相关产品推荐更多 >
万千商家帮你免费找货
0 人在求购买到急需产品
- 详细信息
- 文献和实验
- 技术资料
- 应用范围:
产品信息以Bioss网站为准
- 规格:
50ul/100ul/200ul
| 规格: | 50ul | 产品价格: | ¥1180.0 |
|---|---|---|---|
| 规格: | 100ul | 产品价格: | ¥1980.0 |
| 规格: | 200ul | 产品价格: | ¥2800.0 |
| 产品编号 | bs-3571R |
| 英文名称 | NCOA3 Rabbit pAb |
| 中文名称 | 类固醇受体激活蛋白3抗体 |
| 英文别名 | NCOA3_HUMAN; Nuclear receptor coactivator 3; EC:2.3.1.48; NCoA-3; ACTR; Amplified in breast cancer 1 protein(AIB-1); CBP-interacting protein(pCIP); Class E basic helix-loop-helix protein 42(bHLHe42); Receptor-associated coactivator 3(RAC-3); Steroid receptor coactivator protein 3(SRC-3); Thyroid hormone receptor activator molecule 1(TRAM-1); AIB1; RAC3; SRC3; pCIP; AIB-1; CTG26; SRC-3; CAGH16; KAT13B; TNRC14; TNRC16; TRAM-1; bHLHe42; |
| 产品应用 | IHC-P=1:100-500, IHC-F=1:100-500, ICC/IF=1:100-500, IF=1:100-500 Not yet tested in other applications. |
| 交叉反应 | Human, Rat (Mouse, Chicken, Dog, Cow, Horse, Rabbit) |
| 抗体来源 | Rabbit |
| 免疫原 | KLH conjugated synthetic peptide derived from human SRC3 |
| 亚型 | IgG |
| 性状 | Liquid |
| 纯化方法 | affinity purified by Protein A |
| 克隆类型 | Polyclonal |
| 理论分子量 | 155 kDa |
| 浓度 | 1mg/ml |
| 储存液 | 0.01M TBS (pH7.4) with 1% BSA, 0.02% Proclin300 and 50% Glycerol. |
| 研究领域 | Cancer > Cancer Metabolism > Metabolic signaling pathway > Metabolism of lipids and lipoproteins Cancer > Signal transduction > Nuclear signaling > Nuclear hormone receptors > Coactivators and repressors Epigenetics and Nuclear Signaling > Chromatin Modifying Enzymes > Acetylation Epigenetics and Nuclear Signaling > Chromatin Modifying Enzymes > Acetylation > HAT Epigenetics and Nuclear Signaling > Nuclear Signaling Pathways > Nuclear Receptors > Co-activators/co-repressors Metabolism > Pathways and Processes > Metabolic signaling pathways > Lipid and lipoprotein metabolism > Lipid metabolism Metabolism > Types of disease > Obesity Signal Transduction > Signaling Pathway > Nuclear Signaling > Nuclear Hormone Receptors > Co-activators/co-repressors |
| 亚基 | Interacts with CARM1. Present in a complex containing NCOA2, IKKA, IKKB, IKBKG and the histone acetyltransferase protein CREBBP. Interacts with CASP8AP2, NR3C1 and PCAF. Interacts with ATAD2 and this interaction is enhanced by estradiol. Found in a complex containing NCOA3, AR and MAK. Interacts with DDX5. Interacts with PSMB9. Interacts with NPAS2. Interacts with NR4A3. |
| 亚细胞定位 | Cytoplasm. Nucleus. Mainly cytoplasmic and weakly nuclear. Upon TNF activation and subsequent phosphorylation, it translocates from the cytoplasm to the nucleus. |
| 组织特异性 | Widely expressed. High expression in heart, skeletal muscle, pancreas and placenta. Low expression in brain, and very low in lung, liver and kidney. |
| 翻译后修饰 | Acetylated by CREBBP. Acetylation occurs in the RID domain, and disrupts the interaction with nuclear receptors and regulates its function.
Methylated by CARM1. Phosphorylated by IKK complex. Regulated its function. |
| 相似性 | Belongs to the SRC/p160 nuclear receptor coactivator family.
Contains 1 basic helix-loop-helix (bHLH) domain. Contains 1 PAS (PER-ARNT-SIM) domain. |
| 功能 | Nuclear receptor coactivator that directly binds nuclear receptors and stimulates the transcriptional activities in a hormone-dependent fashion. Plays a central role in creating a multisubunit coactivator complex, which probably acts via remodeling of chromatin. Involved in the coactivation of different nuclear receptors, such as for steroids (GR and ER), retinoids (RARs and RXRs), thyroid hormone (TRs), vitamin D3 (VDR) and prostanoids (PPARs). Displays histone acetyltransferase activity. Also involved in the coactivation of the NF-kappa-B pathway via its interaction with the NFKB1 subunit. Interacts with PSMB9. |
| 保存条件 | Shipped at 4℃. Store at -20℃ for one year. Avoid repeated freeze/thaw cycles. |
| 注意事项 | This product as supplied is intended for research use only, not for use in human, therapeutic or diagnostic applications. |
| 背景资料 | The protein encoded by this gene is a nuclear receptor coactivator that interacts with nuclear hormone receptors to enhance their transcriptional activator functions. The encoded protein has histone acetyltransferase activity and recruits p300/CBP-associated factor and CREB binding protein as part of a multisubunit coactivation complex. This protein is initially found in the cytoplasm but is translocated into the nucleus upon phosphorylation. Several transcript variants encoding different isoforms have been found for this gene. In addition, a polymorphic repeat region is found in the C-terminus of the encoded protein. [provided by RefSeq, Mar 2010]. |
| 应用 | 推荐稀释比例 |
| {IHC-P} | {1:100-500} |
| {IHC-F} | {1:100-500} |
| {ICC/IF} | {1:100-500} |
| {IF} | {1:100-500} |

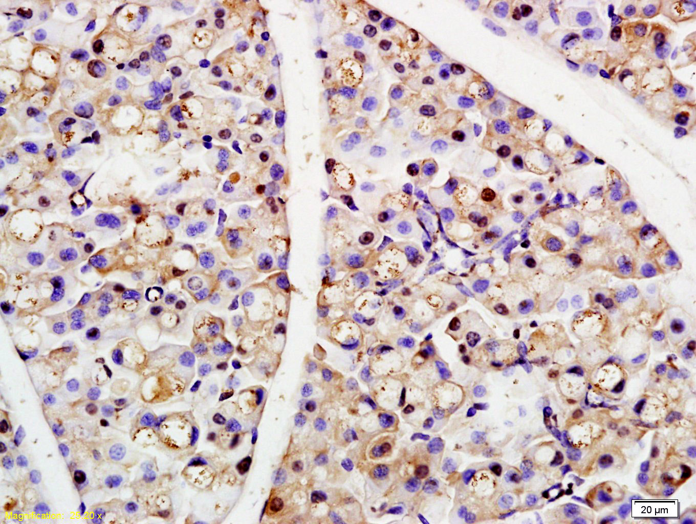
Antigen retrieval: citrate buffer ( 0.01M, pH 6.0 ), Boiling bathing for 15min; Block endogenous peroxidase by 3% Hydrogen peroxide for 30min; Blocking buffer (normal goat serum,C-0005) at 37℃ for 20 min;
Incubation: Anti-NCOA3/KAT13B/AIB1/SRC-3 Polyclonal Antibody, Unconjugated(bs-3571R) 1:200, overnight at 4°C, followed by conjugation to the secondary antibody(SP-0023) and DAB(C-0010) staining

风险提示:丁香通仅作为第三方平台,为商家信息发布提供平台空间。用户咨询产品时请注意保护个人信息及财产安全,合理判断,谨慎选购商品,商家和用户对交易行为负责。对于医疗器械类产品,请先查证核实企业经营资质和医疗器械产品注册证情况。
文献和实验= NAL), appears to form upon oxidative cyclization of the nonfluorescent 2:1 lysine-HNE Michael adduct-Schiff base cross-link (Scheme 1). Polyclonal antibody (PAb) to the NAL-HNE fluorophore was raised in rabbit and found to be highly specific
GE Healthcare Benzamidine Sepharose™ 6B is p-aminobenzamidine covalently attached to Sepharose 6B by the epoxy coupling method. p-Aminobenzamidine (PAB), is a synthetic inhibitor of trypsin-like serine protease. Trypsin and trypsin
Nucleic Acid Programmable Protein Arrays: Versatile Tools for Array‐Based Functional Protein Studies
.g., Sigma) 50 mg/ml bis‐sulfosuccinimdylsuberate (BS3 ;Pierce, cat. no. PI 21580) in dimethylsulfoxide (DMSO) 5 mg/ml
技术资料暂无技术资料 索取技术资料









