相关产品推荐更多 >
万千商家帮你免费找货
0 人在求购买到急需产品
- 详细信息
- 文献和实验
- 技术资料
- 应用范围:
产品信息以Bioss网站为准
- 规格:
50ul/100ul/200ul
| 规格: | 50ul | 产品价格: | ¥1180.0 |
|---|---|---|---|
| 规格: | 100ul | 产品价格: | ¥1980.0 |
| 规格: | 200ul | 产品价格: | ¥2800.0 |
| 产品编号 | bs-3828R |
| 英文名称 | HNF4A Rabbit pAb |
| 中文名称 | 肝细胞核因子4α抗体 |
| 英文别名 | FLJ39654; HNF-4-alpha; FRTS4; Hepatic nuclear factor 4 alpha; Hepatocyte nuclear factor 4 alpha; Hepatocyte nuclear factor 4; Hepatocyte nuclear factor 4-alpha; HNF 4 alpha; HNF 4; HNF-4-alpha; HNF4; HNF4A; HNF4A_HUMAN; HNF4a7; HNF4a8; HNF4a9; Hnf4alpha; HNF4alpha10/11/12; MODY 1; MODY; MODY1; NR2A1; NR2A21; Nuclear receptor subfamily 2 group A member 1; OTTHUMP00000031060; OTTHUMP00000031062; TCF 14; TCF; TCF-14; TCF14; Tcf4; Transcription factor 14, hepatic nuclear factor; Transcription factor 14; Transcription factor HNF 4; Transcription factor HNF-4; Transcription factor HNF4. |
| 产品应用 | WB=1:500-1000, IHC-P=1:100-500, IHC-F=1:100-500, IF=1:100-500 Not yet tested in other applications. |
| 交叉反应 | Human, Mouse, Rat |
| 抗体来源 | Rabbit |
| 免疫原 | KLH conjugated synthetic peptide derived from human HNF4 alpha |
| 亚型 | IgG |
| 性状 | Liquid |
| 纯化方法 | affinity purified by Protein A |
| 克隆类型 | Polyclonal |
| 理论分子量 | 52 kDa |
| 浓度 | 1mg/ml |
| 储存液 | 0.01M TBS (pH7.4) with 1% BSA, 0.02% Proclin300 and 50% Glycerol. |
| 研究领域 | Cancer > Cancer Metabolism > Metabolic signaling pathway > Metabolism of lipids and lipoproteins Cardiovascular > Atherosclerosis > Diabetes associated Cardiovascular > Blood > Coagulation > Extrinsic Cardiovascular > Lipids / Lipoproteins > Lipid Metabolism > Cholesterol Metabolism Cardiovascular > Lipids / Lipoproteins > Lipid Metabolism > Cytochromes Developmental Biology > Organogenesis > Gut development > Liver development Epigenetics and Nuclear Signaling > Transcription > Polymerase associated factors > Pol II Transcription Metabolism > Pathways and Processes > Metabolic signaling pathways > Energy transfer pathways > Energy Metabolism Metabolism > Pathways and Processes > Metabolic signaling pathways > Lipid and lipoprotein metabolism > Cholesterol Metabolism Metabolism > Pathways and Processes > Metabolic signaling pathways > Lipid and lipoprotein metabolism > Lipases Metabolism > Pathways and Processes > Metabolic signaling pathways > Lipid and lipoprotein metabolism > Lipid metabolism Metabolism > Pathways and Processes > Mitochondrial Metabolism > Cytochromes Metabolism > Types of disease > Cancer Metabolism > Types of disease > Diabetes Metabolism > Types of disease > Heart disease Signal Transduction > Metabolism > Energy Metabolism |
| 亚基 | Homodimerization is required for HNF4-alpha to bind to its recognition site. |
| 亚细胞定位 | Nucleus. |
| 翻译后修饰 | Phosphorylated on tyrosine residue(s); phosphorylation is important for its DNA-binding activity. Phosphorylation may directly or indirectly play a regulatory role in the subnuclear distribution. Phosphorylation at Ser-313 by AMPK reduces the ability to form homodimers and bind DNA. Acetylation at Lys-458 lowers transcriptional activation by about two-fold. |
| 相似性 | Belongs to the nuclear hormone receptor family. NR2 subfamily. Contains 1 nuclear receptor DNA-binding domain. |
| 功能 | Transcriptionally controlled transcription factor. Binds to DNA sites required for the transcription of alpha 1-antitrypsin, apolipoprotein CIII, transthyretin genes and HNF1-alpha. May be essential for development of the liver, kidney and intestine. |
| 保存条件 | Shipped at 4℃. Store at -20℃ for one year. Avoid repeated freeze/thaw cycles. |
| 注意事项 | This product as supplied is intended for research use only, not for use in human, therapeutic or diagnostic applications. |
| 背景资料 | The protein encoded by the HNF4 gene is a nuclear transcription factor which binds DNA as a homodimer. The encoded protein controls the expression of several genes, including hepatocyte nuclear factor 1 alpha, a transcription factor which regulates the expression of several hepatic genes. This gene may play a role in development of the liver, kidney, and intestines. Mutations in this gene have been associated with monogenic autosomal dominant non insulin dependent diabetes mellitus type I. At least three different transcript variants encoding three different isoforms have been found for this gene. |
| 应用 | 推荐稀释比例 |
| {WB} | {1:500-1000} |
| {IHC-P} | {1:100-500} |
| {IHC-F} | {1:100-500} |
| {IF} | {1:100-500} |

BRL-3A(Rat) Cell Lysate at 30 ug
Primary: Anti-HNF4A (bs-3828R) at 1/500 dilution
Secondary: IRDye800CW Goat Anti-Rabbit IgG at 1/20000 dilution
Predicted band size: 52 kD
Observed band size: 52 kD

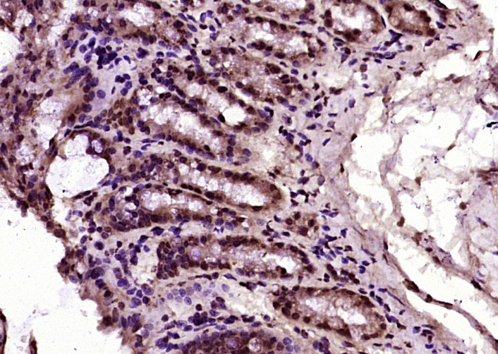
Antigen retrieval: citrate buffer ( 0.01M, pH 6.0 ), Boiling bathing for 15min; Block endogenous peroxidase by 3% Hydrogen peroxide for 30min; Blocking buffer (normal goat serum,C-0005) at 37℃ for 20 min;
Incubation: Anti-HNF4A Polyclonal Antibody, Unconjugated(bs-3828R) 1:200, overnight at 4°C, followed by conjugation to the secondary antibody(SP-0023) and DAB(C-0010) staining


Primary: Anti- HNF4A (bs-3828R) at 1/300 dilution
Secondary: IRDye800CW Goat Anti-Rabbit IgG at 1/20000 dilution
Predicted band size: 52 kD
Observed band size: 52 kD
风险提示:丁香通仅作为第三方平台,为商家信息发布提供平台空间。用户咨询产品时请注意保护个人信息及财产安全,合理判断,谨慎选购商品,商家和用户对交易行为负责。对于医疗器械类产品,请先查证核实企业经营资质和医疗器械产品注册证情况。
文献和实验[IF={{ 9.6 }}] {Yang Yu-Hang. et al. HNF4A mitigates sepsis-associated lung injury by upregulating NCOR2/GR/STAB1 axis and promoting macrophage polarization towards M2 phenotype. CELL DEATH DIS. 2025 Feb;16(1):1-14} {WB,IF,ChIP} {Mouse}
[IF={{ 7.8 }}] {Kenji Uno. et al.Rspo3-mediated metabolic liver zonation regulates systemic glucose metabolism and body mass in mice.PLOS BIOLOGY.2025 Jan 24;23(1):e3002955.} {Fluorescent immunostaining} {Murine}
[IF={{ 4.099 }}] {Lv, Xiaoqin. et al. GATA binding protein 4 promotes the expression and transcription of hepatitis B virus by facilitating hepatocyte nuclear factor 4 alpha in vitro. Virol J. 2021 Dec;18(1):1-12} {WB} {human}
[IF={{ 3.776 }}] {Qidang Duan. et al. LOX-1 attenuates high glucose-induced autophagy via AMPK/HNF4α signaling in HLSECs. HELIYON. 2022 Dec;8:e12385} {IF,WB} {Human}
[IF={{ 2.523 }}] {Zhang C et al. Caveolin-1 promotes Rfng expression via Erk-Jnk-p38 signaling pathway in mouse hepatocarcinoma cells. J Physiol Biochem. 2019 Sep 16.} {WB} {Mouse}
= NAL), appears to form upon oxidative cyclization of the nonfluorescent 2:1 lysine-HNE Michael adduct-Schiff base cross-link (Scheme 1). Polyclonal antibody (PAb) to the NAL-HNE fluorophore was raised in rabbit and found to be highly specific
Antigen Design Sera Purification Tech Sheet
-3828. 6. Kyte, J. and Doolittle, R.F., 1982, J. Mol. Biol., 157: 105-132. 7. Chou, P.Y. and Fasman, G
GE Healthcare Benzamidine Sepharose™ 6B is p-aminobenzamidine covalently attached to Sepharose 6B by the epoxy coupling method. p-Aminobenzamidine (PAB), is a synthetic inhibitor of trypsin-like serine protease. Trypsin and trypsin
技术资料暂无技术资料 索取技术资料






