相关产品推荐更多 >

ATBF1 Rabbit pAb, PE conjugated(bs-11805R-PE)-100ul
¥2980
CXCR4 Rabbit pAb, Cy3 conjugated(bs-20318R-Cy3)-100ul
¥2980
c-Kit Rabbit pAb, FITC conjugated(bs-10005R-FITC)-100ul
¥2980
phospho-HSP70 (Tyr41) Rabbit pAb, APC-Cy7 conjugated(bs-10451R-APC-Cy7)-100ul
¥2980
phospho-NDRG1 (Thr346) Rabbit pAb, AP conjugated(bs-3298R-AP)-100ul
¥2980
万千商家帮你免费找货
0 人在求购买到急需产品
- 详细信息
- 文献和实验
- 技术资料
- 应用范围:
产品信息以Bioss网站为准
- 规格:
50ul/100ul/200ul
| 规格: | 50ul | 产品价格: | ¥1180.0 |
|---|---|---|---|
| 规格: | 100ul | 产品价格: | ¥1980.0 |
| 规格: | 200ul | 产品价格: | ¥2800.0 |
| 产品编号 | bs-0261R |
| 英文名称 | AQP2 Rabbit pAb |
| 中文名称 | 水通道蛋白-2抗体 |
| 英文别名 | ADH water channel; AQP 2; AQP-2; AQP CD; AQPCD; Aquaporin 2 collecting duct; Aquaporin CD; Aquaporin2; Aquaporine 2; Collecting duct water channel protein; MGC34501; Water channel protein for renal collecting duct; WCH CD; WCHCD. |
| 产品应用 | WB=1:500-2000, IHC-P=1:100-500, IHC-F=1:100-500, IF=1:100-500 Not yet tested in other applications. |
| 交叉反应 | Human, Mouse, Rat |
| 抗体来源 | Rabbit |
| 免疫原 | KLH conjugated synthetic peptide derived from human AQP2 |
| 亚型 | IgG |
| 性状 | Liquid |
| 纯化方法 | affinity purified by Protein A |
| 克隆类型 | Polyclonal |
| 理论分子量 | 30 kDa |
| 浓度 | 1mg/ml |
| 储存液 | 0.01M TBS (pH7.4) with 1% BSA, 0.02% Proclin300 and 50% Glycerol. |
| 研究领域 | Signal Transduction > Metabolism > Plasma Membrane > Channels |
| 亚细胞定位 | Apical cell membrane; Multi-pass membrane protein. Cytoplasmic vesicle membrane; Multi-pass membrane protein. Note=Shuttles from vesicles to the apical membrane. |
| 组织特异性 | Expressed in renal collecting tubules. |
| 翻译后修饰 | Ser-256 phosphorylation is necessary and sufficient for expression at the apical membrane. Endocytosis is not phosphorylation-dependent. |
| 相似性 | Belongs to the MIP/aquaporin (TC 1.A.8) family. |
| 功能 | Forms a water-specific channel that provides the plasma membranes of renal collecting duct with high permeability to water, thereby permitting water to move in the direction of an osmotic gradient. |
| 保存条件 | Shipped at 4℃. Store at -20℃ for one year. Avoid repeated freeze/thaw cycles. |
| 注意事项 | This product as supplied is intended for research use only, not for use in human, therapeutic or diagnostic applications. |
| 背景资料 | This gene encodes a water channel protein located in the kidney collecting tubule. It belongs to the MIP/aquaporin family, some members of which are clustered together on chromosome 12q13. Mutations in this gene have been linked to autosomal dominant, and recessive forms of nephrogenic diabetes insipidus. Belongs to the MIP/aquaporin (TC 1.A.8) family. |
| 应用 | 推荐稀释比例 |
| {WB} | {1:500-2000} |
| {IHC-P} | {1:100-500} |
| {IHC-F} | {1:100-500} |
| {IF} | {1:100-500} |

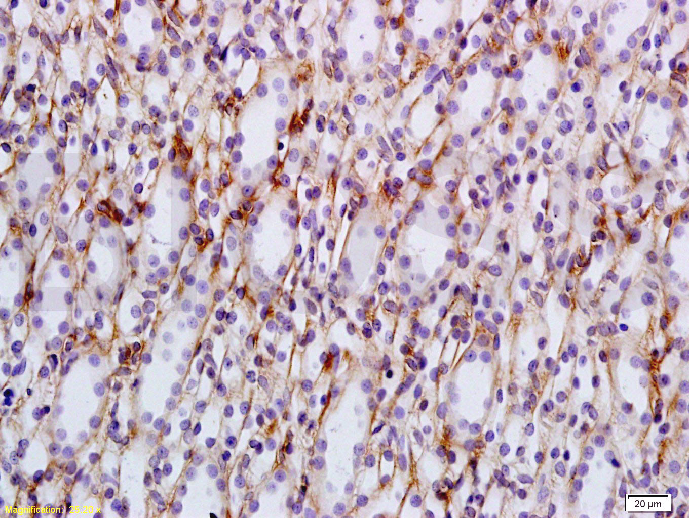
Antigen retrieval: citrate buffer ( 0.01M, pH 6.0 ), Boiling bathing for 15min; Block endogenous peroxidase by 3% Hydrogen peroxide for 30min; Blocking buffer (normal goat serum,C-0005) at 37℃ for 20 min;
Incubation: Anti-AQP-2 Polyclonal Antibody, Unconjugated(bs-0261R) 1:200, overnight at 4°C, followed by conjugation to the secondary antibody(SP-0023) and DAB(C-0010) staining

Kidney (Mouse) Lysate at 40 ug
293T(Human) Cell Lysate at 30 ug
Primary: Anti- Aquaporin 2 (bs-0261R) at 1/1000 dilution
Secondary: IRDye800CW Goat Anti-Rabbit IgG at 1/20000 dilution
Predicted band size: 30 kD
Observed band size: 32 kD

Primary: Anti-Aquaporin 2 (bs-0261R) at 1/300 dilution
Secondary: IRDye800CW Goat Anti-Rabbit IgG at 1/20000 dilution
Predicted band size: 30 kD
Observed band size: 35 kD
风险提示:丁香通仅作为第三方平台,为商家信息发布提供平台空间。用户咨询产品时请注意保护个人信息及财产安全,合理判断,谨慎选购商品,商家和用户对交易行为负责。对于医疗器械类产品,请先查证核实企业经营资质和医疗器械产品注册证情况。
文献和实验[IF={{ 2.386 }}] {Kai Zhang. et al. Investigation of Neuroprotective Effects of Erythropoietin on Chronic Neuropathic Pain in a Chronic Constriction Injury Rat Model. J Pain Res. 2020; 13: 3147–3155} {WB} {Rat}
= NAL), appears to form upon oxidative cyclization of the nonfluorescent 2:1 lysine-HNE Michael adduct-Schiff base cross-link (Scheme 1). Polyclonal antibody (PAb) to the NAL-HNE fluorophore was raised in rabbit and found to be highly specific
/96T 2000/3000 进口分装 F0021 骨成型蛋白-9(BMP-9) ELISA 48T/96T 2000/3000 进口分装 F0022 BMP-R1A ELISA 48T/96T 2000/3000 进口分装 F0023 BMP-R2 ELISA 48T/96T 2000/3000 进口分装 F0024 BTC ELISA 48T/96T 2000/3100 进口分装 F0030 CAE-Ab ELISA 96
/96T 2000/3000 进口分装 F0021 骨成型蛋白-9(BMP-9) ELISA 48T/96T 2000/3000 进口分装 F0022 BMP-R1A ELISA 48T/96T 2000/3000 进口分装 F0023 BMP-R2 ELISA 48T/96T 2000/3000 进口分装 F0024 BTC ELISA 48T/96T 2000/3100 进口分装 F0030 CAE-Ab ELISA 96
技术资料暂无技术资料 索取技术资料






