相关产品推荐更多 >
万千商家帮你免费找货
0 人在求购买到急需产品
- 详细信息
- 文献和实验
- 技术资料
- 应用范围:
产品信息以Bioss网站为准
- 规格:
50ul/100ul/200ul
| 规格: | 50ul | 产品价格: | ¥1180.0 |
|---|---|---|---|
| 规格: | 100ul | 产品价格: | ¥1980.0 |
| 规格: | 200ul | 产品价格: | ¥2800.0 |
| 产品编号 | bs-0811R |
| 英文名称 | CX3CL1 Rabbit pAb |
| 中文名称 | CX3CL1抗体 |
| 英文别名 | C3Xkine; Chemokine C X3 C motif ligand 1; Chemokine CX3C Motif Ligand 1; CX3C membrane anchored chemokine; CXC 3; CXC3; CXC3C; FKN; Fractalkine; Neurotactin; NTN; NTT; SCYD 1; SCYD1; Small inducible cytokine D1; Small inducible cytokine subfamily D(Cys X3 Cys) member 1; Small inducible cytokine subfamily D member 1; X3CL1_HUMAN. |
| 产品应用 | IHC-P=1:100-500, IHC-F=1:100-500, IF=1:100-500 Not yet tested in other applications. |
| 交叉反应 | Human (Mouse, Rat) |
| 抗体来源 | Rabbit |
| 免疫原 | KLH conjugated synthetic peptide derived from human CX3CL1 |
| 亚型 | IgG |
| 性状 | Liquid |
| 纯化方法 | affinity purified by Protein A |
| 克隆类型 | Polyclonal |
| 理论分子量 | 41 kDa |
| 浓度 | 1mg/ml |
| 储存液 | 0.01M TBS (pH7.4) with 1% BSA, 0.02% Proclin300 and 50% Glycerol. |
| 研究领域 | Cardiovascular > Atherosclerosis > Vascular Inflammation > Leukocyte recruitment > Chemokines Immunology > Innate Immunity > Chemokines > Delta Chemokines (CXC3) Immunology > Innate Immunity > Macrophage / Inflamm. |
| 亚基 | Monomer. |
| 亚细胞定位 | Cell membrane; Single-pass type I membrane protein. Processed fractalkine: Secreted. |
| 组织特异性 | Small intestine, colon, testis, prostate, heart, brain, lung, skeletal muscle, kidney and pancreas. |
| 翻译后修饰 | A soluble short 95 kDa form may be released by proteolytic cleavage from the long membrane-anchored form. O-glycosylated with core 1 or possibly core 8 glycans. |
| 相似性 | Belongs to the intercrine delta family. |
| 功能 | The soluble form is chemotactic for T-cells and monocytes, but not for neutrophils. The membrane-bound form promotes adhesion of those leukocytes to endothelial cells. May play a role in regulating leukocyte adhesion and migration processes at the endothelium. Binds to CX3CR1. |
| 保存条件 | Shipped at 4℃. Store at -20℃ for one year. Avoid repeated freeze/thaw cycles. |
| 注意事项 | This product as supplied is intended for research use only, not for use in human, therapeutic or diagnostic applications. |
| 背景资料 | CX3CL1 is a member of the delta chemokine subfamily that contains a unique CX3C cysteine motif near the N-terminal. Unlike other known chemokines, it is a type 1 membrane protein containing a chemokine domain tethered on a long mucin-like stalk. CX3CL1, a leukocyte chemoattractant, is expressed in various tissues including the brain, heart, lung, kidney, skeletal muscle, and testis. The expression is reported to be up-regulated in endothelial cells and microglia by inflammatory signals. CX3CR1, a specific receptor for fractalkine, mediates both leukocyte migration and adhesion. |
| 应用 | 推荐稀释比例 |
| {IHC-P} | {1:100-500} |
| {IHC-F} | {1:100-500} |
| {IF} | {1:100-500} |

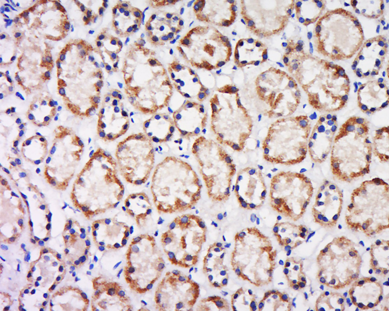
Antigen retrieval: citrate buffer ( 0.01M, pH 6.0 ), Boiling bathing for 15min; Block endogenous peroxidase by 3% Hydrogen peroxide for 30min; Blocking buffer (normal goat serum,C-0005) at 37℃ for 20 min;
Incubation: Anti-CX3CL1 Polyclonal Antibody, Unconjugated(bs-0811R) 1:500, overnight at 4°C, followed by conjugation to the secondary antibody(SP-0023) and DAB(C-0010) staining
风险提示:丁香通仅作为第三方平台,为商家信息发布提供平台空间。用户咨询产品时请注意保护个人信息及财产安全,合理判断,谨慎选购商品,商家和用户对交易行为负责。对于医疗器械类产品,请先查证核实企业经营资质和医疗器械产品注册证情况。
文献和实验[IF={{ 7.2 }}] {Jin Su. et al. Lactate/GPR81 recruits regulatory T cells by modulating CX3CL1 to promote immune resistance in a highly glycolytic gastric cancer. ONCOIMMUNOLOGY. 2024 Feb 26} {WB,IHC,IF} {Human,Mouse}
[IF={{ 6 }}] {Qiaowei Xie. et al. Effects of Antiretroviral Treatment on Central and Peripheral Immune Response in Mice with EcoHIV Infection. CELLS-BASEL. 2024 Jan;13(10):882} {WB} {Mouse}
[IF={{ 5.534 }}] {Zhang J et al. Dynamic changes of CX3CL1/CX3CR1 axis during microglial activation and motor neuron loss in the spinal cord of ALS mouse model. Transl Neurodegener. 2018 Dec 21;7:35.} {WB} {Mouse}
[IF={{ 5.195 }}] {Shan Luo. et al. Application of omics technology to investigate the mechanism underlying the role of San Hua Tang in regulating microglia polarization and blood-brain barrier protection following ischemic stroke. J ETHNOPHARMACOL. 2023 May;:116640} {IF} {Rat}
[IF={{ 4.8 }}] {Yigang Lv. et al.CX3CL1-mediated neuronal "rescue signal" influences inflammation progression following spinal cord injury via microglia..International Immunopharmacology.2025 Mar 17:153:114478.} {Western blot} {Mouse}
= NAL), appears to form upon oxidative cyclization of the nonfluorescent 2:1 lysine-HNE Michael adduct-Schiff base cross-link (Scheme 1). Polyclonal antibody (PAb) to the NAL-HNE fluorophore was raised in rabbit and found to be highly specific
GE Healthcare Benzamidine Sepharose™ 6B is p-aminobenzamidine covalently attached to Sepharose 6B by the epoxy coupling method. p-Aminobenzamidine (PAB), is a synthetic inhibitor of trypsin-like serine protease. Trypsin and trypsin
Nucleic Acid Programmable Protein Arrays: Versatile Tools for Array‐Based Functional Protein Studies
.g., Sigma) 50 mg/ml bis‐sulfosuccinimdylsuberate (BS3 ;Pierce, cat. no. PI 21580) in dimethylsulfoxide (DMSO) 5 mg/ml
技术资料暂无技术资料 索取技术资料









