相关产品推荐更多 >
万千商家帮你免费找货
0 人在求购买到急需产品
- 详细信息
- 文献和实验
- 技术资料
- 应用范围:
产品信息以Bioss网站为准
- 规格:
50ul/100ul/200ul
| 规格: | 50ul | 产品价格: | ¥1180.0 |
|---|---|---|---|
| 规格: | 100ul | 产品价格: | ¥1980.0 |
| 规格: | 200ul | 产品价格: | ¥2800.0 |
| 产品编号 | bs-6318R |
| 英文名称 | Acid sphingomyelinase Rabbit pAb |
| 中文名称 | 酸性神经鞘磷脂酶抗体 |
| 英文别名 | Acid sphingomyelinase; ASM; ASM_HUMAN; aSMase; NPD; Smpd1; Sphingomyelin phosphodiesterase 1 acid lysosomal; Sphingomyelin phosphodiesterase. |
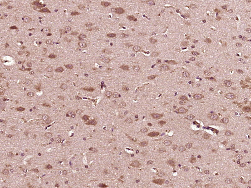
| 产品应用 | WB=1:500-2000, IHC-P=1:100-500, IHC-F=1:100-500, IF=1:100-500, Flow-Cyt=2ug/Test Not yet tested in other applications. |
| 交叉反应 | Human, Rat (Mouse, Dog, Pig, Cow, Rabbit) |
| 抗体来源 | Rabbit |
| 免疫原 | KLH conjugated synthetic peptide derived from human Acid sphingomyelinase |
| 亚型 | IgG |
| 性状 | Liquid |
| 纯化方法 | affinity purified by Protein A |
| 克隆类型 | Polyclonal |
| 理论分子量 | 64 kDa |
| 浓度 | 1mg/ml |
| 储存液 | 0.01M TBS (pH7.4) with 1% BSA, 0.02% Proclin300 and 50% Glycerol. |
| 研究领域 | Cell Biology > Apoptosis > Intracellular > Associated Proteins Neuroscience > Neurology process > Neurodegenerative disease Signal Transduction > Metabolism > Lipid metabolism |
| 亚基 | Monomer. |
| 亚细胞定位 | Lysosome. |
| 相似性 | Belongs to the acid sphingomyelinase family. Contains 1 saposin B-type domain. |
| 功能 | Converts sphingomyelin to ceramide. Also has phospholipase C activities toward 1,2-diacylglycerolphosphocholine and 1,2-diacylglycerolphosphoglycerol. Isoform 2 and isoform 3 have lost catalytic activity. |
| 保存条件 | Shipped at 4℃. Store at -20℃ for one year. Avoid repeated freeze/thaw cycles. |
| 注意事项 | This product as supplied is intended for research use only, not for use in human, therapeutic or diagnostic applications. |
| 背景资料 | Converts sphingomyelin to ceramide. Also has phospholipase C activities toward 1,2-diacylglycerolphosphocholine and 1,2-diacylglycerolphosphoglycerol. Isoform 2 and isoform 3 have lost catalytic activity.Involvement in disease: Defects in SMPD1 are the cause of Niemann-Pick disease type A (NPDA) ; also known as Niemann-Pick disease classical infantile form. It is an early-onset lysosomal storage disorder caused by failure to hydrolyze sphingomyelin to ceramide. It results in the accumulation of sphingomyelin and other metabolically related lipids in reticuloendothelial and other cell types throughout the body, leading to cell death. Niemann-Pick disease type A is a primarily neurodegenerative disorder characterized by onset within the first year of life, mental retardation, digestive disorders, failure to thrive, major hepatosplenomegaly, and severe neurologic symptoms. The severe neurological disorders and pulmonary infections lead to an early death, often around the age of four. Clinical features are variable. A phenotypic continuum exists between type A (basic neurovisceral) and type B (purely visceral) forms of Niemann-Pick disease, and the intermediate types encompass a cluster of variants combining clinical features of both types A and B. |
| 应用 | 推荐稀释比例 |
| {WB} | {1:500-2000} |
| {IHC-P} | {1:100-500} |
| {IHC-F} | {1:100-500} |
| {IF} | {1:100-500} |
| {Flow-Cyt} | {2ug/Test} |


HepG2(human) cell Lysate at 30 ug
MCF-7(human) cell Lysate at 30 ug
A431(human) cell Lysate at 30 ug
Hale(human) cell Lysate at 30 ug
Primary: Anti- Acid sphingomyelinase (bs-6318R) at 1/300 dilution
Secondary: IRDye800CW Goat Anti-Rabbit IgG at 1/20000 dilution
Predicted band size: 64kD
Observed band size: 69 kD

Primary Antibody (green line): Rabbit Anti-Acid sphingomyelinase antibody (bs-6318R)
Dilution: 2μg /10^6 cells;
Isotype Control Antibody (orange line): Rabbit IgG .
Secondary Antibody : Goat anti-rabbit IgG-PE
Dilution: 1μg /test.
Protocol
The cells were fixed with 4% PFA (10min at room temperature)and then permeabilized with 0.1% PBST for 20 min at room temperature.The cells were then incubated in 5%BSA to block non-specific protein-protein interactions for 30 min at room temperature .Cells stained with Primary Antibody for 30 min at room temperature. The secondary antibody used for 40 min at room temperature. Acquisition of 20,000 events was performed.
风险提示:丁香通仅作为第三方平台,为商家信息发布提供平台空间。用户咨询产品时请注意保护个人信息及财产安全,合理判断,谨慎选购商品,商家和用户对交易行为负责。对于医疗器械类产品,请先查证核实企业经营资质和医疗器械产品注册证情况。
文献和实验[IF={{ 6.126 }}] {Peñate T et al. Lipid-Iron Nanoparticle with a Cell Stress Release Mechanism Combined with a Local Alternating Magnetic Field Enables Site-Activated Drug ReleaseCancers (Basel).2020 Dec 14;12(12):3767.} {IHC} {Mouse}
[IF={{ 6.081 }}] {Tuula Penate Medina. et al. Utilizing Sphingomyelinase Sensitizing Liposomes in Imaging Intestinal Inflammation in Dextran Sulfate Sodium-Induced Murine Colitis. Biomedicines. 2022 Feb;10(2):413} {IHC} {Human}
[IF={{ 6.02 }}] {Bodas M et al. Autophagy augmentation alleviates cigarette smoke-induced CFTR-dysfunction, ceramide-accumulation and COPD-emphysema pathogenesis.(2018) Free Radic Biol Med.131:81-97.} {FCM} {Human}
[IF={{ 2.87 }}] {Anastasia M. Ravodina. et al. Facile Cholesterol Loading with a New Probe ezFlux Allows for Streamlined Cholesterol Efflux Assays. Acs Omega. 2020;5(36):23289–23298} {WB} {Mouse}
Nucleic Acid Programmable Protein Arrays: Versatile Tools for Array‐Based Functional Protein Studies
an alternate approach, the Nucleic Acid Programmable Protein Array (NAPPA) is constructed by spotting protein?encoding plasmid DNA at high density, in addressable fashion, on an array surface. Proteins are subsequently generated in situ
Generation of Spatio‐Temporally Controlled Targeted Somatic Mutations in the Mouse
Syringe (1‐ml equipped with a 25‐G needle; Terumo, cat. no. BS‐01 H2516) Gas anesthesia station for rodents (TEM)
技术资料暂无技术资料 索取技术资料










