范围:
产品信息以Bioss网站为准
- 规格:
50ul/100ul/200ul
| 规格: | 50ul | 产品价格: | ¥1180.0 |
|---|---|---|---|
| 规格: | 100ul | 产品价格: | ¥1980.0 |
| 规格: | 200ul | 产品价格: | ¥2800.0 |
| 产品编号 | bs-3417R |
| 英文名称 | phospho-Smad1 (Ser206) Rabbit pAb |
| 中文名称 | 磷酸化细胞信号转导分子Smad-1抗体 |
| 英文别名 | Smad1(phospho S206); Smad1(phospho Ser206); p-Smad1(Ser206); Mothers against decapentaplegic homolog 1; BSP 1; BSP1; BSP-1; Dwarfin A; DwfA; hSMAD 1; hSMAD1; JV 41; JV4 1; JV4-1; JV41; MAD mothers against decapentaplegic homolog 1; Mad related protein 1; MADH 1; MADH1; Madr 1; MADR1; Mothers against decapentaplegic homolog 1; Mothers against DPP homolog 1; Sma and Mad related protein 1; SMAD 1; SMAD-1; SMAD family member 1; SMAD mothers against DPP homolog 1 Drosophila; Spinal muscular atrophy distal with upper limb predominance; TGF beta signaling protein 1; Transforming growth factor beta signaling protein 1; SMAD1_HUMAN; MAD homolog 1; Mothers against DPP homolog 1; Mad-related protein 1; SMAD family member 1; Smad1; Transforming growth factor-beta-signaling protein 1. |
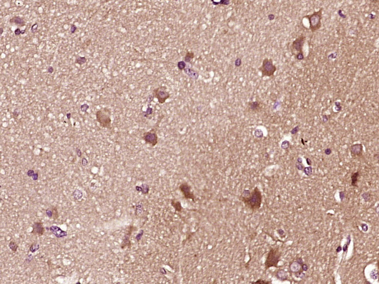
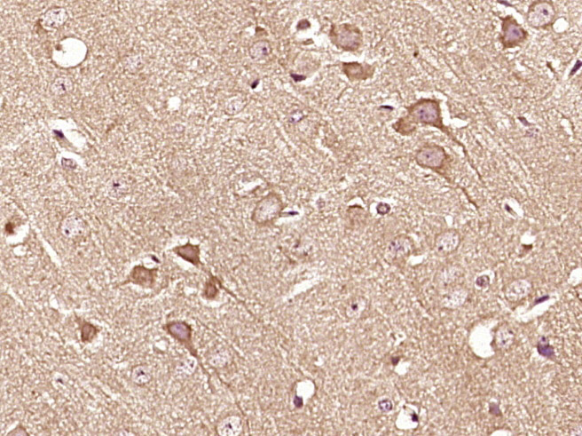
| 产品应用 | WB=1:500-2000, IHC-P=1:100-500, IHC-F=1:100-500, IF=1:100-500 Not yet tested in other applications. |
| 交叉反应 | Human, Mouse (Rat) |
| 抗体来源 | Rabbit |
| 免疫原 | KLH conjugated Synthesised phosphopeptide derived from human Smad1 around the phosphorylation site of Ser206 |
| 亚型 | IgG |
| 性状 | Liquid |
| 纯化方法 | affinity purified by Protein A |
| 克隆类型 | Polyclonal |
| 理论分子量 | 52 kDa |
| 浓度 | 1mg/ml |
| 储存液 | 0.01M TBS (pH7.4) with 1% BSA, 0.02% Proclin300 and 50% Glycerol. |
| 研究领域 | Cancer > Growth factors > TGF Epigenetics and Nuclear Signaling > Nuclear Signaling Pathways > SMADs Signal Transduction > Signaling Pathway > Nuclear Signaling > SMADs Stem Cells > Signaling Pathways > TGF beta > Cytoplasmic |
| 亚基 | Interacts with HGS, NANOG and ZCCHC12 (By similarity). May form trimers with another SMAD1 and the co-SMAD SMAD4. Interacts with PEBP2-alpha subunit, CREB-binding protein (CBP), p300, SMURF1, SMURF2 and HOXC8. Associates with ZNF423 or ZNF521 in response to BMP2 leading to activate transcription of BMP target genes. Interacts with SKOR1. Interacts (via MH2 domain) with LEMD3. Binding to LEMD3 results in at least a partial reduction of receptor-mediated phosphorylation. Forms a ternary complex with PSMB4 and OAZ1 before PSMB4 is incorporated into the 20S proteasome. |
| 亚细胞定位 | Cytoplasm. Nucleus. Note=Cytoplasmic in the absence of ligand. Migrates to the nucleus when complexed with SMAD4. Co-localizes with LEMD3 at the nucleus inner membrane. |
| 组织特异性 | Ubiquitous. Highest expression seen in the heart and skeletal muscle. |
| 翻译后修饰 | Phosphorylated on serine by BMP type 1 receptor kinase.
Ubiquitin-mediated proteolysis by SMAD-specific E3 ubiquitin ligase SMURF1. |
| 相似性 | Belongs to the dwarfin/SMAD family. Contains 1 MH1 (MAD homology 1) domain. Contains 1 MH2 (MAD homology 2) domain. |
| 功能 | Transcriptional modulator activated by BMP (bone morphogenetic proteins) type 1 receptor kinase. SMAD1 is a receptor-regulated SMAD (R-SMAD). SMAD1/OAZ1/PSMB4 complex mediates the degradation of the CREBBP/EP300 repressor SNIP1. |
| 保存条件 | Shipped at 4℃. Store at -20℃ for one year. Avoid repeated freeze/thaw cycles. |
| 注意事项 | This product as supplied is intended for research use only, not for use in human, therapeutic or diagnostic applications. |
| 背景资料 | The protein encoded by this gene belongs to the SMAD, a family of proteins similar to the gene products of the Drosophila gene 'mothers against decapentaplegic' (Mad) and the C. elegans gene Sma. SMAD proteins are signal transducers and transcriptional modulators that mediate multiple signaling pathways. This protein mediates the signals of the bone morphogenetic proteins (BMPs), which are involved in a range of biological activities including cell growth, apoptosis, morphogenesis, development and immune responses. In response to BMP ligands, this protein can be phosphorylated and activated by the BMP receptor kinase. The phosphorylated form of this protein forms a complex with SMAD4, which is important for its function in the transcription regulation. This protein is a target for SMAD-specific E3 ubiquitin ligases, such as SMURF1 and SMURF2, and undergoes ubiquitination and proteasome-mediated degradation. Alternatively spliced transcript variants encoding the same protein have been observed. [provided by RefSeq]. |
| 应用 | 推荐稀释比例 |
| {WB} | {1:500-2000} |
| {IHC-P} | {1:100-500} |
| {IHC-F} | {1:100-500} |
| {IF} | {1:100-500} |

Muscle(Mouse) Cell Lysate at 40 ug
Primary: Anti-Phospho-Smad1 (Ser206) (bs-3417R) at 1/300 dilution
Secondary: IRDye800CW Goat Anti-Rabbit IgG at 1/20000 dilution
Predicted band size: 52 kD
Observed band size: 52 kD



A673(Human) Cell Lysate at 30 ug
Primary: Anti-Phospho-Smad1 (Ser206) (bs-3417R) at 1/500 dilution
Secondary: IRDye800CW Goat Anti-Rabbit IgG at 1/20000 dilution
Predicted band size: 52 kD
Observed band size: 52 kD

Heart (Mouse) Lysate at 40 ug
Primary: Anti-Phospho-Smad1 (Ser206) (bs-3417R) at 1/500 dilution
Secondary: IRDye800CW Goat Anti-Rabbit IgG at 1/20000 dilution
Predicted band size: 52 kD
Observed band size: 52 kD
风险提示:丁香通仅作为第三方平台,为商家信息发布提供平台空间。用户咨询产品时请注意保护个人信息及财产安全,合理判断,谨慎选购商品,商家和用户对交易行为负责。对于医疗器械类产品,请先查证核实企业经营资质和医疗器械产品注册证情况。
文献和实验[IF={{ 5.6 }}] {Shuang Liu. et al. Periodontal ligament-associated protein-1 knockout mice regulate the differentiation of osteoclasts and osteoblasts through TGF-β1/Smad signaling pathway. J CELL PHYSIOL. 2023 Jun;:} {WB} {Mouse}
[IF={{ 4.3 }}] {Shuang Liu. et al. Periodontal ligament-associated protein-1 promotes osteoclastogenesis in mice by modulating TGF-β1/Smad1 pathway. J PERIODONTOL. 2023 Jul;:} {WB} {Mouse}
[IF={{ 2.784 }}] {Yang et al. miR-1307-3p suppresses the chondrogenic differentiation of human adipose-derived stem cells by targeting BMPR2. (2018) Int.J.Mol.Med. 42:3115-3124} {WB} {}
技术资料暂无技术资料 索取技术资料





