相关产品推荐更多 >

IL3 beta Rabbit pAb, HRP conjugated(bs-18149R-HRP)-100ul
¥2980
SMYD2 Recombinant Mouse mAb(bsm-60487M)-50ul/100ul/25ul
¥800
ZNF804B Rabbit pAb(bs-16444R)-50ul/100ul/200ul
¥1180
PANK1 Rabbit pAb, HRP conjugated(bs-8337R-HRP)-100ul
¥2980
Adipose Triglyceride Lipase Rabbit pAb(bs-3831R)-50ul/100ul/200ul
¥1180
万千商家帮你免费找货
0 人在求购买到急需产品
- 详细信息
- 文献和实验
- 技术资料
- 应用范围:
产品信息以Bioss网站为准
- 规格:
50ul/100ul/200ul
| 规格: | 50ul | 产品价格: | ¥1180.0 |
|---|---|---|---|
| 规格: | 100ul | 产品价格: | ¥1980.0 |
| 规格: | 200ul | 产品价格: | ¥2800.0 |
| 产品编号 | bs-1044R |
| 英文名称 | MIF Rabbit pAb |
| 中文名称 | 巨噬细胞移动抑制因子抗体 |
| 英文别名 | Macrophage Migration Inhibitory Factor; GIF; GLIF; Glycosylation inhibiting factor; MIF protein; MMIF; Phenylpyruvate tautomerase; acrophage migration inhibitory factor(glycosylation-inhibiting factor); L-dopachrome isomerase; MIF_HUMAN. |
| 产品应用 | WB=1:500-2000, IHC-P=1:100-500, IHC-F=1:100-500, IF=1:100-500 Not yet tested in other applications. |
| 交叉反应 | Human, Rat (Mouse, Dog, Pig, Cow) |
| 抗体来源 | Rabbit |
| 免疫原 | KLH conjugated synthetic peptide derived from human MIPF |
| 亚型 | IgG |
| 性状 | Liquid |
| 纯化方法 | affinity purified by Protein A |
| 克隆类型 | Polyclonal |
| 理论分子量 | 12 kDa |
| 浓度 | 1mg/ml |
| 储存液 | 0.01M TBS (pH7.4) with 1% BSA, 0.02% Proclin300 and 50% Glycerol. |
| 研究领域 | Immunology > Innate Immunity > Macrophage / Inflamm. |
| 亚基 | Homotrimer. Interacts with CXCR2 extracellular domain. Interacts with the CD74 extracellular domain, COPS5 and BNIPL. |
| 亚细胞定位 | Secreted. Cytoplasm. Note=Does not have a cleavable signal sequence and is secreted via a specialized, non-classical pathway. Secreted by macrophages upon stimulation by bacterial lipopolysaccharide (LPS), or by M.tuberculosis antigens. |
| 相似性 | Belongs to the MIF family. |
| 功能 | Pro-inflammatory cytokine. Involved in the innate immune response to bacterial pathogens. The expression of MIF at sites of inflammation suggests a role as mediator in regulating the function of macrophages in host defense. Counteracts the anti-inflammatory activity of glucocorticoids. Has phenylpyruvate tautomerase and dopachrome tautomerase activity (in vitro), but the physiological substrate is not known. It is not clear whether the tautomerase activity has any physiological relevance, and whether it is important for cytokine activity. |
| 保存条件 | Shipped at 4℃. Store at -20℃ for one year. Avoid repeated freeze/thaw cycles. |
| 注意事项 | This product as supplied is intended for research use only, not for use in human, therapeutic or diagnostic applications. |
| 背景资料 | This gene encodes a lymphokine involved in cell-mediated immunity, immunoregulation, and inflammation. It plays a role in the regulation of macrophage function in host defense through the suppression of anti-inflammatory effects of glucocorticoids. This lymphokine and the JAB1 protein form a complex in the cytosol near the peripheral plasma membrane, which may indicate an additional role in integrin signaling pathways. [provided by RefSeq, Jul 2008] |
| 应用 | 推荐稀释比例 |
| {WB} | {1:500-2000} |
| {IHC-P} | {1:100-500} |
| {IHC-F} | {1:100-500} |
| {IF} | {1:100-500} |

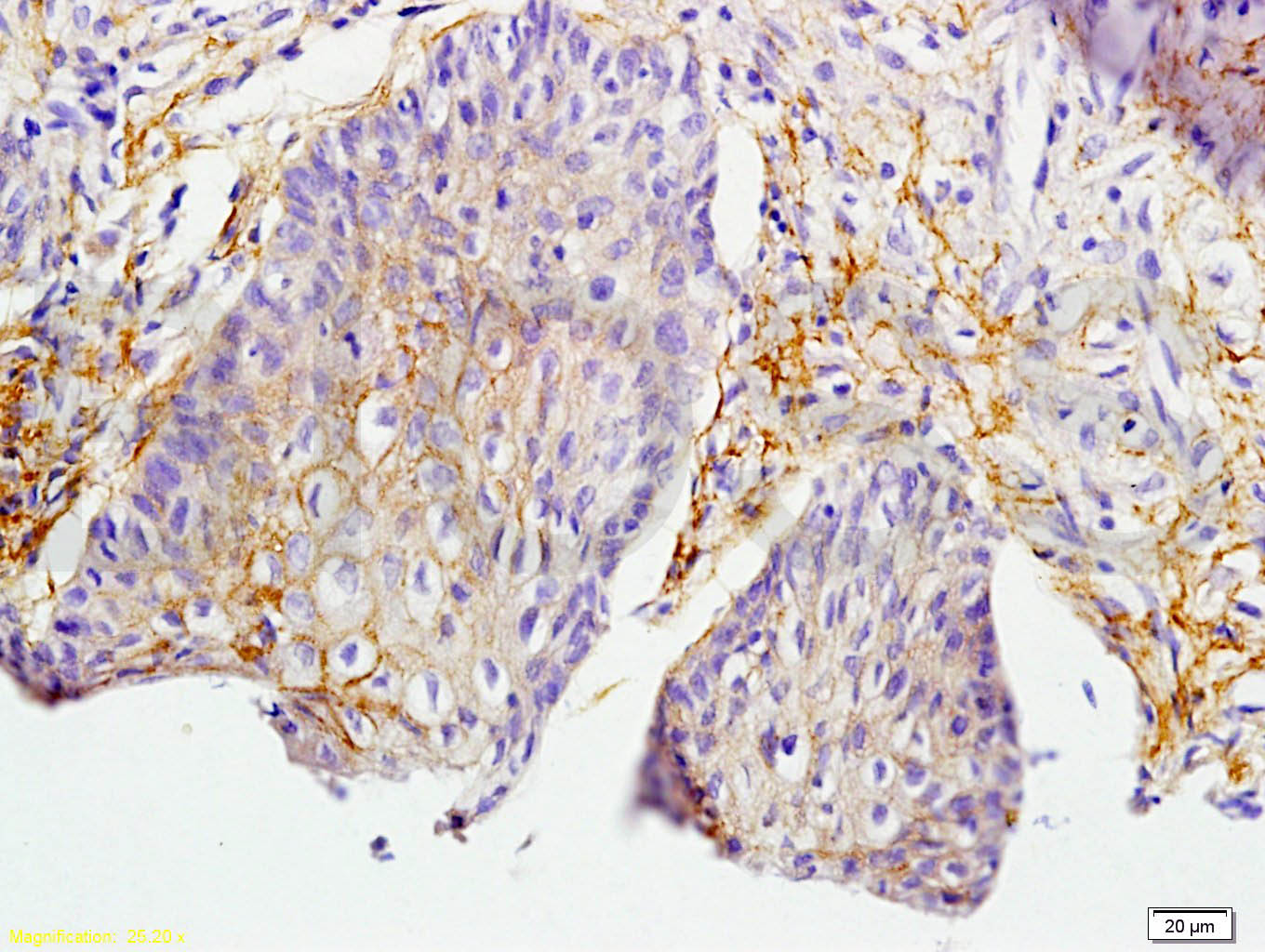
Antigen retrieval: citrate buffer ( 0.01M, pH 6.0 ), Boiling bathing for 15min; Block endogenous peroxidase by 3% Hydrogen peroxide for 30min; Blocking buffer (normal goat serum,C-0005) at 37℃ for 20 min;
Incubation: Anti-MIF Polyclonal Antibody, Unconjugated(bs-1044R) 1:200, overnight at 4°C, followed by conjugation to the secondary antibody(SP-0023) and DAB(C-0010) staining

Antigen retrieval: citrate buffer ( 0.01M, pH 6.0 ), Boiling bathing for 15min; Block endogenous peroxidase by 3% Hydrogen peroxide for 30min; Blocking buffer (normal goat serum,C-0005) at 37℃ for 20 min;
Incubation: Anti-MIF Polyclonal Antibody, Unconjugated(bs-1044R) 1:200, overnight at 4°C, followed by conjugation to the secondary antibody(SP-0023) and DAB(C-0010) staining

Lane 1: Rat Aldrenal gland Lysates
Lane 2: Human HL-60 cell Lysates
Primary: Anti-MIF (bs-1531R) at 1/1000 dilution
Secondary: IRDye800CW Goat Anti-Rabbit IgG at 1/20000 dilution
Predicted band size: 12kDa
Observed band size: 12kDa
风险提示:丁香通仅作为第三方平台,为商家信息发布提供平台空间。用户咨询产品时请注意保护个人信息及财产安全,合理判断,谨慎选购商品,商家和用户对交易行为负责。对于医疗器械类产品,请先查证核实企业经营资质和医疗器械产品注册证情况。
文献和实验[IF={{ 7.1 }}] {Jang Jaemyung. et al. Abnormal accumulation of extracellular vesicles in hippocampal dystrophic axons and regulation by the primary cilia in Alzheimer’s disease. ACTA NEUROPATHOL COM. 2023 Dec;11(1):1-30} {IF} {Mouse}
[IF={{ 3.9 }}] {Ying Chen. et al. Regulatory role of exosomal proteins MIF and PEBP1 in sperm storage in black rockfish (Sebastes schlegelii) ovary. AQUACULTURE. 2025 Mar;598:741985} {WB} {Fish}
[IF={{ 3.1 }}] {Liu Junhao. et al. Tanshinol ameliorates imiquimod-induced psoriasis by inhibiting M1 macrophage polarization through suppression of the notch signaling pathway. N-S ARCH PHARMACOL. 2024 Jun;:1-14} {IHC} {Mouse}
[IF={{ 13.2 }}] {Hiress et al. Proinflammatory Signature of the Dysfunctional Endothelium in Pulmonary Hypertension. Role of the Macrophage Migration Inhibitory Factor/CD74 Complex. (2015) Am.J.Respir.Crit.Care.Med. 192:983-97} {FCM,Other} {Human}
[IF={{ 12.2 }}] {Jing Chen. et al. Cooperative application of transcriptomics and ceRNA hypothesis: lncRNA-00742/miR-116 targets CD74 to mediate vanadium-induced mitochondrial apoptosis in duck liver. J HAZARD MATER. 2024 Dec;480:135904} {WB} {Duck}
= NAL), appears to form upon oxidative cyclization of the nonfluorescent 2:1 lysine-HNE Michael adduct-Schiff base cross-link (Scheme 1). Polyclonal antibody (PAb) to the NAL-HNE fluorophore was raised in rabbit and found to be highly specific
/96T 2000/3000 进口分装 F0021 骨成型蛋白-9(BMP-9) ELISA 48T/96T 2000/3000 进口分装 F0022 BMP-R1A ELISA 48T/96T 2000/3000 进口分装 F0023 BMP-R2 ELISA 48T/96T 2000/3000 进口分装 F0024 BTC ELISA 48T/96T 2000/3100 进口分装 F0030 CAE-Ab ELISA 96
/96T 2000/3000 进口分装 F0021 骨成型蛋白-9(BMP-9) ELISA 48T/96T 2000/3000 进口分装 F0022 BMP-R1A ELISA 48T/96T 2000/3000 进口分装 F0023 BMP-R2 ELISA 48T/96T 2000/3000 进口分装 F0024 BTC ELISA 48T/96T 2000/3100 进口分装 F0030 CAE-Ab ELISA 96
技术资料暂无技术资料 索取技术资料





