相关产品推荐更多 >
万千商家帮你免费找货
0 人在求购买到急需产品
- 详细信息
- 文献和实验
- 技术资料
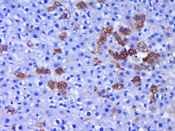
- 应用范围:
产品信息以Bioss网站为准
- 规格:
50ul/100ul/200ul
| 规格: | 50ul | 产品价格: | ¥1180.0 |
|---|---|---|---|
| 规格: | 100ul | 产品价格: | ¥1980.0 |
| 规格: | 200ul | 产品价格: | ¥2800.0 |
| 产品编号 | bs-11645R |
| 英文名称 | FISH Rabbit pAb |
| 中文名称 | FISH蛋白抗体 |
| 英文别名 | Adapter protein TKS5; Five SH3 domain-containing protein; SH3 and PX domain-containing protein 2A; SH3 multiple domains protein 1; Sh3md1; Sh3pxd2a; SPD2A_HUMAN; TKs5; Tyrosine kinase substrate with five SH3 domains. |
| 产品应用 | IHC-P=1:100-500, IHC-F=1:100-500, IF=1:100-500 Not yet tested in other applications. |
| 交叉反应 | Rat (Human, Mouse) |
| 抗体来源 | Rabbit |
| 免疫原 | KLH conjugated synthetic peptide derived from human FISH |
| 亚型 | IgG |
| 性状 | Liquid |
| 纯化方法 | affinity purified by Protein A |
| 克隆类型 | Polyclonal |
| 理论分子量 | 125 kDa |
| 浓度 | 1mg/ml |
| 储存液 | 0.01M TBS (pH7.4) with 1% BSA, 0.02% Proclin300 and 50% Glycerol. |
| 亚基 | Interacts (via N-terminus) with CYBA (By similarity). Interacts with ADAM12, ADAM15 and ADAM19. Interacts with NOXO1. Interacts (via SH3 domains) with NOXA1. Interacts with FASLG. |
| 亚细胞定位 | Cytoplasm. Cell projection > podosome. Cytoplasmic in normal cells and localizes to podosomes in SRC-transformed cells. |
| 组织特异性 | Found in several cancer cell lines, particularly invasive breast carcinomas and melanomas. |
| 翻译后修饰 | Tyrosine phosphorylated by SRC. Phosphorylation plays a regulatory role in the protein localization. The intramolecular interaction of the PX domain with the third SH3 domain maintains the protein in the cytoplasm and phosphorylation disrupts this interaction, resulting in the redistribution of the protein from cytoplasm to the perimembrane region. Phosphorylated on serine upon DNA damage, probably by ATM or ATR. |
| 相似性 | Belongs to the SH3PXD2 family. Contains 1 PX (phox homology) domain. Contains 5 SH3 domains. |
| 功能 | Adapter protein involved in invadopodia and podosome formation, extracellular matrix degradation and invasiveness of some cancer cells. Binds matrix metalloproteinases (ADAMs), NADPH oxidases (NOXs) and phosphoinositides. Acts as an organizer protein that allows NOX1- or NOX3-dependent reactive oxygen species (ROS) generation and ROS localization. In association with ADAM12, mediates the neurotoxic effect of beta-amyloid peptide. |
| 保存条件 | Shipped at 4℃. Store at -20℃ for one year. Avoid repeated freeze/thaw cycles. |
| 注意事项 | This product as supplied is intended for research use only, not for use in human, therapeutic or diagnostic applications. |
| 背景资料 | Fish, a potential Src substrate, is a broadly expressed adaptor protein containing five SH3 domains and a phox homology (PX) domain (1). The Src family of protein tyrosine kinases act in signal transduction pathways (2-4). Src kinases vary in expression but are strongly regulated in vivo; catalytic activity is repressed by interacting with the SH3 domain (5-7). In Src-transformed fibroblasts and in normal cells treated with certain growth factors fish is tyrosine-phosphorylated (1). Treatment of cells with cytochalasin D results in rapid tyrosine phosphorylation of fish, along with activation of Src (1). Fish is likely to be involved in tyrosine kinase signaling and may have a role in cytoskeletal changes (1). |
| 应用 | 推荐稀释比例 |
| {IHC-P} | {1:100-500} |
| {IHC-F} | {1:100-500} |
| {IF} | {1:100-500} |

风险提示:丁香通仅作为第三方平台,为商家信息发布提供平台空间。用户咨询产品时请注意保护个人信息及财产安全,合理判断,谨慎选购商品,商家和用户对交易行为负责。对于医疗器械类产品,请先查证核实企业经营资质和医疗器械产品注册证情况。
文献和实验= NAL), appears to form upon oxidative cyclization of the nonfluorescent 2:1 lysine-HNE Michael adduct-Schiff base cross-link (Scheme 1). Polyclonal antibody (PAb) to the NAL-HNE fluorophore was raised in rabbit and found to be highly specific
LINE-1 Elements: Analysis by Fluorescence In-Situ Hybridization and Nucleotide Sequences
of subfamilies. The distribution of LINE-1 elements can be viewed from a chromosomal perspective using fluorescence in-situ hybridization (FISH), as well as at the sequence level. We have designed LINE-1 primers from regions conserved among mouse, rat, rabbit
Fluorescent in situ Hybridization Combined with Immunostaining on Polytene Chromosomes
that combined protein immunostaining with fluorescent in situ hybridization (FISH) in order to allow simultaneous visualization of a protein of interest and a specific DNA sequence (Dejardin and Cavalli, 2004; Lavrov et al ., 2004). Compared with previous
技术资料暂无技术资料 索取技术资料









