相关产品推荐更多 >

ANKS6 Rabbit pAb, AP conjugated(bs-9099R-AP)-100ul
¥2980
SARS-CoV-2 (2019-nCoV) Spike protein S2 Rabbit pAb(bs-24426R)-50ul/100ul/200ul
¥1180
CCDC101 Mouse mAb(bsm-60310M)-50ul/100ul
¥1580
phospho-NFKB p65 (Ser468) Rabbit pAb(bs-3485R)-50ul/100ul/200ul
¥1180
CYP2E1 Rabbit pAb, RBITC conjugated(bs-4562R-RBITC)-100ul
¥2980
万千商家帮你免费找货
0 人在求购买到急需产品
- 详细信息
- 文献和实验
- 技术资料
- 应用范围:
产品信息以Bioss网站为准
- 规格:
50ul/100ul/200ul
| 规格: | 50ul | 产品价格: | ¥1180.0 |
|---|---|---|---|
| 规格: | 100ul | 产品价格: | ¥1980.0 |
| 规格: | 200ul | 产品价格: | ¥2800.0 |
| 产品编号 | bs-1459R |
| 英文名称 | IL6ST/CD130 Rabbit pAb |
| 中文名称 | 白细胞介素6受体β/CD130抗体 |
| 英文别名 | IL-6R beta; Interleukin-6 receptor subunit beta; IL-6R-beta; Interleukin-6 signal transducer; Membrane glycoprotein 130; gp130; CDw130; Oncostatin-M receptor subunit alpha; CD_antigen; CD130; GP130 RAPS; gp130 transducer chain; GP130-RAPS; IL6 ST; IL6R-beta; IL6ST; IL6R-beta. |
| 产品应用 | WB=1:500-2000, IHC-P=1:100-500, IHC-F=1:100-500, IF=1:100-500, Flow-Cyt=1µg/Test Not yet tested in other applications. |
| 交叉反应 | Human, Mouse, Rat |
| 抗体来源 | Rabbit |
| 免疫原 | KLH conjugated synthetic peptide derived from human IL6R beta |
| 亚型 | IgG |
| 性状 | Liquid |
| 纯化方法 | affinity purified by Protein A |
| 克隆类型 | Polyclonal |
| 理论分子量 | 99 kDa |
| 浓度 | 1mg/ml |
| 储存液 | 0.01M TBS (pH7.4) with 1% BSA, 0.02% Proclin300 and 50% Glycerol. |
| 研究领域 | Cancer > Signal transduction Cardiovascular > Atherosclerosis > Apoptosis Cardiovascular > Heart > Apoptosis Cardiovascular > Heart > Hypertrophy Cell Biology > Apoptosis > Intracellular > Associated Proteins Immunology > Cell Type Markers > CD > Cytokines Signal Transduction > Adapters > Transmembrane |
| 亚基 | Interacts with INPP5D/SHIP1. Forms heterodimers composed of LIPR and IL6ST (type I OSM receptor). Also forms heterodimers composed of OSMR and IL6ST (type II OSM receptor). Homodimer. The homodimer binds two molecules of herpes virus IL6. Component of a hexamer of two molecules each of IL6, IL6R and IL6ST. Interacts with HCK. |
| 亚细胞定位 | Isoform 1: Cell membrane; Single-pass type I membrane protein. Isoform 2: Secreted. |
| 组织特异性 | Found in all the tissues and cell lines examined. Expression not restricted to IL6 responsive cells. |
| 翻译后修饰 | Phosphorylation of Ser-782 down-regulates cell surface expression. Heavily N-glycosylated. |
| 相似性 | Belongs to the type I cytokine receptor family. Type 2 subfamily.
Contains 5 fibronectin type-III domains. Contains 1 Ig-like C2-type (immunoglobulin-like) domain. |
| 功能 | Signal-transducing molecule. The receptor systems for IL6, LIF, OSM, CNTF, IL11, CTF1 and BSF3 can utilize gp130 for initiating signal transmission. Binds to IL6/IL6R (alpha chain) complex, resulting in the formation of high-affinity IL6 binding sites, and transduces the signal. Does not bind IL6. May have a role in embryonic development. The type I OSM receptor is capable of transducing OSM-specific signaling events. |
| 保存条件 | Shipped at 4℃. Store at -20℃ for one year. Avoid repeated freeze/thaw cycles. |
| 注意事项 | This product as supplied is intended for research use only, not for use in human, therapeutic or diagnostic applications. |
| 背景资料 | bs-1459P is one synthetic peptide derived from human IL6R beta. CD130 is a signal transducer shared by many cytokines, including interleukin 6 (IL6), ciliary neurotrophic factor (CNTF), leukemia inhibitory factor (LIF), and oncostatin M (OSM). This protein functions as a part of the cytokine receptor complex. The activation of this protein is dependent upon the binding of cytokines to their receptors. vIL6, a protein related to IL6 and encoded by the Kaposi sarcoma-associated herpesvirus, can bypass the interleukin 6 receptor (IL6R) and directly activate this protein. Knockout studies in mice suggested a critical role of the gene encoding this protein in regulating myocyte apoptosis. Alternatively spliced transcript variants encoding distinct isoforms have been described. |
| 应用 | 推荐稀释比例 |
| {WB} | {1:500-2000} |
| {IHC-P} | {1:100-500} |
| {IHC-F} | {1:100-500} |
| {IF} | {1:100-500} |
| {Flow-Cyt} | {1µg/Test} |

Primary: Anti- CD130 (bs-1459R) at 1/300 dilution
Secondary: IRDye800CW Goat Anti-Mouse IgG at 1/10000 dilution
Predicted band size: 99 kD
Observed band size: 130 kD

Antigen retrieval: citrate buffer ( 0.01M, pH 6.0 ), Boiling bathing for 15min; Blocking buffer (normal goat serum,C-0005) at 37℃ for 20 min;
Incubation: Anti-IL-6R Beta/CD130/gp130 Polyclonal Antibody, Unconjugated(bs-1459R) 1:300, overnight at 4°C; The secondary antibody was Goat Anti-Rabbit IgG, FITC conjugated (bs-0295G-FITC)used at 1:200 dilution for 40 minutes at 37°C. DAPI(5ug/ml,blue,C-0033) was used to stain the cell nuclei

Primary Antibody:Rabbit Anti-CD34 antibody(bs-1459R), Dilution: 1μg in 100 μL 1X PBS containing 0.5% BSA;
Isotype Control Antibody: Rabbit IgG(orange) ,used under the same conditions );
Secondary Antibody: Goat anti-rabbit IgG-PE(white blue), Dilution: 1:200 in 1 X PBS containing 0.5% BSA.
Protocol
The cells were fixed with 2% Paraformaldehyde (10 min). Antibody (bs-1459R, 1μg /1x10^6 cells) were incubated for 30 min on the ice, followed by 1 X PBS containing 0.5% BSA + 1 0% goat serum (15 min) to block non-specific protein-protein interactions. Then the Goat Anti-rabbit IgG/PE antibody was added into the blocking buffer mentioned above to react with the primary antibody of bs-1459R at 1/200 dilution for 30 min on ice. Acquisition of 20,000 events was performed.

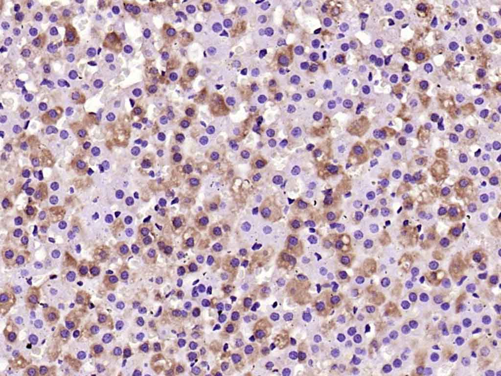
Antigen retrieval: citrate buffer ( 0.01M, pH 6.0 ), Boiling bathing for 15min; Block endogenous peroxidase by 3% Hydrogen peroxide for 30min; Blocking buffer (normal goat serum,C-0005) at 37℃ for 20 min;
Incubation: Anti-IL-6R Beta/CD130/gp130 Polyclonal Antibody, Unconjugated(bs-1459R) 1:200, overnight at 4°C, followed by conjugation to the secondary antibody(SP-0023) and DAB(C-0010) staining



Primary: Anti- CD130 (bs-1459R) at 1/300 dilution
Secondary: IRDye800CW Goat Anti-Rabbit IgG at 1/20000 dilution
Predicted band size: 99kD
Observed band size: 130 kD
风险提示:丁香通仅作为第三方平台,为商家信息发布提供平台空间。用户咨询产品时请注意保护个人信息及财产安全,合理判断,谨慎选购商品,商家和用户对交易行为负责。对于医疗器械类产品,请先查证核实企业经营资质和医疗器械产品注册证情况。
文献和实验[IF={{ 9.586 }}] {Weber AE et al. Modulation of Hedgehog Signaling by Kappa Opioids to Attenuate Osteoarthritis. Arthritis Rheumatol. 2020 Aug;72(8):1278-1288.} {IHC} {Rat}
[IF={{ 5.228 }}] {Cao, Yifan, et al. "Glycoprotein 130 is associated with adverse postoperative clinical outcomes of patients with late-stage non-metastatic gastric cancer." Scientific Reports 6 (2016): 38364.} {WB} {="Human"}
[IF={{ 4.996 }}] {Obi, Andrea T.. et al. Experimental venous thrombus resolution is driven by IL-6 mediated monocyte actions. SCI REP-UK. 2023 Feb;13(1):1-12} {WB,IF} {Mouse,Human}
[IF={{ 4.2 }}] {Xingli Xu. et al. Intravenous injection of PCSK9 gain-of-function mutation in C57BL/6J background mice on Angiotensin II-induced AAA. BBA-MOL BASIS DIS. 2025 Mar;1871:167657} {IHC} {Mouse}
[IF={{ 4.06 }}] {Prystaz, Katja, et al. "Distinct effects of interleukin-6 classic and trans-signaling in bone fracture healing." The American Journal of Pathology.} {IHC} {="Mouse"}
= NAL), appears to form upon oxidative cyclization of the nonfluorescent 2:1 lysine-HNE Michael adduct-Schiff base cross-link (Scheme 1). Polyclonal antibody (PAb) to the NAL-HNE fluorophore was raised in rabbit and found to be highly specific
. Retrieved 2010-11-29. ^ Nielsen BS, Jørgensen S, Fog JU, Søkilde R, Christensen IJ, Hansen U, Brünner N, Baker A, Møller S, Nielsen HJ (October 2010). "High levels of microRNA-21 in the stroma of colorectal cancers predict short disease-free survival
+oieSKeKcgxGinlRPl7uja5iYeDdc+K3eZhXhIOHOy+p9cxrGU9WCTkVcT5iRR/BsR+N0IDPSu3x0pXo0IRAQiAhGBiEBE4ABCwPnwbu0wGmW8ULj7NRb20DLRYqFW1Up6ODBube+wknwaZ5w/y92bXLbV5K3CJ+hhzKwdSHCmVrada2Qy0eyxvi0r7Lkl99ukcaOkRe60Sj82E8qgnmxNtzHGRRyZQtf1g41GIMau5W7ITlqbiDRR0CA3tPhIsEdmP5hZ
技术资料暂无技术资料 索取技术资料





