相关产品推荐更多 >

phospho-Smad2 (Ser467) Rabbit pAb, FITC conjugated(bs-19438R-FITC)-100ul
¥2980
TACC2 Rabbit pAb, Biotin conjugated(bs-5736R-Bio)-100ul
¥2980
FAAP24 Rabbit pAb(bs-14679R)-50ul/100ul/200ul
¥1180
SOX2 Rabbit pAb, AP conjugated(bs-23177R-AP)-100ul
¥2980
RSL1D1 Rabbit pAb, AP conjugated(bs-22952R-AP)-100ul
¥2980
万千商家帮你免费找货
0 人在求购买到急需产品
- 详细信息
- 文献和实验
- 技术资料
- 应用范围:
产品信息以Bioss网站为准
- 规格:
50ul/100ul/200ul
| 规格: | 50ul | 产品价格: | ¥1180.0 |
|---|---|---|---|
| 规格: | 100ul | 产品价格: | ¥1980.0 |
| 规格: | 200ul | 产品价格: | ¥2800.0 |
| 产品编号 | bs-1449R |
| 英文名称 | Prohibitin Rabbit pAb |
| 中文名称 | 阻抑素/肿瘤抑制因子抗体 |
| 英文别名 | Mitochondrial Marker; PHB; PHB1; Prohibitin-Mitochondrial Marker; PHB_HUMAN. |
| 产品应用 | WB=1:500-2000, IHC-P=1:100-500, IHC-F=1:100-500, ICC/IF=1:100-500, IF=1:100-500, Flow-Cyt=2ug/test Not yet tested in other applications. |
| 交叉反应 | Human, Mouse, Rat (Dog, Horse) |
| 抗体来源 | Rabbit |
| 免疫原 | KLH conjugated synthetic peptide derived from human Prohibitin |
| 亚型 | IgG |
| 性状 | Liquid |
| 纯化方法 | affinity purified by Protein A |
| 克隆类型 | Polyclonal |
| 理论分子量 | 30 kDa |
| 浓度 | 1mg/ml |
| 储存液 | 0.01M TBS (pH7.4) with 1% BSA, 0.02% Proclin300 and 50% Glycerol. |
| 研究领域 | Cancer > Cell Death > Apoptosis > Metabolism Cancer > Cell Death > Apoptosis > Mitochondrial Cell Biology > Apoptosis > Mitochondrial Cell Biology > Cell Cycle > Cell Cycle Inhibitors Epigenetics and Nuclear Signaling > Transcription > Co-factors Epigenetics and Nuclear Signaling > Transcription > Other factors Metabolism > Pathways and Processes > Metabolism processes > Apoptosis Metabolism > Pathways and Processes > Mitochondrial Metabolism > Mitochondrial markers Tags & Cell Markers > Subcellular Markers > Organelles > Mitochondria |
| 亚基 | Interacts with PHB2. Interacts with STOML2. |
| 亚细胞定位 | Mitochondrion inner membrane. |
| 组织特异性 | Widely expressed in different tissues. |
| 相似性 | Belongs to the prohibitin family. |
| 功能 | Prohibitin inhibits DNA synthesis. It has a role in regulating proliferation. As yet it is unclear if the protein or the mRNA exhibits this effect. May play a role in regulating mitochondrial respiration activity and in aging. |
| 保存条件 | Shipped at 4℃. Store at -20℃ for one year. Avoid repeated freeze/thaw cycles. |
| 注意事项 | This product as supplied is intended for research use only, not for use in human, therapeutic or diagnostic applications. |
| 背景资料 | This gene is evolutionarily conserved, and its product is proposed to play a role in human cellular senescence and tumor suppression. Antiproliferative activity is reported to be localized to the 3' UTR, which is proposed to function as a trans-acting regulatory RNA. Several pseudogenes of this gene have been identified. Alternative splicing results in multiple transcript variants. [provided by RefSeq, Jul 2013] |
| 应用 | 推荐稀释比例 |
| {WB} | {1:500-2000} |
| {IHC-P} | {1:100-500} |
| {IHC-F} | {1:100-500} |
| {ICC/IF} | {1:100-500} |
| {IF} | {1:100-500} |
| {Flow-Cyt} | {2ug/test} |


A431(Human) Cell Lysate at 40 ug
Primary: Anti-Prohibitin (bs-1449R) at 1/300 dilution
Secondary: IRDye800CW Goat Anti-Rabbit IgG at 1/20000 dilution
Predicted band size: 30 kD
Observed band size: 30 kD

Heart(Mouse) Lysate at 40 ug
Primary: Anti-Prohibitin (bs-1449R) at 1/300 dilution
Secondary: IRDye800CW Goat Anti-Rabbit IgG at 1/20000 dilution
Predicted band size: 30 kD
Observed band size: 30 kD

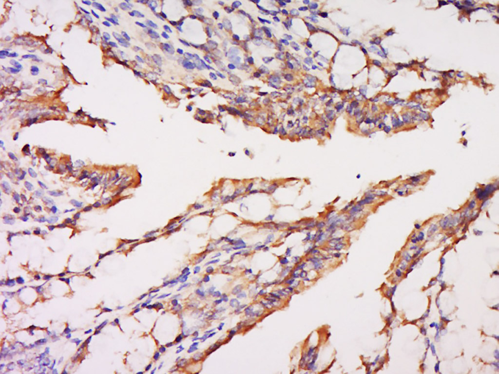
Antigen retrieval: citrate buffer ( 0.01M, pH 6.0 ), Boiling bathing for 15min; Block endogenous peroxidase by 3% Hydrogen peroxide for 30min; Blocking buffer (normal goat serum,C-0005) at 37℃ for 20 min;
Incubation: Anti-Prohibitin Polyclonal Antibody, Unconjugated(bs-1449R) 1:500, overnight at 4°C, followed by conjugation to the secondary antibody(SP-0023) and DAB(C-0010) staining

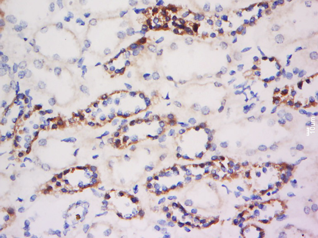
Antigen retrieval: citrate buffer ( 0.01M, pH 6.0 ), Boiling bathing for 15min; Block endogenous peroxidase by 3% Hydrogen peroxide for 30min; Blocking buffer (normal goat serum,C-0005) at 37℃ for 20 min;
Incubation: Anti-Prohibitin Polyclonal Antibody, Unconjugated(bs-1449R) 1:500, overnight at 4°C, followed by conjugation to the secondary antibody(SP-0023) and DAB(C-0010) staining
风险提示:丁香通仅作为第三方平台,为商家信息发布提供平台空间。用户咨询产品时请注意保护个人信息及财产安全,合理判断,谨慎选购商品,商家和用户对交易行为负责。对于医疗器械类产品,请先查证核实企业经营资质和医疗器械产品注册证情况。
文献和实验[IF={{ 5.23 }}] {Wang, Jinzi, et al. "Comparative Secretome Analysis Reveals Perturbation of Host Secretion Pathways by a Hypovirus." Scientific Reports 6 (2016): 34308.} {WB} {="Other Species"}
[IF={{ 2.08 }}] {Xing, Wen Min, et al. "Proteomic identification of mitochondrial targets involved in andrographolide sodium bisulfite-induced nephrotoxicity in a rat model."Environmental Toxicology and Pharmacology (2015).} {WB} {="Rat"}
= NAL), appears to form upon oxidative cyclization of the nonfluorescent 2:1 lysine-HNE Michael adduct-Schiff base cross-link (Scheme 1). Polyclonal antibody (PAb) to the NAL-HNE fluorophore was raised in rabbit and found to be highly specific
GE Healthcare Benzamidine Sepharose™ 6B is p-aminobenzamidine covalently attached to Sepharose 6B by the epoxy coupling method. p-Aminobenzamidine (PAB), is a synthetic inhibitor of trypsin-like serine protease. Trypsin and trypsin
Nucleic Acid Programmable Protein Arrays: Versatile Tools for Array‐Based Functional Protein Studies
.g., Sigma) 50 mg/ml bis‐sulfosuccinimdylsuberate (BS3 ;Pierce, cat. no. PI 21580) in dimethylsulfoxide (DMSO) 5 mg/ml
技术资料暂无技术资料 索取技术资料





