相关产品推荐更多 >
万千商家帮你免费找货
0 人在求购买到急需产品
- 详细信息
- 文献和实验
- 技术资料
- 应用范围:
产品信息以Bioss网站为准
- 规格:
50ul/100ul/200ul
| 规格: | 50ul | 产品价格: | ¥1180.0 |
|---|---|---|---|
| 规格: | 100ul | 产品价格: | ¥1980.0 |
| 规格: | 200ul | 产品价格: | ¥2800.0 |
| 产品编号 | bs-11666R |
| 英文名称 | PPP1R10 Rabbit pAb |
| 中文名称 | 丝氨酸/苏氨酸蛋白磷酸酶1调节亚基10抗体 |
| 英文别名 | PNUTS; CAT 53; CAT53; FB 19; FB19; FB19 protein; MHC class I region proline rich protein CAT53; p99; Phosphatase 1 nuclear targeting subunit; Phosphatase nuclear targeting subunit; PNUTS; PP1 binding protein of 114 kDa; PP1R10; Protein phosphatase 1 regulatory(inhibitor) subunit 10; Protein phosphatase 1 regulatory subunit 10; Serine/threonine protein phosphatase 1 regulatory subunit 10; PP1RA_HUMAN. |
| 产品应用 | WB=1:500-2000, IHC-P=1:100-500, IHC-F=1:100-500, ICC/IF=1:50-200, IF=1:100-500 Not yet tested in other applications. |
| 交叉反应 | Human (Mouse, Rat, Dog, Pig, Cow, Sheep) |
| 抗体来源 | Rabbit |
| 免疫原 | KLH conjugated synthetic peptide derived from human PPP1R10 |
| 亚型 | IgG |
| 性状 | Liquid |
| 纯化方法 | affinity purified by Protein A |
| 克隆类型 | Polyclonal |
| 理论分子量 | 99 kDa |
| 浓度 | 1mg/ml |
| 储存液 | 0.01M TBS (pH7.4) with 1% BSA, 0.02% Proclin300 and 50% Glycerol. |
| 研究领域 | Neuroscience > Neurology process > Neurodegenerative disease > Alzheimer's disease Neuroscience > Neurotransmission > Intracellular Signaling > Phosphatases Signal Transduction > Protein Phosphorylation > Ser / Thr Phosphatases |
| 亚基 | Component of the PTW/PP1 phosphatase complex, composed of PPP1R10/PNUTS, TOX4, WDR82, and PPP1CA or PPP1CB or PPP1CC. Interacts with PPP1CC. Interacts with PPP1CA, WDR82 and TOX4 |
| 亚细胞定位 | Nucleus. Note=Found in discrete nucleoplasmic bodies and within nucleoli. Associates with chromatin during interphase, excluded from condensed chromosomes during early mitosis and is reloaded onto chromosomes at the late telophase |
| 组织特异性 | Expressed in heart, brain, placenta, lung, liver, skeletal muscle, kidney and pancreas. |
| 翻译后修饰 | Phosphorylated on Ser-398 and Thr-400 by PKA within the region necessary for interaction with PPP1CA |
| 相似性 | Contains 1 C3H1-type zinc finger. Contains 1 TFIIS N-terminal domain. |
| 功能 | PPP1R10 (serine/threonine protein phosphatase 1 regulatory subunit 10), also known as PNUTS, is a targeting subunit of protein phosphatase 1 (PP1). Furthermore, PPP1R10 acts as an inhibitor of PPP1CA and PPP1CC phosphatase activities. Its inhibitory activity on PPP1CA is only observed when PPP1R10 is phosphorylated by Protein Kinase A (PKA). PPP1R10 contains a zinc finger motif and is predominantly localised within the nucleus. Recently, PPP1R10 has been shown to target PP1 to GABA(C) receptors, shuttling from the nucleus to the cell membrane in cells co-expressing this receptor. This highlights a role for this protein in the regulation of synaptic signal transduction. PPP1R10 has also been shown to regulate the activity of p53 in response to hypoxia. |
| 保存条件 | Shipped at 4℃. Store at -20℃ for one year. Avoid repeated freeze/thaw cycles. |
| 注意事项 | This product as supplied is intended for research use only, not for use in human, therapeutic or diagnostic applications. |
| 背景资料 | Eukaryotic protein phosphorylation and dephosphorylation on serine and threonine residues regulates numerous cell functions, including division, homeostasis and apoptosis. A group of proteins that play a major role in this process are the serine/threonine protein phosphatases. Protein phosphatase (PP) holoenzyme is a trimeric complex that contains a regulatory subunit, a variable subunit and a catalytic subunit. Families of PP catalytic subunits include PP1, PP2A, PP2B, PP2C, PPX and PP5. Regulatory subunits include nuclear inhibitor of PP1 (NIPP1), PP1 nuclear targeting subunit (PNUTS), PP2A-A, PP2A-B, PP2A-B56, PP2A-C, PP2B-B and PR48. PNUTS, also designated CAT53 or FB19, is encoded by the gene PPP1R10. PNUTS acts as an inhibitor for the phosphatase activity of PP1 Alpha and PP1 Gamma. It is a nuclear protein primarily detected in nucleoplasmic bodies and within nucleoli. PNUTS expression levels are highest in brain, heart, lung, placenta, liver, kidney, pancreas and skeletal muscle. |
| 应用 | 推荐稀释比例 |
| {WB} | {1:500-2000} |
| {IHC-P} | {1:100-500} |
| {IHC-F} | {1:100-500} |
| {ICC/IF} | {1:50-200} |
| {IF} | {1:100-500} |

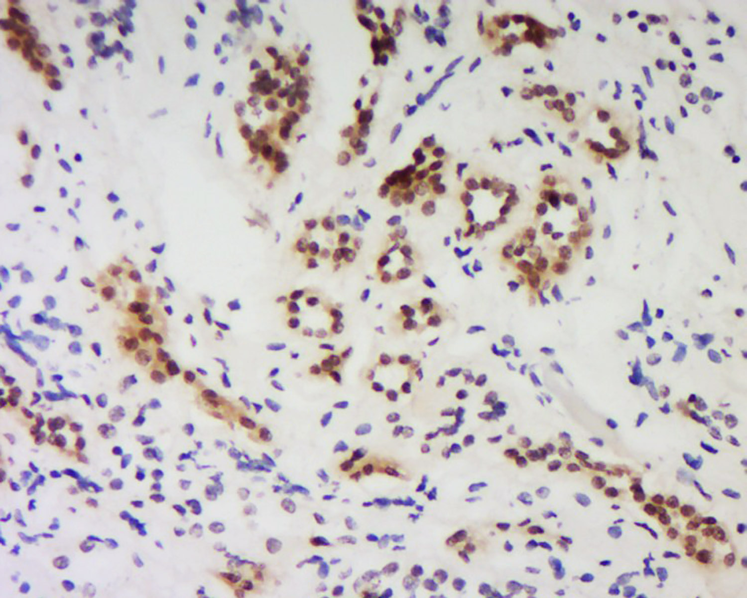
Antigen retrieval: citrate buffer ( 0.01M, pH 6.0 ), Boiling bathing for 15min; Block endogenous peroxidase by 3% Hydrogen peroxide for 30min; Blocking buffer (normal goat serum,C-0005) at 37℃ for 20 min;
Incubation: Anti-ppp1R10 Polyclonal Antibody, Unconjugated(bs-11666R) 1:200, overnight at 4°C, followed by conjugation to the secondary antibody(SP-0023) and DAB(C-0010) staining

Lane 1: Human MCF-7 cell lysates
Lane 2: Human HeLa cell lysates
Lane 3: Human HepG2 cell lysates
Primary: Anti-PPP1R10 (bs-11666R) at 1/1000 dilution
Secondary: IRDye800CW Goat Anti-Rabbit IgG at 1/20000 dilution
Predicted band size: 99 kDa
Observed band size: 115 kDa

风险提示:丁香通仅作为第三方平台,为商家信息发布提供平台空间。用户咨询产品时请注意保护个人信息及财产安全,合理判断,谨慎选购商品,商家和用户对交易行为负责。对于医疗器械类产品,请先查证核实企业经营资质和医疗器械产品注册证情况。
文献和实验= NAL), appears to form upon oxidative cyclization of the nonfluorescent 2:1 lysine-HNE Michael adduct-Schiff base cross-link (Scheme 1). Polyclonal antibody (PAb) to the NAL-HNE fluorophore was raised in rabbit and found to be highly specific
GE Healthcare Benzamidine Sepharose™ 6B is p-aminobenzamidine covalently attached to Sepharose 6B by the epoxy coupling method. p-Aminobenzamidine (PAB), is a synthetic inhibitor of trypsin-like serine protease. Trypsin and trypsin
Nucleic Acid Programmable Protein Arrays: Versatile Tools for Array‐Based Functional Protein Studies
.g., Sigma) 50 mg/ml bis‐sulfosuccinimdylsuberate (BS3 ;Pierce, cat. no. PI 21580) in dimethylsulfoxide (DMSO) 5 mg/ml
技术资料暂无技术资料 索取技术资料











