相关产品推荐更多 >

RSV N Rabbit pAb(bs-42024R)-50ul/100ul/200ul
¥1180
TAB1 Recombinant Mouse mAb(bsm-60541M)-50ul/100ul/25ul
¥800
UBE2Q1 Rabbit pAb, BF680 conjugated(bs-8383R-BF680)-100ul
¥2980
phospho-IKK alpha (Ser176) Rabbit pAb, Biotin conjugated(bs-18127R-Bio)-100ul
¥2980
KLHL21 Rabbit pAb, HRP conjugated(bs-8048R-HRP)-100ul
¥2980
万千商家帮你免费找货
0 人在求购买到急需产品
- 详细信息
- 文献和实验
- 技术资料
- 应用范围:
产品信息以Bioss网站为准
- 规格:
50ul/100ul/200ul
| 规格: | 50ul | 产品价格: | ¥1180.0 |
|---|---|---|---|
| 规格: | 100ul | 产品价格: | ¥1980.0 |
| 规格: | 200ul | 产品价格: | ¥2800.0 |
| 产品编号 | bs-0610R |
| 英文名称 | Adiponectin Receptor 1 Rabbit pAb |
| 中文名称 | 脂联素受体1抗体 |
| 英文别名 | ACDCR1; ADIPO R1; Adiponectin receptor protein 1; ADIPOR 1; ADIPOR1; CGI-45; CGI-45 protein; FLJ25385; PAQR1; Progestin and adipoQ receptor family member I; TESBP1A; ADR1_HUMAN. |
| 产品应用 | WB=1:500-2000, IHC-P=1:100-500, IHC-F=1:100-500, IF=1:100-500 Not yet tested in other applications. |
| 交叉反应 | Human, Mouse, Rat (Chicken, Dog, Rabbit) |
| 抗体来源 | Rabbit |
| 免疫原 | KLH conjugated synthetic peptide derived from human Adiponectin Receptor 1 |
| 亚型 | IgG |
| 性状 | Liquid |
| 纯化方法 | affinity purified by Protein A |
| 克隆类型 | Polyclonal |
| 理论分子量 | 42 kDa |
| 浓度 | 1mg/ml |
| 储存液 | 0.01M TBS (pH7.4) with 1% BSA, 0.02% Proclin300 and 50% Glycerol. |
| 研究领域 | Cardiovascular > Lipids / Lipoproteins > Adipose Related > Acrp Signal Transduction > Growth Factors/Hormones > Hormones |
| 亚基 | May form homo and heteromultimers. |
| 亚细胞定位 | Membrane; Multi-pass membrane protein. Note=Localized to the cell membrane and intracellular organelles. |
| 组织特异性 | Widely expressed. Highly expressed in skeletal muscle. Expressed at intermediate level in brain, heart, spleen, kidney, liver, placenta, lung and peripheral blood leukocytes. Weakly expressed in colon, thymus and small intestine. |
| 相似性 | Belongs to the ADIPOR family. |
| 功能 | Receptor for globular and full-length adiponectin (APM1), an essential hormone secreted by adipocytes that acts as an antidiabetic. Probably involved in metabolic pathways that regulate lipid metabolism such as fatty acid oxidation. Mediates increased AMPK, PPARA ligand activity, fatty acid oxidation and glucose uptake by adiponectin. Has some high-affinity receptor for globular adiponectin but low-affinity receptor for full-length adiponectin. |
| 保存条件 | Shipped at 4℃. Store at -20℃ for one year. Avoid repeated freeze/thaw cycles. |
| 注意事项 | This product as supplied is intended for research use only, not for use in human, therapeutic or diagnostic applications. |
| 背景资料 | Acrp30 is a hormone secreted by adipocytes that acts as an antidiabetic and anti-atherogenic adipokine. Levels of adiponectin in the blood are decreased under conditions of obesity, insulin resistance and type 2 diabetes. Administration of adiponectin causes glucose-lowering effects and ameliorates insulin resistance in mice. Conversely, adiponectin-deficient mice exhibit insulin resistance and diabetes. This insulin-sensitizing effect of adiponectin seems to be mediated by an increase in fatty-acid oxidation through activation of AMP kinase and PPAR- . Cloning of complementary DNAs encoding adiponectin receptors 1 and 2 (AdipoR1 and AdipoR2) have shown that AdipoR1 is abundantly expressed in skeletal muscle, whereas AdipoR2 is predominantly expressed in the liver. |
| 应用 | 推荐稀释比例 |
| {WB} | {1:500-2000} |
| {IHC-P} | {1:100-500} |
| {IHC-F} | {1:100-500} |
| {IF} | {1:100-500} |

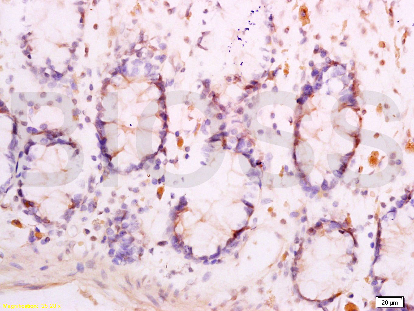
Antigen retrieval: citrate buffer ( 0.01M, pH 6.0 ), Boiling bathing for 15min; Block endogenous peroxidase by 3% Hydrogen peroxide for 30min; Blocking buffer (normal goat serum,C-0005) at 37∩ for 20 min;
Incubation: Anti-Adiponectin Receptor 1 Polyclonal Antibody, Unconjugated(bs-0610R) 1:300, overnight at 4∑C, followed by conjugation to the secondary antibody(SP-0023) and DAB(C-0010) staining

Antigen retrieval: citrate buffer ( 0.01M, pH 6.0 ), Boiling bathing for 15min; Block endogenous peroxidase by 3% Hydrogen peroxide for 30min; Blocking buffer (normal goat serum,C-0005) at 37∩ for 20 min;
Incubation: Anti-Adiponectin Receptor 1 Polyclonal Antibody, Unconjugated(bs-0610R) 1:300, overnight at 4∑C, followed by conjugation to the secondary antibody(SP-0023) and DAB(C-0010) staining

Primary: Anti- Adiponectin Receptor 1 (bs-0610R) at 1/300 dilution
Secondary: IRDye800CW Goat Anti-Rabbit IgG at 1/20000 dilution
Predicted band size: 42 kD
Observed band size: 42 kD

Lane 1: Mouse Muscle tissue lysates
Lane 2: Mouse Breast tissue lysates
Lane 3: Mouse Heart tissue lysates
Lane 4: Rat Muscle tissue lysates
Lane 5: Rat Heart tissue lysates
Primary: Anti-Adiponectin Receptor 1 (bs-0610R) at 1/1000 dilution
Secondary: IRDye800CW Goat Anti-Rabbit IgG at 1/20000 dilution
Predicted band size: 42 kDa
Observed band size: 42 kDa
风险提示:丁香通仅作为第三方平台,为商家信息发布提供平台空间。用户咨询产品时请注意保护个人信息及财产安全,合理判断,谨慎选购商品,商家和用户对交易行为负责。对于医疗器械类产品,请先查证核实企业经营资质和医疗器械产品注册证情况。
文献和实验[IF={{ 6.9 }}] {Ze Peng. et al. 6-Gingerol improves lipid metabolism disorders in skeletal muscle by regulating AdipoR1/AMPK signaling pathway. BIOMED PHARMACOTHER. 2024 Nov;180:117462} {IF,WB} {Mouse}
[IF={{ 6.43 }}] {Morad, Vivian, Annelie Abrahamsson, and Charlotta Dabrosin. "Estradiol affects extracellular leptin: adiponectin ratio in human breast tissue in vivo." The Journal of Clinical Endocrinology & Metabolism (2014).} {IHC} {="Human"}
[IF={{ 6.304 }}] {Jia Gao. et al. Nicotine aggravates vascular adiponectin resistance via ubiquitin-mediated adiponectin receptor degradation in diabetic Apolipoprotein E knockout mouse. Cell Death Dis. 2021 May;12(6):1-12} {WB,IF} {Human}
[IF={{ 5.74 }}] {Liu, Gai-Zhen, et al. "High glucose/High Lipids impair vascular adiponectin function via inhibition of caveolin-1/AdipoR1 signalsome formation." Free Radical Biology and Medicine (2015).} {WB} {="Human"}
[IF={{ 5.14 }}] {Wu, Ming-Hsiu, et al. "Obesity Exacerbates Rat Cerebral Ischemic Injury through Enhancing Ischemic Adiponectin-Containing Neuronal Apoptosis."Molecular Neurobiology (2015): 1-12.} {WB} {="Rat"}
, Algermissen, B. et al. 3. Purification of rabbit liver aldehyde oxidase by affinity chromatography on benzamidine Sepharose 6B. J. Chromatogr. (1989), 475 363-72, Stell, J. G. P. et al. 4. The Crystal Structure of a T Cell Receptor in Complex
人细胞因子 >>> 分装ELISA 试剂盒 货号 品名 方法 规格 价格 备注 F0001 人血管紧张素转化酶(Human ACE) ELISA 48T/96T 2000/3000 进口分装 F0002 激活素A(Activin A) ELISA 48T/96T 2000/3000 进口分装 F0003 ★ 人脂联素(human Adiponectin) ELISA 48T/96
人细胞因子 >>> 分装ELISA 试剂盒 货号 品名 方法 规格 价格 备注 F0001 人血管紧张素转化酶(Human ACE) ELISA 48T/96T 2000/3000 进口分装 F0002 激活素A(Activin A) ELISA 48T/96T 2000/3000 进口分装 F0003 ★ 人脂联素(human Adiponectin) ELISA 48T/96
技术资料暂无技术资料 索取技术资料





