相关产品推荐更多 >

RGC32/C13orf15 Rabbit pAb, BF647 conjugated(bs-9079R-BF647)-100ul
¥2980
MLCK Rabbit pAb, BF350 conjugated(bs-4705R-BF350)-100ul
¥2980
BrdU(Proliferation Marker) Mouse mAb, Cy5.5 conjugated(bsm-0917M-Cy5.5)-100ul
¥2980
EV71 VP1 Rabbit pAb(bs-2297R)-50ul/100ul/200ul
¥1180
THAP1 Rabbit pAb, HRP conjugated(bs-7103R-HRP)-100ul
¥2980
万千商家帮你免费找货
0 人在求购买到急需产品
- 详细信息
- 文献和实验
- 技术资料
- 应用范围:
产品信息以Bioss网站为准
- 规格:
50ul/100ul/200ul
| 规格: | 50ul | 产品价格: | ¥1180.0 |
|---|---|---|---|
| 规格: | 100ul | 产品价格: | ¥1980.0 |
| 规格: | 200ul | 产品价格: | ¥2800.0 |
| 产品编号 | bs-0236R |
| 英文名称 | ChRM2 Rabbit pAb |
| 中文名称 | 毒蕈碱型乙酰胆碱受体抗体 |
| 英文别名 | 7TM receptor; Acetylcholine receptor, muscarinic, 2; Acm2; Cholinergic receptor muscarinic 2; Cholinergic receptor, muscarinic 2, cardiac; Cholinergic receptor, muscarinic 2, isoform a; Cholinergic receptor, muscarinic 2a; Cholinergic receptor, muscarinic 2, isoform a; CHRM 2; chrm2a; CM2; FLJ43243; HM 2; HM2; M2; M2 muscarinic receptor; MGC120006; MGC120007; ACM2_HUMAN; Muscarinic acetylcholine receptor M2; Muscarinic M2 receptor; Acetylcholine receptor(M2). |
| 产品应用 | WB=1:500-2000, IHC-P=1:100-500, IHC-F=1:100-500, IF=1:100-500 Not yet tested in other applications. |
| 交叉反应 | Human, Mouse, Rat (Chicken, Pig) |
| 抗体来源 | Rabbit |
| 免疫原 | KLH conjugated synthetic peptide derived from human ChRM2 |
| 亚型 | IgG |
| 性状 | Liquid |
| 纯化方法 | affinity purified by Protein A |
| 克隆类型 | Polyclonal |
| 理论分子量 | 52 kDa |
| 浓度 | 1mg/ml |
| 储存液 | 0.01M TBS (pH7.4) with 1% BSA, 0.02% Proclin300 and 50% Glycerol. |
| 研究领域 | Neuroscience > Neurotransmission > Receptors / Channels > GPCR > Acetylcholine Neuroscience > Neurotransmission > Receptors / Channels > GPCR > Muscarinic Receptors |
| 亚基 | Interacts with ARRB1 and ARRB2. Interacts with GNB2L1/RACK1; the interaction regulates CHRM2 internalization. |
| 亚细胞定位 | Cell membrane; Multi-pass membrane protein. Cell junction, synapse, postsynaptic cell membrane; Multi-pass membrane protein. |
| 相似性 | Belongs to the G-protein coupled receptor 1 family. Muscarinic acetylcholine receptor subfamily. CHRM2 sub-subfamily. |
| 功能 | The muscarinic acetylcholine receptor mediates various cellular responses, including inhibition of adenylate cyclase, breakdown of phosphoinositides and modulation of potassium channels through the action of G proteins. Primary transducing effect is adenylate cyclase inhibition. |
| 保存条件 | Shipped at 4℃. Store at -20℃ for one year. Avoid repeated freeze/thaw cycles. |
| 注意事项 | This product as supplied is intended for research use only, not for use in human, therapeutic or diagnostic applications. |
| 背景资料 | The muscarinic cholinergic receptors belong to a larger family of G protein-coupled receptors. The functional diversity of these receptors is defined by the binding of acetylcholine to these receptors and includes cellular responses such as adenylate cyclase inhibition, phosphoinositide degeneration, and potassium channel mediation. Muscarinic receptors influence many effects of acetylcholine in the central and peripheral nervous system. The muscarinic cholinergic receptor 2 is involved in mediation of bradycardia and a decrease in cardiac contractility. Multiple alternatively spliced transcript variants have been described for this gene. [provided by RefSeq, Jul 2008] |
| 应用 | 推荐稀释比例 |
| {WB} | {1:500-2000} |
| {IHC-P} | {1:100-500} |
| {IHC-F} | {1:100-500} |
| {IF} | {1:100-500} |

Brain (Mouse) Lysate at 40 ug
Primary: Anti-ChRM2 (bs-0236R) at 1/300 dilution
Secondary: IRDye800CW Goat Anti-Rabbit IgG at 1/20000 dilution
Predicted band size: 52 kD
Observed band size: 52 kD

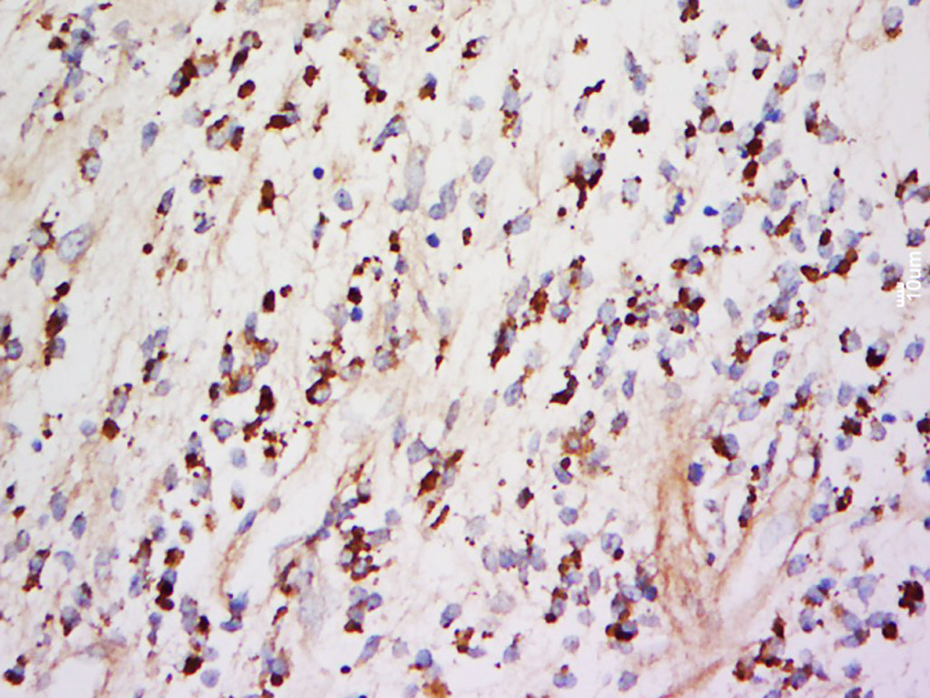
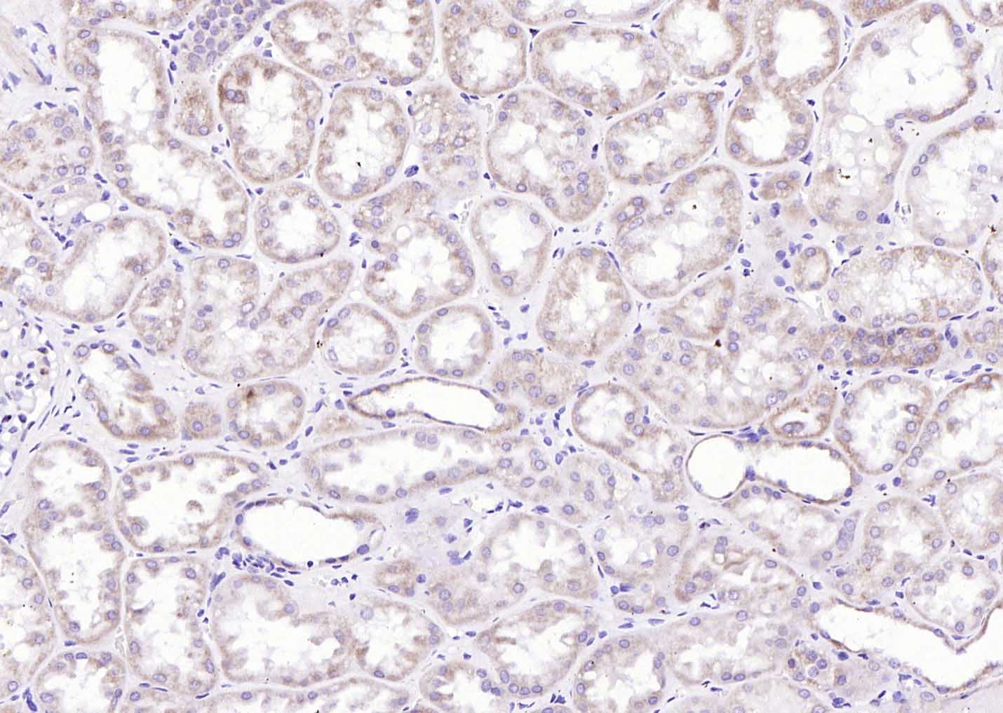
Antigen retrieval: citrate buffer ( 0.01M, pH 6.0 ), Boiling bathing for 15min; Block endogenous peroxidase by 3% Hydrogen peroxide for 30min; Blocking buffer (normal goat serum,C-0005) at 37℃ for 20 min;
Incubation: Anti-ChRM2 Polyclonal Antibody, Unconjugated(bs-0236R) 1:500, overnight at 4°C, followed by conjugation to the secondary antibody(SP-0023) and DAB(C-0010) staining

Lane 1: Mouse Spinal cord tissue lysates
Lane 2: Mouse Heart tissue lysates
Lane 3: Rat Spinal cord tissue lysates
Lane 4: Rat Heart tissue lysates
Primary: Anti- ChRM2 (bs-0236R) at 1/1000 dilution
Secondary: IRDye800CW Goat Anti-Rabbit IgG at 1/20000 dilution
Predicted band size: 52 kDa
Observed band size: 47 kDa

风险提示:丁香通仅作为第三方平台,为商家信息发布提供平台空间。用户咨询产品时请注意保护个人信息及财产安全,合理判断,谨慎选购商品,商家和用户对交易行为负责。对于医疗器械类产品,请先查证核实企业经营资质和医疗器械产品注册证情况。
文献和实验= NAL), appears to form upon oxidative cyclization of the nonfluorescent 2:1 lysine-HNE Michael adduct-Schiff base cross-link (Scheme 1). Polyclonal antibody (PAb) to the NAL-HNE fluorophore was raised in rabbit and found to be highly specific
GE Healthcare Benzamidine Sepharose™ 6B is p-aminobenzamidine covalently attached to Sepharose 6B by the epoxy coupling method. p-Aminobenzamidine (PAB), is a synthetic inhibitor of trypsin-like serine protease. Trypsin and trypsin
Nucleic Acid Programmable Protein Arrays: Versatile Tools for Array‐Based Functional Protein Studies
.g., Sigma) 50 mg/ml bis‐sulfosuccinimdylsuberate (BS3 ;Pierce, cat. no. PI 21580) in dimethylsulfoxide (DMSO) 5 mg/ml
技术资料暂无技术资料 索取技术资料





