相关产品推荐更多 >

phospho-CDKN1B (Ser10) Rabbit pAb, Cy3 conjugated(bs-20074R-Cy3)-100ul
¥2980
LPA1 Rabbit pAb, HRP conjugated(bs-22138R-HRP)-100ul
¥2980
Pan Cytokeratin Rabbit pAb, BF594 conjugated(bs-1712R-BF594)-100ul
¥2980
HPV16 E7 Rabbit pAb, PE-Cy7 conjugated(bs-10446R-PE-Cy7)-100ul
¥2980
phospho-Nur77 (Ser351) Rabbit pAb, AP conjugated(bs-3313R-AP)-100ul
¥2980
万千商家帮你免费找货
0 人在求购买到急需产品
- 详细信息
- 文献和实验
- 技术资料
- 应用范围:
产品信息以Bioss网站为准
- 规格:
50ul/100ul/200ul
| 规格: | 50ul | 产品价格: | ¥1180.0 |
|---|---|---|---|
| 规格: | 100ul | 产品价格: | ¥1980.0 |
| 规格: | 200ul | 产品价格: | ¥2800.0 |
| 产品编号 | bs-4293R |
| 英文名称 | MACC1 Rabbit pAb |
| 中文名称 | 结肠癌转移相关蛋白1抗体 |
| 英文别名 | 7A5; MACC1; MACC-1; MACC1_HUMAN; Metastasis associated in colon cancer 1; Metastasis-associated in colon cancer protein 1; Putative binding protein 7a5; SH3 domain-containing protein 7a5; SH3BP4L. |
| 产品应用 | WB=1:500-2000, IHC-P=1:100-500, IHC-F=1:100-500, IF=1:100-500 Not yet tested in other applications. |
| 交叉反应 | Human, Mouse, Rat (Cow) |
| 抗体来源 | Rabbit |
| 免疫原 | KLH conjugated synthetic peptide derived from human MACC1 |
| 亚型 | IgG |
| 性状 | Liquid |
| 纯化方法 | affinity purified by Protein A |
| 克隆类型 | Polyclonal |
| 理论分子量 | 94 kDa |
| 浓度 | 1mg/ml |
| 储存液 | 0.01M TBS (pH7.4) with 1% BSA, 0.02% Proclin300 and 50% Glycerol. |
| 研究领域 | Cancer > Growth factors > Hormones Cancer > Tumor biomarkers Epigenetics and Nuclear Signaling > Transcription > Other factors Signal Transduction > Growth Factors/Hormones > Hormones |
| 亚基 | Interacts with FASLG. |
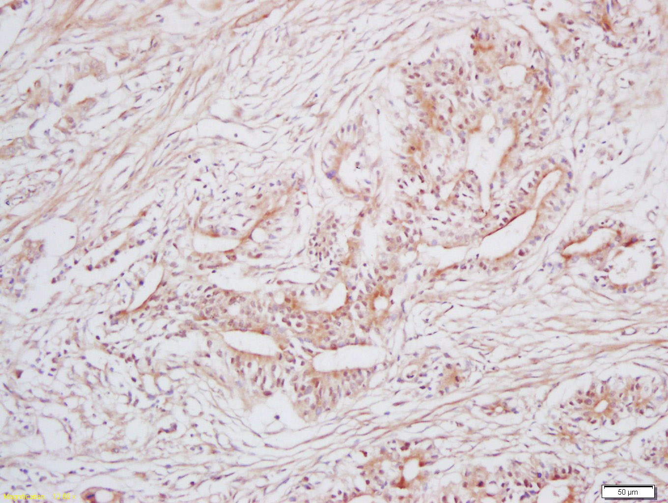
| 亚细胞定位 | Cytoplasm. Nucleus. Note=Mainly found in the cytoplasm in non-metastasizing tumors. |
| 组织特异性 | Preferentially expressed in metastasizing tumors. |
| 相似性 | Contains 1 SH3 domain. |
| 保存条件 | Shipped at 4℃. Store at -20℃ for one year. Avoid repeated freeze/thaw cycles. |
| 注意事项 | This product as supplied is intended for research use only, not for use in human, therapeutic or diagnostic applications. |
| 背景资料 | MACC1 is a key regulator of the hepatocyte growth factor(HGF; MIM 142409)-HGF receptor (HGFR, or MET; MIM 164860) pathway, which is involved in cellular growth, epithelial-mesenchymal transition, angiogenesis, cell motility, invasiveness, and metastasis. Expression of MACC1 in colon cancer (MIM 114500) specimens is an independent prognostic indicator for metastasis formation and metastasis-free survival (Stein et al., 2009 [PubMed19098908]).[supplied by OMIM]. |
| 应用 | 推荐稀释比例 |
| {WB} | {1:500-2000} |
| {IHC-P} | {1:100-500} |
| {IHC-F} | {1:100-500} |
| {IF} | {1:100-500} |


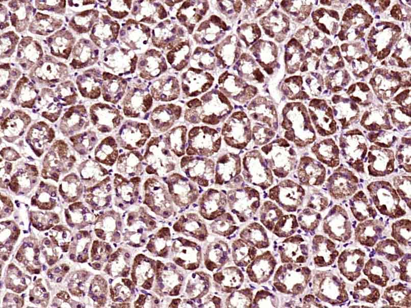
Antigen retrieval: citrate buffer ( 0.01M, pH 6.0 ), Boiling bathing for 15min; Block endogenous peroxidase by 3% Hydrogen peroxide for 30min; Blocking buffer (normal goat serum,C-0005) at 37℃ for 20 min;
Incubation: Anti-MACC1 Polyclonal Antibody, Unconjugated(bs-4293R) 1:200, overnight at 4°C, followed by conjugation to the secondary antibody(SP-0023) and DAB(C-0010) staining

liver(mouse) Lysate at 40 ug
Primary: Anti-MACC1 (bs-4293R) at 1/300 dilution
Secondary: IRDye800CW Goat Anti-Rabbit IgG at 1/20000 dilution
Predicted band size: 94 kD
Observed band size: 94 kD

Lane 1: Human MCF-7 cell lysates
Lane 2: Human A431 cell lysates
Lane 3: Human A549 cell lysates
Primary: Anti-MACC1 (bs-4293R) at 1/1000 dilution
Secondary: IRDye800CW Goat Anti-Rabbit IgG at 1/20000 dilution
Predicted band size: 94 kDa
Observed band size: 97 kDa
风险提示:丁香通仅作为第三方平台,为商家信息发布提供平台空间。用户咨询产品时请注意保护个人信息及财产安全,合理判断,谨慎选购商品,商家和用户对交易行为负责。对于医疗器械类产品,请先查证核实企业经营资质和医疗器械产品注册证情况。
文献和实验[IF={{ 5.008 }}] {Montorsi, Lucia, et al. "Loss of zfp36 expression in colorectal cancer correlates to wnt/ß-catenin activity and enhances epithelial-to-mesenchymal transition through upregulation of zeb1, sox9 and macc1." Oncotarget (2016).} {WB} {="Human"}
[IF={{ 2.916 }}] {Shi Yan. et al. The Relationship between MACC1/c-Met/Cyclin D1 Axis Expression and Prognosis in ESCC. Anal Cell Pathol. 2022;2022:9651503} {IHC} {Human}
[IF={{ 2.74 }}] {Guo et al. Expression of MACC1 and c-Met in human gastric cancer and its clinical significance. (2013) Cancer.Cell.Int. 13:121} {IHC} {Human}
[IF={{ 1.69 }}] {Shi, Woda, et al. "MACC‑1 antibody target therapy suppresses growth and migration of non‑small cell lung cancer." Molecular Medicine Reports 16.5 (2017): 7329-7336.} {ELISA} {="Human"}
[IF={{ 1.48 }}] {Sun, Longfeng, et al. "Silence of MACC1 expression by RNA interference inhibits proliferation, invasion and metastasis, and promotes apoptosis in U251 human malignant glioma cells." Molecular Medicine Reports.} {WB} {="Human"}
= NAL), appears to form upon oxidative cyclization of the nonfluorescent 2:1 lysine-HNE Michael adduct-Schiff base cross-link (Scheme 1). Polyclonal antibody (PAb) to the NAL-HNE fluorophore was raised in rabbit and found to be highly specific
GE Healthcare Benzamidine Sepharose™ 6B is p-aminobenzamidine covalently attached to Sepharose 6B by the epoxy coupling method. p-Aminobenzamidine (PAB), is a synthetic inhibitor of trypsin-like serine protease. Trypsin and trypsin
Nucleic Acid Programmable Protein Arrays: Versatile Tools for Array‐Based Functional Protein Studies
.g., Sigma) 50 mg/ml bis‐sulfosuccinimdylsuberate (BS3 ;Pierce, cat. no. PI 21580) in dimethylsulfoxide (DMSO) 5 mg/ml
技术资料暂无技术资料 索取技术资料





