相关产品推荐更多 >
万千商家帮你免费找货
0 人在求购买到急需产品
- 详细信息
- 文献和实验
- 技术资料
- 应用范围:
产品信息以Bioss网站为准
- 规格:
50ul/100ul/200ul
| 规格: | 50ul | 产品价格: | ¥1180.0 |
|---|---|---|---|
| 规格: | 100ul | 产品价格: | ¥1980.0 |
| 规格: | 200ul | 产品价格: | ¥2800.0 |
| 产品编号 | bs-1927R |
| 英文名称 | PLAUR Rabbit pAb |
| 中文名称 | 尿激酶型纤溶酶原激活因子受体(CD87)抗体 |
| 英文别名 | Plasminogen activator, urokinase receptor; Urokinase plasminogen activator surface receptor; Monocyte activation antigen Mo3; U-PAR; U PAR; UPAR; MO3; MO 3; CD 87; CD87; Monocyte activation antigen Mo3; u plasminogen activator receptor; UPA receptor; Urinary plasminogen activator receptor; URKR; Urokinase plasminogen activator receptor; |
| 产品应用 | WB=1:500-2000, IHC-P=1:100-500, IHC-F=1:100-500, IF=1:100-500 Not yet tested in other applications. |
| 交叉反应 | Mouse, Rat (Human, Dog, Cow, Sheep) |
| 抗体来源 | Rabbit |
| 免疫原 | KLH conjugated synthetic peptide derived from human PLAUR |
| 亚型 | IgG |
| 性状 | Liquid |
| 纯化方法 | affinity purified by Protein A |
| 克隆类型 | Polyclonal |
| 理论分子量 | 31 kDa |
| 浓度 | 1mg/ml |
| 储存液 | 0.01M TBS (pH7.4) with 1% BSA, 0.02% Proclin300 and 50% Glycerol. |
| 亚细胞定位 | Isoform 1: Cell membrane; Lipid-anchor, GPI-anchor. Isoform 2: Secreted (Probable). |
| 组织特异性 | Expressed in neurons of the rolandic area of the brain (at protein level). Expressed in the brain. |
| 相似性 | Contains 3 UPAR/Ly6 domains. |
| 功能 | Acts as a receptor for urokinase plasminogen activator. Plays a role in localizing and promoting plasmin formation. Mediates the proteolysis-independent signal transduction activation effects of U-PA. It is subject to negative-feedback regulation by U-PA which cleaves it into an inactive form. |
| 保存条件 | Shipped at 4℃. Store at -20℃ for one year. Avoid repeated freeze/thaw cycles. |
| 注意事项 | This product as supplied is intended for research use only, not for use in human, therapeutic or diagnostic applications. |
| 背景资料 | This gene encodes the receptor for urokinase plasminogen activator and, given its role in localizing and promoting plasmin formation, likely influences many normal and pathological processes related to cell-surface plasminogen activation and localized degradation of the extracellular matrix. It binds both the proprotein and mature forms of urokinase plasminogen activator and permits the activation of the receptor-bound pro-enzyme by plasmin. The protein lacks transmembrane or cytoplasmic domains and may be anchored to the plasma membrane by a glycosyl-phosphatidylinositol(GPI) moiety following cleavage of the nascent polypeptide near its carboxy-terminus. However, a soluble protein is also produced in some cell types. Alternative splicing results in multiple transcript variants encoding different isoforms. The proprotein experiences several post-translational cleavage reactions that have not yet been fully defined. [provided by RefSeq]. |
| 应用 | 推荐稀释比例 |
| {WB} | {1:500-2000} |
| {IHC-P} | {1:100-500} |
| {IHC-F} | {1:100-500} |
| {IF} | {1:100-500} |

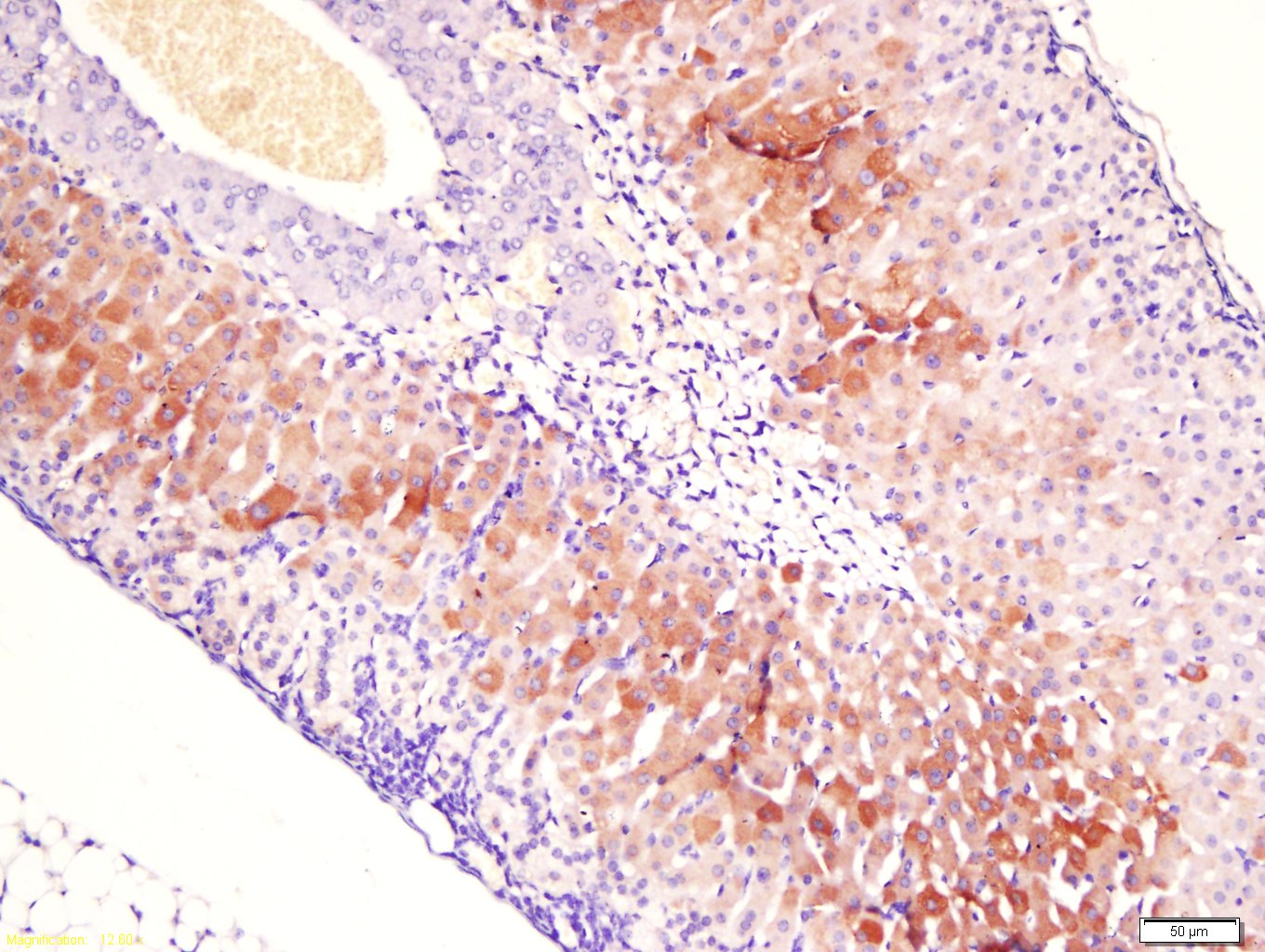
Antigen retrieval: citrate buffer ( 0.01M, pH 6.0 ), Boiling bathing for 15min; Block endogenous peroxidase by 3% Hydrogen peroxide for 30min; Blocking buffer (normal goat serum,C-0005) at 37℃ for 20 min;
Incubation: Anti-uPA Receptor Polyclonal Antibody, Unconjugated(bs-1927R) 1:500, overnight at 4°C, followed by conjugation to the secondary antibody(SP-0023) and DAB(C-0010) staining

Antigen retrieval: citrate buffer ( 0.01M, pH 6.0 ), Boiling bathing for 15min; Block endogenous peroxidase by 3% Hydrogen peroxide for 30min; Blocking buffer (normal goat serum,C-0005) at 37℃ for 20 min;
Incubation: Anti-uPA Receptor Polyclonal Antibody, Unconjugated(bs-1927R) 1:500, overnight at 4°C, followed by conjugation to the secondary antibody(SP-0023) and DAB(C-0010) staining

Lane 1: Cerebrum (Mouse) Tissue Lysate at 40 ug
Lane 2: Cerebrum (Rat) Tissue Lysate at 40 ug
Primary: Anti-uPA Receptor (bs-1927R) at 1/1000 dilution
Secondary: IRDye800CW Goat Anti-Rabbit IgG at 1/20000 dilution
Predicted band size: 31 kD
Observed band size: 48 kD

bone (Mouse) Lysate at 40 ug
Primary: Anti-uPA Receptor (bs-1927R) at 1/300 dilution
Secondary: IRDye800CW Goat Anti-Rabbit IgG at 1/20000 dilution
Predicted band size: 31 kD
Observed band size: 48 kD
风险提示:丁香通仅作为第三方平台,为商家信息发布提供平台空间。用户咨询产品时请注意保护个人信息及财产安全,合理判断,谨慎选购商品,商家和用户对交易行为负责。对于医疗器械类产品,请先查证核实企业经营资质和医疗器械产品注册证情况。
文献和实验[IF={{ 4.344 }}] {Daisuke Ito. et al. Systemic and topical administration of spermidine accelerates skin wound healing. Cell Commun Signal. 2021 Dec;19(1):1-12} {WB} {Mouse}
[IF={{ 3.263 }}] {Makuszewska, Maria. et al. Enhanced Expression of Plasminogen Activators and Inhibitor in the Healing of Tympanic Membrane Perforation in Rats. JARO-J ASSOC RES OTO. 2023 Feb;:1-12} {IF,WB} {Rat}
[IF={{ 25.5 }}] {Kami Pekayvaz. et al. Immunothrombolytic monocyte-neutrophil axes dominate the single-cell landscape of human thrombosis and correlate with thrombus resolution. IMMUNITY. 2025 四月 24} {ICC} {Mouse}
= NAL), appears to form upon oxidative cyclization of the nonfluorescent 2:1 lysine-HNE Michael adduct-Schiff base cross-link (Scheme 1). Polyclonal antibody (PAb) to the NAL-HNE fluorophore was raised in rabbit and found to be highly specific
GE Healthcare Benzamidine Sepharose™ 6B is p-aminobenzamidine covalently attached to Sepharose 6B by the epoxy coupling method. p-Aminobenzamidine (PAB), is a synthetic inhibitor of trypsin-like serine protease. Trypsin and trypsin
Nucleic Acid Programmable Protein Arrays: Versatile Tools for Array‐Based Functional Protein Studies
.g., Sigma) 50 mg/ml bis‐sulfosuccinimdylsuberate (BS3 ;Pierce, cat. no. PI 21580) in dimethylsulfoxide (DMSO) 5 mg/ml
技术资料暂无技术资料 索取技术资料








