相关产品推荐更多 >

TARDBP Recombinant Rabbit mAb(bsm-60837R)-50ul/100ul/25ul
¥800
Anti-human HGFR / c-Met (Emibetuzumab Biosimilar)(BIO0187SM)-1mg/5mg/20mg
¥3200
ATG12 Rabbit pAb, HRP conjugated(bs-22080R-HRP)-100ul
¥2980
ENOX2 Rabbit pAb, AP conjugated(bs-14598R-AP)-100ul
¥2980
Ube2B Rabbit pAb, PerCP conjugated(bs-4257R-PerCP)-100ul
¥2980
万千商家帮你免费找货
0 人在求购买到急需产品
- 详细信息
- 技术资料
- 应用范围:
产品信息以Bioss网站为准
- 规格:
50ul/100ul/200ul
| 规格: | 50ul | 产品价格: | ¥1180.0 |
|---|---|---|---|
| 规格: | 100ul | 产品价格: | ¥1980.0 |
| 规格: | 200ul | 产品价格: | ¥2800.0 |
| 产品编号 | bs-13101R |
| 英文名称 | Epsin 1 Rabbit pAb |
| 中文名称 | 内吞作用辅助蛋白EPN1抗体 |
| 英文别名 | EH domain binding mitotic phosphoprotein; EPN1; EPN 1; EPN-1; EPS 15 interacting protein 1; EPS-15-interacting protein 1; Epsin 1; EPN1_HUMAN. |
| 产品应用 | IHC-P=1:100-500, IHC-F=1:100-500, ICC/IF=1:100-500, IF=1:100-500 Not yet tested in other applications. |
| 交叉反应 | Human, Rat (Mouse, Dog, Horse, Sheep) |
| 抗体来源 | Rabbit |
| 免疫原 | KLH conjugated synthetic peptide derived from human Epsin 1/EPN1 |
| 亚型 | IgG |
| 性状 | Liquid |
| 纯化方法 | affinity purified by Protein A |
| 克隆类型 | Polyclonal |
| 理论分子量 | 60 kDa |
| 浓度 | 1mg/ml |
| 储存液 | 0.01M TBS (pH7.4) with 1% BSA, 0.02% Proclin300 and 50% Glycerol. |
| 研究领域 | Signal Transduction > Adapters > Cytoplasmic Signal Transduction > Protein Trafficking > Vesicle Transport > Regulation |
| 亚基 | Monomer. Binds clathrin, ZBTB16/ZNF145 and ITSN1. Binds ubiquitinated proteins (By similarity). Binds REPS2, EPS15, AP2A1 and AP2A2. Interacts with RALBP1 in a complex also containing NUMB and TFAP2A during interphase and mitosis. Interacts with AP2B1. [SUBCELLULAR LOCATION] |
| 亚细胞定位 | Cytoplasm (By similarity). Cell membrane; Peripheral membrane protein (By similarity). Nucleus (By similarity). Membrane, clathrin-coated pit (By similarity). Note=Associated with the cytoplasmic membrane at sites where clathrin-coated pits are forming. Colocalizes with clathrin and AP-2 in a punctate pattern on the plasma membrane. Detected in presynaptic nerve terminals and in Golgi stacks. May shuttle to the nucleus when associated with ZBTB16/ZNF145 (By similarity). |
| 翻译后修饰 | Phosphorylated on serine and/or threonine residues in mitotic cells. Phosphorylation reduces interaction with REPS2, AP-2 and the membrane fraction. Depolarization of synaptosomes results in dephosphorylation. Ubiquitinated (By similarity). |
| 相似性 | Belongs to the epsin family. Contains 1 ENTH (epsin N-terminal homology) domain. Contains 3 UIM (ubiquitin-interacting motif) repeats. |
| 功能 | Epsin 1 is a cytosolic adaptor protein and interacting partner for the EH domain containing region of Eps15. It is involved in the regulation of clathrin mediated endocytosis via its direct interactions with clathrin, the clathrin adaptor AP-2, and Eps15. Epsin 1 is a cargo specific adaptor for influenza virus entry through the clathrin mediated pathway. In addition to being a clathrin interacting protiein, Epsin 1 is also an ubiquitin, and phospholipid interacting protein. It also may function in a signaling pathway connecting the endocytic machinery to the regulation of nuclear function. |
| 保存条件 | Shipped at 4℃. Store at -20℃ for one year. Avoid repeated freeze/thaw cycles. |
| 注意事项 | This product as supplied is intended for research use only, not for use in human, therapeutic or diagnostic applications. |
| 背景资料 | Epsin 1 is an endocytic accessory protein, with significant similarity to the Xenopus mitotic phosphoprotein MP90. Epsin 1 interacts with Eps15 (the ?subunit of the Clathrin adaptor AP2), Clathrin and other accessory proteins. The mitotic phosphorylation of these proteins may be one of the mechanisms by which the invagination of Clathrin-coated pits is blocked in mitosis. Both Epsin and Eps15, like other cytosolic components of the synaptic vesicle endo-cytic machinery, undergo constitutive phosphorylation and depolarization-dependent dephosphorylation in nerve terminals. Epsin 1 also contributes to the mechanism of Clathrin-vesicle-dependent endocytosis. The human Epsin 1 protein contains an Epsin N-terminal homology (ENTH) region and a single Clathrin-binding (LVDLD) motif. Epsin 1 localizes to the leading edge of a vesicular coated pit where the membrane is being actively bent. |
| 应用 | 推荐稀释比例 |
| {IHC-P} | {1:100-500} |
| {IHC-F} | {1:100-500} |
| {ICC/IF} | {1:100-500} |
| {IF} | {1:100-500} |

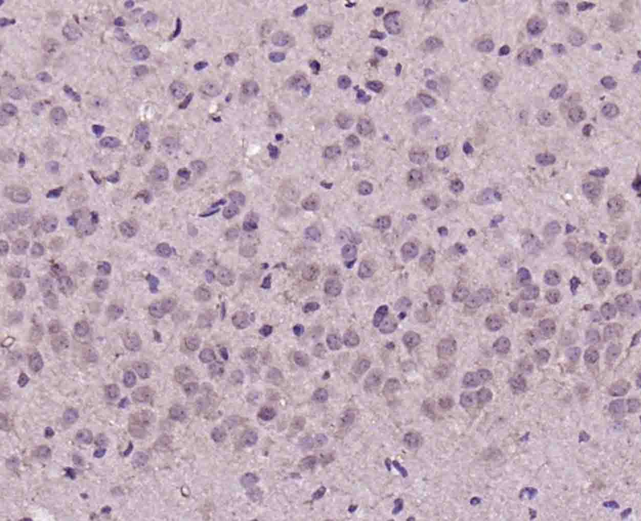
Paraformaldehyde-fixed, paraffin embedded (rat testis); Antigen retrieval by boiling in sodium citrate buffer (pH6.0) for 15min; Block endogenous peroxidase by 3% hydrogen peroxide for 20 minutes; Blocking buffer (normal goat serum) at 37°C for 30min; Incubation with (Epsin 1 Rabbit pAb) Polyclonal Antibody, Unconjugated (bs-13101R) at 1:200 overnight at 4°C, followed by operating according to SP Kit(Rabbit) (sp-0023) instructionsand DAB staining.

Paraformaldehyde-fixed, paraffin embedded (rat brain); Antigen retrieval by boiling in sodium citrate buffer (pH6.0) for 15min; Block endogenous peroxidase by 3% hydrogen peroxide for 20 minutes; Blocking buffer (normal goat serum) at 37°C for 30min; Incubation with (Epsin 1 Rabbit pAb) Polyclonal Antibody, Unconjugated (bs-13101R) at 1:200 overnight at 4°C, followed by operating according to SP Kit(Rabbit) (sp-0023) instructionsand DAB staining.

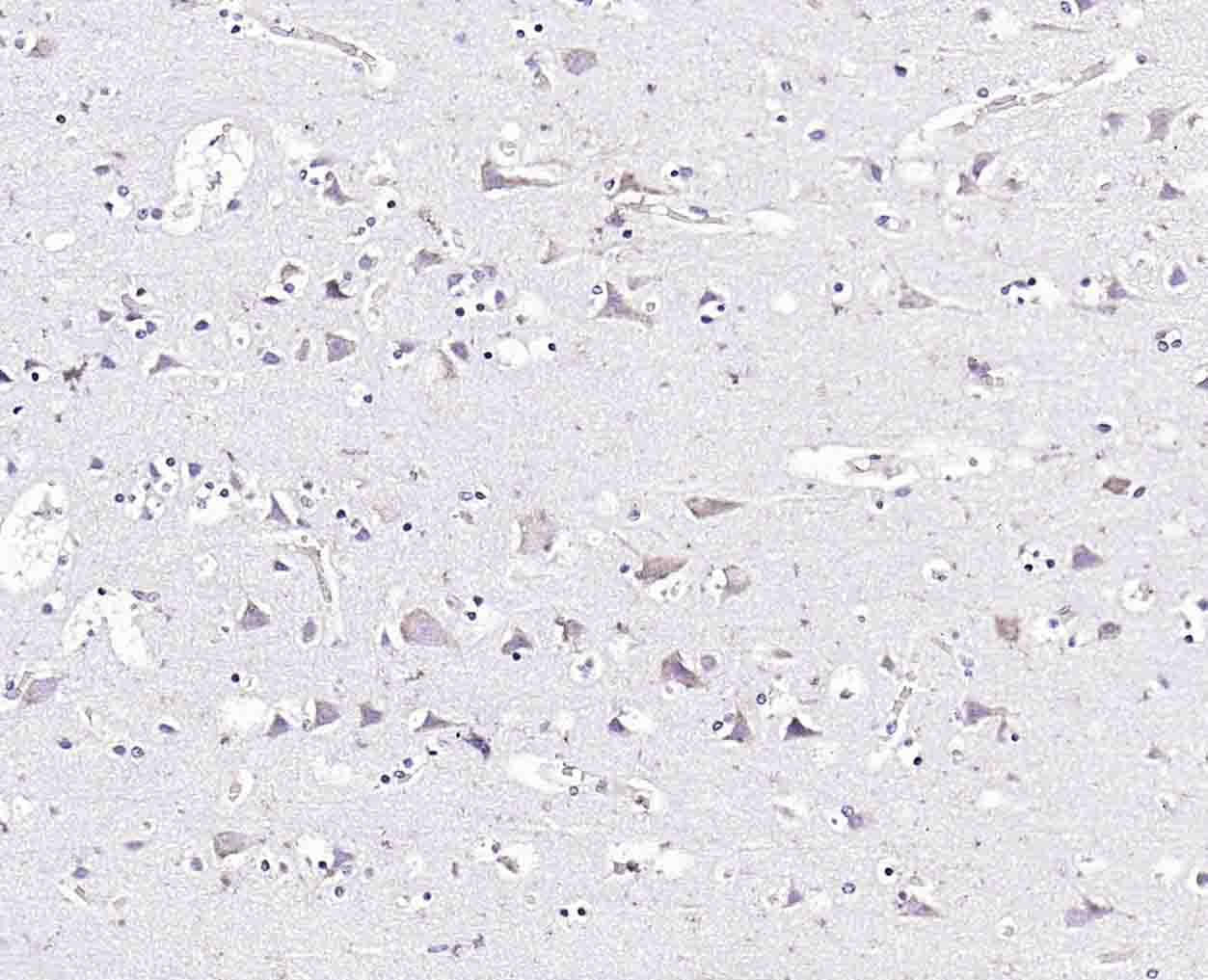
Paraformaldehyde-fixed, paraffin embedded (human brain); Antigen retrieval by boiling in sodium citrate buffer (pH6.0) for 15min; Block endogenous peroxidase by 3% hydrogen peroxide for 20 minutes; Blocking buffer (normal goat serum) at 37°C for 30min; Incubation with (Epsin 1 Rabbit pAb) Polyclonal Antibody, Unconjugated (bs-13101R) at 1:200 overnight at 4°C, followed by operating according to SP Kit(Rabbit) (sp-0023) instructionsand DAB staining.

Hela cell; 4% Paraformaldehyde-fixed; Triton X-100 at room temperature for 20 min; Blocking buffer (normal goat serum, C-0005) at 37°C for 20 min; Antibody incubation with (Epsin 1) polyclonal Antibody, Unconjugated (bs-13101R) 1:50, 90 minutes at 37°C; followed by a conjugated Goat Anti-Rabbit IgG antibody at 37°C for 90 minutes, DAPI (blue, C02-04002) was used to stain the cell nuclei.
风险提示:丁香通仅作为第三方平台,为商家信息发布提供平台空间。用户咨询产品时请注意保护个人信息及财产安全,合理判断,谨慎选购商品,商家和用户对交易行为负责。对于医疗器械类产品,请先查证核实企业经营资质和医疗器械产品注册证情况。
技术资料暂无技术资料 索取技术资料
Epsin 1 Rabbit pAb(bs-13101R)-50ul/100ul/200ul
¥1180 - 2800






