相关产品推荐更多 >

IL-8/CXCL8 Rabbit pAb(bs-0780R)-50ul/100ul/200ul
¥1180
NUP88 Rabbit pAb, HRP conjugated(bs-10782R-HRP)-100ul
¥2980
phospho-ITGB2 (Thr758) Rabbit pAb, PerCP-Cy7 conjugated(bs-10462R-PerCP-Cy7)-100ul
¥2980
KRT71 Rabbit pAb, BF647 conjugated(bs-16830R-BF647)-100ul
¥2980
CAMKK2 Rabbit pAb, PE conjugated(bs-6253R-PE)-100ul
¥2980
万千商家帮你免费找货
0 人在求购买到急需产品
- 详细信息
- 文献和实验
- 技术资料
- 应用范围:
产品信息以Bioss网站为准
- 规格:
50ul/100ul/200ul
| 规格: | 50ul | 产品价格: | ¥1180.0 |
|---|---|---|---|
| 规格: | 100ul | 产品价格: | ¥1980.0 |
| 规格: | 200ul | 产品价格: | ¥2800.0 |
| 产品编号 | bs-2035R |
| 英文名称 | LIS1 Rabbit pAb |
| 中文名称 | 无脑回的致病基因LIS1抗体 |
| 英文别名 | LIS 1; LIS 2; LIS-1; LIS1; LIS1_HUMAN; LIS2; Lissencephaly 1 protein; Lissencephaly-1 protein; MDCR; MDS; PAF acetylhydrolase 45 kDa subunit; PAF AH 45 kDa subunit; PAF AH alpha; PAF-AH 45 kDa subunit; PAF-AH alpha; PAFAH alpha; PAFAH; PAFAH1B1; PAFAHA; Platelet activating factor acetylhydrolase 1b regulatory subunit 1; Platelet activating factor acetylhydrolase isoform Ib alpha subunit; Platelet-activating factor acetylhydrolase IB subunit alpha. |
| 产品应用 | WB=1:500-2000, IHC-P=1:100-500, IHC-F=1:100-500, IF=1:100-500 Not yet tested in other applications. |
| 交叉反应 | Human, Mouse, Rat |
| 抗体来源 | Rabbit |
| 免疫原 | KLH conjugated synthetic peptide derived from human LIS1 |
| 亚型 | IgG |
| 性状 | Liquid |
| 纯化方法 | affinity purified by Protein A |
| 克隆类型 | Polyclonal |
| 理论分子量 | 47 kDa |
| 浓度 | 1mg/ml |
| 储存液 | 0.01M TBS (pH7.4) with 1% BSA, 0.02% Proclin300 and 50% Glycerol. |
| 研究领域 | Neuroscience > Neurology process > Neural Signal Transduction |
| 亚基 | Component of cytosolic PAF-AH IB, which is composed of PAFAH1B1 (alpha), PAFAH1B2 (beta) and PAFAH1B3 (gamma) subunits. Trimer formation is not essential for the catalytic activity of the enzyme which is contributed solely by the PAFAH1B2 (beta) and PAFAH1B3 (gamma) subunits. Interacts with IQGAP1, KATNB1 and NUDC. Interacts with DAB1 when DAB1 is phosphorylated in response to RELN/reelin signaling (By similarity). Can self-associate. Interacts with DCX, dynein, dynactin, NDE1, NDEL1 and RSN. Interacts with DISC1, and this interaction is enhanced by NDEL1. Interacts with ASUN. |
| 亚细胞定位 | Cytoplasm, cytoskeleton. Cytoplasm, cytoskeleton, centrosome. Cytoplasm, cytoskeleton, spindle (By similarity). Nucleus membrane (Potential). Note=Redistributes to axons during neuronal development. Also localizes to the microtubules of the manchette in elongating spermatids and to the meiotic spindle in spermatocytes (By similarity). Localizes to the plus end of microtubules and to the centrosome. May localize to the nuclear membrane. |
| 组织特异性 | Fairly ubiquitous expression in both the frontal and occipital areas of the brain. |
| 相似性 | Belongs to the WD repeat LIS1/nudF family. Contains 1 LisH domain. Contains 7 WD repeats. |
| 功能 | Required for proper activation of Rho GTPases and actin polymerization at the leading edge of locomoting cerebellar neurons and postmigratory hippocampal neurons in response to calcium influx triggered via NMDA receptors. Non-catalytic subunit of an acetylhydrolase complex which inactivates platelet-activating factor (PAF) by removing the acetyl group at the SN-2 position (By similarity). Positively regulates the activity of the minus-end directed microtubule motor protein dynein. May enhance dynein-mediated microtubule sliding by targeting dynein to the microtubule plus end. Required for several dynein- and microtubule-dependent processes such as the maintenance of Golgi integrity, the peripheral transport of microtubule fragments and the coupling of the nucleus and centrosome. Required during brain development for the proliferation of neuronal precursors and the migration of newly formed neurons from the ventricular/subventricular zone toward the cortical plate. Neuronal migration involves a process called nucleokinesis, whereby migrating cells extend an anterior process into which the nucleus subsequently translocates. During nucleokinesis dynein at the nuclear surface may translocate the nucleus towards the centrosome by exerting force on centrosomal microtubules. May also play a role in other forms of cell locomotion including the migration of fibroblasts during wound healing. |
| 保存条件 | Shipped at 4℃. Store at -20℃ for one year. Avoid repeated freeze/thaw cycles. |
| 注意事项 | This product as supplied is intended for research use only, not for use in human, therapeutic or diagnostic applications. |
| 背景资料 | Positively regulates the activity of the minus-end directed microtubule motor protein dynein. May enhance dynein-mediated microtubule sliding by targeting dynein to the microtubule plus end. Required for several dynein- and microtubule-dependent processes such as the maintenance of Golgi integrity, the peripheral transport of microtubule fragments and the coupling of the nucleus and centrosome. Required during brain development for the proliferation of neuronal precursors and the migration of newly formed neurons from the ventricular/subventricular zone toward the cortical plate. Neuronal migration involves a process called nucleokinesis, whereby migrating cells extend an anterior process into which the nucleus subsequently translocates. During nucleokinesis dynein at the nuclear surface may translocate the nucleus towards the centrosome by exerting force on centrosomal microtubules. Also required for proper activation of Rho GTPases and actin polymerization at the leading edge of locomoting cerebellar neurons and postmigratory hippocampal neurons in response to calcium influx triggered via NMDA receptors. May also play a role in other forms of cell locomotion including the migration of fibroblasts during wound healing. Non-catalytic subunit of an acetylhydrolase complex which inactivates platelet-activating factor (PAF) by removing the acetyl group at the SN-2 position. |
| 应用 | 推荐稀释比例 |
| {WB} | {1:500-2000} |
| {IHC-P} | {1:100-500} |
| {IHC-F} | {1:100-500} |
| {IF} | {1:100-500} |

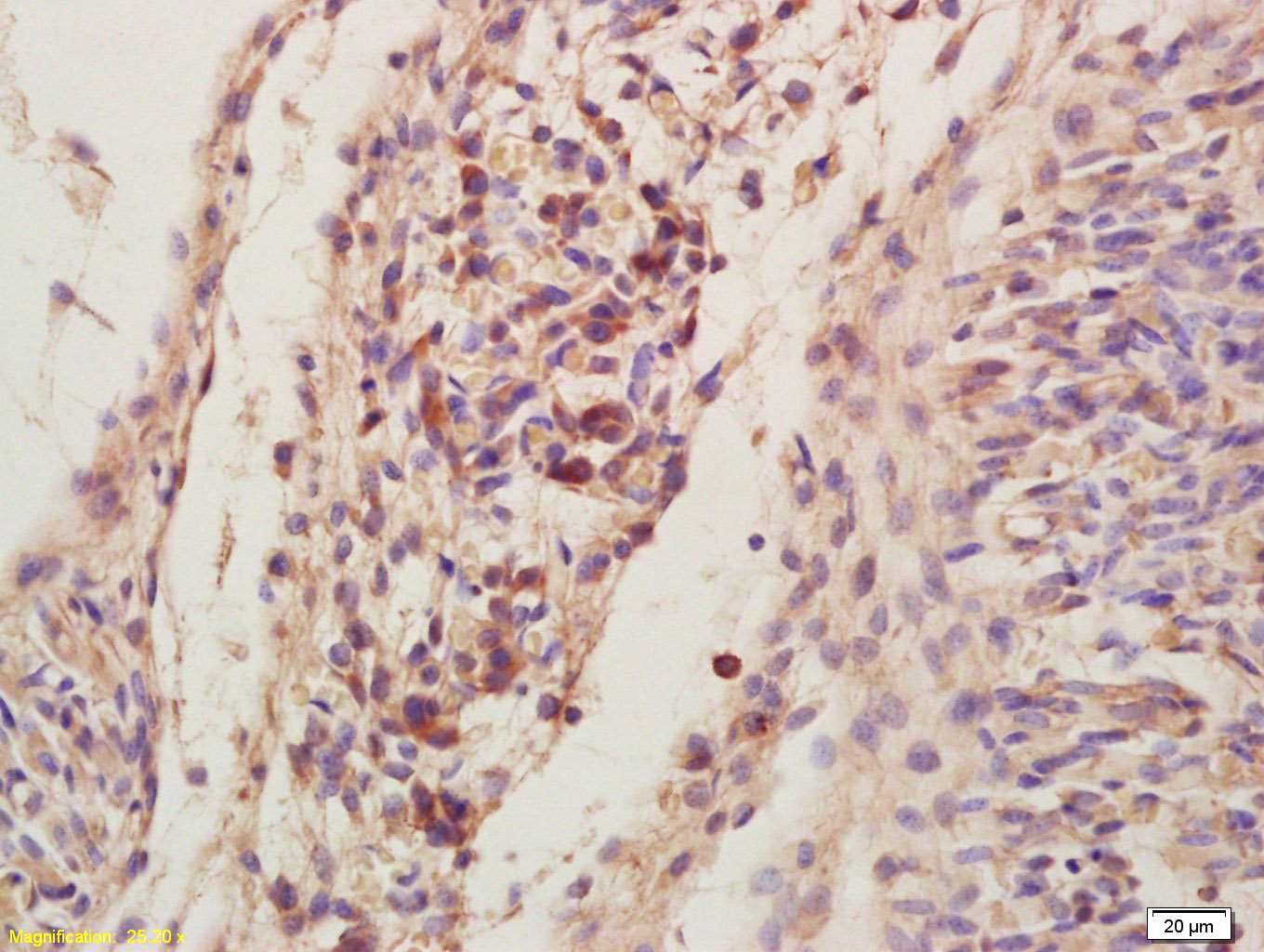
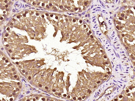
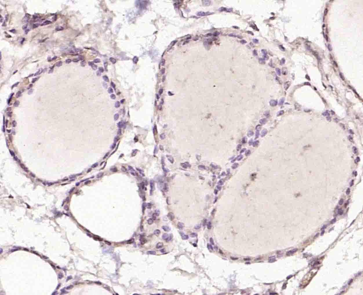
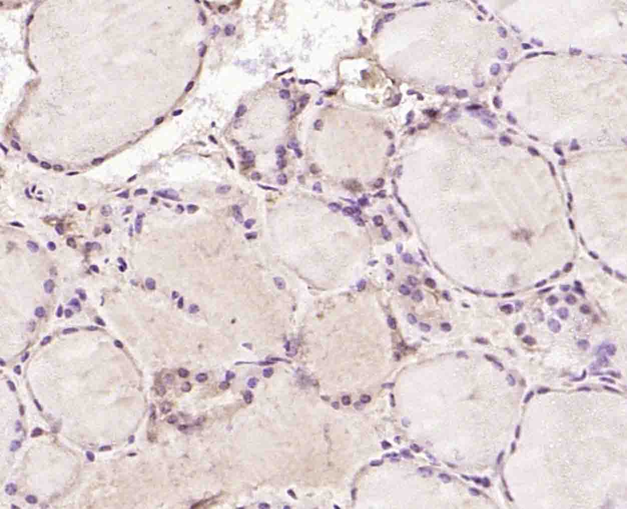
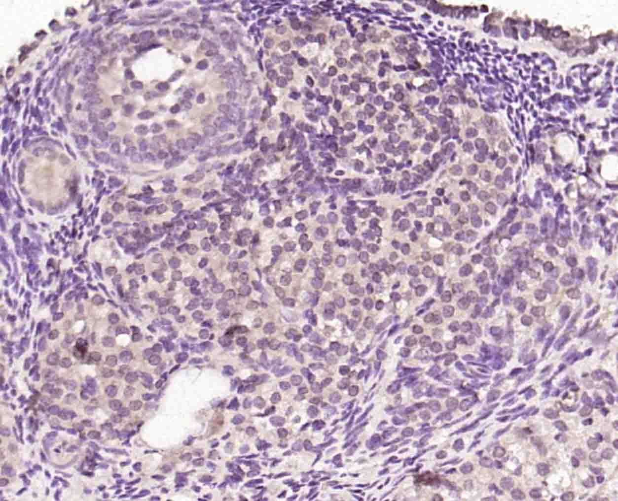
Antigen retrieval: citrate buffer ( 0.01M, pH 6.0 ), Boiling bathing for 15min; Block endogenous peroxidase by 3% Hydrogen peroxide for 30min; Blocking buffer (normal goat serum,C-0005) at 37℃ for 20 min;
Incubation: Anti-LIS1 Polyclonal Antibody, Unconjugated(bs-2035R) 1:200, overnight at 4°C, followed by conjugation to the secondary antibody(SP-0023) and DAB(C-0010) staining






风险提示:丁香通仅作为第三方平台,为商家信息发布提供平台空间。用户咨询产品时请注意保护个人信息及财产安全,合理判断,谨慎选购商品,商家和用户对交易行为负责。对于医疗器械类产品,请先查证核实企业经营资质和医疗器械产品注册证情况。
文献和实验= NAL), appears to form upon oxidative cyclization of the nonfluorescent 2:1 lysine-HNE Michael adduct-Schiff base cross-link (Scheme 1). Polyclonal antibody (PAb) to the NAL-HNE fluorophore was raised in rabbit and found to be highly specific
分装 F2023 兔白介素-8 (rabbit IL-8) ELISA 48T/96T 1800/2800 进口分装 F2024 兔白介素-10 (rabbit IL-10) ELISA 48T/96T 1800/2800 进口分装 F2025 兔白介素-12 (rabbit IL-12) ELISA 48T/96T 1800/2800 进口分装 F2035 兔单核细胞趋化蛋白-1 (rabbit MCP-1) ELISA 48T/96
分装 F2023 兔白介素-8 (rabbit IL-8) ELISA 48T/96T 1800/2800 进口分装 F2024 兔白介素-10 (rabbit IL-10) ELISA 48T/96T 1800/2800 进口分装 F2025 兔白介素-12 (rabbit IL-12) ELISA 48T/96T 1800/2800 进口分装 F2035 兔单核细胞趋化蛋白-1 (rabbit MCP-1) ELISA 48T/96
技术资料暂无技术资料 索取技术资料






