相关产品推荐更多 >

IGFBP9 Rabbit pAb(bs-6059R)-50ul/100ul/200ul
¥1180
CDKN2B/p15 INK4b Rabbit pAb, Biotin conjugated(bs-4269R-Bio)-100ul
¥2980
5HT3B Receptor Rabbit pAb, PerCP-Cy7 conjugated(bs-4289R-PerCP-Cy7)-100ul
¥2980
IL-20R alpha Rabbit pAb(bs-41354R)-50ul/100ul/200ul
¥1180
DOCK1 Rabbit pAb, HRP conjugated(bs-7110R-HRP)-100ul
¥2980
万千商家帮你免费找货
0 人在求购买到急需产品
- 详细信息
- 询价记录
- 文献和实验
- 技术资料
- 应用范围:
产品信息以Bioss网站为准
- 规格:
50ul/100ul/200ul
| 规格: | 50ul | 产品价格: | ¥1180.0 |
|---|---|---|---|
| 规格: | 100ul | 产品价格: | ¥1980.0 |
| 规格: | 200ul | 产品价格: | ¥2800.0 |
| 产品编号 | bs-0516R |
| 英文名称 | RARB Rabbit pAb |
| 中文名称 | 维甲酸受体β抗体 |
| 英文别名 | Retinoic acid R-beta; HAP; HBV activated protein; HBV-activated protein; Hepatitis B virus activated protein; NR1B2; Nuclear receptor subfamily 1 group B member 2; RAR B; RAR beta; RAR epsilon; Retinoic acid receptor beta 2; Retinoic acid receptor beta 4; Retinoic acid receptor beta 5; Retinoic acid receptor beta; Retinoic acid receptor beta polypeptide; RRB 2; RARB_HUMAN; RRB2. |
| 产品应用 | WB=1:500-2000, IHC-P=1:100-500, IHC-F=1:100-500, ICC/IF=1:100-500, IF=1:100-500, Flow-Cyt=1ug/Test Not yet tested in other applications. |
| 交叉反应 | Human, Mouse (Rat, Chicken, Dog, Pig, Cow) |
| 抗体来源 | Rabbit |
| 免疫原 | KLH conjugated synthetic peptide derived from human RARB |
| 亚型 | IgG |
| 性状 | Liquid |
| 纯化方法 | affinity purified by Protein A |
| 克隆类型 | Polyclonal |
| 理论分子量 | 50 kDa |
| 浓度 | 1mg/ml |
| 储存液 | 0.01M TBS (pH7.4) with 1% BSA, 0.02% Proclin300 and 50% Glycerol. |
| 研究领域 | Cancer > Signal transduction > Nuclear signaling > Nuclear hormone receptors > Retanoic and retanoid Epigenetics and Nuclear Signaling > Nuclear Signaling Pathways > Nuclear Receptors > Retinoic & Retinoid Epigenetics and Nuclear Signaling > Transcription > Domain Families > Zinc Finger Signal Transduction > Signaling Pathway > Nuclear Signaling > Nuclear Hormone Receptors > Retinoic & Retinoid |
| 亚基 | Homodimer (By similarity). Heterodimer; with a RXR molecule. Binds DNA preferentially as a RAR/RXR heterodimer (By similarity). Interacts weakly with NCOR2. |
| 亚细胞定位 | Isoform Beta-1: Nucleus. Isoform Beta-2: Nucleus. Isoform Beta-4: Cytoplasm. |
| 相似性 | Belongs to the nuclear hormone receptor family. NR1 subfamily. Contains 1 nuclear receptor DNA-binding domain. |
| 功能 | Receptor for retinoic acid. Retinoic acid receptors bind as heterodimers to their target response elements in response to their ligands, all-trans or 9-cis retinoic acid, and regulate gene expression in various biological processes. The RXR/RAR heterodimers bind to the retinoic acid response elements (RARE) composed of tandem 5'-AGGTCA-3' sites known as DR1-DR5. In the absence or presence of hormone ligand, acts mainly as an activator of gene expression due to weak binding to corepressors. In concert with RARG, required for skeletal growth, matrix homeostasis and growth plate function. |
| 保存条件 | Shipped at 4℃. Store at -20℃ for one year. Avoid repeated freeze/thaw cycles. |
| 注意事项 | This product as supplied is intended for research use only, not for use in human, therapeutic or diagnostic applications. |
| 背景资料 | Retinoids are metabolites of vitamin A (retinal) and are believed to represent important signaling molecules during vertebrate development and tissue differentiation. Two families of retinoid receptors have been identified. Retinoic acid receptors (RARs) include RAR alpha, RAR Beta and RAR gamma, each of which has a high affinity for all trans retinoic acids and belongs to the same class of nuclear transcription factors as thyroid hormone receptors, vitamin D3 receptor and ecdysone receptor. The ligand binding domains of the RARs are highly conserved and RAR isoforms are expressed in distinct patterns throughout development and in the mature organism. Members of the retinoid X receptor (RXR) family, RXR alpha, RXR Beta and RXR gamma, are activated by 9 cis retinoic acid, a stereo and photoisomer of all trans RA that is expressed in vivo in both liver and kidney and may represent a widely used hormone. |
| 应用 | 推荐稀释比例 |
| {WB} | {1:500-2000} |
| {IHC-P} | {1:100-500} |
| {IHC-F} | {1:100-500} |
| {ICC/IF} | {1:100-500} |
| {IF} | {1:100-500} |
| {Flow-Cyt} | {1ug/Test} |


Heart (Mouse) Lysate at 40 ug
Primary: Anti-RAR Beta (bs-0516R) at 1/500 dilution
Secondary: IRDye800CW Goat Anti-Rabbit IgG at 1/20000 dilution
Predicted band size: 50 kD
Observed band size: 50 kD

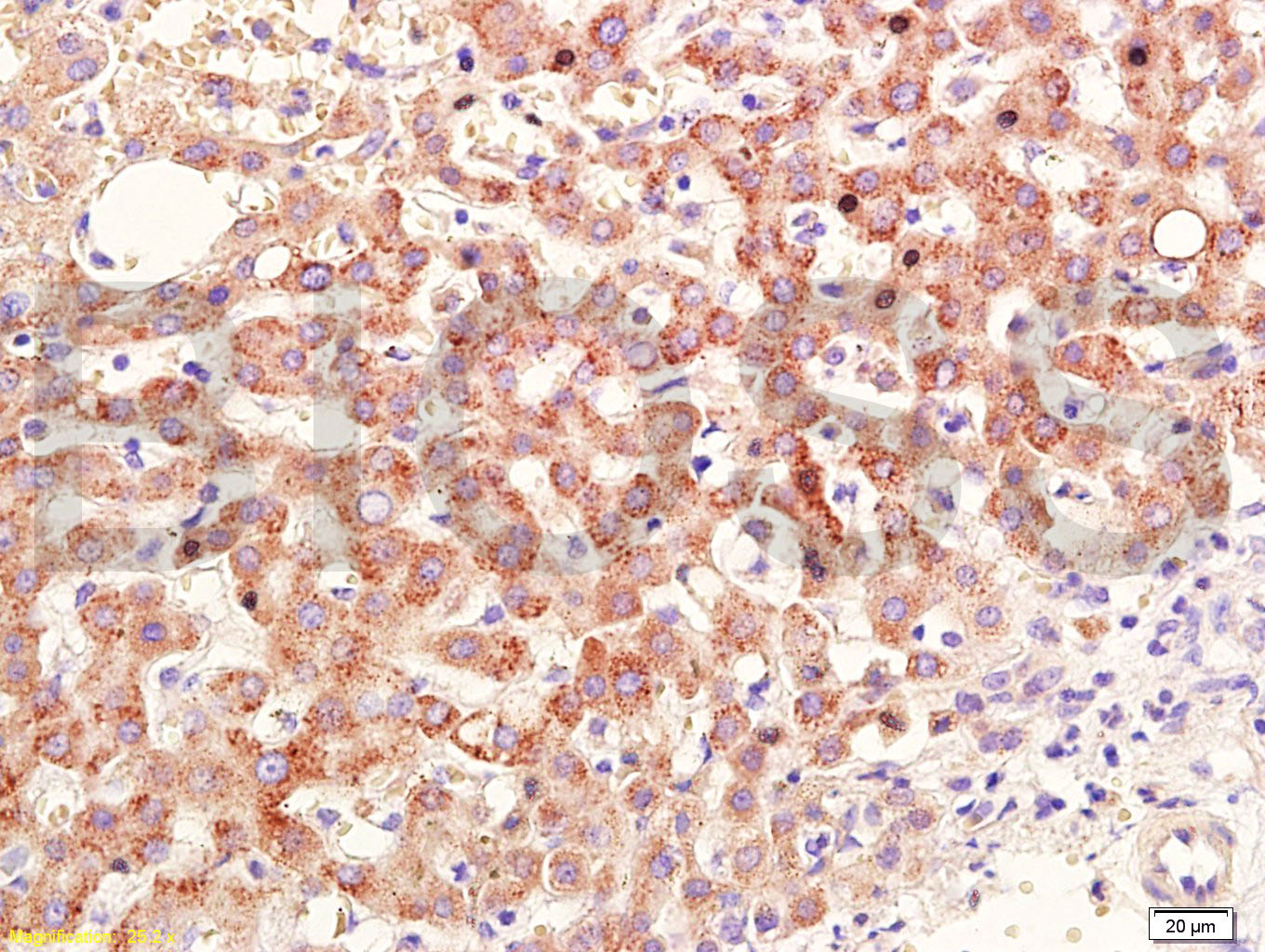
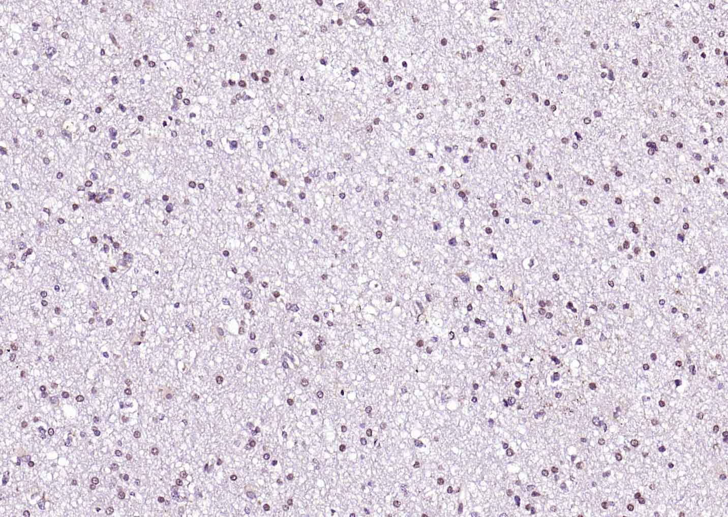
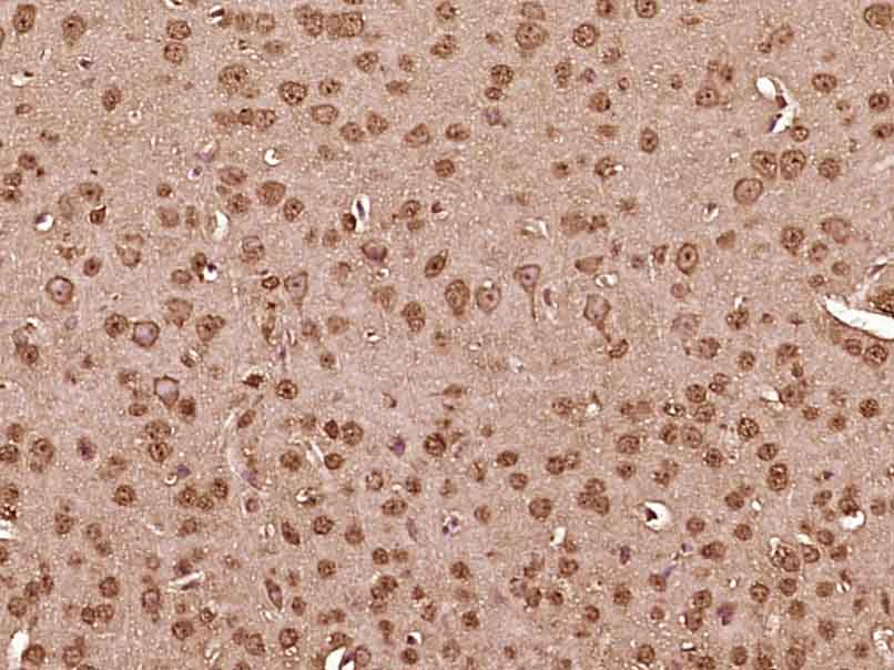
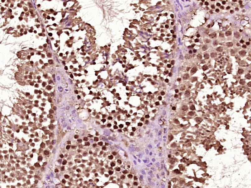
Antigen retrieval: citrate buffer ( 0.01M, pH 6.0 ), Boiling bathing for 15min; Block endogenous peroxidase by 3% Hydrogen peroxide for 30min; Blocking buffer (normal goat serum,C-0005) at 37℃ for 20 min;
Incubation: Anti-RAR Beta Polyclonal Antibody, Unconjugated(bs-0516) 1:400, overnight at 4°C, followed by conjugation to the secondary antibody(SP-0023) and DAB(C-0010) staining

Primary Antibody (green line): Rabbit Anti-RAR Beta antibody (bs-0516R)
Dilution: 1ug/Test;
Secondary Antibody : Goat anti-rabbit IgG-FITC
Dilution: 0.5ug/Test.
Protocol
The cells were fixed with 4% PFA (10min at room temperature)and then permeabilized with 90% ice-cold methanol for 20 min at -20℃.The cells were then incubated in 5%BSA to block non-specific protein-protein interactions for 30 min at room temperature .Cells stained with Primary Antibody for 30 min at room temperature. The secondary antibody used for 40 min at room temperature. Acquisition of 20,000 events was performed.






Cerebrum (Mouse) Lysate at 40 ug
Primary: Anti-RAR Beta (bs-0516R) at 1/1000 dilution
Secondary: IRDye800CW Goat Anti-Rabbit IgG at 1/20000 dilution
Predicted band size: 50 kD
Observed band size: 50 kD

Lane 1: Mouse Eye tissue lysates
Lane 2: Mouse Cerebrum tissue lysates
Primary: Anti- RAR Beta (bs-0516R) at 1/1000 dilution
Secondary: IRDye800CW Goat Anti- Rabbit IgG at 1/20000 dilution
Predicted band size: 50 kDa
Observed band size: 50 kDa
风险提示:丁香通仅作为第三方平台,为商家信息发布提供平台空间。用户咨询产品时请注意保护个人信息及财产安全,合理判断,谨慎选购商品,商家和用户对交易行为负责。对于医疗器械类产品,请先查证核实企业经营资质和医疗器械产品注册证情况。
- 作者
- 内容
- 询问日期
文献和实验= NAL), appears to form upon oxidative cyclization of the nonfluorescent 2:1 lysine-HNE Michael adduct-Schiff base cross-link (Scheme 1). Polyclonal antibody (PAb) to the NAL-HNE fluorophore was raised in rabbit and found to be highly specific
GE Healthcare Benzamidine Sepharose™ 6B is p-aminobenzamidine covalently attached to Sepharose 6B by the epoxy coupling method. p-Aminobenzamidine (PAB), is a synthetic inhibitor of trypsin-like serine protease. Trypsin and trypsin
Nucleic Acid Programmable Protein Arrays: Versatile Tools for Array‐Based Functional Protein Studies
.g., Sigma) 50 mg/ml bis‐sulfosuccinimdylsuberate (BS3 ;Pierce, cat. no. PI 21580) in dimethylsulfoxide (DMSO) 5 mg/ml
技术资料暂无技术资料 索取技术资料






