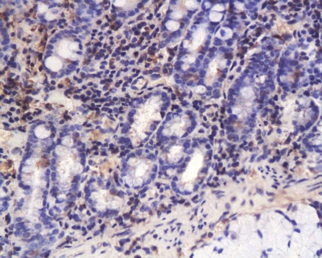
Tissue/cell: pig bile duct; 4% Paraformaldehyde-fixed and paraffin-embedded;
Antigen retrieval: citrate buffer ( 0.01M, pH 6.0 ), Boiling bathing for 15min; Block endogenous peroxidase by 3% Hydrogen peroxide for 30min; Blocking buffer (normal goat serum,C-0005) at 37℃ for 20 min;
Incubation: Anti-TGF-beta-3 Polyclonal Antibody, Unconjugated(bs-0099R) 1:200, overnight at 4°C, followed by conjugation to the secondary antibody(SP-0023) and DAB(C-0010) staining
相关产品推荐更多 >

Anti-human TNFRSF7 / CD27 (Varlilumab Biosimilar)(BIO0006SM)-1mg/5mg/20mg
¥1550
GALNTL5 Rabbit pAb, AP conjugated(bs-16228R-AP)-100ul
¥2980
Di-Methyl-Histone H3 (Lys79) Mouse mAb(bsm-60138M)-50ul/100ul
¥1580
Insulin Receptor alpha Rabbit pAb(bs-0047R)-50ul/100ul/200ul
¥1180
phospho-Bcl-xL (Ser62) Rabbit pAb, Biotin conjugated(bs-1337R-Bio)-100ul
¥2980
万千商家帮你免费找货
0 人在求购买到急需产品
- 详细信息
- 技术资料
- 应用范围:
产品信息以Bioss网站为准
- 规格:
50ul/100ul/200ul
| 规格: | 50ul | 产品价格: | ¥1180.0 |
|---|---|---|---|
| 规格: | 100ul | 产品价格: | ¥1980.0 |
| 规格: | 200ul | 产品价格: | ¥2800.0 |
| 产品编号 | bs-0099R |
| 英文名称 | TGF beta 3 propeptide Rabbit pAb |
| 中文名称 | 转移生长因子β3抗体(TGFβ3) |
| 英文别名 | Transforming growth factor beta-3 proprotein; TGFB3; ARVD; FLJ16571; MGC105479; MGC118722; TGF beta 3; TGF beta3; TGF-beta-3; TGF-beta 3; TGFB 3; Transforming growth factor beta-3; TGFB3_HUMAN. |
| 产品应用 | WB=1:500-2000, IHC-P=1:100-500, IHC-F=1:100-500, IF=1:100-500, Flow-Cyt=1ug/Test Not yet tested in other applications. |
| 交叉反应 | Human, Mouse, Rat, Pig (Dog, Rabbit) |
| 抗体来源 | Rabbit |
| 免疫原 | KLH conjugated synthetic peptide derived from human TGF-beta 3 |
| 亚型 | IgG |
| 性状 | Liquid |
| 纯化方法 | affinity purified by Protein A |
| 克隆类型 | Polyclonal |
| 理论分子量 | 30/47 kDa |
| 浓度 | 1mg/ml |
| 储存液 | 0.01M TBS (pH7.4) with 1% BSA, 0.02% Proclin300 and 50% Glycerol. |
| 亚基 | Homodimer; disulfide-linked. Interacts with ASPN. |
| 亚细胞定位 | Secreted. |
| 相似性 | Belongs to the TGF-beta family. |
| 功能 | Involved in embryogenesis and cell differentiation. |
| 保存条件 | Shipped at 4℃. Store at -20℃ for one year. Avoid repeated freeze/thaw cycles. |
| 注意事项 | This product as supplied is intended for research use only, not for use in human, therapeutic or diagnostic applications. |
| 背景资料 | Transforming growth factor beta 3(TGF β3) is one of three closely related mammalian members of the large TGF β superfamily, TGF-β1, β2, and β3, signal through the same receptor and elicit similar biological responses. The mammalian TGF-β3 controls a vast array of biological processes including immune regulation, cell proliferation, epithelial-mesenchymal transition, and the bone formation. It is generally recognized to facilitate chondrogenic differentiation of precursor cells. It may also have a dose-dependent inhibitory effect on osteogenesis. Recombinant Human TGF-β3 is a 25.0 kDa protein composed of two identical 112 amino acid polypeptide chains linked by a single disulfide bond. |
| 应用 | 推荐稀释比例 |
| {WB} | {1:500-2000} |
| {IHC-P} | {1:100-500} |
| {IHC-F} | {1:100-500} |
| {IF} | {1:100-500} |
| {Flow-Cyt} | {1ug/Test} |


Blank control: SHSY5Y.
Primary Antibody (green line): Rabbit Anti-TGF beta 3 propeptide antibody (bs-0099R)
Dilution: 1ug/Test;
Secondary Antibody : Goat anti-rabbit IgG-FITC
Dilution: 0.5ug/Test.
Protocol
The cells were fixed with 4% PFA (10min at room temperature)and then permeabilized with 90% ice-cold methanol for 20 min at -20℃.The cells were then incubated in 5%BSA to block non-specific protein-protein interactions for 30 min at room temperature .Cells stained with Primary Antibody for 30 min at room temperature. The secondary antibody used for 40 min at room temperature. Acquisition of 20,000 events was performed.
Primary Antibody (green line): Rabbit Anti-TGF beta 3 propeptide antibody (bs-0099R)
Dilution: 1ug/Test;
Secondary Antibody : Goat anti-rabbit IgG-FITC
Dilution: 0.5ug/Test.
Protocol
The cells were fixed with 4% PFA (10min at room temperature)and then permeabilized with 90% ice-cold methanol for 20 min at -20℃.The cells were then incubated in 5%BSA to block non-specific protein-protein interactions for 30 min at room temperature .Cells stained with Primary Antibody for 30 min at room temperature. The secondary antibody used for 40 min at room temperature. Acquisition of 20,000 events was performed.

Sample:
Lane 1: Mouse Prostate tissue lysates
Lane 2: Mouse Placenta tissue lysates
Lane 3: Rat Prostate tissue lysates
Lane 4: Rat Placenta tissue lysates
Lane 5: Human HepG2 cell lysates
Lane 6: Human MCF-7 cell lysates
Lane 7: Human SH-SY5Y cell lysates
Primary: Anti-TGF beta 3 propeptide (bs-0099R) at 1/1000 dilution
Secondary: IRDye800CW Goat Anti-Rabbit IgG at 1/20000 dilution
Predicted band size: 30/47 kDa
Observed band size: 47 kDa
Lane 1: Mouse Prostate tissue lysates
Lane 2: Mouse Placenta tissue lysates
Lane 3: Rat Prostate tissue lysates
Lane 4: Rat Placenta tissue lysates
Lane 5: Human HepG2 cell lysates
Lane 6: Human MCF-7 cell lysates
Lane 7: Human SH-SY5Y cell lysates
Primary: Anti-TGF beta 3 propeptide (bs-0099R) at 1/1000 dilution
Secondary: IRDye800CW Goat Anti-Rabbit IgG at 1/20000 dilution
Predicted band size: 30/47 kDa
Observed band size: 47 kDa
风险提示:丁香通仅作为第三方平台,为商家信息发布提供平台空间。用户咨询产品时请注意保护个人信息及财产安全,合理判断,谨慎选购商品,商家和用户对交易行为负责。对于医疗器械类产品,请先查证核实企业经营资质和医疗器械产品注册证情况。
技术资料暂无技术资料 索取技术资料
TGF beta 3 propeptide Rabbit pAb(bs-0099R)-50ul/100ul/200ul
¥1180 - 2800





