相关产品推荐更多 >

CENPQ Rabbit pAb(bs-20862R)-50ul/100ul/200ul
¥1180
NCAM2 Rabbit pAb, Cy5.5 conjugated(bs-11094R-Cy5.5)-100ul
¥2980
phospho-HSP70 (Tyr41) Rabbit pAb, PerCP conjugated(bs-10451R-PerCP)-100ul
¥2980
BNC2 Rabbit pAb, PE conjugated(bs-9293R-PE)-100ul
¥2980
TRAF3 Rabbit pAb, Biotin conjugated(bs-1185R-Bio)-100ul
¥2980
万千商家帮你免费找货
0 人在求购买到急需产品
- 详细信息
- 文献和实验
- 技术资料
- 应用范围:
产品信息以Bioss网站为准
- 规格:
50ul/100ul/200ul
| 规格: | 50ul | 产品价格: | ¥1180.0 |
|---|---|---|---|
| 规格: | 100ul | 产品价格: | ¥1980.0 |
| 规格: | 200ul | 产品价格: | ¥2800.0 |
| 产品编号 | bs-3787R |
| 英文名称 | SCD Rabbit pAb |
| 中文名称 | 固醇酰辅酶A脱氢酶1抗体 |
| 英文别名 | SCD_HUMAN; Stearoyl-CoA desaturase; EC:1.14.19.1; hSCD1; Acyl-CoA desaturase; delta(9)-desaturase(delta-9 desaturase); Fatty acid desaturase; FADS5; SCD1; SCDOS; MSTP008; |
| 产品应用 | IHC-P=1:100-500, IHC-F=1:100-500, ICC/IF=1:100-500, IF=1:100-500 Not yet tested in other applications. |
| 交叉反应 | Human, Mouse, Rat (Dog, Pig, Cow, Rabbit, Sheep) |
| 抗体来源 | Rabbit |
| 免疫原 | KLH conjugated synthetic peptide derived from human SCD |
| 亚型 | IgG |
| 性状 | Liquid |
| 纯化方法 | affinity purified by Protein A |
| 克隆类型 | Polyclonal |
| 理论分子量 | 41 kDa |
| 浓度 | 1mg/ml |
| 储存液 | 0.01M TBS (pH7.4) with 1% BSA, 0.02% Proclin300 and 50% Glycerol. |
| 研究领域 | Cancer > Cancer Metabolism > Metabolic signaling pathway > Metabolism of lipids and lipoproteins Cardiovascular > Lipids / Lipoproteins > Fatty Acids > Metabolism Metabolism > Pathways and Processes > Metabolic signaling pathways > Lipid and lipoprotein metabolism > Fatty acids Metabolism > Pathways and Processes > Metabolic signaling pathways > Lipid and lipoprotein metabolism > Lipid metabolism Metabolism > Pathways and Processes > Redox metabolism > Fatty acid oxidation Metabolism > Types of disease > Obesity Signal Transduction > Metabolism > Lipid metabolism |
| 亚细胞定位 | Endoplasmic reticulum membrane; Multi-pass membrane protein (Probable). |
| 相似性 | Belongs to the fatty acid desaturase family. |
| 功能 | Terminal component of the liver microsomal stearyl-CoA desaturase system, that utilizes O(2) and electrons from reduced cytochrome b5 to catalyze the insertion of a double bond into a spectrum of fatty acyl-CoA substrates including palmitoyl-CoA and stearoyl-CoA. |
| 保存条件 | Shipped at 4℃. Store at -20℃ for one year. Avoid repeated freeze/thaw cycles. |
| 注意事项 | This product as supplied is intended for research use only, not for use in human, therapeutic or diagnostic applications. |
| 背景资料 | This gene encodes an enzyme involved in fatty acid biosynthesis, primarily the synthesis of oleic acid. The protein belongs to the fatty acid desaturase family and is an integral membrane protein located in the endoplasmic reticulum. Transcripts of approximately 3.9 and 5.2 kb, differing only by alternative polyadenlyation signals, have been detected. A gene encoding a similar enzyme is located on chromosome 4 and a pseudogene of this gene is located on chromosome 17. [provided by RefSeq, Sep 2015] |
| 应用 | 推荐稀释比例 |
| {IHC-P} | {1:100-500} |
| {IHC-F} | {1:100-500} |
| {ICC/IF} | {1:100-500} |
| {IF} | {1:100-500} |

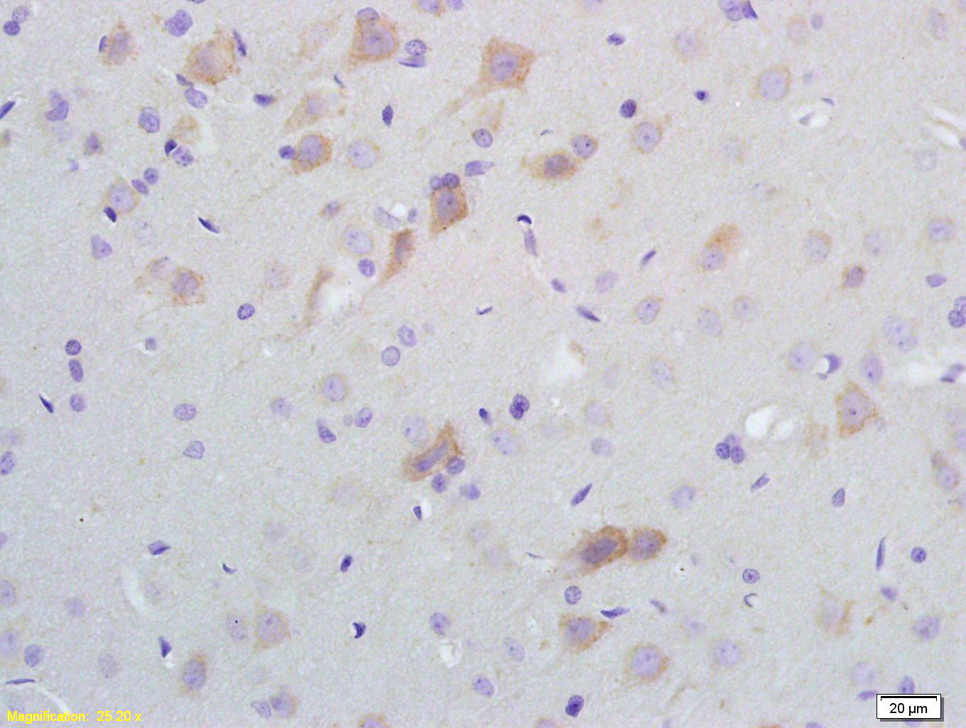
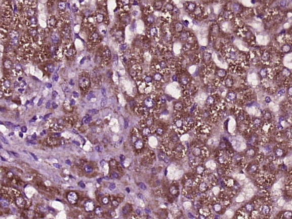
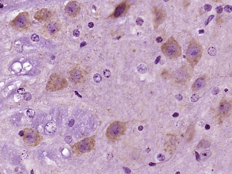
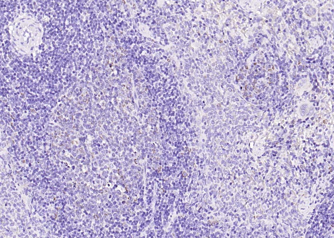
Antigen retrieval: citrate buffer ( 0.01M, pH 6.0 ), Boiling bathing for 15min; Block endogenous peroxidase by 3% Hydrogen peroxide for 30min; Blocking buffer (normal goat serum,C-0005) at 37℃ for 20 min;
Incubation: Anti-SCD1 Polyclonal Antibody, Unconjugated(bs-3787R) 1:200, overnight at 4°C, followed by conjugation to the secondary antibody(SP-0023) and DAB(C-0010) staining





风险提示:丁香通仅作为第三方平台,为商家信息发布提供平台空间。用户咨询产品时请注意保护个人信息及财产安全,合理判断,谨慎选购商品,商家和用户对交易行为负责。对于医疗器械类产品,请先查证核实企业经营资质和医疗器械产品注册证情况。
文献和实验[IF={{ 9.8 }}] {Yanghuan Yu. et al. MiRNA-seq and mRNA-seq revealed the mechanism of fluoride-induced cauda epididymal injury. SCI TOTAL ENVIRON. 2024 Jun;930:172895} {WB} {Mouse}
[IF={{ 9.685 }}] {Wang, Nan. et al. USP7- and PRMT5-dependent G3BP2 stabilization drives de novo lipogenesis and tumorigenesis of HNSC. CELL DEATH DIS. 2023 Mar;14(3):1-13} {WB} {Human}
[IF={{ 6.3 }}] {Jing Zhang. et al. Dietary supplementation of sodium butyrate enhances lactation performance by promoting nutrient digestion and mammary gland development in dairy cows. ANIM NUTR. 2023 Sep;:} {WB} {Bovine}
[IF={{ 6.1 }}] {Jiangtao Huang. et al. Enhancement of PPARα-Inhibited Leucine Metabolism-Stimulated β-Casein Synthesis and Fatty Acid Synthesis in Primary Bovine Mammary Epithelial Cells. J AGR FOOD CHEM. 2023;XXXX(XXX):XXX-XXX} {WB} {Bovine}
[IF={{ 5.6 }}] {Yating Fan. et al. β-Sitosterol Suppresses Lipopolysaccharide-Induced Inflammation and Lipogenesis Disorder in Bovine Mammary Epithelial Cells. INT J MOL SCI. 2023 Jan;24(19):14644} {WB} {Bovine}
= NAL), appears to form upon oxidative cyclization of the nonfluorescent 2:1 lysine-HNE Michael adduct-Schiff base cross-link (Scheme 1). Polyclonal antibody (PAb) to the NAL-HNE fluorophore was raised in rabbit and found to be highly specific
进口分装 F0252 血清淀粉样蛋白(SAA) ELISA 48T/96T 2000/3000 进口分装 F0253 可溶性细胞表面分化抗原40 配体 (sCD40L) ELISA 48T/96T 2000/3000 进口分装 F0254 ★ 干细胞因子(SCF) ELISA 48T/96T 1200/2000 进口分装 F0255 干细胞因子受体(SCF R) ELISA 48T/96T 2000/3000 进口分装 F
进口分装 F0252 血清淀粉样蛋白(SAA) ELISA 48T/96T 2000/3000 进口分装 F0253 可溶性细胞表面分化抗原40 配体 (sCD40L) ELISA 48T/96T 2000/3000 进口分装 F0254 ★ 干细胞因子(SCF) ELISA 48T/96T 1200/2000 进口分装 F0255 干细胞因子受体(SCF R) ELISA 48T/96T 2000/3000 进口分装 F
技术资料暂无技术资料 索取技术资料






