相关产品推荐更多 >

CHST10 Rabbit pAb, Biotin conjugated(bs-13929R-Bio)-100ul
¥2980
StAR Rabbit pAb, APC conjugated(bs-20388R-APC)-100ul
¥2980
RAF1 Rabbit pAb, APC conjugated(bs-23171R-APC)-100ul
¥2980
TBX3 Rabbit pAb, Biotin conjugated(bs-10266R-Bio)-100ul
¥2980
ICAM5 Rabbit pAb, APC-Cy7 conjugated(bs-6686R-APC-Cy7)-100ul
¥2980
万千商家帮你免费找货
0 人在求购买到急需产品
- 详细信息
- 文献和实验
- 技术资料
- 应用范围:
产品信息以Bioss网站为准
- 规格:
50ul/100ul/200ul
| 规格: | 50ul | 产品价格: | ¥1180.0 |
|---|---|---|---|
| 规格: | 100ul | 产品价格: | ¥1980.0 |
| 规格: | 200ul | 产品价格: | ¥2800.0 |
| 产品编号 | bs-8569R |
| 英文名称 | TFE3 Rabbit pAb |
| 中文名称 | 转录因子E3 |
| 英文别名 | bHLH e33; bHLHe33; Class E basic helix-loop-helix protein 33; RCCP 2; RCCP2; Renal cell carcinoma, papillary; Tcfe 3; Tcfe3; TFE 3; Tfe3; TFE3_HUMAN; TFEA; Transcription factor binding to IGHM enhancer 3; Transcription factor E family, member A; Transcription factor E3; Transcription factor for IgH enhancer. |
| 产品应用 | IHC-P=1:100-500, IHC-F=1:100-500, IF=1:100-500 Not yet tested in other applications. |
| 交叉反应 | Mouse (Human, Rat, Dog, Pig, Cow, Horse) |
| 抗体来源 | Rabbit |
| 免疫原 | KLH conjugated synthetic peptide derived from human TFE3 |
| 亚型 | IgG |
| 性状 | Liquid |
| 纯化方法 | affinity purified by Protein A |
| 克隆类型 | Polyclonal |
| 理论分子量 | 62 kDa |
| 浓度 | 1mg/ml |
| 储存液 | 0.01M TBS (pH7.4) with 1% BSA, 0.02% Proclin300 and 50% Glycerol. |
| 研究领域 | Epigenetics and Nuclear Signaling > Transcription > Cancer susceptibility > Proto-oncogenes Epigenetics and Nuclear Signaling > Transcription > Domain Families > HLH / Leucine Zipper > HLH Immunology > Adaptive Immunity > T Cells > Non-CD |
| 亚基 | Homodimer and heterodimer; with TFEB or MITF. |
| 亚细胞定位 | Nucleus. |
| 组织特异性 | Ubiquitous in fetal and adult tissues. |
| 翻译后修饰 | Sumoylated; does not affect dimerization with MITF. [DISEASE] Note=A chromosomal aberration involving TFE3 is found in patients with alveolar soft part sarcoma. Translocation t(X;17)(p11;q25) with ASPSCR1 forms a ASPSCR1-TFE3 fusion protein. |
| 相似性 | Belongs to the MiT/TFE family. Contains 1 basic helix-loop-helix (bHLH) domain. |
| 功能 | Transcription factor that specifically recognizes and binds E-box sequences (3'-CANNTG-5'). Efficient DNA-binding requires dimerization with itself or with another MiT/TFE family member such as TFEB or MITF. In association with TFEB, activates the expression of CD40L in T-cells, thereby playing a role in T-cell-dependent antibody responses in activated CD4(+) T-cells and thymus-dependent humoral immunity. Specifically recognizes the MUE3 box, a subset of E-boxes, present in the immunoglobulin enhancer. It also binds very well to a USF/MLTF site. |
| 保存条件 | Shipped at 4℃. Store at -20℃ for one year. Avoid repeated freeze/thaw cycles. |
| 注意事项 | This product as supplied is intended for research use only, not for use in human, therapeutic or diagnostic applications. |
| 背景资料 | The DNA-binding factor TFE3 contains adjacent helix-loop-helix (HLH) and leucine zipper (LZ) domains flanked by an upstream basic region. These protein motifs are frequently observed in other transcription factors and are particularly common to members of the Myc family. TFE3 is ubiquitously expressed and can directly associates with DNA as either homodimers or heterodimers formed with two related proteins, TFEB or TFEC. TFE3 binds to and activates the microE3 motif of the immunoglobulin heavy-chain enhancer to induce B-cell-specific gene transcription and DNA recombination. TFEB binds to the major late promoter of adenovirus and specifically associates with DNA as both a homodimer and a heterodimer with TFE3. TFEB is expressed at low levels in the embryo but at high levels in the trophoblast cells of the placenta, where it plays a critical role in regulating normal vascularization of the placenta. TFEC shares a bHLH/LZ structure with TFE3 and a closely related protein microphthalmia-associated transcription factor (MITF), which is critically involved in melanocyte differentiation. Unlike TFE3, the expression of TFEC is largely restricted to fibroblasts, myoblasts, chondrosarcoma cells, and myeloma cells. |
| 应用 | 推荐稀释比例 |
| {IHC-P} | {1:100-500} |
| {IHC-F} | {1:100-500} |
| {IF} | {1:100-500} |

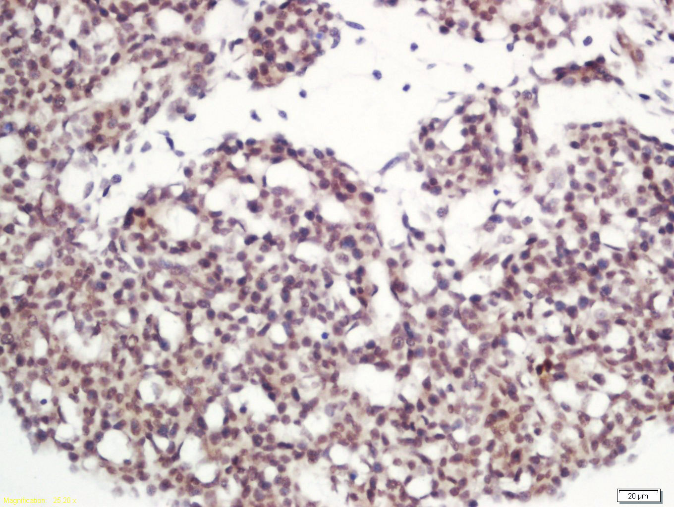
Antigen retrieval: citrate buffer ( 0.01M, pH 6.0 ), Boiling bathing for 15min; Block endogenous peroxidase by 3% Hydrogen peroxide for 30min; Blocking buffer (normal goat serum,C-0005) at 37℃ for 20 min;
Incubation: Anti-TFE3 Polyclonal Antibody, Unconjugated(bs-8569R) 1:200, overnight at 4°C, followed by conjugation to the secondary antibody(SP-0023) and DAB(C-0010) staining
风险提示:丁香通仅作为第三方平台,为商家信息发布提供平台空间。用户咨询产品时请注意保护个人信息及财产安全,合理判断,谨慎选购商品,商家和用户对交易行为负责。对于医疗器械类产品,请先查证核实企业经营资质和医疗器械产品注册证情况。
文献和实验= NAL), appears to form upon oxidative cyclization of the nonfluorescent 2:1 lysine-HNE Michael adduct-Schiff base cross-link (Scheme 1). Polyclonal antibody (PAb) to the NAL-HNE fluorophore was raised in rabbit and found to be highly specific
GE Healthcare Benzamidine Sepharose™ 6B is p-aminobenzamidine covalently attached to Sepharose 6B by the epoxy coupling method. p-Aminobenzamidine (PAB), is a synthetic inhibitor of trypsin-like serine protease. Trypsin and trypsin
Nucleic Acid Programmable Protein Arrays: Versatile Tools for Array‐Based Functional Protein Studies
.g., Sigma) 50 mg/ml bis‐sulfosuccinimdylsuberate (BS3 ;Pierce, cat. no. PI 21580) in dimethylsulfoxide (DMSO) 5 mg/ml
技术资料暂无技术资料 索取技术资料





