相关产品推荐更多 >

HOXD10 Rabbit pAb, AP conjugated(bs-22037R-AP)-100ul
¥2980
phospho-CDKN2A (Ser8) Rabbit pAb(bs-5255R)-50ul/100ul/200ul
¥1180
CCL26 Rabbit pAb, PE-Cy5.5 conjugated(bs-15513R-PE-Cy5.5)-100ul
¥2980
CEBP alpha Recombinant Rabbit mAb(bsm-61291R)-50ul/100ul/25ul
¥800
Caspase-1 p20 Rabbit pAb, PE-Cy5.5 conjugated(bs-10442R-PE-Cy5.5)-100ul
¥2980
万千商家帮你免费找货
0 人在求购买到急需产品
- 详细信息
- 文献和实验
- 技术资料
- 应用范围:
产品信息以Bioss网站为准
- 规格:
50ul/100ul
| 规格: | 50ul | 产品价格: | ¥1180.0 |
|---|---|---|---|
| 规格: | 100ul | 产品价格: | ¥1980.0 |
| 产品编号 | bs-2734R |
| 英文名称 | Bcl-6 Rabbit pAb |
| 中文名称 | 原癌基因Bcl-6抗体 |
| 英文别名 | Bcl-6/5; Bcl-6+Bcl-5; B-cell lymphoma 6 protein isoform 1; zinc finger transcription factor BCL6S; B-cell lymphoma 6 protein transcript; BCL-5; BCL6; Bcl 6; protein LAZ-3; B-cell lymphoma 5 protein; zinc finger and BTB domain-containing protein 27; lymphoma-associated zinc finger gene on chromosome 3; zinc finger protein 51; cys-his2 zinc finger transcription factor; BCL5; BCL6A; LAZ3; ZBTB27; ZNF51; BCL6_HUMAN. |
| 产品应用 | WB=1:500-1000, IHC-P=1:100-500, IHC-F=1:100-500, IF=1:100-500, ELISA=1:5000-10000 Not yet tested in other applications. |
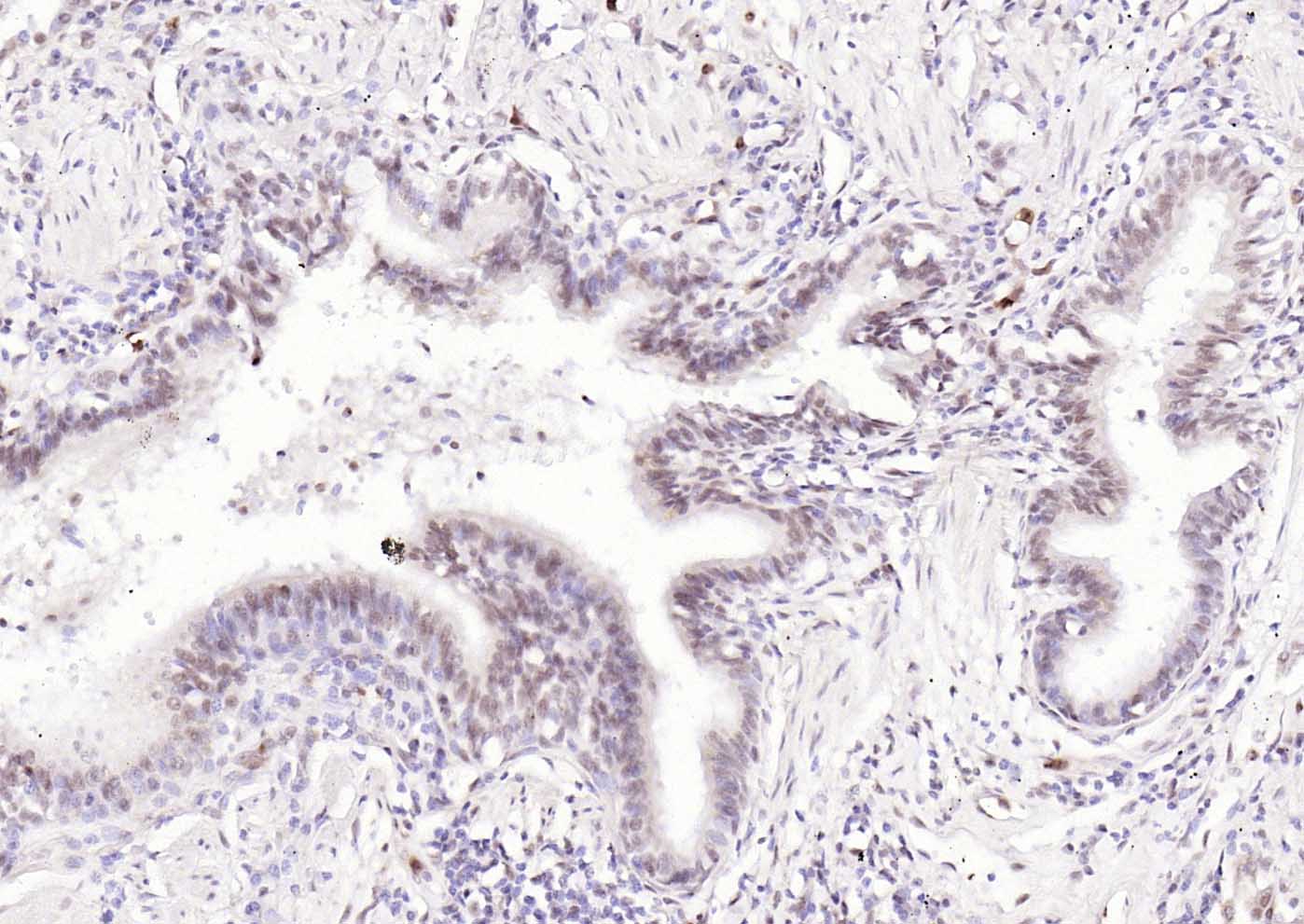
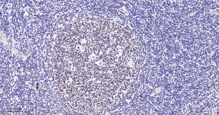
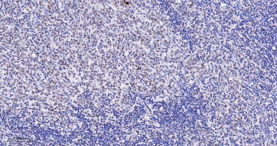
| 交叉反应 | Human, Mouse, human lung carcinoma, human lung carcinoma, human lung carcinoma, human lung carcinoma, spleen, spleen, spleen, spleen, spleen, spleen, spleen, human lung carcinoma, human lung carcinoma, human lung carcinoma |
| 抗体来源 | Rabbit |
| 免疫原 | KLH conjugated synthetic peptide derived from human Bcl-6 |
| 亚型 | IgG |
| 性状 | Liquid |
| 纯化方法 | affinity purified by Protein A |
| 克隆类型 | Polyclonal |
| 理论分子量 | 78 kDa |
| 浓度 | 1mg/ml |
| 储存液 | 0.01M TBS (pH7.4) with 1% BSA, 0.02% Proclin300 and 50% Glycerol. |
| 研究领域 | Cancer > Oncoproteins/suppressors > Oncoproteins > Transcription factors Epigenetics and Nuclear Signaling > Transcription > Cancer susceptibility > Proto-oncogenes Epigenetics and Nuclear Signaling > Transcription > Domain Families > Zinc Finger |
| 亚基 | Homodimer. Interacts (via BTB domain) with BCOR; the interaction is direct. Interacts (via BTB domain) with NCOR2; the interaction is direct. Interacts with ZBTB7 and BCL6B (By similarity). Interacts with the catalytic domain of HDAC9. |
| 亚细胞定位 | Nucleus (By similarity). |
| 组织特异性 | Expressed in germinal center T and B-cells and in primary immature dendritic cells. |
| 翻译后修饰 | Phosphorylated by MAPK1 in response to antigen receptor activation at Ser-333 and Ser-343. Phosphorylation induces its degradation by ubiquitin/proteasome pathway. Polyubiquitinated. Polyubiquitination leads to degradation by the proteasome. |
| 相似性 | Contains 1 BTB (POZ) domain. Contains 6 C2H2-type zinc fingers. |
| 功能 | Transcriptional repressor which is required for germinal center formation and antibody affinity maturation. Probably plays an important role in lymphomagenesis. |
| 保存条件 | Shipped at 4℃. Store at -20℃ for one year. Avoid repeated freeze/thaw cycles. |
| 注意事项 | This product as supplied is intended for research use only, not for use in human, therapeutic or diagnostic applications. |
| 背景资料 | The protein encoded by this gene is a zinc finger transcription factor and contains an N-terminal POZ domain. This protein acts as a sequence-specific repressor of transcription, and has been shown to modulate the transcription of START-dependent IL-4 responses of B cells. This protein can interact with a variety of POZ-containing proteins that function as transcription corepressors. This gene is found to be frequently translocated and hypermutated in diffuse large-cell lymphoma (DLCL), and may be involved in the pathogenesis of DLCL. Alternatively spliced transcript variants encoding different protein isoforms have been found for this gene. [provided by RefSeq]. |
| 应用 | 推荐稀释比例 |
| {WB} | {1:500-1000} |
| {IHC-P} | {1:100-500} |
| {IHC-F} | {1:100-500} |
| {IF} | {1:100-500} |
| {ELISA} | {1:5000-10000} |





风险提示:丁香通仅作为第三方平台,为商家信息发布提供平台空间。用户咨询产品时请注意保护个人信息及财产安全,合理判断,谨慎选购商品,商家和用户对交易行为负责。对于医疗器械类产品,请先查证核实企业经营资质和医疗器械产品注册证情况。
文献和实验[IF={{ 6.208 }}] {Genxi Zhang. et al. miRNA-10a-5p Targeting the BCL6 Gene Regulates Proliferation, Differentiation and Apoptosis of Chicken Myoblasts. INT J MOL SCI. 2022 Jan;23(17):9545} {WB} {Chicken}
[IF={{ 5.1 }}] {Yifei Deng. et al. Astragalus polysaccharides ameliorates experimental colitis by regulating memory B cells metabolism. CHEM-BIOL INTERACT. 2024 May;394:110969} {IHC} {Mouse}
[IF={{ 2.952 }}] {Shuang Zhang. et al. Knockdown of miR‑205‑5p alleviates the inflammatory response in allergic rhinitis by targeting B‑cell lymphoma 6. Mol Med Rep. 2021 Nov;24(5):1-11} {IF,IHC} {mouse}
[IF={{ 2.48 }}] {Szabó, Krisztina, et al. "Expansion of circulating follicular T helper cells associates with disease severity in childhood atopic dermatitis." Immunology Letters (2017).} {IHC} {="Human"}
[IF={{ 1.26 }}] {Gong, Qiaoqiao, et al. "Increased levels of CCR7 (lo) PD‑1 (hi) CXCR5+ CD4+ T cells, and associated factors Bcl‑6, CXCR5, IL‑21 and IL‑6 contribute to repeated implantation failure." Experimental and Therapeutic Medicine 14.6 (2017): 5931-5941.} {IHC} {="Human"}
Double immunofluorescence staining for BCL-6 and else
antibodies: rabbit anti-BCL-6 0.5µg/ml in PBS/BSA/Azide + mouse anti HA supn 1:100. Secondary antibodies: biotin-conjugated goat anti rabbit (1:200) + TRITC conjugated goat anti-mouse (1:200). Alternatively, biotin-conjugated goat anti mouse (1:200
Double immunofluorescence staining for BCL-6 and else.
. Example: Pirmary antibodies: rabbit anti-BCL-6 0.5µg/ml in PBS/BSA/Azide + mouse anti HA supn 1:100. Secondary antibodies: biotin-conjugated goat anti rabbit (1:200) + TRITC conjugated goat anti-mouse (1:200). Alternatively, biotin-conjugated
Double immunohistochemistry for BCL6 and PNA for Germinal Center detection.
chamber, at RT overnight . Rabbit anti BCL-6 (Santa Cruz Biotechnology, Santa Cruz, CA: Bcl-6 (N-3): sc-858, use at 0.5 µg/ml) 5- Wash twice in TBS-T. 6- add the biotin-conjugated secondary antibody (100 to 200 µl) and incubate for 45 min
技术资料暂无技术资料 索取技术资料






