相关产品推荐更多 >

Anti-human VEGF (Ranibizumab Biosimilar)(BIO0830SM)-1mg/5mg/20mg
¥3200
C1orf146 Rabbit pAb(bs-15024R)-50ul/100ul/200ul
¥1180
Kir6.2 Rabbit pAb, AP conjugated(bs-2436R-AP)-100ul
¥2980
CD73 Rabbit pAb, PE-Cy5.5 conjugated(bs-4834R-PE-Cy5.5)-100ul
¥2980
MeV H Rabbit pAb, HRP conjugated(bs-0887R-HRP)-100ul
¥2980
万千商家帮你免费找货
0 人在求购买到急需产品
- 详细信息
- 文献和实验
- 技术资料
- 应用范围:
产品信息以Bioss网站为准
- 规格:
50ul/100ul/200ul
| 规格: | 50ul | 产品价格: | ¥1180.0 |
|---|---|---|---|
| 规格: | 100ul | 产品价格: | ¥1980.0 |
| 规格: | 200ul | 产品价格: | ¥2800.0 |
| 产品编号 | bs-1316R |
| 英文名称 | PDGFBB Rabbit pAb |
| 中文名称 | 血小板源性生长因子BB抗体 |
| 英文别名 | PDGF BB; PDGF-BB; platelet derived growth factor-BB; Becaplermin; C sis; FLJ12858; Oncogene SIS; PDG B chain; PDGB; PDGF 2; PDGF B; PDGF B chain; PDGF2; PDGFB; PDGFB/COL1A1 fusion gene; Platelet derived growth factor 2; Platelet derived growth factor B chain; Platelet derived growth factor beta; Platelet derived growth factor beta polypeptide; Simian sarcoma viral(v sis) oncogene homolog; SIS; SSV; V sis platelet derived growth factor beta polypeptide. |
| 产品应用 | WB=1:500-2000, IHC-P=1:100-500, IHC-F=1:100-500, IF=1:100-500 Not yet tested in other applications. |
| 交叉反应 | Human, Mouse, Rat |
| 抗体来源 | Rabbit |
| 免疫原 | KLH conjugated synthetic peptide derived from human PDGF-B |
| 亚型 | IgG |
| 性状 | Liquid |
| 纯化方法 | affinity purified by Protein A |
| 克隆类型 | Polyclonal |
| 理论分子量 | 12 kDa |
| 浓度 | 1mg/ml |
| 储存液 | 0.01M TBS (pH7.4) with 1% BSA, 0.02% Proclin300 and 50% Glycerol. |
| 研究领域 | Cancer > Cancer Metabolism > Response to hypoxia Cancer > Growth factors > PDGF Cardiovascular > Atherosclerosis > Vascular Inflammation > Inflammatory mediators Cardiovascular > Blood > Serum Proteins Developmental Biology > Organogenesis > Angiogenesis and vasculogenesis Metabolism > Pathways and Processes > Metabolism processes > Hypoxia Metabolism > Types of disease > Heart disease Signal Transduction > Growth Factors/Hormones > PDGF |
| 亚基 | Homodimer; antiparallel disulfide-linked dimer. Heterodimer with PDGFA; antiparallel disulfide-linked dimer. The PDGFB homodimer interacts with PDGFRA and PDGFRB homodimers, and with heterodimers formed by PDGFRA and PDGFRB. The heterodimer composed of PDGFA and PDGFB interacts with PDGFRB homodimers, and with heterodimers formed by PDGFRA and PDGFRB. Interacts with XLKD1. |
| 亚细胞定位 | Secreted. Note=Released by platelets upon wounding. |
| 组织特异性 | Expressed at high levels in the heart, brain (sustantia nigra), placenta and fetal kidney. Expressed at moderate levels in the brain (hippocampus), skeletal muscle, kidney and lung. |
| 相似性 | Belongs to the PDGF/VEGF growth factor family. |
| 功能 | Growth factor that plays an essential role in the regulation of embryonic development, cell proliferation, cell migration, survival and chemotaxis. Potent mitogen for cells of mesenchymal origin. Required for normal proliferation and recruitment of pericytes and vascular smooth muscle cells in the central nervous system, skin, lung, heart and placenta. Required for normal blood vessel development, and for normal development of kidney glomeruli. Plays an important role in wound healing. Signaling is modulated by the formation of heterodimers with PDGFA. |
| 保存条件 | Shipped at 4℃. Store at -20℃ for one year. Avoid repeated freeze/thaw cycles. |
| 注意事项 | This product as supplied is intended for research use only, not for use in human, therapeutic or diagnostic applications. |
| 背景资料 | Platelet-derived growth factor is a potent mitogen for cells of mesenchymal origin. Binding of this growth factor to its affinity receptor elicits a variety of cellular responses. It is released by platelets upon wounding and plays an important role in stimulating adjacent cells to grow and thereby heal the wound. [SUBUNIT] Antiparallel disulfide-linked dimer of nonidentical (A and B) chains. Homodimers of A and B chains are implicated in transformation processes. A-A and B-B, as well as A-B, dimers can bind to the PDGF receptor. Belongs to the PDGF/VEGF growth factor family. |
| 应用 | 推荐稀释比例 |
| {WB} | {1:500-2000} |
| {IHC-P} | {1:100-500} |
| {IHC-F} | {1:100-500} |
| {IF} | {1:100-500} |


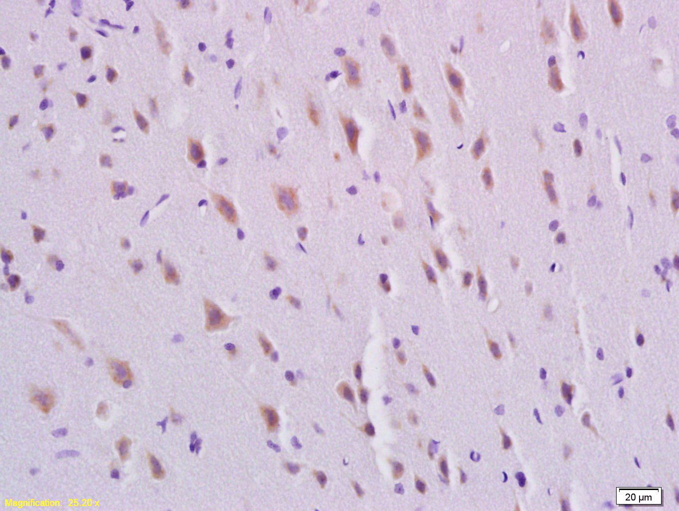
Antigen retrieval: citrate buffer ( 0.01M, pH 6.0 ), Boiling bathing for 15min; Block endogenous peroxidase by 3% Hydrogen peroxide for 30min; Blocking buffer (normal goat serum,C-0005) at 37℃ for 20 min;
Incubation: Anti-PDGF-BB Polyclonal Antibody, Unconjugated(bs-1316R) 1:200, overnight at 4°C, followed by conjugation to the secondary antibody(SP-0023) and DAB(C-0010) staining

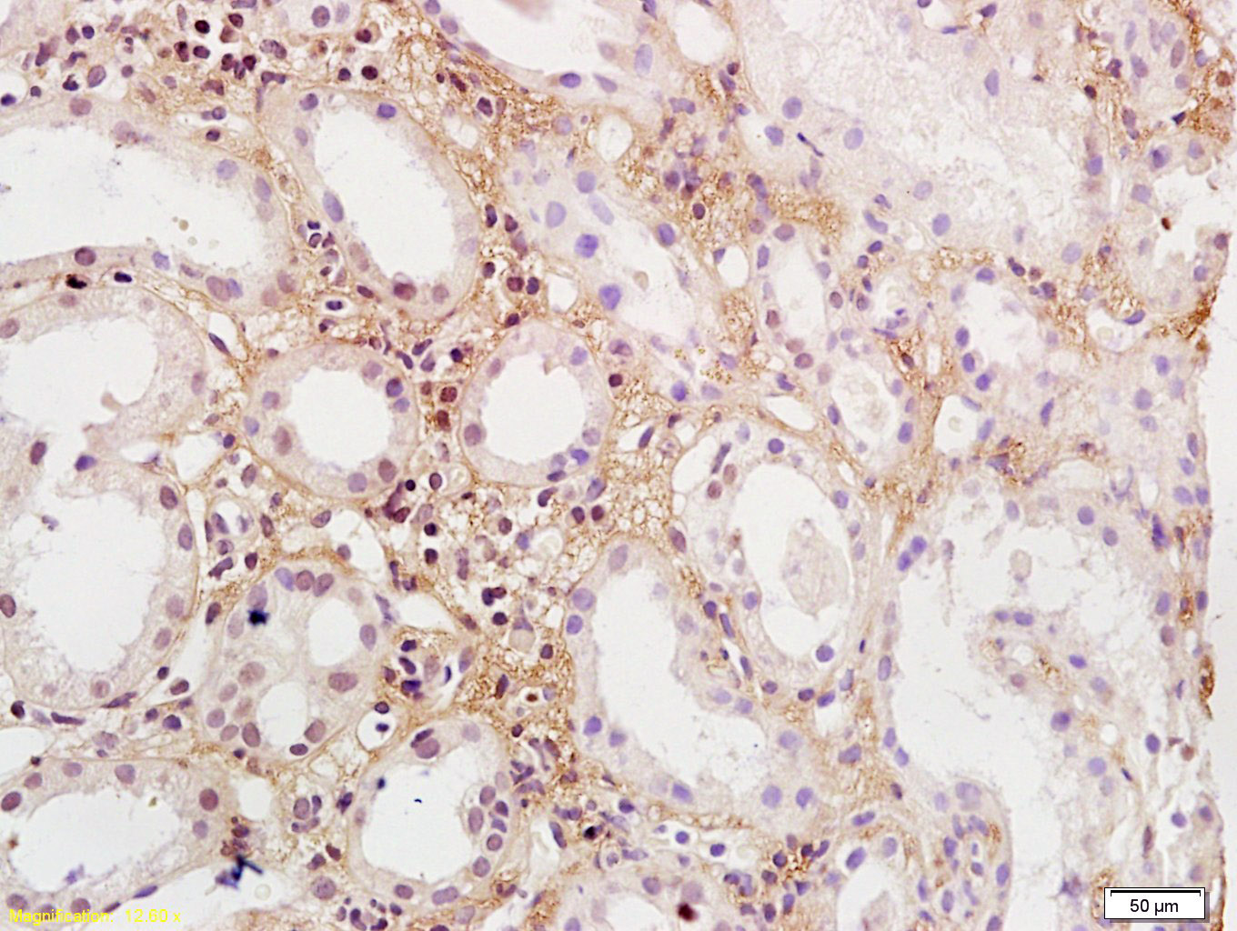
Antigen retrieval: citrate buffer ( 0.01M, pH 6.0 ), Boiling bathing for 15min; Block endogenous peroxidase by 3% Hydrogen peroxide for 30min; Blocking buffer (normal goat serum,C-0005) at 37℃ for 20 min;
Incubation: Anti-PDGF-BB Polyclonal Antibody, Unconjugated(bs-1316R) 1:200, overnight at 4°C, followed by conjugation to the secondary antibody(SP-0023) and DAB(C-0010) staining

Lane 1: Huvec (Human) Cell Lysate at 30 ug
Lane 2: A431 (Human) Cell Lysate at 30 ug
Lane 3: MCF-7 (Human) Cell Lysate at 30 ug
Primary:
Anti-PDGFBB (bs-1316R) at 1/1000 dilution
Secondary: IRDye800CW Goat Anti-Rabbit IgG at 1/20000 dilution
Predicted band size: 27/22/14 kD
Observed band size: 30 kD
风险提示:丁香通仅作为第三方平台,为商家信息发布提供平台空间。用户咨询产品时请注意保护个人信息及财产安全,合理判断,谨慎选购商品,商家和用户对交易行为负责。对于医疗器械类产品,请先查证核实企业经营资质和医疗器械产品注册证情况。
文献和实验[IF={{ 8.2 }}] {Chengmin Feng. et al. Preparation of healing-promoting and fibrosis-inhibiting asymmetric poly(ethylene glycol-b-L-phenylalanine)/cRGD-modified hyaluronate sponges and their applications in hemorrhage and nasal mucosa repair. INT J BIOL MACROMOL. 2024 Feb;258:128911} {IHC} {Rabbit}
[IF={{ 4.897 }}] {Tang L et al. RhoA/ROCK signaling regulates smooth muscle phenotypic modulation and vascular remodeling via the JNK pathway and vimentin cytoskeleton.Pharmacol Res. 2018 Jul;133:201-212.} {IF,WB} {Human}
[IF={{ 3.4 }}] {Xiangju Gao. et al. The common pathogenesis of nodular goiter in both sexes: An exploration into gene expression and signaling pathways. HELIYON. 2024 Jul;10:} {IF,WB} {Rat}
[IF={{ 14.511 }}] {Ying Xia. et al. SB431542 alleviates lupus nephritis by regulating B cells and inhibiting the TLR9/TGFβ1/PDGFB signaling. J AUTOIMMUN. 2022 Oct;132:102894} {IHC} {Mouse}
[IF={{ 13.116 }}] {Yan Li. et al. Injectable hydrogel with MSNs/microRNA-21-5p delivery enables both immunomodification and enhanced angiogenesis for myocardial infarction therapy in pigs. Sci Adv. 2021 Feb;7(9):eabd6740} {WB} {Pig}
技术资料暂无技术资料 索取技术资料





