相关产品推荐更多 >
万千商家帮你免费找货
0 人在求购买到急需产品
- 详细信息
- 文献和实验
- 技术资料
- 应用范围:
产品信息以Bioss网站为准
- 规格:
50ul/100ul/200ul
| 规格: | 50ul | 产品价格: | ¥1180.0 |
|---|---|---|---|
| 规格: | 100ul | 产品价格: | ¥1980.0 |
| 规格: | 200ul | 产品价格: | ¥2800.0 |
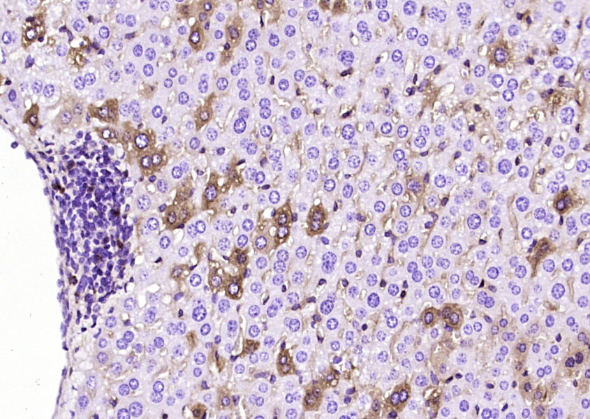
| 产品编号 | bs-0018M |
| 英文名称 | IDE Mouse pAb |
| 中文名称 | 胰岛素降解酶抗体 |
| 英文别名 | BC2; Insulin degrading enzyme; FLJ35968; insulin protease; insulinase; insulysin; Abeta-degrading protease; FLJ35968; Ide; IDE_HUMAN; Insulin-degrading enzyme; OTTHUMP00000020097. |
| 产品应用 | IHC-P=1:100-500, IHC-F=1:100-500, ICC/IF=1:50-200, IF=1:100-500, Flow-Cyt=2ug/Test Not yet tested in other applications. |
| 交叉反应 | Human, Mouse (Rat, Chicken, Pig, Cow) |
| 抗体来源 | Mouse |
| 免疫原 | KLH conjugated synthetic peptide derived from human IDE |
| 亚型 | IgG |
| 性状 | Liquid |
| 纯化方法 | affinity purified by Protein A |
| 克隆类型 | Polyclonal |
| 理论分子量 | 117 kDa |
| 浓度 | 1mg/ml |
| 储存液 | 0.01M TBS (pH7.4) with 1% BSA, 0.02% Proclin300 and 50% Glycerol. |
| 研究领域 | Cardiovascular > Atherosclerosis > Diabetes associated Cell Biology > Proteolysis / Ubiquitin > Proteolytic enzymes > Metalloprotease > Insulysin Metabolism > Types of disease > Diabetes Metabolism > Types of disease > Heart disease Metabolism > Types of disease > Neurodegenerative disease Neuroscience > Neurology process > Metabolism Neuroscience > Neurology process > Neurodegenerative disease > Alzheimer's disease Signal Transduction > Growth Factors/Hormones > Insulin / Insulin-like |
| 亚基 | Homodimer. Can form higher oligomers. Interacts (via N-terminus) with varicella-zoster virus (VZV) envelope glycoprotein E (via N-terminus); the membrane-associated isoform may function as an entry receptor for this virus. |
| 亚细胞定位 | Cytoplasm. Cell membrane. Secreted. Note=Present at the cell surface of neuron cells. The membrane-associated isoform is approximately 5 kDa larger than the known cytosolic isoform. |
| 翻译后修饰 | The N-terminus is blocked. |
| 相似性 | Belongs to the peptidase M16 family. |
| 功能 | Plays a role in the cellular breakdown of insulin, IAPP, glucagon, bradykinin, kallidin and other peptides, and thereby plays a role in intercellular peptide signaling. Degrades amyloid formed by APP and IAPP. May play a role in the degradation and clearance of naturally secreted amyloid beta-protein by neurons and microglia. |
| 保存条件 | Shipped at 4℃. Store at -20℃ for one year. Avoid repeated freeze/thaw cycles. |
| 注意事项 | This product as supplied is intended for research use only, not for use in human, therapeutic or diagnostic applications. |
| 背景资料 | Insulysin was identified nearly a century ago as an enzyme responsible for the degradation of insulin in cells, although the precise interactions between insulin and insulysin remain elusive. Human insulysin was cloned in 1988, and shown to be a 118 kDa protein that exists primarily as a homodimer, and perhaps also complexed with other molecules. The sequence is well conserved between humans, rats and mice, and the antibody recognizes these species. Insulysin is a metalloproteinase of the clan ME, family M16, which contains an active site HxxEH, a reversal of the canonical HExxH zinc binding motif. Considered a zinc metalloproteinase, the activity of insulysin can be blocked with EDTA or 1-10 phenanthroline. In addition to the active metalloproteinase domain, insulysin contains a second metalloproteinase site which is considered catalytically inactive, and is thought to assist in substrate binding. Insulysin is most closely related to the bacterial proteinase pitrilysin, (the human orthologue of which appears to be MPRP1) and the mammalian proteinsae nardilysin. Generally thought to be a cytoplasmic protein, insulysin has been isolated from many different tissues and cell lines, and can degrade intact insulin, insulin B chain, glucagon, denatured hemoglobin, alpha amyloid protein, TGF alpha and amylin. Recent work implicates insulysin in clearing beta amyloid plaques from the brain, and has generated much interest in Alzheimer’s disease research. The pH optimum for insulysin is basic, pH 8.5, which also distinguishes it from other metalloproteinases. |
| 应用 | 推荐稀释比例 |
| {IHC-P} | {1:100-500} |
| {IHC-F} | {1:100-500} |
| {ICC/IF} | {1:50-200} |
| {IF} | {1:100-500} |
| {Flow-Cyt} | {2ug/Test} |



Primary Antibody (green line): Mouse Anti-IDE antibody (bs-0018M)
Dilution:2ug/Test;
Secondary Antibody(white blue line): Goat anti-mouse IgG-FITC
Dilution: 0.5ug/Test.
Isotype control(orange line): Normal Mouse IgG
Protocol
The cells were fixed with 4% PFA (10min at room temperature)and then permeabilized with 90% ice-cold methanol for 20 min at -20℃, The cells were then incubated in 5%BSA to block non-specific protein-protein interactions for 30 min at room temperature .Cells stained with Primary Antibody for 30 min at room temperature. The secondary antibody used for 40 min at room temperature. Acquisition of 20,000 events was performed.
风险提示:丁香通仅作为第三方平台,为商家信息发布提供平台空间。用户咨询产品时请注意保护个人信息及财产安全,合理判断,谨慎选购商品,商家和用户对交易行为负责。对于医疗器械类产品,请先查证核实企业经营资质和医疗器械产品注册证情况。
文献和实验Models and Analysis of Atherosclerosis, Restenosis, and Aneurysm Formation in the Mouse
Nishina, P.M., Verstuyft, J., and Paigen, B. 1990. Synthetic low and high fat diets for the study of atherosclerosis in the mouse. J. Lipid Res. 31:859‐869.
Generation of Spatio‐Temporally Controlled Targeted Somatic Mutations in the Mouse
and pharmacological evidence that a retinoic acid cannot be the RXR‐activating ligand in mouse epidermis keratinocytes. Genes Dev. 20:1525‐1538. Diamond, I., Owolabi, T., Marco, M., Lam, C
.9| Mus musculus chromosome 16, clon... 44 0.13 gi|13435314|gb|AC090999.1| Caenorhabditis elegans cosmid Y8... 44 0.13 gi|21955645|emb|AL732599.5| Mouse DNA sequence from clone R... 44 0.13 gi|199921|gb|J03368.1|MUSMX2 Mouse interferon-induced Mx2 m
技术资料暂无技术资料 索取技术资料









