相关产品推荐更多 >

HSD17B6 Rabbit pAb, BF750 conjugated(bs-6592R-BF750)-100ul
¥2980
RNA polymerase II CTD repeat YSPTSPS (phospho S5) Rabbit pAb, Cy3 conjugated(bs-6582R-Cy3)-100ul
¥2980
MRC1 Recombinant Rabbit mAb(bsm-52791R)-50ul/100ul/25ul
¥800
C20ORF144 Rabbit pAb(bs-15095R)-50ul/100ul/200ul
¥1180
P2RX7 Rabbit pAb(bs-22876R)-50ul/100ul/200ul
¥1180
万千商家帮你免费找货
0 人在求购买到急需产品
- 详细信息
- 文献和实验
- 技术资料
- 应用范围:
产品信息以Bioss网站为准
- 规格:
50ul/100ul/200ul
| 规格: | 50ul | 产品价格: | ¥1180.0 |
|---|---|---|---|
| 规格: | 100ul | 产品价格: | ¥1980.0 |
| 规格: | 200ul | 产品价格: | ¥2800.0 |
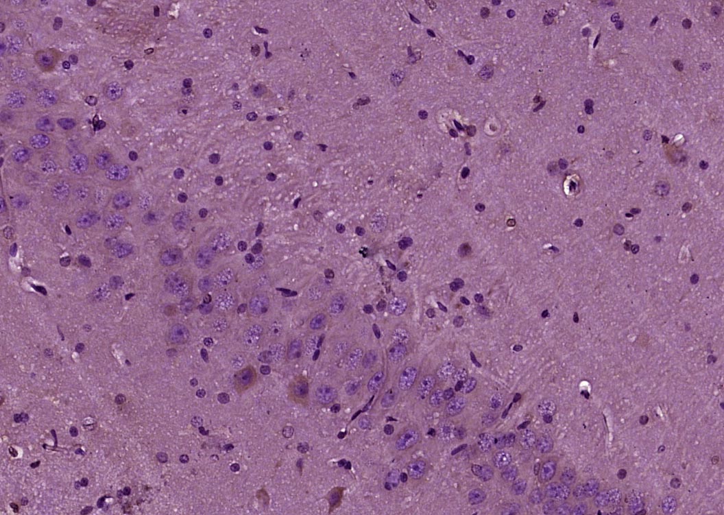
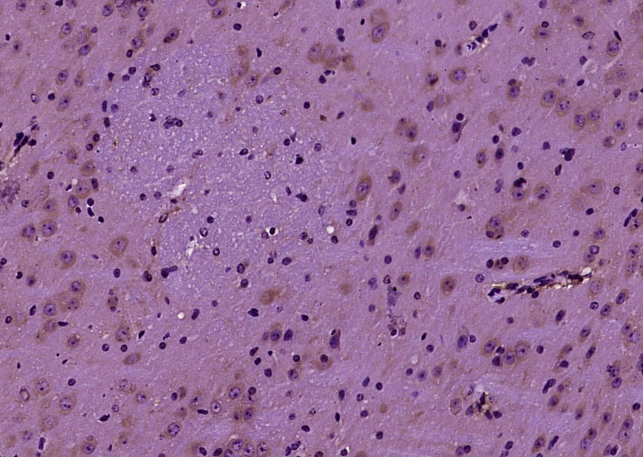
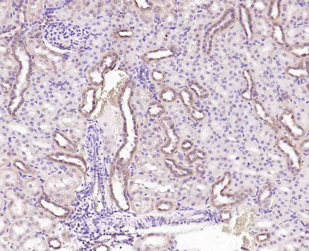
| 产品编号 | bs-8043R |
| 英文名称 | ENC1 Rabbit pAb |
| 中文名称 | 外胚层神经皮层蛋白1/KLHL35抗体 |
| 英文别名 | CCL 28; CCL28; Ectoderm neural cortex protein 1; Ectoderm-neural cortex protein 1; Ectodermal neural cortex(with BTB like domain); ENC 1; ENC-1; ENC1; ENC1_HUMAN; FLJ39259; Kelch like 35; Kelch like 37; Kelch-like protein 37; KLHL 35; KLHL35; KLHL37; NRPB; Nuclear matrix protein NRP/B; Nuclear restricted protein BTB domain like(brain); p53 induced gene 10 protein; p53-induced gene 10 protein; PIG 10; PIG10; TP53I10; Tumor protein p53 inducible protein 10. |
| 产品应用 | IHC-P=1:100-500, IHC-F=1:100-500, ICC/IF=1:100-500, IF=1:100-500, Flow-Cyt=0.2ug/test Not yet tested in other applications. |
| 交叉反应 | Human, Mouse, Rat (Cow, Horse, Rabbit, Sheep) |
| 抗体来源 | Rabbit |
| 免疫原 | KLH conjugated synthetic peptide derived from human ENC1 |
| 亚型 | IgG |
| 性状 | Liquid |
| 纯化方法 | affinity purified by Protein A |
| 克隆类型 | Polyclonal |
| 理论分子量 | 66 kDa |
| 浓度 | 1mg/ml |
| 储存液 | 0.01M TBS (pH7.4) with 1% BSA, 0.02% Proclin300 and 50% Glycerol. |
| 研究领域 | Neuroscience > Neurology process > Neurogenesis Signal Transduction > Cytoskeleton / ECM > Cytoskeleton > Microfilaments > Actin etc > Actin Binding Proteins Tags & Cell Markers > Subcellular Markers > Nucleus > Nucleoplasm |
| 亚基 | Binds to RB1. Hypophosphorylated RB1 associates with ENC1 during neuronal differentiation, while hyperphosphorylated RB1 associates with ENC1 in undifferentiating cells. Part of a complex that contains CUL3, RBX1 and ENC1. |
| 亚细胞定位 | Nucleus matrix. Cytoplasm, cytoskeleton. |
| 组织特异性 | Detected in fetal brain tissue, moderate expression in fetal heart, lung and kidney. Highly expressed in adult brain, particularly high in the hippocampus and amygdala, and spinal chord. Detectable in adult pancreas. |
| 翻译后修饰 | Ubiquitinated and probably targeted for proteasome-independent degradation. |
| 相似性 | Contains 1 BTB (POZ) domain. Contains 6 Kelch repeats. |
| 功能 | Actin-binding protein involved in the regulation of neuronal process formation and in differentiation of neural crest cells. May be down-regulated in neuroblastoma tumors. Substrate-specific adapter of an E3 ubiquitin-protein ligase complex which mediates the ubiquitination and subsequent proteasomal degradation of target proteins. |
| 保存条件 | Shipped at 4℃. Store at -20℃ for one year. Avoid repeated freeze/thaw cycles. |
| 注意事项 | This product as supplied is intended for research use only, not for use in human, therapeutic or diagnostic applications. |
| 背景资料 | Actin-binding protein involved in the regulation of neuronal process formation and in differentiation of neural crest cells. May be down-regulated in neuroblastoma tumors. Substrate-specific adapter of an E3 ubiquitin-protein ligase complex which mediates the ubiquitination and subsequent proteasomal degradation of target proteins.Tissue specificity: Detected in fetal brain tissue, moderate expression in fetal heart, lung and kidney. Highly expressed in adult brain, particularly high in the hippocampus and amygdala, and spinal chord. Detectable in adult pancreas. |
| 应用 | 推荐稀释比例 |
| {IHC-P} | {1:100-500} |
| {IHC-F} | {1:100-500} |
| {ICC/IF} | {1:100-500} |
| {IF} | {1:100-500} |
| {Flow-Cyt} | {0.2ug/test} |

Primary Antibody (green line): Rabbit Anti-ENC1 antibody (bs-8043R)
Dilution: 1μg /10^6 cells;
Isotype Control Antibody (orange line): Rabbit IgG .
Secondary Antibody : Goat anti-rabbit IgG-PE
Dilution: 3μg /test.
Protocol
The cells were fixed with 4% PFA (10min at room temperature)and then permeabilized with 90% ice-cold methanol for 20 min at-20℃. The cells were then incubated in 5% BSA to block non-specific protein-protein interactions for 30 min at at room temperature .Cells stained with Primary Antibody for 30 min at room temperature. The secondary antibody used for 40 min at room temperature. Acquisition of 20,000 events was performed.

Primary Antibody (green line): Rabbit Anti-ENC1 antibody (bs-8043R)
Dilution: 0.2μg /10^6 cells;
Isotype Control Antibody (orange line): Rabbit IgG .
Secondary Antibody : Goat anti-rabbit IgG-PE
Dilution: 1μg /test.
Protocol
The cells were fixed with 4% PFA (10min at room temperature)and then permeabilized with 90% ice-cold methanol for 20 min at-20℃. The cells were then incubated in 5%BSA to block non-specific protein-protein interactions for 30 min at at room temperature .Cells stained with Primary Antibody for 30 min at room temperature. The secondary antibody used for 40 min at room temperature. Acquisition of 20,000 events was performed.





风险提示:丁香通仅作为第三方平台,为商家信息发布提供平台空间。用户咨询产品时请注意保护个人信息及财产安全,合理判断,谨慎选购商品,商家和用户对交易行为负责。对于医疗器械类产品,请先查证核实企业经营资质和医疗器械产品注册证情况。
文献和实验= NAL), appears to form upon oxidative cyclization of the nonfluorescent 2:1 lysine-HNE Michael adduct-Schiff base cross-link (Scheme 1). Polyclonal antibody (PAb) to the NAL-HNE fluorophore was raised in rabbit and found to be highly specific
GE Healthcare Benzamidine Sepharose™ 6B is p-aminobenzamidine covalently attached to Sepharose 6B by the epoxy coupling method. p-Aminobenzamidine (PAB), is a synthetic inhibitor of trypsin-like serine protease. Trypsin and trypsin
Nucleic Acid Programmable Protein Arrays: Versatile Tools for Array‐Based Functional Protein Studies
.g., Sigma) 50 mg/ml bis‐sulfosuccinimdylsuberate (BS3 ;Pierce, cat. no. PI 21580) in dimethylsulfoxide (DMSO) 5 mg/ml
技术资料暂无技术资料 索取技术资料





