相关产品推荐更多 >

CEBP Beta Rabbit pAb(bs-1396R)-50ul/100ul/200ul
¥1180
phospho-14-3-3 beta + zeta (Ser186 / Ser184) Rabbit pAb, PE-Cy5.5 conjugated(bs-13773R-PE-Cy5.5)-100ul
¥2980
CATSPER3 Rabbit pAb, AP conjugated(bs-7136R-AP)-100ul
¥2980
Ubiquitin Rabbit pAb, BF405 conjugated(bs-7944R-BF405)-100ul
¥2980
Anti-human ERBB1 / EGFR / HER1 (Nimotuzumab Biosimilar)(BIO0633SM)-1mg/5mg/20mg
¥3200
万千商家帮你免费找货
0 人在求购买到急需产品
- 详细信息
- 文献和实验
- 技术资料
- 应用范围:
产品信息以Bioss网站为准
- 规格:
50ul/100ul/200ul
| 规格: | 50ul | 产品价格: | ¥1180.0 |
|---|---|---|---|
| 规格: | 100ul | 产品价格: | ¥1980.0 |
| 规格: | 200ul | 产品价格: | ¥2800.0 |
| 产品编号 | bs-0092R |
| 英文名称 | Caspase-10 Rabbit pAb |
| 中文名称 | 半胱胺酸蛋白酶-10抗体 |
| 英文别名 | ALPS 2; ALPS2; Apoptosis related cysteine peptidase; Apoptotic protease Mch 4; CASP 10; CASP10; CASP10 protein; Caspase 10 apoptosis related cysteine peptidase; Caspase 10 apoptosis related cysteine protease; Caspase10; FADD Like Ice 2; Fas Associated Death Domain Protein; FAS associated death domain protein interleukin 1B converting enzyme 2; FLICE 2; FLICE2; ICE Like Apoptotic Protease 4; Interleukin 1B Converting Enzyme 2; MCH 4; MCH4. |
| 产品应用 | IHC-P=1:100-500, IHC-F=1:100-500, IF=1:100-500, Flow-Cyt=0.2ug/test Not yet tested in other applications. |
| 交叉反应 | Human |
| 抗体来源 | Rabbit |
| 免疫原 | KLH conjugated synthetic peptide derived from human Caspase-10 subunit p12 |
| 亚型 | IgG |
| 性状 | Liquid |
| 纯化方法 | affinity purified by Protein A |
| 克隆类型 | Polyclonal |
| 理论分子量 | 59 kDa |
| 浓度 | 1mg/ml |
| 储存液 | 0.01M TBS (pH7.4) with 1% BSA, 0.02% Proclin300 and 50% Glycerol. |
| 研究领域 | Cancer > Cell Death > Apoptosis > Apoptosis Markers > Caspases Cancer > Cell Death > Apoptosis > Metabolism Cancer > Invasion/microenvironment > Apoptosis > Caspases Cell Biology > Apoptosis > Intracellular > Caspases etc > Caspases Cell Biology > Proteolysis / Ubiquitin > Proteolytic enzymes > Other proteases Metabolism > Pathways and Processes > Metabolism processes > Apoptosis |
| 亚基 | Heterotetramer that consists of two anti-parallel arranged heterodimers, each one formed by a 23/17 kDa (p23/17) (depending on the splicing events) and a 12 kDa (p12) subunit (By similarity). Self-associates. Interacts with FADD and CASP8. Found in a Fas signaling complex consisting of FAS, FADD, CASP8 and CASP10. |
| 组织特异性 | Detectable in most tissues. Lowest expression is seen in brain, kidney, prostate, testis and colon. Post-translational modifications : Cleavage by granzyme B and autocatalytic activity generate the two active subunits. Phosphorylated upon DNA damage, probably by ATM or ATR. |
| 翻译后修饰 | Cleavage by granzyme B and autocatalytic activity generate the two active subunits.
Phosphorylated upon DNA damage, probably by ATM or ATR. |
| 相似性 | Belongs to the peptidase C14A family.
Contains 2 DED (death effector) domains. |
| 功能 | Involved in the activation cascade of caspases responsible for apoptosis execution. Recruited to both Fas- and TNFR-1 receptors in a FADD dependent manner. May participate in the granzyme B apoptotic pathways. Cleaves and activates caspase-3, -4, -6, -7, -8, and -9. Hydrolyzes the small- molecule substrates, Tyr-Val-Ala-Asp-|-AMC and Asp-Glu-Val-Asp-|-AMC. |
| 保存条件 | Shipped at 4℃. Store at -20℃ for one year. Avoid repeated freeze/thaw cycles. |
| 注意事项 | This product as supplied is intended for research use only, not for use in human, therapeutic or diagnostic applications. |
| 背景资料 | Caspases are a family of intracellular proteases that mediate cell death and are the principal effectors of apoptosis. Caspase 10 (Mch4, ICE-LAP4, FLICE2) plays an important role in apoptosis induced by a variety of inducers such as TNF alpha and Anti-Fas antibody. It is a large prodomain caspase classified together with caspases 2, 8, and 9 as a signaling caspase. Four isoforms of caspase 10 (caspase 10a, 10b, 10c, and 10d) having the same prodomain but different mature large and small subdomain, have been described. Caspase 10 contains two death domains (DED) involved in linking to the death effector domain of the adapter protein FADD and recruiting the complex to TNFR1 and Fas. The inactive procaspase 10 is variably expressed in many tissues and cell lines as a cytosolic protein. The mature form of caspase 10 comprises two subunits, p23/p17 (splice isoforms) and p12. Interestingly, a caspase 9- dependent processing of caspase 10 by caspase 6 in cell-free extracts has recently been suggested. Caspase 10 can cleave and activate caspases 3, 4, 6, 7, 8, and 9. This is followed by cleavage of numerous key proteins, including the nuclear protein PARP. |
| 应用 | 推荐稀释比例 |
| {IHC-P} | {1:100-500} |
| {IHC-F} | {1:100-500} |
| {IF} | {1:100-500} |
| {Flow-Cyt} | {0.2ug/test} |


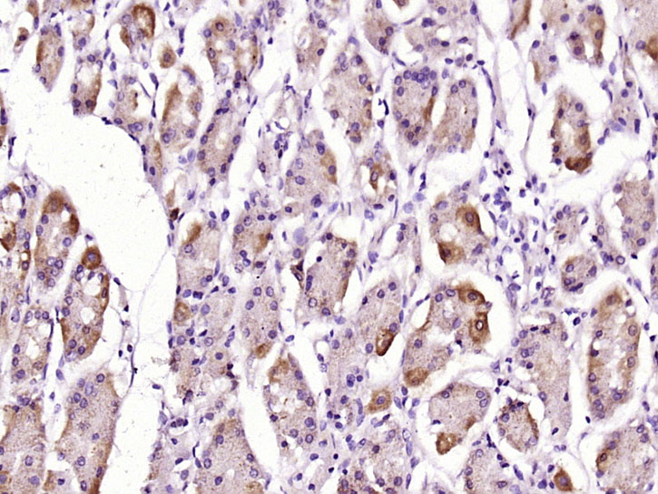
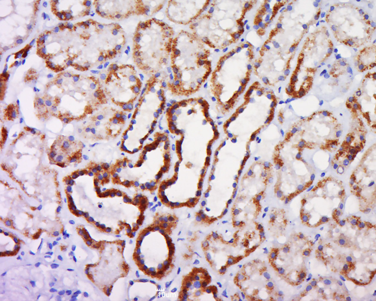
Antigen retrieval: citrate buffer ( 0.01M, pH 6.0 ), Boiling bathing for 15min; Block endogenous peroxidase by 3% Hydrogen peroxide for 30min; Blocking buffer (normal goat serum,C-0005) at 37℃ for 20 min;
Incubation: Anti-Caspase-10 Polyclonal Antibody, Unconjugated(bs-0092R) 1:500, overnight at 4°C, followed by conjugation to the secondary antibody(SP-0023) and DAB(C-0010) staining

Primary Antibody (green line): Rabbit Anti-Caspase-10 antibody (bs-0092R)
Dilution: 0.2μg /10^6 cells;
Isotype Control Antibody (orange line): Rabbit IgG .
Secondary Antibody : Goat anti-rabbit IgG-PE
Dilution: 0.2μg /test.
Protocol
The cells were fixed with 4% PFA (10min at room temperature)and then permeabilized with 20% PBST for 20 min at-20℃. The cells were then incubated in 5%BSA to block non-specific protein-protein interactions for 30 min at at room temperature .Cells stained with Primary Antibody for 30 min at room temperature. The secondary antibody used for 40 min at room temperature. Acquisition of 20,000 events was performed.
风险提示:丁香通仅作为第三方平台,为商家信息发布提供平台空间。用户咨询产品时请注意保护个人信息及财产安全,合理判断,谨慎选购商品,商家和用户对交易行为负责。对于医疗器械类产品,请先查证核实企业经营资质和医疗器械产品注册证情况。
文献和实验= NAL), appears to form upon oxidative cyclization of the nonfluorescent 2:1 lysine-HNE Michael adduct-Schiff base cross-link (Scheme 1). Polyclonal antibody (PAb) to the NAL-HNE fluorophore was raised in rabbit and found to be highly specific
/96T 2000/3000 进口分装 F0021 骨成型蛋白-9(BMP-9) ELISA 48T/96T 2000/3000 进口分装 F0022 BMP-R1A ELISA 48T/96T 2000/3000 进口分装 F0023 BMP-R2 ELISA 48T/96T 2000/3000 进口分装 F0024 BTC ELISA 48T/96T 2000/3100 进口分装 F0030 CAE-Ab ELISA 96
/96T 2000/3000 进口分装 F0021 骨成型蛋白-9(BMP-9) ELISA 48T/96T 2000/3000 进口分装 F0022 BMP-R1A ELISA 48T/96T 2000/3000 进口分装 F0023 BMP-R2 ELISA 48T/96T 2000/3000 进口分装 F0024 BTC ELISA 48T/96T 2000/3100 进口分装 F0030 CAE-Ab ELISA 96
技术资料暂无技术资料 索取技术资料






