相关产品推荐更多 >

PPAR gamma Rabbit pAb, APC conjugated(bs-0530R-APC)-100ul
¥2980
Rat secretory IgA Rabbit pAb, HRP conjugated(bs-0645R-HRP)-100ul
¥2980
SATB2 Rabbit pAb, BF680 conjugated(bs-11949R-BF680)-100ul
¥2980
LRFN4 Rabbit pAb, PE-Cy5.5 conjugated(bs-11089R-PE-Cy5.5)-100ul
¥2980
SECTM1 Rabbit pAb, AP conjugated(bs-10153R-AP)-100ul
¥2980
万千商家帮你免费找货
0 人在求购买到急需产品
- 详细信息
- 文献和实验
- 技术资料
- 应用范围:
产品信息以Bioss网站为准
- 规格:
50ul/100ul/200ul
| 规格: | 50ul | 产品价格: | ¥1180.0 |
|---|---|---|---|
| 规格: | 100ul | 产品价格: | ¥1980.0 |
| 规格: | 200ul | 产品价格: | ¥2800.0 |
| 产品编号 | bs-1677R |
| 英文名称 | DNA Ligase IV Rabbit pAb |
| 中文名称 | DNA连接酶4抗体 |
| 英文别名 | LIG4; DNA ligase IV ATP dependent; DNA joinase; DNA joinase; DNA ligase 4; DNA ligase IV; DNA repair enzyme; DNA repair enzyme; DNLI4_HUMAN; LIG 4; LIG4; LIG-4; Ligase IV; Ligase IV; Ligase IV DNA ATP dependent; Polydeoxyribonucleotide synthase [ATP] 4; Polydeoxyribonucleotide synthase 4; Polydeoxyribonucleotide synthase; Polydeoxyribonucleotide synthase; Polynucleotide ligase; Polynucleotide ligase; Sealase. |
| 产品应用 | IHC-P=1:100-500, IHC-F=1:100-500, IF=1:100-500 Not yet tested in other applications. |
| 交叉反应 | Human (Mouse, Rat, Chicken, Dog, Cow, Horse, Rabbit, Sheep) |
| 抗体来源 | Rabbit |
| 免疫原 | KLH conjugated synthetic peptide derived from human DNA Ligase IV |
| 亚型 | IgG |
| 性状 | Liquid |
| 纯化方法 | affinity purified by Protein A |
| 克隆类型 | Polyclonal |
| 理论分子量 | 104 kDa |
| 浓度 | 1mg/ml |
| 储存液 | 0.01M TBS (pH7.4) with 1% BSA, 0.02% Proclin300 and 50% Glycerol. |
| 研究领域 | Epigenetics and Nuclear Signaling > DNA / RNA > DNA Synthesis > DNA Ligases |
| 亚细胞定位 | Testis, thymus, prostate and heart. |
| 组织特异性 | Testis, thymus, prostate and heart. |
| 相似性 | Belongs to the ATP-dependent DNA ligase family. Contains 2 BRCT domains. |
| 功能 | Efficiently joins single-strand breaks in a double-stranded polydeoxynucleotide in an ATP-dependent reaction. Involved in DNA non-homologous end joining (NHEJ) required for double-strand break repair and V(D)J recombination. The LIG4-XRCC4 complex is responsible for the NHEJ ligation step, and XRCC4 enhances the joining activity of LIG4. Binding of the LIG4-XRCC4 complex to DNA ends is dependent on the assembly of the DNA-dependent protein kinase complex DNA-PK to these DNA ends. |
| 保存条件 | Shipped at 4℃. Store at -20℃ for one year. Avoid repeated freeze/thaw cycles. |
| 注意事项 | This product as supplied is intended for research use only, not for use in human, therapeutic or diagnostic applications. |
| 背景资料 | The X-ray repair cross-complementing protein XRCC4 and DNA Ligase IV are essential for repairing double-strand breaks in DNA. These proteins form a critical complex consisting of two molecules of each protein that preferentially bind DNA with nicks or broken ends. As an obligate accessory molecule, XRCC4 binds to DNA Ligase IV and enhances its joining activity. The XRCC4/ DNA Ligase IV complex is also involved in V(D)J recombination. V(D)J recombination occurs in normal development of the adaptive immune system and involves the formation of a double-strand break intermediate. Deletions of either DNA Ligase IV or XRCC4 inhibit the completion of V(D)J recombination, resulting in a high incidence of apoptosis in the developing nervous system and a block in B and T cell maturation. |
| 应用 | 推荐稀释比例 |
| {IHC-P} | {1:100-500} |
| {IHC-F} | {1:100-500} |
| {IF} | {1:100-500} |

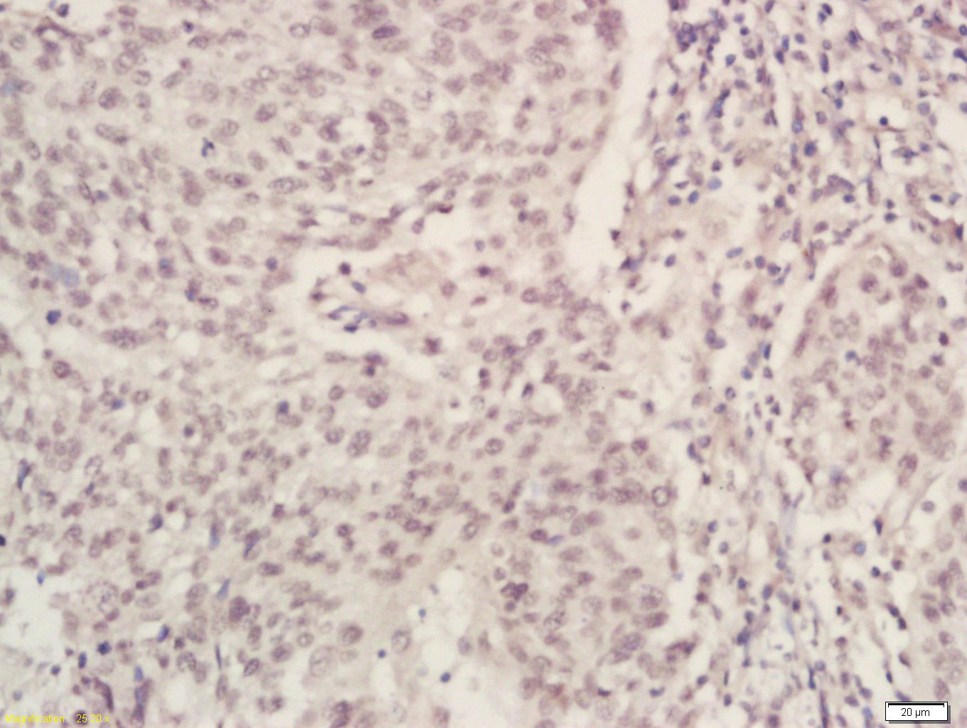
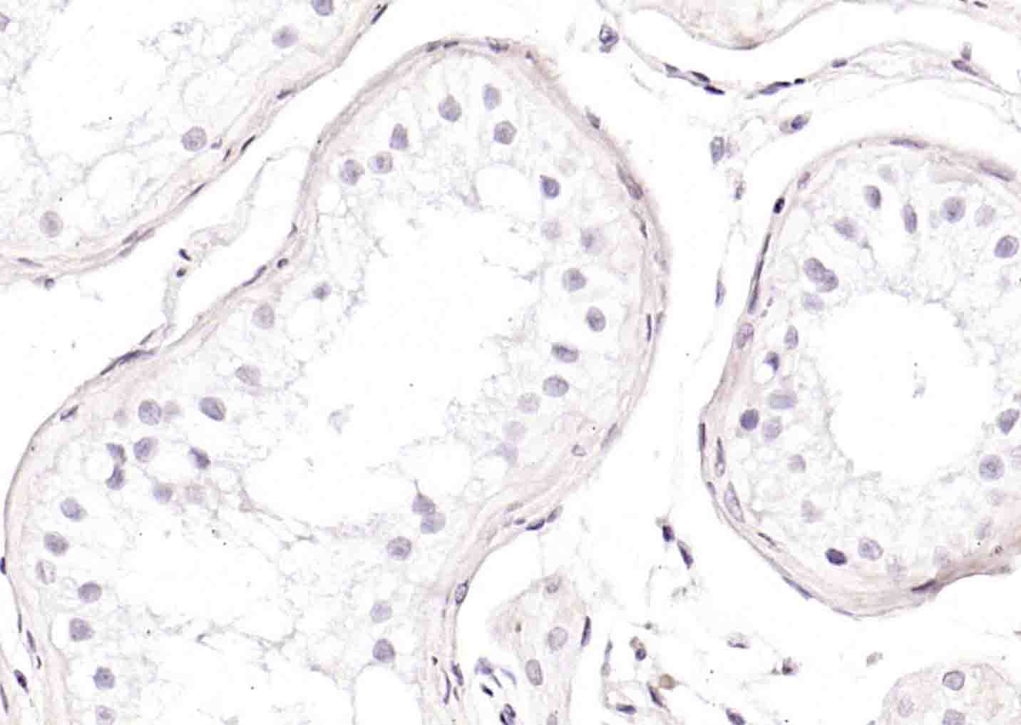
Antigen retrieval: citrate buffer ( 0.01M, pH 6.0 ), Boiling bathing for 15min; Block endogenous peroxidase by 3% Hydrogen peroxide for 30min; Blocking buffer (normal goat serum,C-0005) at 37℃ for 20 min;
Incubation: Anti-LIG4 Polyclonal Antibody, Unconjugated(bs-1677R) 1:200, overnight at 4°C, followed by conjugation to the secondary antibody(SP-0023) and DAB(C-0010) staining

风险提示:丁香通仅作为第三方平台,为商家信息发布提供平台空间。用户咨询产品时请注意保护个人信息及财产安全,合理判断,谨慎选购商品,商家和用户对交易行为负责。对于医疗器械类产品,请先查证核实企业经营资质和医疗器械产品注册证情况。
文献和实验OGMP - Organelle DNA Library Construction
. PHOSPHORYLATION 10 ul sized DNA 2 ul rATP (stock : 10 mM) 2 ul ligase-buffer 10x (similar to kinase buffer) 5 units kinase --------------- in 20 ul final volume Incubate for 30 min at 37'C
-elute 2) fractions (0.5 - 1.0 kbp and 1.0 - 3 kbp; ligate separately) 2. Add glycogen (1 ul of 20mg/ml stock), precipitate by EtOH/AmAc (spin down for 30 min). Dissolve pellet in 10 ul TE.IV. PHOSPHORYLATION 10 ul sized DNA
In Vitro Rejoining of Double Strand Breaks in Genomic DNA
including DNA-PKcs, Ku, DNA ligase IV, XRCC4, XLF/Cernunnos, and Artemis. Nevertheless, there is evidence that as of yet uncharacterized repair factors may contribute to the efficiency of NHEJ, for example by modulating the activity of known factors
技术资料暂无技术资料 索取技术资料






