相关产品推荐更多 >

human CD19 Mouse mAb, APC conjugated(bsm-30096M-APC)-50T/25T/100T
¥1080
PAI1 Rabbit pAb, BF405 conjugated(bs-6562R-BF405)-100ul
¥2980
RSPO4 Rabbit pAb(bs-18878R)-50ul/100ul/200ul
¥1180
LRFN4 Rabbit pAb, Cy5.5 conjugated(bs-11089R-Cy5.5)-100ul
¥2980
Cytosine deaminase Rabbit pAb(bs-2950R)-50ul/100ul/200ul
¥1180
万千商家帮你免费找货
0 人在求购买到急需产品
- 详细信息
- 询价记录
- 文献和实验
- 技术资料
- 应用范围:
产品信息以Bioss网站为准
- 规格:
50ul/100ul/200ul
| 规格: | 50ul | 产品价格: | ¥1180.0 |
|---|---|---|---|
| 规格: | 100ul | 产品价格: | ¥1980.0 |
| 规格: | 200ul | 产品价格: | ¥2800.0 |
| 产品编号 | bs-0593R |
| 英文名称 | EpCAM Rabbit pAb |
| 中文名称 | 上皮特异性抗原(CD326)抗体 |
| 英文别名 | Epithelial Specific Antigen; ESA; epithelial cell adhesion molecule; Tumor-associated calcium signal transducer 1EPCAM; EGP; KSA; M4S1; MH99; MK-1; 17-1A; CD326; EGP-2; EGP34; EGP40; KS1/4; MIC18; MOC31; TROP1; 323/A3; CO-17A; Ep-CAM; HEA125; hEGP-2; CO17-1A; GA733-2; TACST-1; TACSTD1; ESA; KSA; M4S1; MK-1; DIAR5; TROP1; EGP314; HNPCC8; EPCAM_HUMAN. |
| 产品应用 | IHC-P=1:100-500, IHC-F=1:100-500, IF=1:100-500 Not yet tested in other applications. |
| 交叉反应 | Human, Mouse (Rat, Dog, Pig, Cow, Rabbit) |
| 抗体来源 | Rabbit |
| 免疫原 | KLH conjugated synthetic peptide derived from human EpCAM |
| 亚型 | IgG |
| 性状 | Liquid |
| 纯化方法 | affinity purified by Protein A |
| 克隆类型 | Polyclonal |
| 理论分子量 | 35 kDa |
| 实际分子量 | 40 kDa |
| 浓度 | 1mg/ml |
| 储存液 | 0.01M TBS (pH7.4) with 1% BSA, 0.02% Proclin300 and 50% Glycerol. |
| 研究领域 | Tags & Cell Markers > Cell Type Markers > Epi / Endo-thelial Tags & Cell Markers > Cell Type Markers > Tumor Associated |
| 亚基 | Monomer. Interacts with phosphorylated CLDN7. |
| 亚细胞定位 | Lateral cell membrane; Single-pass type I membrane protein. Cell junction, tight junction. Note=Co-localizes with CLDN7 at the lateral cell membrane and tight junction. |
| 组织特异性 | Highly and selectively expressed by undifferentiated rather than differentiated embryonic stem cells (ESC). Levels rapidly diminish as soon as ESC's differentiate (at protein levels). Expressed in almost all epithelial cell membranes but not on mesodermal or neural cell membranes. Found on the surface of adenocarcinoma. |
| 翻译后修饰 | Hyperglycosylated in carcinoma tissue as compared with autologous normal epithelia. Glycosylation at Asn-198 is crucial for protein stability. |
| 相似性 | Belongs to the EPCAM family. Contains 1 thyroglobulin type-1 domain. |
| 功能 | May act as a physical homophilic interaction molecule between intestinal epithelial cells (IECs) and intraepithelial lymphocytes (IELs) at the mucosal epithelium for providing immunological barrier as a first line of defense against mucosal infection. Plays a role in embryonic stem cells proliferation and differentiation. Up-regulates the expression of FABP5, MYC and cyclins A and E. |
| 保存条件 | Shipped at 4℃. Store at -20℃ for one year. Avoid repeated freeze/thaw cycles. |
| 注意事项 | This product as supplied is intended for research use only, not for use in human, therapeutic or diagnostic applications. |
| 背景资料 | This gene encodes a carcinoma-associated antigen and is a member of a family that includes at least two type I membrane proteins. This antigen is expressed on most normal epithelial cells and gastrointestinal carcinomas and functions as a homotypic calcium-independent cell adhesion molecule. The antigen is being used as a target for immunotherapy treatment of human carcinomas. Mutations in this gene result in congenital tufting enteropathy. [provided by RefSeq, Dec 2008] |
| 应用 | 推荐稀释比例 |
| {IHC-P} | {1:100-500} |
| {IHC-F} | {1:100-500} |
| {IF} | {1:100-500} |

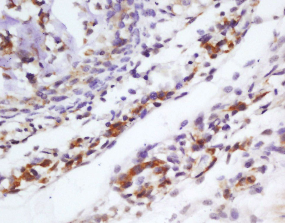
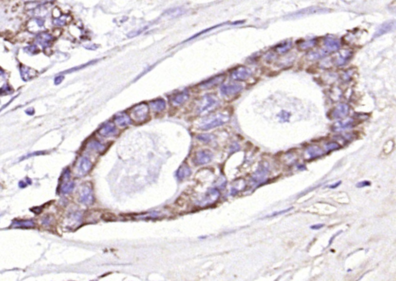
Antigen retrieval: citrate buffer ( 0.01M, pH 6.0 ), Boiling bathing for 15min; Blocking buffer (normal goat serum,C-0005) at 37℃ for 20 min;
Incubation: Anti-EpCAM Polyclonal Antibody, Unconjugated(bs-0593R) 1:200, overnight at 4°C; The secondary antibody was Goat Anti-Rabbit IgG, Cy3 conjugated(bs-0295G-Cy3)used at 1:200 dilution for 40 minutes at 37°C. DAPI(5ug/ml,blue,C-0033) was used to stain the cell nuclei

Antigen retrieval: citrate buffer ( 0.01M, pH 6.0 ), Boiling bathing for 15min; Block endogenous peroxidase by 3% Hydrogen peroxide for 30min; Blocking buffer (normal goat serum,C-0005) at 37℃ for 20 min;
Incubation: Anti-EpCAM Polyclonal Antibody, Unconjugated(bs-0593R) 1:200, overnight at 4°C, followed by conjugation to the secondary antibody(SP-0023) and DAB(C-0010) staining


风险提示:丁香通仅作为第三方平台,为商家信息发布提供平台空间。用户咨询产品时请注意保护个人信息及财产安全,合理判断,谨慎选购商品,商家和用户对交易行为负责。对于医疗器械类产品,请先查证核实企业经营资质和医疗器械产品注册证情况。
- 作者
- 内容
- 询问日期
文献和实验[IF={{ 9.518 }}] {Fan Y et al. High-sensitive and multiplex biosensing assay of NSCLC-derived exosomes via different recognition sites based on SPRi array. Biosens Bioelectron. 2020 Apr 15;154:112066.} {WB,Other} {Human}
[IF={{ 4.35 }}] {Xiuxiu Wang. et al. Evaluation of the Effects of Different Dietary Patterns on Breast Cancer: Monitoring Circulating Tumor Cells. Foods. 2021 Sep;10(9):2223} {IF} {mouse}
[IF={{ 4.3 }}] {Angelo Massaro. et al. Fibroblasts modulate epithelial cell behavior within the proliferative niche and differentiated cell zone within a human colonic crypt model. FRONT BIOENG BIOTECH. 2024 Dec;12:} {IF} {Human}
[IF={{ 3.532 }}] {Zengwei Chen. et al. Quantitative analysis of multiple breast cancer biomarkers using DNA-PAINT. ANAL METHODS-UK. 2022 Aug;:} {IF} {Human}
[IF={{ 2.8 }}] {Rahman Md. Mizanur. et al. CTC together with Shh and Nrf2 are prospective diagnostic markers for HNSCC. BMC MOL CELL BIOL. 2024 Dec;25(1):1-17} {Other} {Human}
= NAL), appears to form upon oxidative cyclization of the nonfluorescent 2:1 lysine-HNE Michael adduct-Schiff base cross-link (Scheme 1). Polyclonal antibody (PAb) to the NAL-HNE fluorophore was raised in rabbit and found to be highly specific
GE Healthcare Benzamidine Sepharose™ 6B is p-aminobenzamidine covalently attached to Sepharose 6B by the epoxy coupling method. p-Aminobenzamidine (PAB), is a synthetic inhibitor of trypsin-like serine protease. Trypsin and trypsin
Nucleic Acid Programmable Protein Arrays: Versatile Tools for Array‐Based Functional Protein Studies
.g., Sigma) 50 mg/ml bis‐sulfosuccinimdylsuberate (BS3 ;Pierce, cat. no. PI 21580) in dimethylsulfoxide (DMSO) 5 mg/ml
技术资料暂无技术资料 索取技术资料





