相关产品推荐更多 >

BCL2L1 Rabbit pAb, Cy5.5 conjugated(bs-1336R-Cy5.5)-100ul
¥2980
SHISA6 Rabbit pAb(bs-17465R)-50ul/100ul/200ul
¥1180
Histone H3 Mouse mAb, Biotin conjugated(bsm-33042M-Bio)-100ul
¥2980
C3 Recombinant Rabbit mAb(bsm-52876R)-50ul/100ul
¥1400
phospho-IKB epsilon (Ser22) Rabbit pAb, AP conjugated(bs-15582R-AP)-100ul
¥2980
万千商家帮你免费找货
0 人在求购买到急需产品
- 详细信息
- 文献和实验
- 技术资料
- 应用范围:
产品信息以Bioss网站为准
- 规格:
50ul/100ul/200ul
| 规格: | 50ul | 产品价格: | ¥1180.0 |
|---|---|---|---|
| 规格: | 100ul | 产品价格: | ¥1980.0 |
| 规格: | 200ul | 产品价格: | ¥2800.0 |
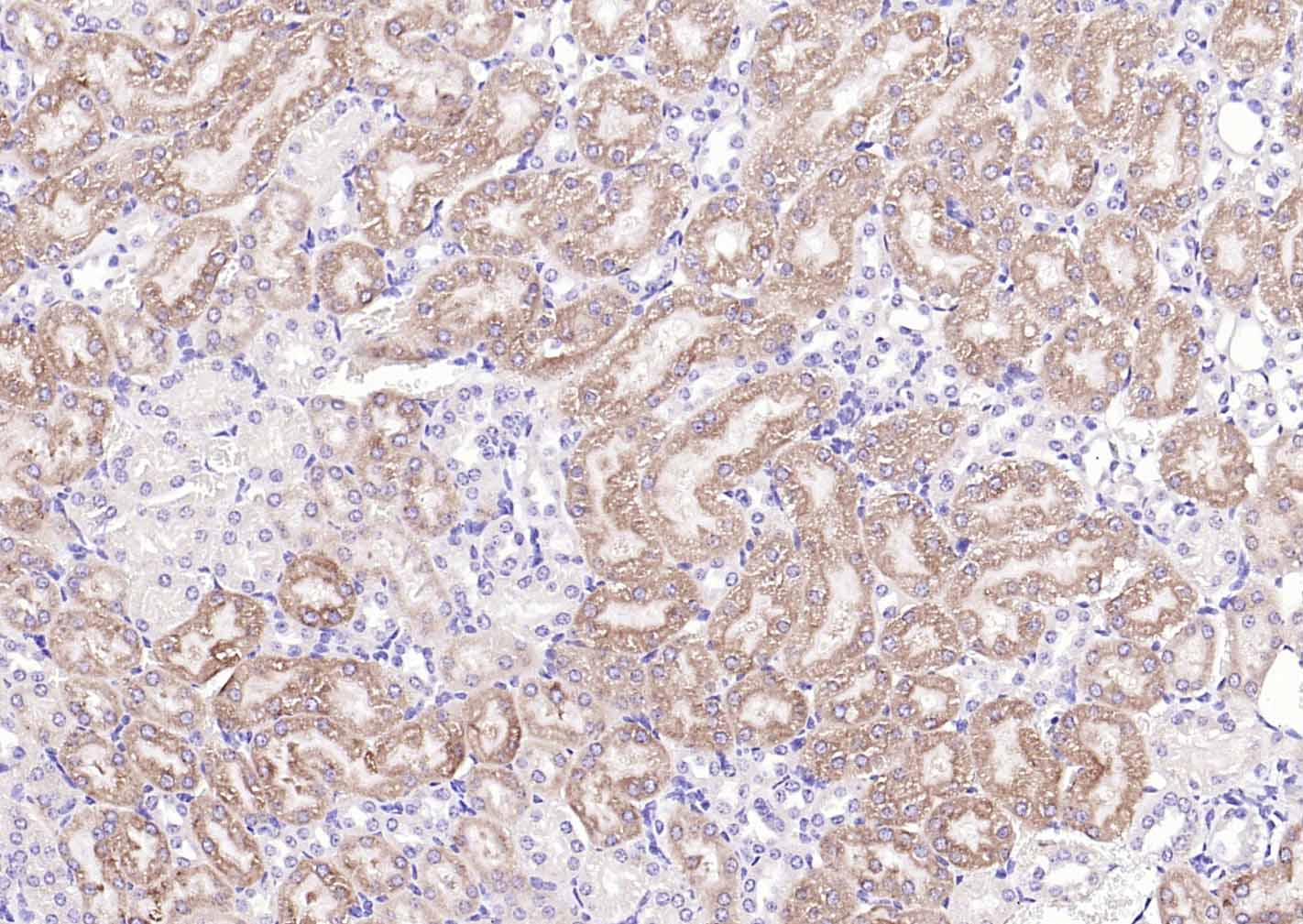
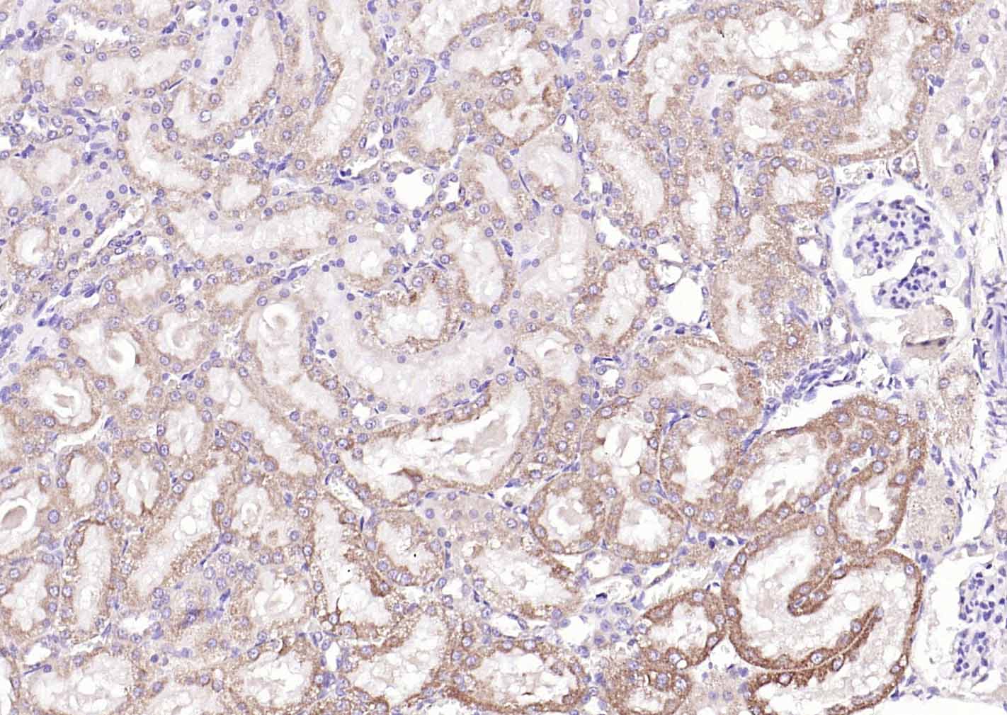
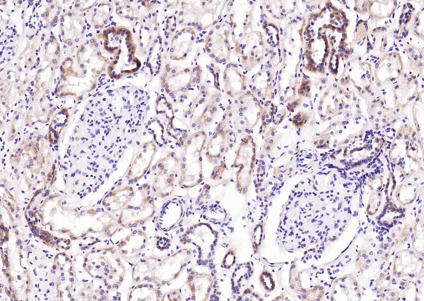
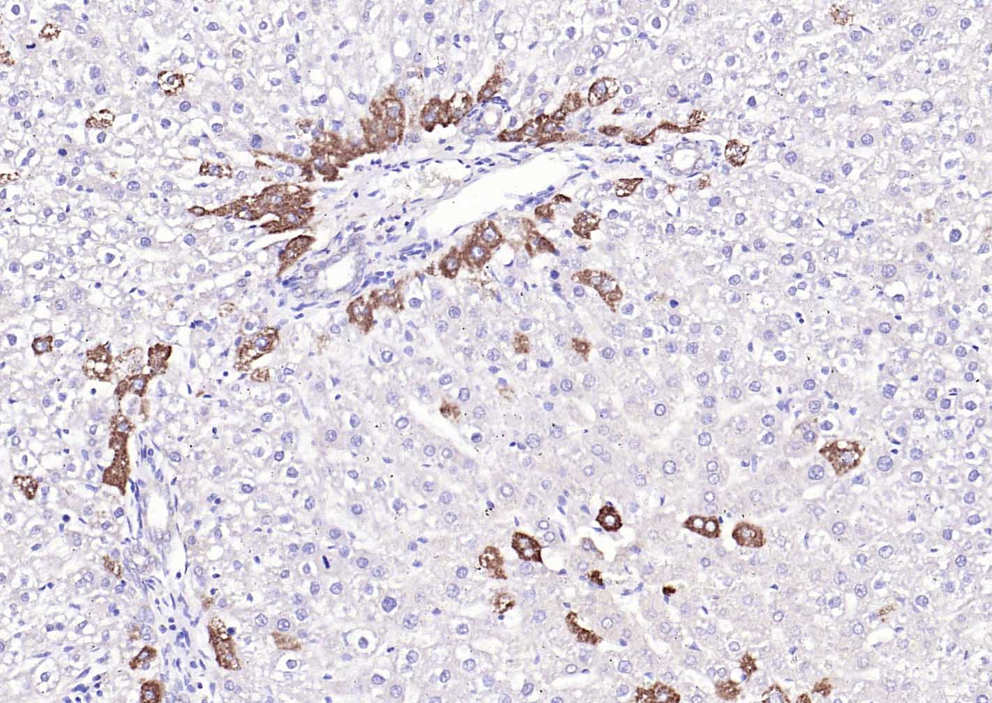
| 产品编号 | bs-9910R |
| 英文名称 | GPLD1 Rabbit pAb |
| 中文名称 | 糖蛋白磷脂酶D抗体 |
| 英文别名 | Glycoprotein phospholipase D; Glycosyl-phosphatidylinositol-specific phospholipase D; GPI-PLD; GPI-specific phospholipase D; GPIPLD; GPIPLDM; GPLD1; PHLD_HUMAN; Phosphatidylinositol glycan specific phospholipase D; Phosphatidylinositol-glycan-specific phospholipase D; PI-G PLD; PIGPLD; PIGPLD1. |
| 产品应用 | WB=1:500-2000, IHC-P=1:100-500, IHC-F=1:100-500, IF=1:50-200 Not yet tested in other applications. |
| 交叉反应 | Human, Mouse, Rat, 肾, 肝, 肝, 肝, 肝 (Horse) |
| 抗体来源 | Rabbit |
| 免疫原 | KLH conjugated synthetic peptide derived from human GPLD1/GPI-PLD |
| 亚型 | IgG |
| 性状 | Liquid |
| 纯化方法 | affinity purified by Protein A |
| 克隆类型 | Polyclonal |
| 理论分子量 | 90 kDa |
| 浓度 | 1mg/ml |
| 储存液 | 0.01M TBS (pH7.4) with 1% BSA, 0.02% Proclin300 and 50% Glycerol. |
| 研究领域 | Cardiovascular > Blood > Serum Proteins |
| 亚基 | Monomer (Potential). |
| 亚细胞定位 | Secreted. |
| 组织特异性 | This protein hydrolyzes the inositol phosphate linkage in proteins anchored by phosphatidylinositol glycans (GPI-anchor) thus releasing these proteins from the membrane. |
| 相似性 | Belongs to the GPLD1 family. Contains 7 FG-GAP repeats. |
| 功能 | This protein hydrolyzes the inositol phosphate linkage in proteins anchored by phosphatidylinositol glycans (GPI-anchor) thus releasing these proteins from the membrane. |
| 保存条件 | Shipped at 4℃. Store at -20℃ for one year. Avoid repeated freeze/thaw cycles. |
| 注意事项 | This product as supplied is intended for research use only, not for use in human, therapeutic or diagnostic applications. |
| 背景资料 | Phosphatidylinositol-glycan-specific phospholipase D (GPI-PLD) is a high-density lipoprotein-associated protein found on chromosome 6p22 that specifically hydrolyzes the inositol phosphate linkage in proteins anchored by phosphatidylinositol-glycans (PI-Gs). GPI-PLD is found in serum, liver, cerebrospinal fluid and in milk. The majority of plasma GPI-PLD appears to be specifically associated with a small, discrete and minor fraction of lipoproteins containing apoA-I and apoA-IV. Serum GPI-PLD activity is reduced over 75% in systemic inflammatory response syndrome and the downregulation of GPI-PLD could play an important role in the control of proinflammatory responses. |
| 应用 | 推荐稀释比例 |
| {WB} | {1:500-2000} |
| {IHC-P} | {1:100-500} |
| {IHC-F} | {1:100-500} |
| {IF} | {1:50-200} |





Lane 1: Human K562 cell lysates
Lane 2: Human HepG2 cell lysates
Primary: Anti-GPLD1 (bs-9910R) at 1/1000 dilution
Secondary: IRDye800CW Goat Anti-Rabbit IgG at 1/20000 dilution
Predicted band size: 90 kDa
Observed band size: 100 kDa
风险提示:丁香通仅作为第三方平台,为商家信息发布提供平台空间。用户咨询产品时请注意保护个人信息及财产安全,合理判断,谨慎选购商品,商家和用户对交易行为负责。对于医疗器械类产品,请先查证核实企业经营资质和医疗器械产品注册证情况。
文献和实验= NAL), appears to form upon oxidative cyclization of the nonfluorescent 2:1 lysine-HNE Michael adduct-Schiff base cross-link (Scheme 1). Polyclonal antibody (PAb) to the NAL-HNE fluorophore was raised in rabbit and found to be highly specific
GE Healthcare Benzamidine Sepharose™ 6B is p-aminobenzamidine covalently attached to Sepharose 6B by the epoxy coupling method. p-Aminobenzamidine (PAB), is a synthetic inhibitor of trypsin-like serine protease. Trypsin and trypsin
Nucleic Acid Programmable Protein Arrays: Versatile Tools for Array‐Based Functional Protein Studies
.g., Sigma) 50 mg/ml bis‐sulfosuccinimdylsuberate (BS3 ;Pierce, cat. no. PI 21580) in dimethylsulfoxide (DMSO) 5 mg/ml
技术资料暂无技术资料 索取技术资料






