相关产品推荐更多 >
万千商家帮你免费找货
0 人在求购买到急需产品
- 详细信息
- 文献和实验
- 技术资料
- 应用范围:
产品信息以Bioss网站为准
- 规格:
50ul/100ul/200ul
| 规格: | 50ul | 产品价格: | ¥1180.0 |
|---|---|---|---|
| 规格: | 100ul | 产品价格: | ¥1980.0 |
| 规格: | 200ul | 产品价格: | ¥2800.0 |
| 产品编号 | bs-10462R |
| 英文名称 | phospho-ITGB2 (Thr758) Rabbit pAb |
| 中文名称 | 磷酸化整合素β2(CD18)抗体 |
| 英文别名 | Integrin beta-2; integrin subunit beta 2; LAD; CD18; MF17; MFI7; LCAMB; LFA-1; MAC-1; Cell surface adhesion glycoproteins LFA-1/CR3/p150, 95 subunit beta; Complement receptor C3 subunit beta; |
| 产品应用 | IHC-P=1:100-500, IHC-F=1:100-500, IF=1:100-500, Flow-Cyt=1μg/Test Not yet tested in other applications. |
| 交叉反应 | Human (Mouse, Rat, Chicken, Dog, Pig, Cow, Horse, Rabbit, Sheep, GuineaPig) |
| 抗体来源 | Rabbit |
| 免疫原 | KLH conjugated synthesised phosphopeptide derived from human CD18 around the phosphorylation site of Thr758 |
| 亚型 | IgG |
| 性状 | Liquid |
| 纯化方法 | affinity purified by Protein A |
| 克隆类型 | Polyclonal |
| 理论分子量 | 82 kDa |
| 浓度 | 1mg/ml |
| 储存液 | 0.01M TBS (pH7.4) with 1% BSA, 0.02% Proclin300 and 50% Glycerol. |
| 亚基 | Heterodimer of an alpha and a beta subunit. Beta-2 associates with either alpha-L, alpha-M, alpha-X or alpha-D. Interacts with FGR. Interacts with COPS5 and RANBP9. |
| 亚细胞定位 | Membrane; Single-pass type I membrane protein. |
| 翻译后修饰 | Both Ser-745 and Ser-756 become phosphorylated when T-cells are exposed to phorbol esters. Phosphorylation on Thr-758 (but not on Ser-756) allows interaction with 14-3-3 proteins. |
| 相似性 | Belongs to the integrin beta chain family.
Contains 1 VWFA domain. |
| 功能 | Integrin alpha-L/beta-2 is a receptor for ICAM1, ICAM2, ICAM3 and ICAM4. Integrins alpha-M/beta-2 and alpha-X/beta-2 are receptors for the iC3b fragment of the third complement component and for fibrinogen. Integrin alpha-X/beta-2 recognizes the sequence G-P-R in fibrinogen alpha-chain. Integrin alpha-M/beta-2 recognizes P1 and P2 peptides of fibrinogen gamma chain. Integrin alpha-M/beta-2 is also a receptor for factor X. Integrin alpha-D/beta-2 is a receptor for ICAM3 and VCAM1. Triggers neutrophil transmigration during lung injury through PTK2B/PYK2-mediated activation. |
| 保存条件 | Shipped at 4℃. Store at -20℃ for one year. Avoid repeated freeze/thaw cycles. |
| 注意事项 | This product as supplied is intended for research use only, not for use in human, therapeutic or diagnostic applications. |
| 背景资料 | The product of this gene belongs to the integrin beta chain family of proteins. Integrins are integral cell-surface proteins composed of an alpha chain and a beta chain. This gene encodes the integrin beta chain beta 2. A given chain may combine with multiple partners resulting in different integrins. For example, beta 2 combines with the alpha L chain to form the integrin LFA-1, and combines with the alpha M chain to form the integrin Mac-1. Integrins are known to participate in cell adhesion as well as cell-surface mediated signalling. Defects in this gene are the cause of leukocyte adhesion deficiency type I (LAD1). Two transcript variants encoding the same protein have been identified for this gene. [provided by RefSeq, Jul 2008]. |
| 应用 | 推荐稀释比例 |
| {IHC-P} | {1:100-500} |
| {IHC-F} | {1:100-500} |
| {IF} | {1:100-500} |
| {Flow-Cyt} | {1μg/Test} |

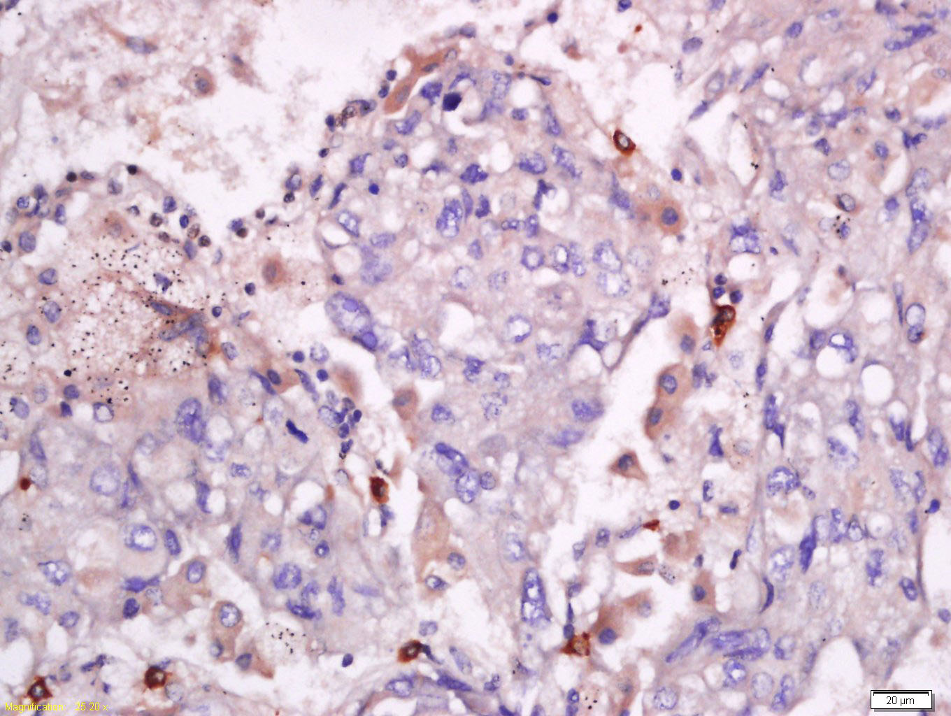
Antigen retrieval: citrate buffer ( 0.01M, pH 6.0 ), Boiling bathing for 15min; Block endogenous peroxidase by 3% Hydrogen peroxide for 30min; Blocking buffer (normal goat serum,C-0005) at 37℃ for 20 min;
Incubation: Anti-Phospho-CD18 (Thr758) Polyclonal Antibody, Unconjugated(bs-10462R) 1:200, overnight at 4°C, followed by conjugation to the secondary antibody(SP-0023) and DAB(C-0010) staining

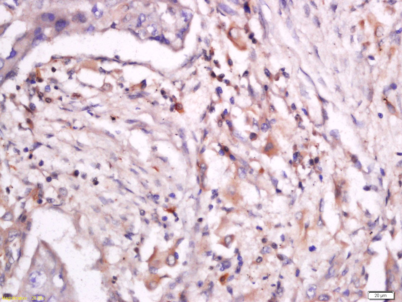
Antigen retrieval: citrate buffer ( 0.01M, pH 6.0 ), Boiling bathing for 15min; Block endogenous peroxidase by 3% Hydrogen peroxide for 30min; Blocking buffer (normal goat serum,C-0005) at 37℃ for 20 min;
Incubation: Anti-Phospho-CD18 (Thr758) Polyclonal Antibody, Unconjugated(bs-10462R) 1:200, overnight at 4°C, followed by conjugation to the secondary antibody(SP-0023) and DAB(C-0010) staining

Antigen retrieval: citrate buffer ( 0.01M, pH 6.0 ), Boiling bathing for 15min; Block endogenous peroxidase by 3% Hydrogen peroxide for 30min; Blocking buffer (normal goat serum,C-0005) at 37℃ for 20 min;
Incubation: Anti-Phospho-CD18 (Thr758) Polyclonal Antibody, Unconjugated(bs-10462R) 1:200, overnight at 4°C, followed by conjugation to the secondary antibody(SP-0023) and DAB(C-0010) staining

Primary Antibody: Rabbit Anti-Phospho-CD18 (Thr758) antibody(bs-10462R), Dilution: 1μg in 100 μL 1X PBS containing 0.5% BSA;
Isotype Control Antibody: Rabbit IgG (orange) ,used under the same conditions.
Secondary Antibody: Goat anti-rabbit IgG-PE(white blue), Dilution: 1:200 in 1 X PBS containing 0.5% BSA.
风险提示:丁香通仅作为第三方平台,为商家信息发布提供平台空间。用户咨询产品时请注意保护个人信息及财产安全,合理判断,谨慎选购商品,商家和用户对交易行为负责。对于医疗器械类产品,请先查证核实企业经营资质和医疗器械产品注册证情况。
文献和实验(Ser473)(193H12)Rabbit mAb,1:300,稀释,二抗是驴抗兔,1:2000,我是实验室的新手,刚呆俩月,受 此挫折,一头雾水,请过来人或者有经验的同学帮忙解答怎样解决,非常感谢! 碧峤 pAkt有两个位点,Ser473和Thr308,其中Ser473相对容易显色。如果显色失败,可能的原因:1 上样量过少,我们一般都是30μg;2 一抗孵育时间过短,我们一般24h~48h;3 一抗是否工作有待排除 米宝
antibody dilution buffer: TBS-T supplemented with2% (w/v) BSA. 6. Antibodies: Phospho-b-catenin Ser33/Ser37/Thr41, phospho-glycogen synthase Ser641, and glycogen synthase (CellSignaling Technologies, Beverly, MA); b-catenin and GSK-3b(BD PharMingen, San
v468. chapter 4 WNT 细胞通路 检测细胞GSK3活性与表达水平
4 ). 2. Other antibodies used were b-catenin (phospho-Thr41/Ser37/Ser33) (#9561; Cell Signaling Technology), b-catenin (#9562;Cell Signaling Technology), CRMP2 (pT514/509) (#PB-043; Kinasource, Dundee, Scotland) and CRMP2 (#AB-042;Kinasource). 3. Blocking buffer
技术资料暂无技术资料 索取技术资料








