相关产品推荐更多 >
万千商家帮你免费找货
0 人在求购买到急需产品
- 详细信息
- 文献和实验
- 技术资料
- 应用范围:
产品信息以Bioss网站为准
- 规格:
50ul/100ul/200ul
| 规格: | 50ul | 产品价格: | ¥1180.0 |
|---|---|---|---|
| 规格: | 100ul | 产品价格: | ¥1980.0 |
| 规格: | 200ul | 产品价格: | ¥2800.0 |
| 产品编号 | bs-1766R |
| 英文名称 | FDC-SP Rabbit pAb |
| 中文名称 | 滤泡树突细胞分泌蛋白抗体 |
| 英文别名 | ADC; FDC; FDCs; FDC-SP; FDCSP; Follicular dendritic cell; Follicular dendritic cell secreted protein; Follicular dendritic cell; Follicular dendritic cell secreted peptide; FDC secreted protein. |
| 产品应用 | IHC-P=1:100-500, IHC-F=1:100-500, IF=1:100-500 Not yet tested in other applications. |
| 交叉反应 | Mouse (Human, Rat, Horse) |
| 抗体来源 | Rabbit |
| 免疫原 | KLH conjugated synthetic peptide derived from rat FDC-SP |
| 亚型 | IgG |
| 性状 | Liquid |
| 纯化方法 | affinity purified by Protein A |
| 克隆类型 | Polyclonal |
| 理论分子量 | 7.8 kDa |
| 浓度 | 1mg/ml |
| 储存液 | 0.01M TBS (pH7.4) with 1% BSA, 0.02% Proclin300 and 50% Glycerol. |
| 研究领域 | Immunology > Secreted Molecules > Other secreted molecules |
| 亚细胞定位 | Secreted. |
| 组织特异性 | Abundantly expressed in tonsil, lymph node, and trachea; strong expression in prostate; lower expression in thyroid, stomach, and colon. |
| 保存条件 | Shipped at 4℃. Store at -20℃ for one year. Avoid repeated freeze/thaw cycles. |
| 注意事项 | This product as supplied is intended for research use only, not for use in human, therapeutic or diagnostic applications. |
| 背景资料 | Follicular dendritic cells are cells that facilitate antigen recognition by B cells in follicles. This kind of dendritic cell is not bone marrow derived and is not a kind of blood cell. It is purely a resident of the follicles of secondary lymphoid organs. B cells form germinal centers around follicular dendritic cells in lymphoid organs. Dendritic cells form from monocytes, white blood cells which circulate in the body and, depending on the right signal, can turn into dendritic cells or macrophages. The monocytes in turn are formed from stem cells in the bone marrow.In normal tissue this antibody identifies dendritic cells and a proportion of B lymphocytes. Evidence in pathological tissue and functional studies suggests it binds to an epitope expressed by antigen presenting cells. Within the macrophage/dendritic cell populations the epitope seen by RFD1 is coexpressed with RFD7 by a subset of cells that exhibit suppressive activity on T cell stimulation. |
| 应用 | 推荐稀释比例 |
| {IHC-P} | {1:100-500} |
| {IHC-F} | {1:100-500} |
| {IF} | {1:100-500} |

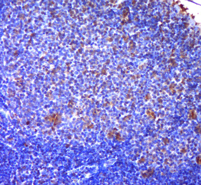
Paraformaldehyde-fixed, paraffin embedded (mouse lymphoid); Antigen retrieval by boiling in sodium citrate buffer (pH6.0) for 15min; Block endogenous peroxidase by 3% hydrogen peroxide for 20 minutes; Blocking buffer (normal goat serum) at 37°C for 30min; Antibody incubation with (FDC-SP) Polyclonal Antibody, Unconjugated (bs-1766R) at 1:400 overnight at 4°C, followed by a conjugated secondary (sp-0023) for 20 minutes and DAB staining.
风险提示:丁香通仅作为第三方平台,为商家信息发布提供平台空间。用户咨询产品时请注意保护个人信息及财产安全,合理判断,谨慎选购商品,商家和用户对交易行为负责。对于医疗器械类产品,请先查证核实企业经营资质和医疗器械产品注册证情况。
文献和实验该产品被引用文献
[IF={{ 2.768 }}] {Soda M et al. Reduced enamel epithelium‐derived cell niche in the junctional epithelium are maintained for a long time in mice. J Periodontol. 2019 Sep 9.} {IHC} {Mouse}
[IF={{ 0 }}] {Shojiro Ikezaki. et al. A novel junctional epithelial cell line, mHAT-JE01, derived from incisor epithelial cells. J ORAL BIOSCI. 2023 Jan;:} {IHC} {Mouse}
技术资料暂无技术资料 索取技术资料
文献支持
FDC-SP Rabbit pAb(bs-1766R)-50ul/100ul/200ul
¥1180 - 2800







