相关产品推荐更多 >
万千商家帮你免费找货
0 人在求购买到急需产品
- 详细信息
- 文献和实验
- 技术资料
- 应用范围:
产品信息以Bioss网站为准
- 规格:
50ul/100ul/200ul
| 规格: | 50ul | 产品价格: | ¥1180.0 |
|---|---|---|---|
| 规格: | 100ul | 产品价格: | ¥1980.0 |
| 规格: | 200ul | 产品价格: | ¥2800.0 |
| 产品编号 | bs-6401R |
| 英文名称 | BMP1 Rabbit pAb |
| 中文名称 | 骨形态发生蛋白1/胶原C蛋白肽链内切酶抗体 |
| 英文别名 | BMP 1; BMP-1; Bone morphogenetic protein 1; Mammalian tolloid protein; mTld; PCOLC; PCP; ProCollagen C endopeptidase; Procollagen C proteinase; TLD; BMP1_HUMAN. |
| 产品应用 | WB=1:500-2000, IHC-P=1:100-500, IHC-F=1:100-500, IF=1:100-500 Not yet tested in other applications. |
| 交叉反应 | Human, Mouse, Rat (Dog, Pig, Cow, Horse, Rabbit) |
| 抗体来源 | Rabbit |
| 免疫原 | KLH conjugated synthetic peptide derived from human BMP1 |
| 亚型 | IgG |
| 性状 | Liquid |
| 纯化方法 | affinity purified by Protein A |
| 克隆类型 | Polyclonal |
| 理论分子量 | 98 kDa |
| 浓度 | 1mg/ml |
| 储存液 | 0.01M TBS (pH7.4) with 1% BSA, 0.02% Proclin300 and 50% Glycerol. |
| 研究领域 | Cancer > Cancer Metabolism > Metabolic signaling pathway > Metabolism of lipids and lipoproteins Cell Biology > Cell Cycle > Cell differentiation Cell Biology > Proteolysis / Ubiquitin > Proteolytic enzymes > Metalloprotease > BMPs Metabolism > Pathways and Processes > Metabolic signaling pathways > Lipid and lipoprotein metabolism > Lipid metabolism Signal Transduction > Cytoskeleton / ECM > Extracellular Matrix > ECM Enzymes > MMP Signal Transduction > Cytoskeleton / ECM > Extracellular Matrix > ECM Proteins > Collagen Signal Transduction > Cytoskeleton / ECM > Extracellular Matrix > Structures > Bone |
| 组织特异性 | Ubiquitous. |
| 相似性 | Belongs to the peptidase M12A family. Contains 5 CUB domains. Contains 2 EGF-like domains. |
| 功能 | Cleaves the C-terminal propeptides of procollagen I, II and III. Induces cartilage and bone formation. May participate in dorsoventral patterning during early development by cleaving chordin (CHRD). |
| 保存条件 | Shipped at 4℃. Store at -20℃ for one year. Avoid repeated freeze/thaw cycles. |
| 注意事项 | This product as supplied is intended for research use only, not for use in human, therapeutic or diagnostic applications. |
| 背景资料 | Bone morphogenetic protein 1 (BMP1) was first identified in osteogenic extracts of bone. It is an extracellular zinc endopeptidase, implicated in morphogenetic processes in a broad range of species. BMP1 is a member of the astacin family of metalloproteinases. The astacin family includes BMP1, astacin, meprin A and B, tolloid-like proteins, and choriolysin. BMP1 is involved in extracellular matrix (ECM) formation, suggesting that a functional link may exist between astacin metalloproteinases, growth factors, and cell differentiation and pattern formation during development. The name PCP reflects this enzyme’s involvement in the collagen deposition of growing bone. The enzymes known as the procollagen C and N proteinases (PCP and PNP) are involved in the processing of fibrillar procollagen precursors to mature collagens, which is an essential requirement for fibril formation. PCP cleaves the C-terminus from procollagen, to allow the formation of mature, triplehelical collagen. The N-terminus is cleaved by the procollagen N-proteinase (PNP or ADAM-TS2). Defects in PNP have been linked to the skin disorder dermatosparaxis, and defects in BMP1 are thought to lead to aberrant collagen processing, and connective tissue disorders. Many forms of BMP1 have been reported, with varying truncation at the C-terminus. The long form of BMP1 is most similar to the tolloid-like proteins, which have extra EGF-like and CUB domains. |
| 应用 | 推荐稀释比例 |
| {WB} | {1:500-2000} |
| {IHC-P} | {1:100-500} |
| {IHC-F} | {1:100-500} |
| {IF} | {1:100-500} |

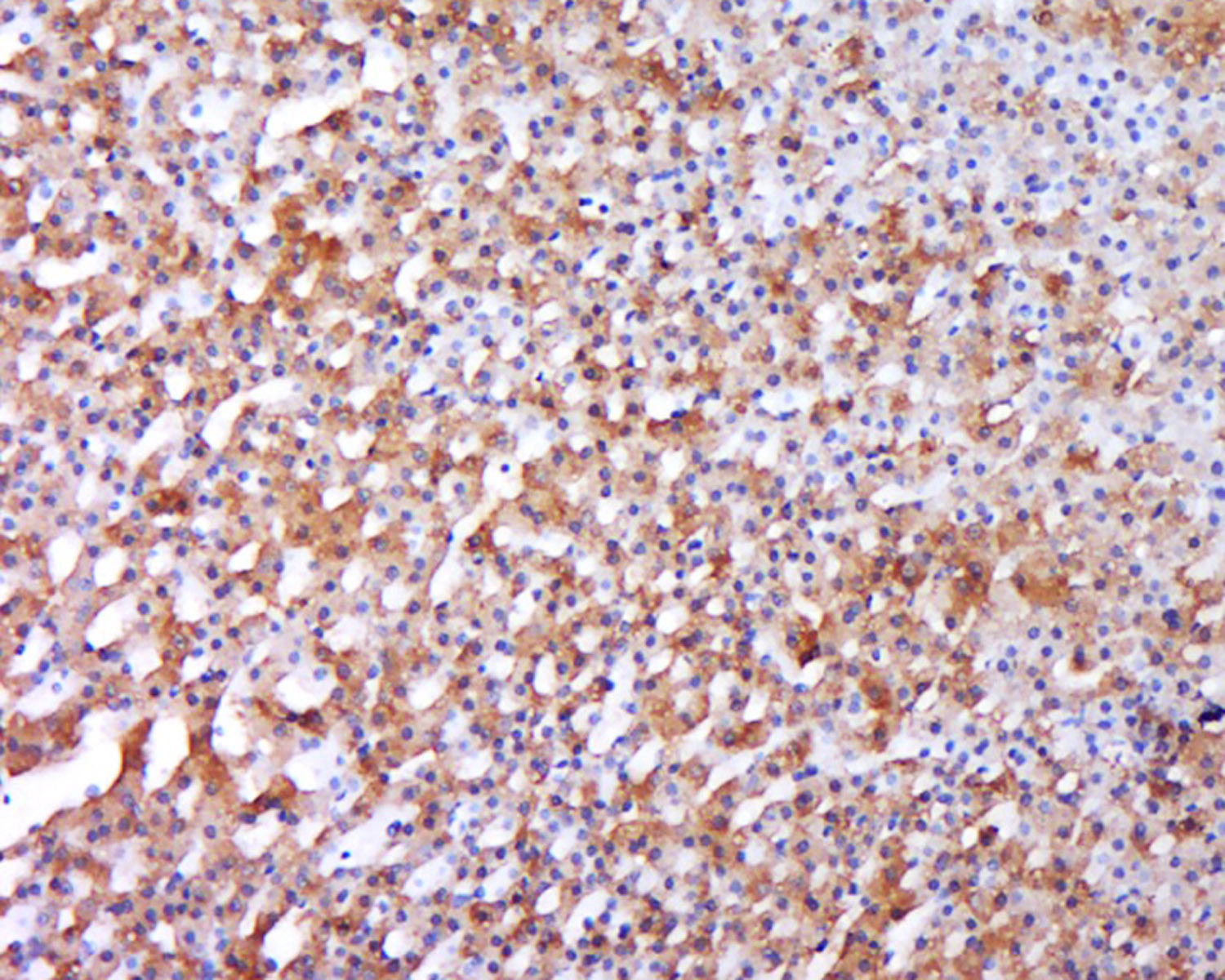
Antigen retrieval: citrate buffer ( 0.01M, pH 6.0 ), Boiling bathing for 15min; Block endogenous peroxidase by 3% Hydrogen peroxide for 30min; Blocking buffer (normal goat serum,C-0005) at 37℃ for 20 min;
Incubation: Anti-BMP1 Polyclonal Antibody, Unconjugated(bs-6401R) 1:500, overnight at 4°C, followed by conjugation to the secondary antibody(SP-0023) and DAB(C-0010) staining

Primary: Anti-BMP1 (bs-6401R) at 1/300 dilution
Secondary: IRDye800CW Goat Anti-Rabbit IgG at 1/20000 dilution
Predicted band size: 98 kD
Observed band size: 98 kD

Lane 1: Mouse Placenta tissue lysates
Lane 2: Mouse Cerebrum tissue lysates
Lane 3: Mouse NIH/3T3 cell lysates
Lane 4: Rat Placenta tissue lysates
Lane 5: Human HeLa cell lysates
Lane 6: Human A549 cell lysates
Primary: Anti-BMP1 (bs-6401R) at 1/1000 dilution
Secondary: IRDye800CW Goat Anti-Rabbit IgG at 1/20000 dilution
Predicted band size: 98 kDa
Observed band size: 100 kDa
风险提示:丁香通仅作为第三方平台,为商家信息发布提供平台空间。用户咨询产品时请注意保护个人信息及财产安全,合理判断,谨慎选购商品,商家和用户对交易行为负责。对于医疗器械类产品,请先查证核实企业经营资质和医疗器械产品注册证情况。
文献和实验[IF={{ 14.9 }}] {Liu Xue. et al. Carcinoma-associated fibroblast-derived lysyl oxidase-rich extracellular vesicles mediate collagen crosslinking and promote epithelial-mesenchymal transition via p-FAK/p-paxillin/YAP signaling. INT J ORAL SCI. 2023 Aug;15(1):1-15} {WB} {Bovine}
= NAL), appears to form upon oxidative cyclization of the nonfluorescent 2:1 lysine-HNE Michael adduct-Schiff base cross-link (Scheme 1). Polyclonal antibody (PAb) to the NAL-HNE fluorophore was raised in rabbit and found to be highly specific
GE Healthcare Benzamidine Sepharose™ 6B is p-aminobenzamidine covalently attached to Sepharose 6B by the epoxy coupling method. p-Aminobenzamidine (PAB), is a synthetic inhibitor of trypsin-like serine protease. Trypsin and trypsin
Nucleic Acid Programmable Protein Arrays: Versatile Tools for Array‐Based Functional Protein Studies
.g., Sigma) 50 mg/ml bis‐sulfosuccinimdylsuberate (BS3 ;Pierce, cat. no. PI 21580) in dimethylsulfoxide (DMSO) 5 mg/ml
技术资料暂无技术资料 索取技术资料










