相关产品推荐更多 >

ZCCHC7 Rabbit pAb, Biotin conjugated(bs-18556R-Bio)-100ul
¥2980
MZT1 Rabbit pAb, HRP conjugated(bs-18977R-HRP)-100ul
¥2980
SLC10A1 Rabbit pAb(bs-25363R)-50ul/100ul/200ul
¥1180
Integrin Alpha V + Beta 6 Rabbit pAb, AP conjugated(bs-5791R-AP)-100ul
¥2980
DHPS1 Rabbit pAb, HRP conjugated(bs-8260R-HRP)-100ul
¥2980
万千商家帮你免费找货
0 人在求购买到急需产品
- 详细信息
- 文献和实验
- 技术资料
- 应用范围:
产品信息以Bioss网站为准
- 规格:
50ul/100ul/200ul
| 规格: | 50ul | 产品价格: | ¥1180.0 |
|---|---|---|---|
| 规格: | 100ul | 产品价格: | ¥1980.0 |
| 规格: | 200ul | 产品价格: | ¥2800.0 |
| 产品编号 | bs-1030R |
| 英文名称 | HMGA1 Rabbit pAb |
| 中文名称 | 高迁移率族蛋白A1抗体 |
| 英文别名 | HMG-I; HMG-Y; High mobility group AT-hook 1; HMG-I/HMG-Y; HMG-R; HMGA 1a; HMGA 1b; HMGA1; HMGI; HMGI/Y; HMGIY; HMGY; MGC12816; MGC4242; MGC4854; HMGA1_HUMAN; High mobility group protein HMG-I/HMG-Y; HMG-I(Y); AltName: Full=High mobility group AT-hook protein 1; High mobility group protein A1; High mobility group protein R. |
| 产品应用 | IHC-P=1:100-500, IHC-F=1:100-500, IF=1:100-500 Not yet tested in other applications. |
| 交叉反应 | Human (Mouse, Rat, Chicken, Cow) |
| 抗体来源 | Rabbit |
| 免疫原 | KLH conjugated synthetic peptide derived from human HMGA1 |
| 亚型 | IgG |
| 性状 | Liquid |
| 纯化方法 | affinity purified by Protein A |
| 克隆类型 | Polyclonal |
| 理论分子量 | 12 kDa |
| 浓度 | 1mg/ml |
| 储存液 | 0.01M TBS (pH7.4) with 1% BSA, 0.02% Proclin300 and 50% Glycerol. |
| 研究领域 | Cancer > Tumor biomarkers Epigenetics and Nuclear Signaling > Chromatin Binding Proteins > DNA / RNA binding Epigenetics and Nuclear Signaling > DNA / RNA > DNA Damage & Repair > Base Excision Repair Epigenetics and Nuclear Signaling > Transcription > Transcription Factors Microbiology > Interspecies Interaction > Host Virus Interaction |
| 亚基 | Interacts with HIPK2 (By similarity). Interacts with HIV-1 pre-integration complex. |
| 亚细胞定位 | Nucleus. Chromosome. |
| 翻译后修饰 | Constitutively phosphorylated on two or three sites. Phosphorylated upon DNA damage, probably by ATM or ATR. Hyperphosphorylated at early stages of apoptosis, followed by dephosphorylation and methylation, which coincides with chromatin condensation. Isoforms HMG-I and HMG-Y can be phosphorylated by HIPK2. Phosphorylation of HMG-I at Ser-36, Thr-53 and Thr-78 and of HMG-Y at Thr-42 and Thr-67 by HIPK2 modulates DNA-binding affinity.
HMG-Y is not methylated. Methylation at Arg-58 is mutually exclusive with methylation at Arg-60. |
| 相似性 | Belongs to the HMGA family.
Contains 3 A.T hook DNA-binding domains. |
| 功能 | HMG-I/Y bind preferentially to the minor groove of A+T rich regions in double stranded DNA. It is suggested that these proteins could function in nucleosome phasing and in the 3'-end processing of mRNA transcripts. They are also involved in the transcription regulation of genes containing, or in close proximity to A+T-rich regions. |
| 保存条件 | Shipped at 4℃. Store at -20℃ for one year. Avoid repeated freeze/thaw cycles. |
| 注意事项 | This product as supplied is intended for research use only, not for use in human, therapeutic or diagnostic applications. |
| 背景资料 | HMGA1 (HMGI/Y; high mobility group AT-hook 1) is a non-histone protein involved in many cellular processes, including regulation of inducible gene transcription, integration of retroviruses into chromosomes, and the metastatic progression of cancer cells. There are two splice isoforms of HMGA1 - the full length HMGA1a/HMGI and the shortened form HMGA1b/HMGY. The encoded protein preferentially binds to the minor groove of A+T-rich regions in double-stranded DNA. It has little secondary structure in solution but assumes distinct conformations when bound to substrates such as DNA or other proteins. HMGA1 is frequently acetylated and is found in the nucleus. Interacts with HIV-1 pre-integration complex. |
| 应用 | 推荐稀释比例 |
| {IHC-P} | {1:100-500} |
| {IHC-F} | {1:100-500} |
| {IF} | {1:100-500} |

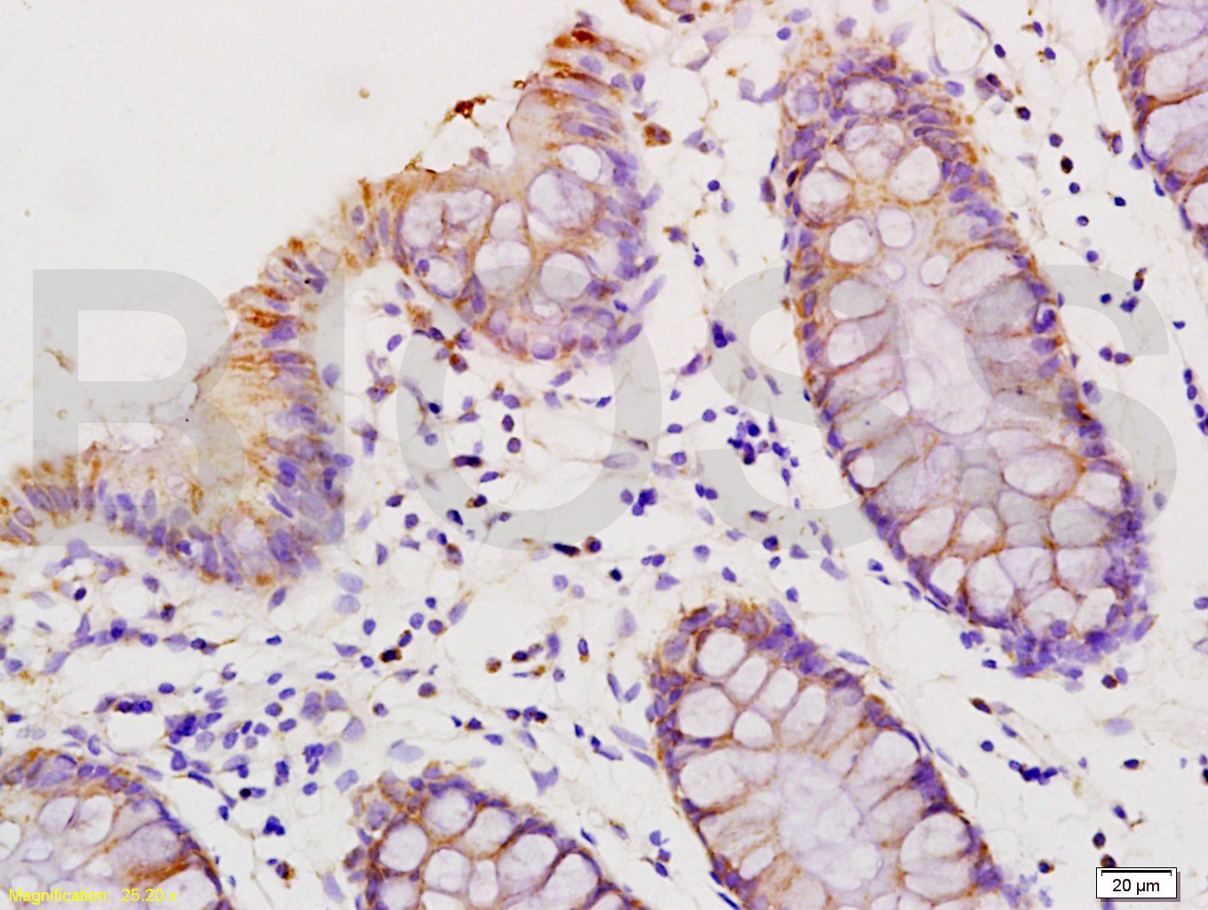
Antigen retrieval: citrate buffer ( 0.01M, pH 6.0 ), Boiling bathing for 15min; Block endogenous peroxidase by 3% Hydrogen peroxide for 30min; Blocking buffer (normal goat serum,C-0005) at 37℃ for 20 min;
Incubation: Anti-HMGA1/HMG-I/HMG-Y Polyclonal Antibody, Unconjugated(bs-1030R) 1:200, overnight at 4°C, followed by conjugation to the secondary antibody(SP-0023) and DAB(C-0010) staining

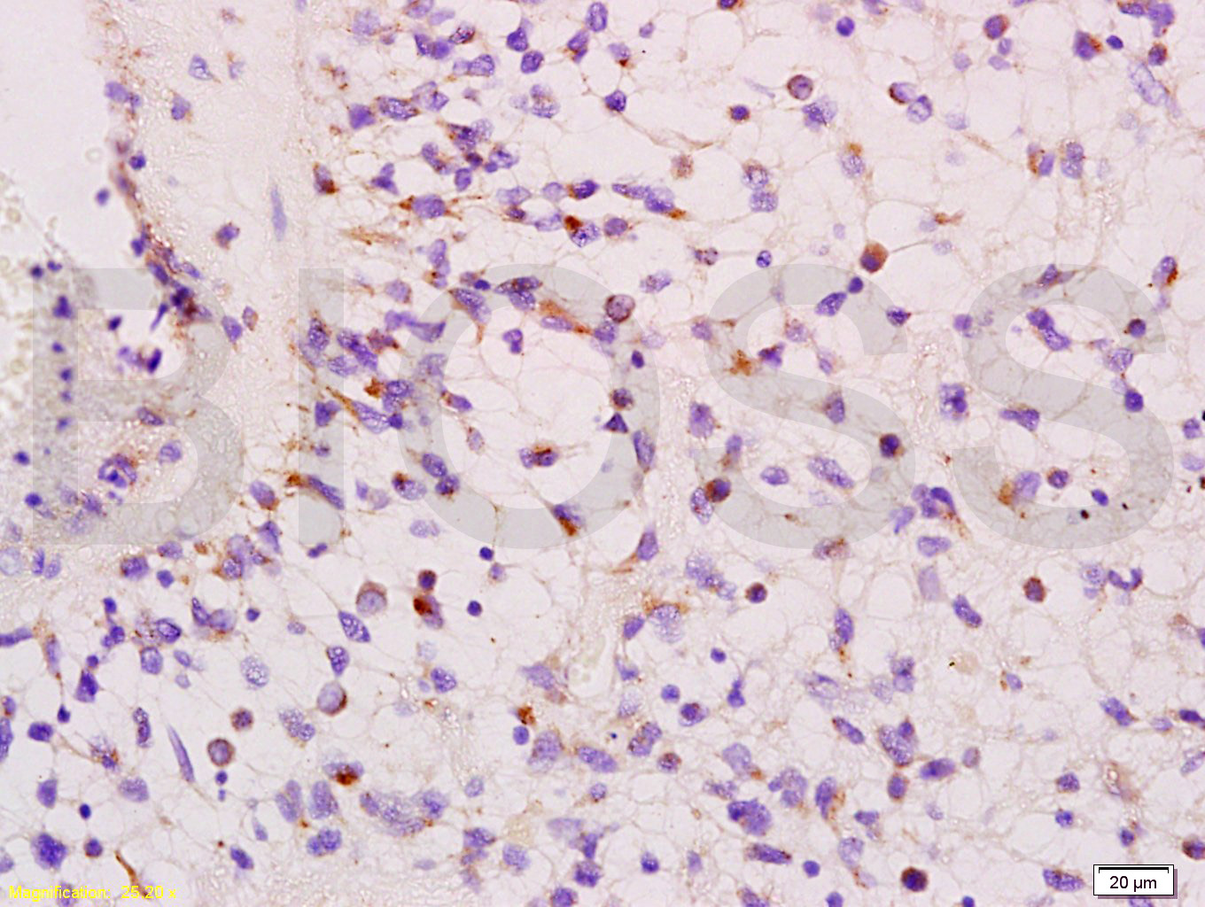
Antigen retrieval: citrate buffer ( 0.01M, pH 6.0 ), Boiling bathing for 15min; Block endogenous peroxidase by 3% Hydrogen peroxide for 30min; Blocking buffer (normal goat serum,C-0005) at 37℃ for 20 min;
Incubation: Anti-HMGA1/HMG-I/HMG-Y Polyclonal Antibody, Unconjugated(bs-1030R) 1:200, overnight at 4°C, followed by conjugation to the secondary antibody(SP-0023) and DAB(C-0010) staining
风险提示:丁香通仅作为第三方平台,为商家信息发布提供平台空间。用户咨询产品时请注意保护个人信息及财产安全,合理判断,谨慎选购商品,商家和用户对交易行为负责。对于医疗器械类产品,请先查证核实企业经营资质和医疗器械产品注册证情况。
文献和实验[IF={{ 6.691 }}] {Jiang, Yiming. et al. Induction of Sestrin2 by pterostilbene suppresses ethanol-triggered hepatocyte senescence by degrading CCN1 via p62-dependent selective autophagy. 2021 Aug 17} {IF} {Mouse}
[IF={{ 4.741 }}] {Wang Shidong. et al. LncRNA CASC19 promotes gastric cancer progression through preventing CREB1 protein ubiquitin/proteasome-dependent degradation. CARCINOGENESIS. 2023 Jan;:} {WB} {Human}
[IF={{ 2.43 }}] {Uchikura, Yuka, et al. "Extranuclear Translocation of High-Mobility Group A1 Reduces the Invasion of Extravillous Trophoblasts Involved in the Pathogenesis of Preeclampsia: New Aspect of High-Mobility Group A1." Reproductive Sciences (2017): 1933719117697254.} {IHC} {="Human, Mouse"}
= NAL), appears to form upon oxidative cyclization of the nonfluorescent 2:1 lysine-HNE Michael adduct-Schiff base cross-link (Scheme 1). Polyclonal antibody (PAb) to the NAL-HNE fluorophore was raised in rabbit and found to be highly specific
/96T 2000/3000 进口分装 F0021 骨成型蛋白-9(BMP-9) ELISA 48T/96T 2000/3000 进口分装 F0022 BMP-R1A ELISA 48T/96T 2000/3000 进口分装 F0023 BMP-R2 ELISA 48T/96T 2000/3000 进口分装 F0024 BTC ELISA 48T/96T 2000/3100 进口分装 F0030 CAE-Ab ELISA 96
/96T 2000/3000 进口分装 F0021 骨成型蛋白-9(BMP-9) ELISA 48T/96T 2000/3000 进口分装 F0022 BMP-R1A ELISA 48T/96T 2000/3000 进口分装 F0023 BMP-R2 ELISA 48T/96T 2000/3000 进口分装 F0024 BTC ELISA 48T/96T 2000/3100 进口分装 F0030 CAE-Ab ELISA 96
技术资料暂无技术资料 索取技术资料





