相关产品推荐更多 >

phospho-IRS1 (Tyr632) Rabbit pAb, APC-Cy7 conjugated(bs-8707R-APC-Cy7)-100ul
¥2980
Plexin A3 Rabbit pAb(bs-11934R)-50ul/100ul/200ul
¥1180
ZNF300 Rabbit pAb, AP conjugated(bs-0628R-AP)-100ul
¥2980
Collagen III Rabbit pAb, Biotin conjugated(bs-0948R-Bio)-100ul
¥2980
KIAA0323 Rabbit pAb(bs-16969R)-50ul/100ul/200ul
¥1180
万千商家帮你免费找货
0 人在求购买到急需产品
- 详细信息
- 文献和实验
- 技术资料
- 应用范围:
产品信息以Bioss网站为准
- 规格:
50ul/100ul/200ul
| 规格: | 50ul | 产品价格: | ¥1180.0 |
|---|---|---|---|
| 规格: | 100ul | 产品价格: | ¥1980.0 |
| 规格: | 200ul | 产品价格: | ¥2800.0 |
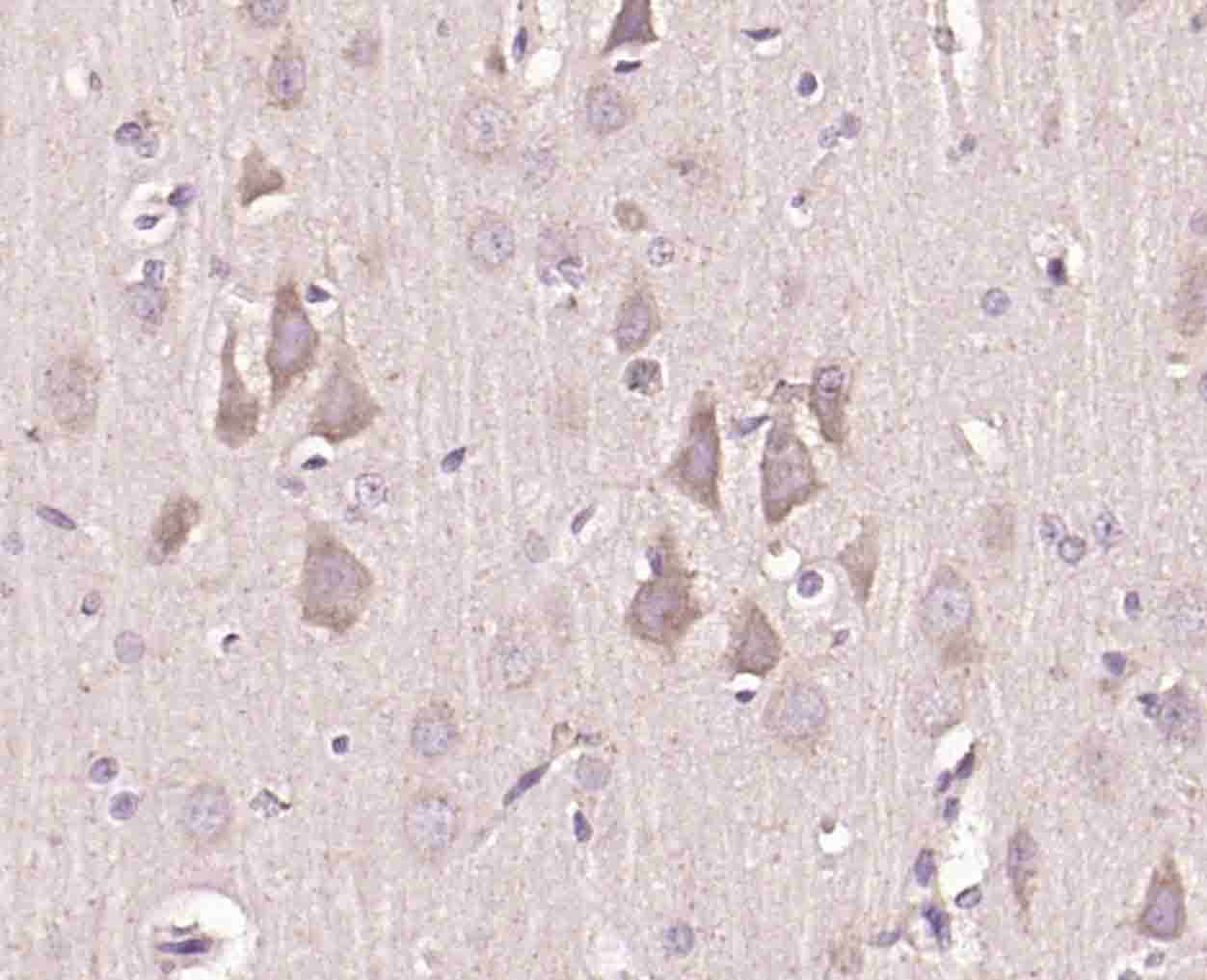
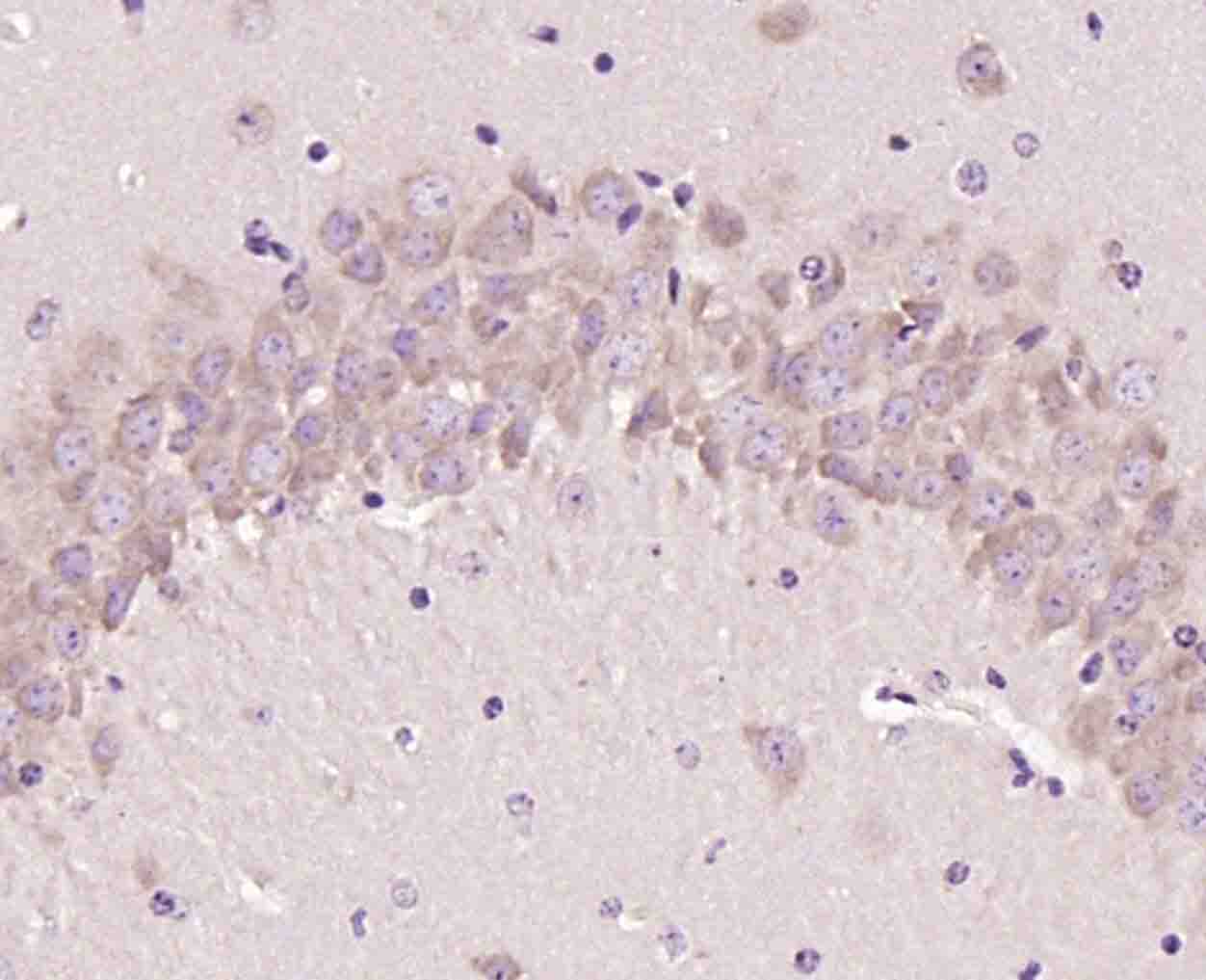
| 产品编号 | bs-9241R |
| 英文名称 | RNF31 Rabbit pAb |
| 中文名称 | 环指蛋白31抗体 |
| 英文别名 | HOIL 1L interacting protein; HOIL-1-interacting protein; HOIL-1L interacting protein; HOIL1L interacting protein; HOIP; RING finger protein 31; RNF31; RNF31_HUMAN; ZIBRA; Zinc in between ring finger ubiquitin associated domain; Zinc in-between-ring-finger ubiquitin associated domain; Zinc in-between-RING-finger ubiquitin-associated domain protein; FLJ10111; FLJ23501 |
| 产品应用 | IHC-P=1:100-500, IHC-F=1:100-500, ICC/IF=1:100-500, IF=1:50-200, Flow-Cyt=2ug/Test Not yet tested in other applications. |
| 交叉反应 | Human, Mouse, Rat (Dog, Pig, Horse, Rabbit) |
| 抗体来源 | Rabbit |
| 免疫原 | KLH conjugated synthetic peptide derived from human RNF31/HOIP |
| 亚型 | IgG |
| 性状 | Liquid |
| 纯化方法 | affinity purified by Protein A |
| 克隆类型 | Polyclonal |
| 理论分子量 | 118 kDa |
| 浓度 | 1mg/ml |
| 储存液 | 0.01M TBS (pH7.4) with 1% BSA, 0.02% Proclin300 and 50% Glycerol. |
| 研究领域 | Cell Biology > Proteolysis / Ubiquitin > Proteasome / Ubiquitin > Ubiquitin E3 Enzymes > RING Finger E3 Ligase Epigenetics and Nuclear Signaling > Transcription > Domain Families > Developmental Families |
| 亚基 | Interacts with MUSK. Component of the LUBAC complex (linear ubiquitin chain assembly complex) which consists of SHARPIN, RBCK1 and RNF31. LUBAC has a MW of approximative 600 kDa suggesting a heteromultimeric assembly of its subunits. Associates with the TNF-R1 signaling complex (TNF-RSC) in a stimulation-dependent manner. Contains 1 UBA domain. |
| 亚细胞定位 | Cytoplasm. |
| 组织特异性 | Expressed in both normal and transformed breast epithelial cell lines. |
| 相似性 | Contains 1 IBR-type zinc finger. Contains 3 RanBP2-type zinc fingers. Contains 2 RING-type zinc fingers. Contains 1 UBA domain. |
| 功能 | E3 ubiquitin-protein ligase component of the LUBAC complex which conjugates linear ('M-1'-linked) polyubiquitin chains to substrates and plays a key role in NF-kappa-B activation and regulation of inflammation. LUBAC conjugates linear polyubiquitin to IKBKG and RIPK1 and is involved in activation of the canonical NF-kappa-B and the JNK signaling pathways. Linear ubiquitination mediated by the LUBAC complex interferes with TNF-induced cell death and thereby prevents inflammation. LUBAC is proposed to be recruited to the TNF-R1 signaling complex (TNF-RSC) following polyubiquitination of TNF-RSC components by BIRC2 and/or BIRC3 and to conjugate linear polyubiquitin to IKBKG and possibly other components contributing to the stability of the complex. Binds polyubiquitin of different linkage types. |
| 保存条件 | Shipped at 4℃. Store at -20℃ for one year. Avoid repeated freeze/thaw cycles. |
| 注意事项 | This product as supplied is intended for research use only, not for use in human, therapeutic or diagnostic applications. |
| 背景资料 | E3 ubiquitin-protein ligase component of the LUBAC complex which conjugates linear polyubiquitin chains in a head-to-tail manner to substrates and plays a key role in NF-kappa-B activation and regulation of inflammation. LUBAC conjugates linear polyubiquitin to IKBKG and RIPK1 and is involved in activation of the canonical NF-kappa-B and the JNK signaling pathways. Linear ubiquitination mediated by the LUBAC complex interferes with TNF-induced cell death and thereby prevents inflammation. LUBAC is proposed to be recruited to the TNF-R1 signaling complex (TNF-RSC) following polyubiquitination of TNF-RSC components by BIRC2 and/or BIRC3 and to conjugate linear polyubiquitin to IKBKG and possibly other components contributing to the stability of the complex. Binds polyubiquitin of different linkage types. |
| 应用 | 推荐稀释比例 |
| {IHC-P} | {1:100-500} |
| {IHC-F} | {1:100-500} |
| {ICC/IF} | {1:100-500} |
| {IF} | {1:50-200} |
| {Flow-Cyt} | {2ug/Test} |




Primary Antibody (green line): Rabbit Anti-RNF31 antibody (bs-9241R)
Dilution:2ug/Test;
Secondary Antibody(white blue line): Goat anti-rabbit IgG-FITC
Dilution: 0.5ug/Test.
Isotype control(orange line): Normal Rabbit IgG
Protocol
The cells were fixed with 4% PFA (10min at room temperature)and then permeabilized with 90% ice-cold methanol for 20 min at -20℃, The cells were then incubated in 5%BSA to block non-specific protein-protein interactions for 30 min at room temperature .Cells stained with Primary Antibody for 30 min at room temperature. The secondary antibody used for 40 min at room temperature. Acquisition of 20,000 events was performed.
风险提示:丁香通仅作为第三方平台,为商家信息发布提供平台空间。用户咨询产品时请注意保护个人信息及财产安全,合理判断,谨慎选购商品,商家和用户对交易行为负责。对于医疗器械类产品,请先查证核实企业经营资质和医疗器械产品注册证情况。
文献和实验[IF={{ 8.9 }}] {Jiali Ye. et al. Polystyrene nanoplastics and cadmium co-exposure aggravated cardiomyocyte damage in mice by regulating PANoptosis pathway. ENVIRON POLLUT. 2024 Mar;:123713} {WB} {Mouse}
= NAL), appears to form upon oxidative cyclization of the nonfluorescent 2:1 lysine-HNE Michael adduct-Schiff base cross-link (Scheme 1). Polyclonal antibody (PAb) to the NAL-HNE fluorophore was raised in rabbit and found to be highly specific
GE Healthcare Benzamidine Sepharose™ 6B is p-aminobenzamidine covalently attached to Sepharose 6B by the epoxy coupling method. p-Aminobenzamidine (PAB), is a synthetic inhibitor of trypsin-like serine protease. Trypsin and trypsin
Nucleic Acid Programmable Protein Arrays: Versatile Tools for Array‐Based Functional Protein Studies
.g., Sigma) 50 mg/ml bis‐sulfosuccinimdylsuberate (BS3 ;Pierce, cat. no. PI 21580) in dimethylsulfoxide (DMSO) 5 mg/ml
技术资料暂无技术资料 索取技术资料






